
McGill Pathology Residents 🔬
@McgillPathRes
Followers
985
Following
873
Media
49
Statuses
529
An enthusiastic team caring for #MTL population | training @mcgillu @cusm_muhc for the next generation of pathologists | T/RT not medical advice
Montréal, Québec
Joined June 2017
Last 3 weeks to apply for .@McgillPathRes GI & Liver Fellowship for the 2025-2026 academic year ⚠️ More info on .@USGIPS platform & our website 👉🏽 https://t.co/nwVbTieeMi Apply here by Sept. 1st 👉🏽
To all #GIpath & #LiverPath enthusiasts ➡️ .@mcgillu .@McgillPathRes is about to open the applications for the 2025-2026 GI & Liver path fellowship. Get more info on .@USGIPS platform & our website: https://t.co/nwVbTieeMi Applications open: May 15th Deadline: September 1st
0
5
9
Finishing residency and bidding farewell to the supportive team of staff and residents. Going to miss being part of @McgillPathRes! A bittersweet moment, but time to turn the page and start fellowship training in #ForensicPathology
0
1
10
Current chiefs handing over to incoming chiefs. The new academic year will be starting with a strong group of chief residents! @SabaYS @olorycarel @JonLaiMD
0
1
6
Congrats to Drs .@MFarag_MD & .@lamettiMD on presenting our work on HER2-altered CRCs & AI-based model for liver lymphomas at #USCAP2024 .@TheUSCAP & a big thanks to all our collaborators @johnhart20 @nsetia5 @AlisonDux @DemkoNadia @pierrefiset .@McgillPathRes .@UChicagoPath
1
8
27
Congrats to our .@McgillPathRes very own dr. Saba Alsaddah .@SabaYS on presenting her Stowell-Orbison poster Next-Generation Sequencing Experience of Colorectal Cancer at a Quebec Health Care Centre at #USCAP2024 @TheUSCAP @pierrefiset @jvburnier @MFarag_MD
2
5
22
Thank you to .@USGIPS .@TheUSCAP for the 2024 #COTM award & of course big thanks to Dr Alpert & the .@UChicagoPath GI path group ♥ #USCAP2024 .@McgillPathRes
4
9
48
15yo femur. Which frequent mutations & syndromes are associated with this? What are the radiological findings? Which famous Canadian🇨🇦 was diagnosed with this in 1977? Specimen from @McGill_MAMM
#GrossDiagnosis #BSTPath #McGill24 #PathBoards @McGillAlumni Details in comment
1
2
1
Join us at @mcgillu for our virtual 🎉Meet & Greet📷 for a chance to meet our new PD and hang out with our residents! Find out all you want to know about #Pathology and our department! (Also, there is a chance to win a $50 Amazon gift card!)
0
1
5
A Deep Learning–Based Approach to Estimate Paneth Cell Granule Area in Celiac Disease! https://t.co/6vGHACrxCw Our first AI paper! @McgillPathRes
meridian.allenpress.com
Context.—. Changes in Paneth cell numbers can be associated with chronic inflammatory diseases of the gastrointestinal tract. So far, no consensus has been achieved on the number of Paneth cells and...
0
3
9
Presentation of work at #CAPACP23. Great work @lamettiMD @ronirayes @DoctorJSpicer @JonathanCools and other contributors not on Twitter!
