jcksalex Profile Banner
Jackson Barbosa, MD Profile
Jackson Barbosa, MD

@jcksalex

Followers
2K
Following
6K
Media
189
Statuses
2K

Pathologist 🔬🇧🇷 Opinions are my own. “Things should be made as simple as possible, but not simpler.” A.E.

Joined April 2018
Don't wanna be here? Send us removal request.
@jcksalex
Jackson Barbosa, MD
2 days
MZL with cytologic features of monocytoid B cell hyperplasia.
0
1
9
@sza_jhcyto
Syed Z. Ali
2 days
PATHOLOGY trainees, always remember when signing out, "A good differential is always better than a bad final diagnosis".
3
33
188
@Histo_Journal
Histopathology
9 days
Isolated morular squamous metaplasia in endometrial biopsies and curettings: is there a role for repeated sampling? - Zanfagnin - Histopathology - Wiley Online Library #gynpath
Tweet card summary image
onlinelibrary.wiley.com
Isolated squamous morular metaplasia of the endometrium without associated glandular abnormality is rare and portends a 5.4% risk of subsequent development of endometrioid neoplasia following...
0
15
47
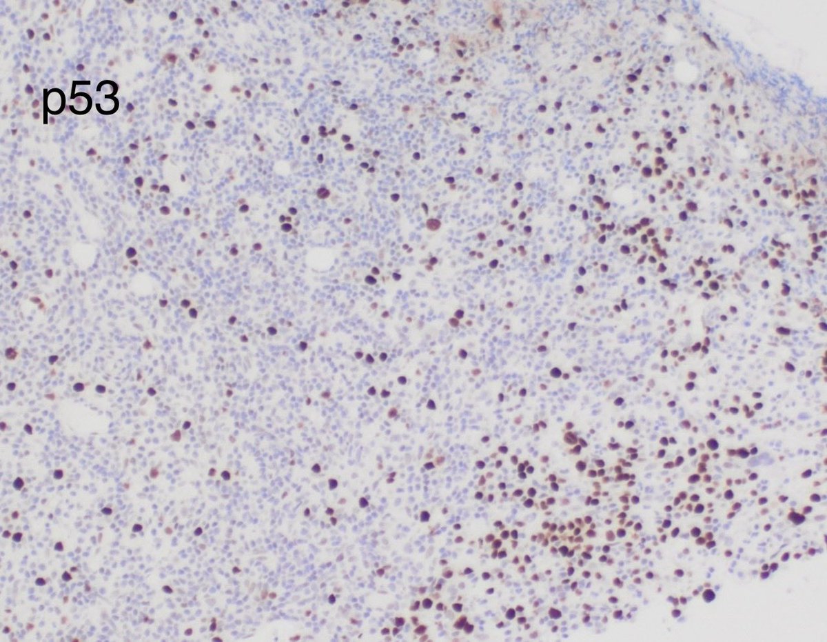
@sanamloghavi
Sanam Loghavi, MD صنم لغوی 🔬🧬
12 days
Who says morphology is a dying art? With p53 IHC ($50) I can tell you that the TP53 mut seen in bulk NGS in this BM w/ concurrent CLL & AML is in the myeloid clone. Voila 🪄 … 👁️ + 🔬 🟰 sc 🧬….. 😉 A little bit of #hemepath 🕵️ work can go a long way.
3
15
72
@TobyASchmitt
Toby Schmitt, MD
14 days
Here's a rare indolent skin and soft tissue lesion, "ALK-rearranged myxoid spindle cell neoplasm". It's composed of whorls of cords of bland spindle cells in a myxoid background. Positive for S100 and CD34, an unusual combination. See the whole slide: https://t.co/WvUpoE0YD7
1
25
73
@MinaXu7
Mina L Xu
18 days
We’re so excited that this team effort is now published, thoroughly demonstrating that plasmacytoid dendritic cell proliferations in the marrow biopsies is associated with poor prognosis in CMML. https://t.co/BiL6Dyg7f1 #hemepath
4
14
44
@UMiamiPathology
UMiami Pathology
18 days
Intestinal elastosis/elastofibromatous change produces a polyp and probably reflects a damaged submucosal blood vessel.
0
17
60
@smlungpathguy
Sanjay Mukhopadhyay
18 days
Thread... 1. Every day, pathologists diagnose fungi in surgical pathology and cytology specimens from the lung. This thread = our experience (26 years) Read article in @IJSPjournal https://t.co/55BEDmVvHn Pic: Blastomyces, case 17 of Table 1 #pulmpath #pathology #pathbugs
2
30
76
@SGottesmanMD
Silvija Gottesman MD
25 days
In some patients Hyaluronic acid, used as a cosmetic “filler” can induce a foreign body giant cell reaction. Take a look at those busy giant cells 💜 Case from the mandibular skin, that came with no history provided. #dermpath #dermatology #pathology
