
GU Pathology Society (GUPS)
@GU_Path_Society
Followers
4K
Following
243
Media
522
Statuses
775
An international society dedicated to enhancing best practices, research, & education in Urologic Pathology; Official Companion Society of @TheUSCAP #gupath
Joined January 2019
Session Description- What can we learn about prostate cancer biology and etiology from population-based or patho-epidemiology studies? Moderators- Dr. Tamara Lotan (Johns Hopkins Medicine) and Dr. Rohit Mehra (University of Michigan) See you there!
0
3
3
***GUPS Distinguished Lecture Series*** When: October 9, 2025 12:00 PM Eastern Time (US and Canada) Register: https://t.co/VuZF0tVP4M Dr. Lorelei Mucci Professor of Epidemiology, Harvard T.H. Chan School of Public Health (👇🏼👇🏼comments)
1
13
27
GUPS Virtual Education Series When: Thursday, September 25th (12:00 to 1:30pm EST) Eastern Time (US & Canada) Topic: Difficult Areas in Testicular Pathology Register: https://t.co/Lb2vW0bwg2…
0
14
31
GUPS Virtual Education Series When: Thursday, September 25th (12:00 to 1:30pm EST) Eastern Time (US & Canada) Topic: Difficult Areas in Testicular Pathology Register: https://t.co/HhKJZb8Q4h
0
18
43
GUPS Virtual Education Series When: Thursday, September 25th (12:00 to 1:30pm EST) Eastern Time (US & Canada) Topic: Difficult Areas in Testicular Pathology Register: https://t.co/HhKJZb8Q4h
0
18
43
GUPS Virtual Education Series When: Thursday, September 25th (12:00 to 1:30pm EST) Eastern Time (US & Canada) Topic: Difficult Areas in Testicular Pathology Register: https://t.co/HhKJZb8Q4h Featuring: See comment 👇🏼👇🏼
2
22
53
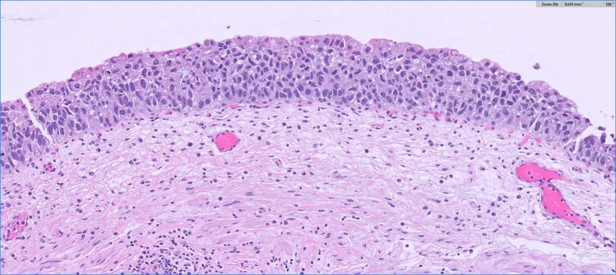
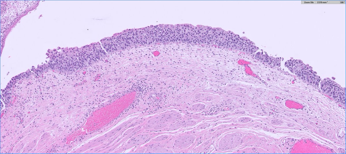
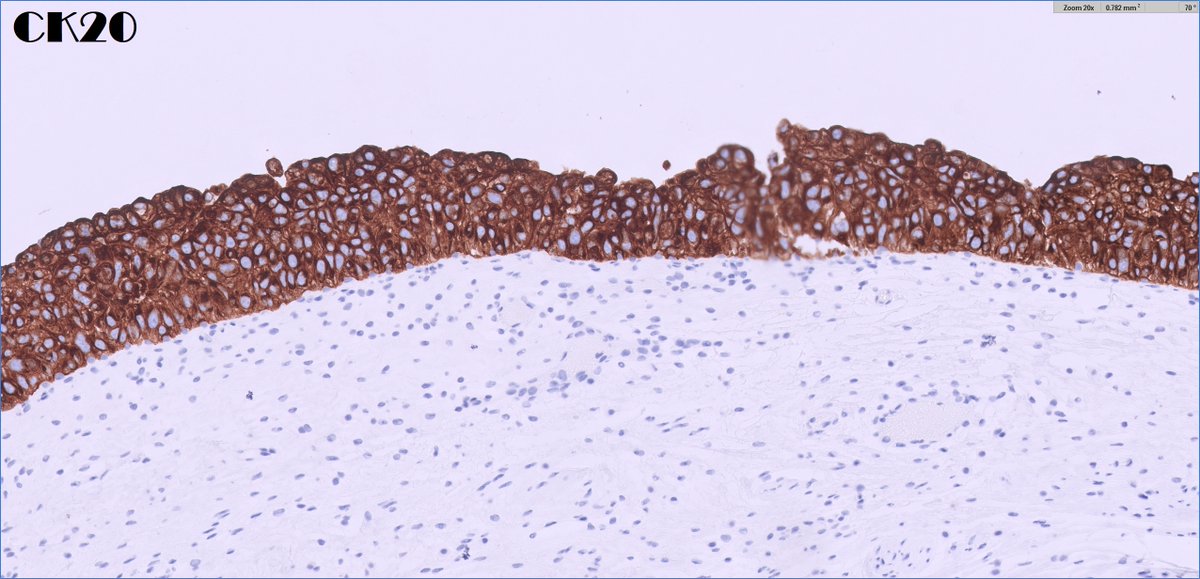
*** Case of the Month *** Bladder lesion in an 80 yr old female patient Contributors : Ronniel Morais Albuquerque Daniel Athanazio FB: GU Pathology Society IG: gu_pathology_society LinkedIN: GUPS Society Bluesky: https://t.co/1hR9PHdTaG
https://t.co/ijDfT9Juld
1
7
19
Hot from press and right in time for Prostate Cancer Awareness Month: we explain why prostate cancer with favorable histology is not same as prostate cancer indolence! Must to understand the concept! 5 minutes read! #ProstateCancer #gupath
1
12
30
Dr. Christopher Przybycin: Paratesticular Epithelial Tumors: Pathologic Classification and Diagnostic Workup The talk will be recorded and available on the GUPS website. See you there!