0
5
20
Introducing our new Diagnostic and Molecular Pathology residents Émilie and Miryam. Also to our new chiefs @olorycarel and @JonLaiMD 🎉🎉🎉 It's going to be a great year! 💪
0
2
23
Bone & Soft Tissue Pathology Board Review: 20 Classic Cases for McGill pathology residents @McgillPathRes. Video: https://t.co/m3h192A9cH. Enjoy! #BSTpath #pathologists #pathology #pathTwitter
0
5
14
Dr @MFarag_MD presenting his poster on Prognostic Implications of YAP IHC in Patients with Upper GI adenocarcinomas @TheUSCAP @USGIPS #USCAP23 @pierrefiset @LFerri123
1
3
14
Quels symptomes sont associés aux lithiases biliaires? Quelle est la plus grande pierre que vous ayez vu? #PathTwitter #grossdiagnosis #McGill24
5
2
4
What's the diagnosis and most common syndrome associated with this finding? Heart specimen from @McGill_MAMM, collected in 1932. More details are in the comments below. #GrossDiagnosis #CardioPath #Autopsy #McGill24 #PathTwitter #PathBoards
5
18
37
It's resident appreciation day at McGill! Thanks to our amazing residency coordinators and staff pathologists for organizing this day. #ResidentAppreciationDay #ThankAResident
0
2
11
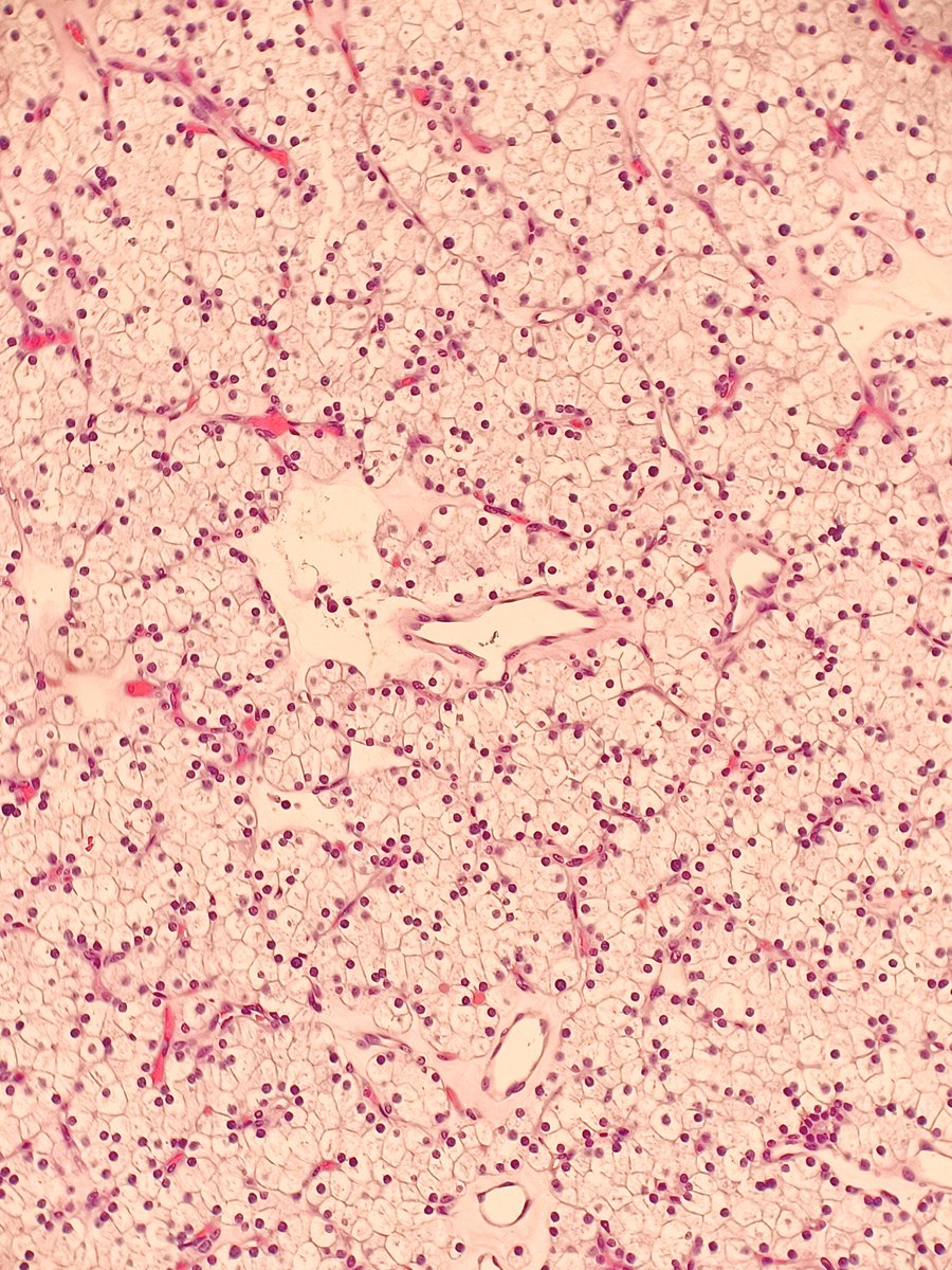
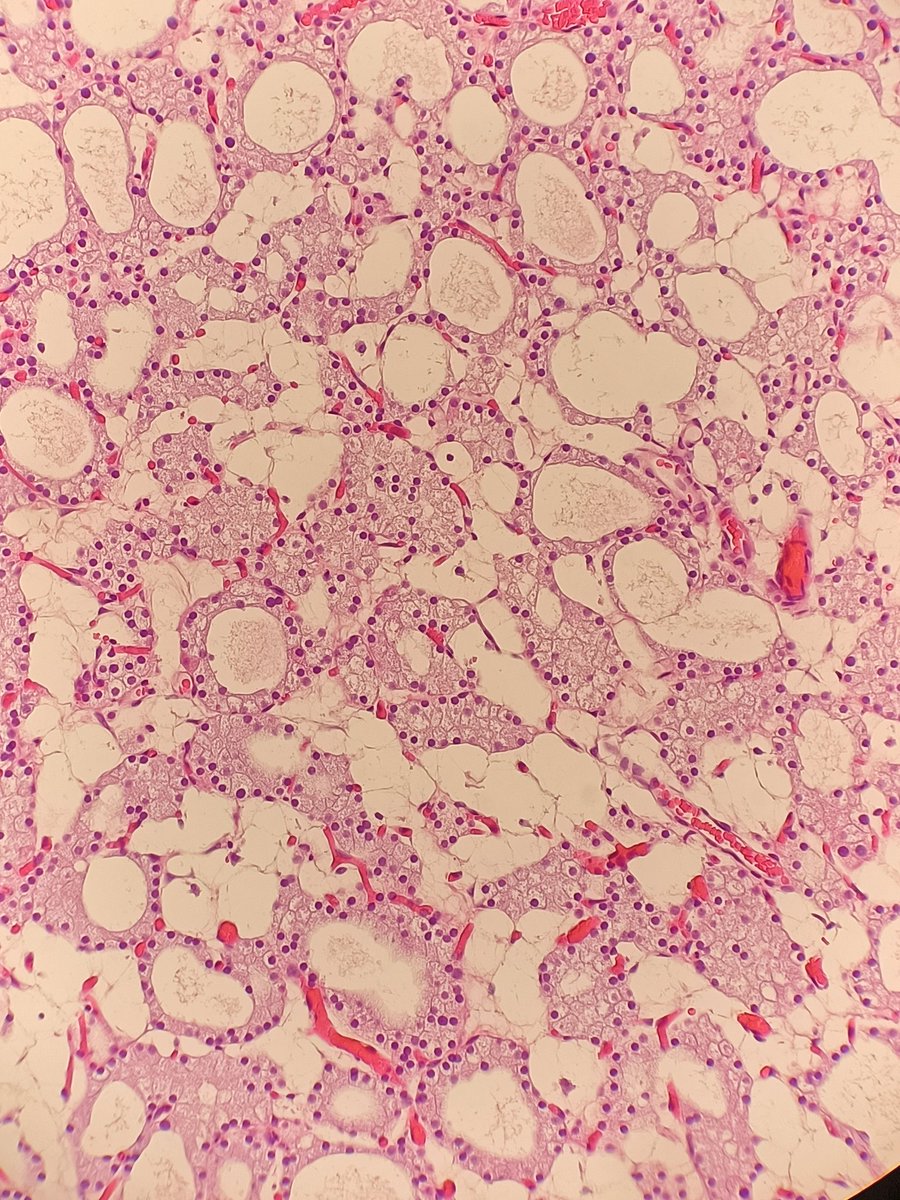
Here's an uncommon entity in #HeadandNeckPath. A cute 💧💧💧water-clear cell parathyroid adenoma 💧💧💧. The name says it all! Some areas have cystic changes too. #ENTPath
2
13
44
The Montreal Neurological Institute has the most beautiful entrance hall. The Feindel Foyer paying homage to famous neurologists and decorated with motifs representing different parts of the CNS. (video in comment) #neuropath
1
3
8
It was a pleasure to have @IHC_guy give a lecture at McGill. Amazing presentation, interesting discussions, and great unknown slides.
0
2
33
Thanks Kathleen for the case and key features!
0
0
3