1
18
52
@TingZhaoPathdoc
Ting Zhao, MD
2 months
50s F with a 1.2 cm left renal lesion. What is your diagnosis? #PathTwitter @MGBpathology @MGHPathology
11
46
120
@TobyASchmitt
Toby Schmitt, MD
28 days
Intro to dermpath: For those learning about skin pathology, I made a collection of labelled digital slides that covers normal histology as well as the most common diagnoses you'll see day-to-day. Check it out: https://t.co/ofkWrQfrCI
2
31
147
@DrKamleshDarji1
Dr Kamlesh Darji
1 month
My pathology professor shared several words of wisdom with me. #PathTwitter #SurgicalPathology
7
60
427
@TingZhaoPathdoc
Ting Zhao, MD
1 month
@MGBpathology @MGHPathology Myoid gonadal stromal tumor #GUpath #ISUPCaseOfMonth ➡️Rare spindle cell neoplasm of the testis exhibiting myoid differentiation toward intertubular primitive mesenchymal cells ➡️Median age: 42 years (range: 4-59) ➡️Unencapsulated, well-circumscribed ➡️Short fascicles and
1
14
46
@SibaElHussein
Siba El Hussein, MD
1 month
Example of a case of "Diffuse large B-cell lymphoma associated with chronic inflammation", developing in the pleural cavity of a patient with longstanding pyothorax➡️ #Hemepath #PathX #Pathtwitter #MedX #MedTwitter #Surgpath #SoMe
3
22
56
@DrMarkOng
Mark Ong
1 month
Lymph node in adult. Diagnosis? #hemepath #pathtwitter #pathology
9
22
58
@jcksalex
Jackson Barbosa, MD
1 month
Fantastic photo! Lovely to see that goblet cells form sparse small holes at the surface and lots of larges ones inside the crypts. Never thought of it this way! Beautiful to see something from everyday in a different perspective. 🔬
@drkeithsiau
Keith Siau
1 month
This microscopic image was featured in the Nikon Small World prize, but for bonus points, which organ was this taken from?
0
2
7
@drtimbracey
Tim Bracey
2 years
40M, 1.5cm ulcer on palate. Clinical and histological mimic of SCC this is necrotising sialometaplasia. Note squamous metaplasia of the salivary gland retaining lobular architecture. Should resolve spontaneously in 2-3/12. Be very cautious on a small biopsy! #PathTwitter #ENTpath
10
78
184
@SibaElHussein
Siba El Hussein, MD
1 month
Rare sighting of "focal" primary large B-cell lymphoma of the testis in action, slowly making its way to seminifrous tubules #Hemepath #Lymsm #Pathtwitter #PathX #Sugpath #MedED
1
16
42
@surgpathcases
Surgical Pathology Cases
2 months
3
57
181
@Hui2Pei
Pei Hui
2 months
Y-GTD Case of October 2025: A 38-year-old woman presenting with a 6.3 cm mass in the left broad ligament/ovarian hilum underwent hysterectomy and bilateral salpingo-oophorectomy. @yalepathology https://t.co/JzYGZR0f1e
2
5
19