0
1
4
Dr. Ezra Baraban: Testicular Neuroendocrine Tumors: From Tumor Biology to Clinical Diagnosis Dr. Andres Acosta: Sex-Cord Stromal Tumors of the Testis: Recent Updates and Basic Practice Recommendations for Diagnosis and Prognosis And..
0
1
3
GUPS Virtual Education Series When: Thursday, September 25th (12:00 to 1:30pm EST) Eastern Time (US & Canada) Topic: Difficult Areas in Testicular Pathology Register: https://t.co/HhKJZb8Q4h Featuring: See comment 👇🏼👇🏼
2
22
53
*GUPS Distinguished Lecture Series** The intersection of GU pathology, transplant pathology and medical kidney disease -what is it and why does it matter? Thu August 28, 2025 12:00-1:00pm EST Dr. Picken of Loyola university Medical college, Chicago Registration to follow
2
24
45
*GUPS Distinguished Lecture Series** The intersection of GU pathology, transplant pathology and medical kidney disease -what is it and why does it matter? Thu August 28, 2025 12:00-1:00pm EST Dr. Picken of Loyola university Medical college, Chicago Registration to follow
2
24
45
Check our latest work on #testicularcancer: Expression of ENPP1 in testicular germ cell tumors https://t.co/yvdgovxQqO
@IPOPorto @GEBC_IPOPorto @ICBAS_UPorto @IntSocUropath @GU_Path_Society @YAUpenile_tesCa @MaGIC_GCT @ESP_Pathology @TheUSCAP #pathtwitter #gupath @TestesCancer
