
Ziad El-Zaatari
@ziad_zaatari
Followers
5K
Following
8K
Media
818
Statuses
3K
Surgical Pathologist @MethodistHosp. #GUpath #RenalPath. Photography and #PathArt enthusiast. Tweets do not equal medical advice.
Houston, TX
Joined June 2016
New Path Residents: Check out this Grossing Atlas with nearly 150 real gross specimens, sample dictations and tips. Written by Monica Lemos, an experienced PA and teacher at @MethodistHosp Book will be out in August, and you can pre order from Springer or Amazon. #grosspath
4
59
238
Youβre about to enterβ¦ the Giveaway Zone π» Thatβs rightβIβm teaming up with amazing small businesses in STEM this spooky season to drop mystery science boxes! ππ¬ Follow on IG for details + your chance to enter: https://t.co/YA2M1BC6JW
#PathArt #PathX
0
5
14
π¬ Microscopes + π· Photography... We've got another survey! Take it in 5-10 minutes, here: https://t.co/arjbCn5ea4 And help us understand and develop better methods for microscopic photography in pathology!
0
9
18
1
15
71
#PathArt highlight for September, submitted by Pooja Srivastava, MD, FCAP. Put your #PathArt in the spotlight! Octoberβs PathArt of the Month contest is now open for submissions. https://t.co/64zOX0RU70.
1
9
33
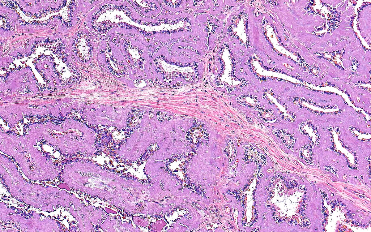
π¬π· Seminal Vesicle Amyloid ~ Subepithelial amyloid deposits, incidental finding, not associated with systemic amyloidosis ~ #GUpath #Pathology #Prostate (For a good reference: https://t.co/PA8x1p3jUx)
0
12
53
0
6
58
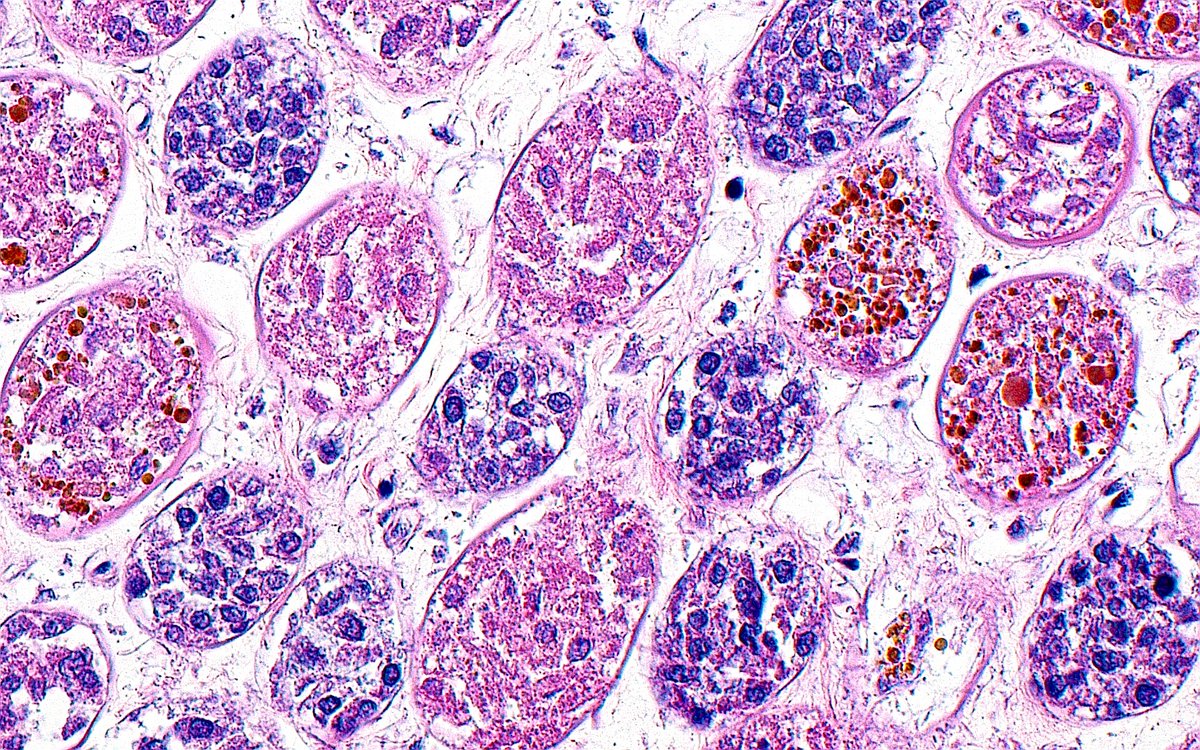
π¬π· Cholestasis ~ Bile pigment (yellow-brown) inside cytoplasm (pink) of hepatocytes ~ #Pathology #Liver #Hepatology #PathArt
0
7
44
π¬πΈ "Papillary Capillaries" ~ Fibrovascular core of a papillary urothelial carcinoma with multiple capillaries ~ #GUpath #Pathology #Bladder #PathArt
0
15
67
0
13
40
π¬π· "Clefts and Calcium" ~ Cholesterol clefts and calcification, from atherosclerotic plaque in an aorta ~ #Pathology #Autopsy #CVpath #PathArt
1
12
41
0
2
15
π¬π· "A Sea of Daisies πΌ and Red Cherry Blossoms πΈ" ~ Colon crypt cross sections with red blood cells in capillaries ~ #Pathology #Histology #PathArt
2
6
66
π¬π· Fallopian Tube.. from a mile above! βοΈ (Super low power view) ~ #Pathology #Histology #GYNpath #PathArt
4
16
116
1
13
56
1
7
54
π¬GI Closeups! πΈ "Portrait of a Daisy" ~ Colon Crypt Cross Section "Clear Glands" ~ Brunner Glands "PPI Pink" ~ Proton Pump Inhibitor Effect "Villi Intersection" ~ Small Bowel Villi #Pathology #Histology #GIpath #PathArt π¨
0
11
74