karger.com
Abstract. Introduction: Testicular germ cell tumors (TGCTs) are the most common solid malignancies among young men. Despite good response to cisplatin-based chemotherapy, side effects negatively...
0
3
9
The wait is almost over.. join us tomorrow to kick off the GUPS VES series. Don’t forget to register and see you there! 🫵🏼 *** GUPS VES *** When: Tuesday, August 5th (12:00 to 1:00pm EST) Eastern Time (US and Canada) https://t.co/ihYeE8EdK3
0
12
18
The wait is almost over.. join us tomorrow to kick off the GUPS VES series. Don’t forget to register and see you there! 🫵🏼
0
0
1
*** Case Of the Month*** Exophytic bladder tumour Contributors : Laurence A Galea, Sree Appu https://t.co/JVOZ1NQ8Mf
#GUPSCOW #GUpath #pathology FB: GU Pathology Society IG: gu_pathology_society LinkedIN: GUPS Society Bluesky: https://t.co/1hR9PHdTaG
0
6
9
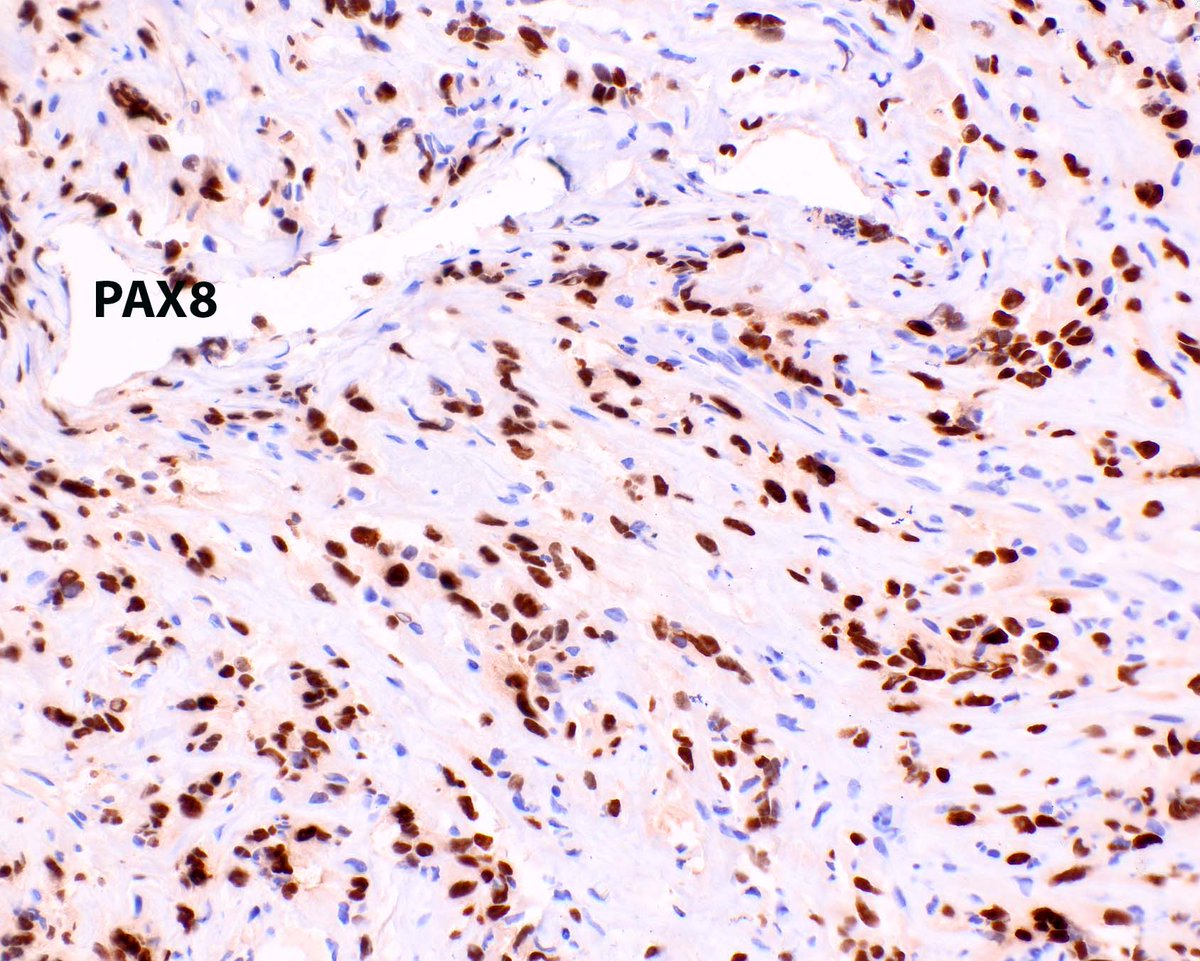
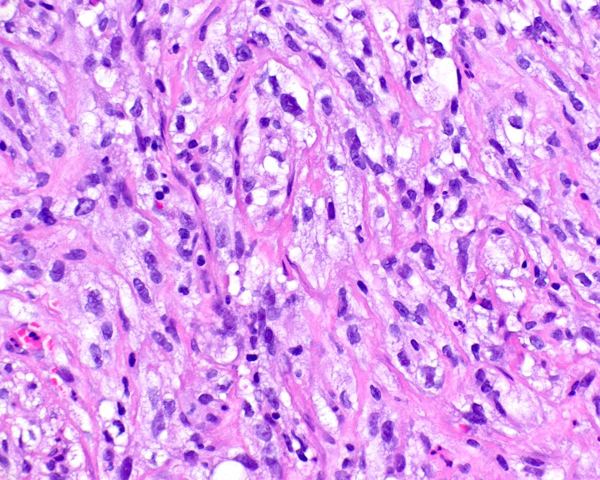
This sarcomatoid renal cell carcinoma was difficult for me. I initially thought it was a PEComa and added pertinent immunohistochemistry - all negative (HMB45, smooth muscle actin, cathepsin K). Then I woke up and added a keratin!
2
40
149