ahmsab_MD Profile Banner
Ahmed Sabri Profile
Ahmed Sabri

@ahmsab_MD

Followers
1K
Following
2K
Media
129
Statuses
778

Assistant Professor @CreightonSOM/@CreightonPath. Past HemePath Fellow @UNMC_PathMicro, AP/CP @CreightonPath, Research Scholar @UCSDhealth & MD @UJ_Med.

Omaha, NE
Joined July 2021
Don't wanna be here? Send us removal request.
@TJLynnMD
Terrance J. Lynn
8 days
Itโ€™s amazing what you get to see in cytology! A cell block from EBUS. #CytoRocks
4
9
65
@ahmsab_MD
Ahmed Sabri
16 days
Excellent presentation by our resident Shuai Li at the Nebraska Association of Pathologists (NAP) fall meeting on Wednesday 11/12/2025 about his research with peripheral Artery Disease! @CreightonPath #PathMatch26 #pathmatch2026 @ShuaiLiMDPhD @NebMedAssn
0
0
7
@ahmsab_MD
Ahmed Sabri
18 days
3
0
15
@judith_ferry
Judith Ferry
25 days
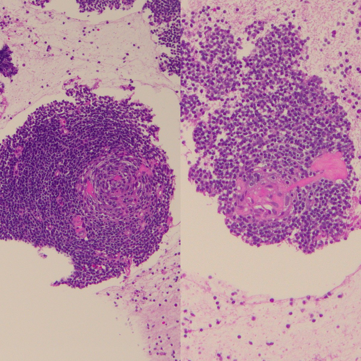
Pathologists! What do you make of this enlarged pre-articular lymph node in adult male originally from India? Otherwise, asymptomatic, no enlarged nodes away from head and neck. #HemePath #Lymphadenopathy #lymphnode
6
19
62
@nihardesai89
๐—ก๐—ถ๐—ต๐—ฎ๐—ฟ ๐——๐—ฒ๐˜€๐—ฎ๐—ถ MD, DM
29 days
56, female, presents with difficulty swallowing 140 days after allogeneic transplant for AML ๐Ÿ˜ญ GI scopes her, sees ๐Ÿ‘‡๐Ÿฝ Path sees ๐Ÿ‘‡๐Ÿฝ What's going on? Management?
27
23
193
@TristanRutland7
Tristan Rutland MBBS FRCPA IFCAP
10 months
4
51
158
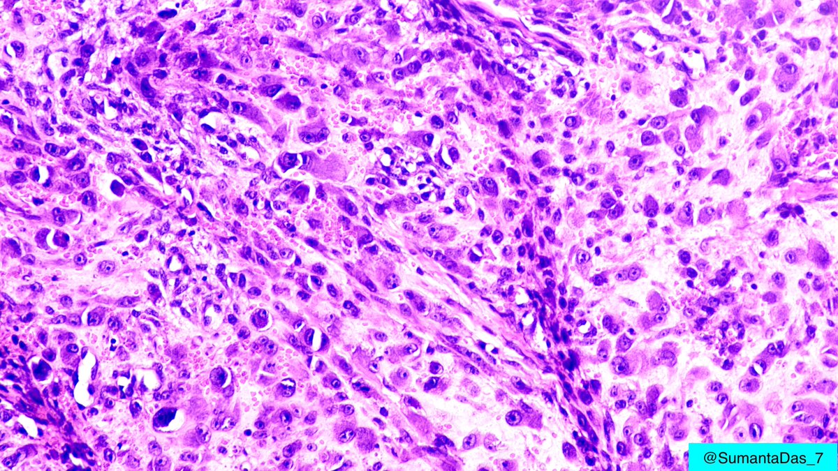
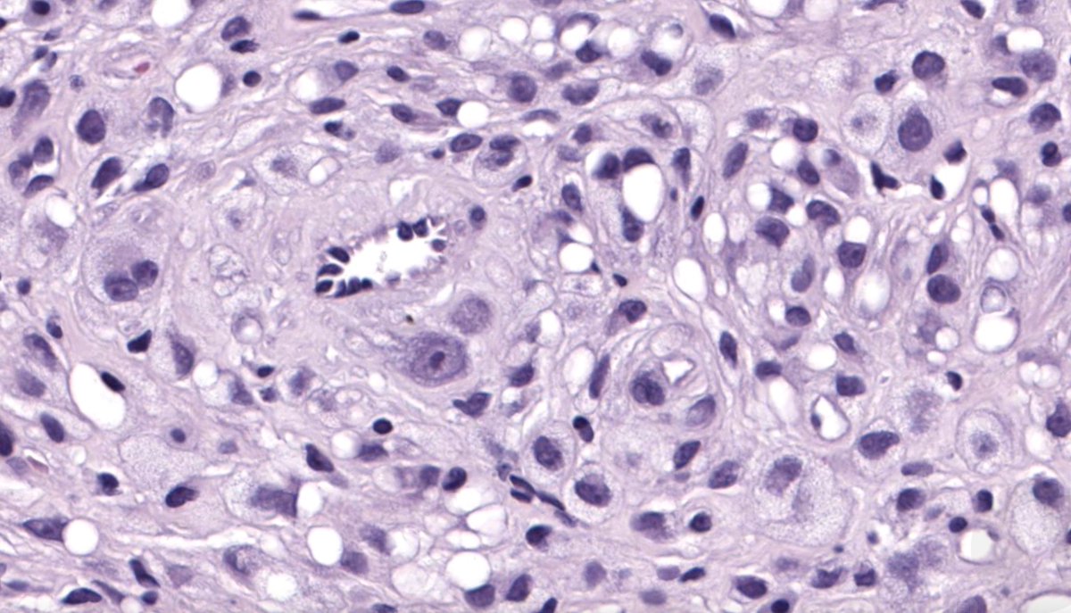
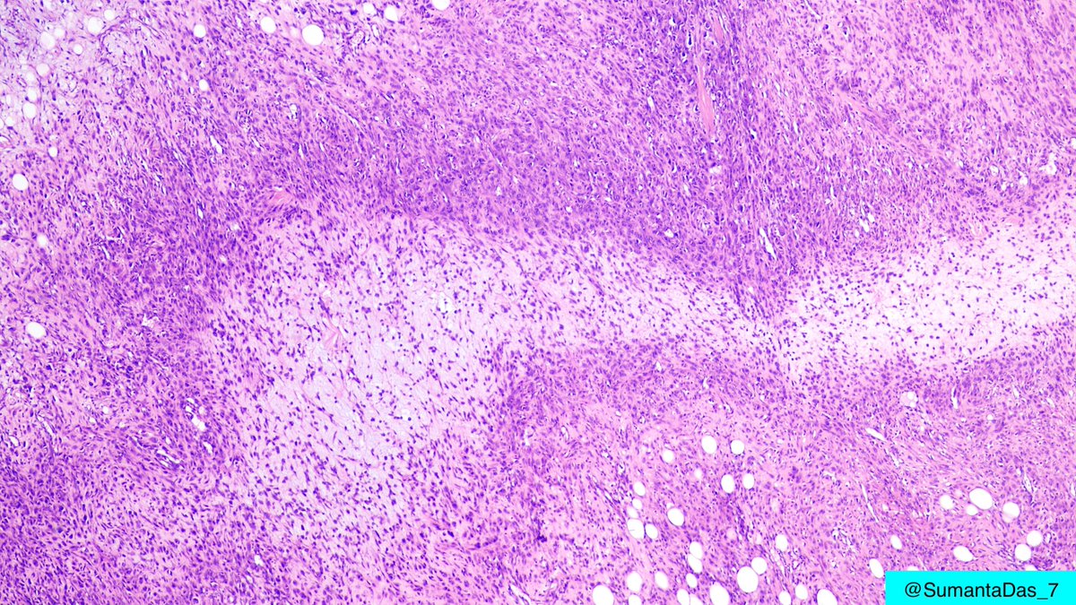
@SumantaDas_7
Sumanta Das
1 month
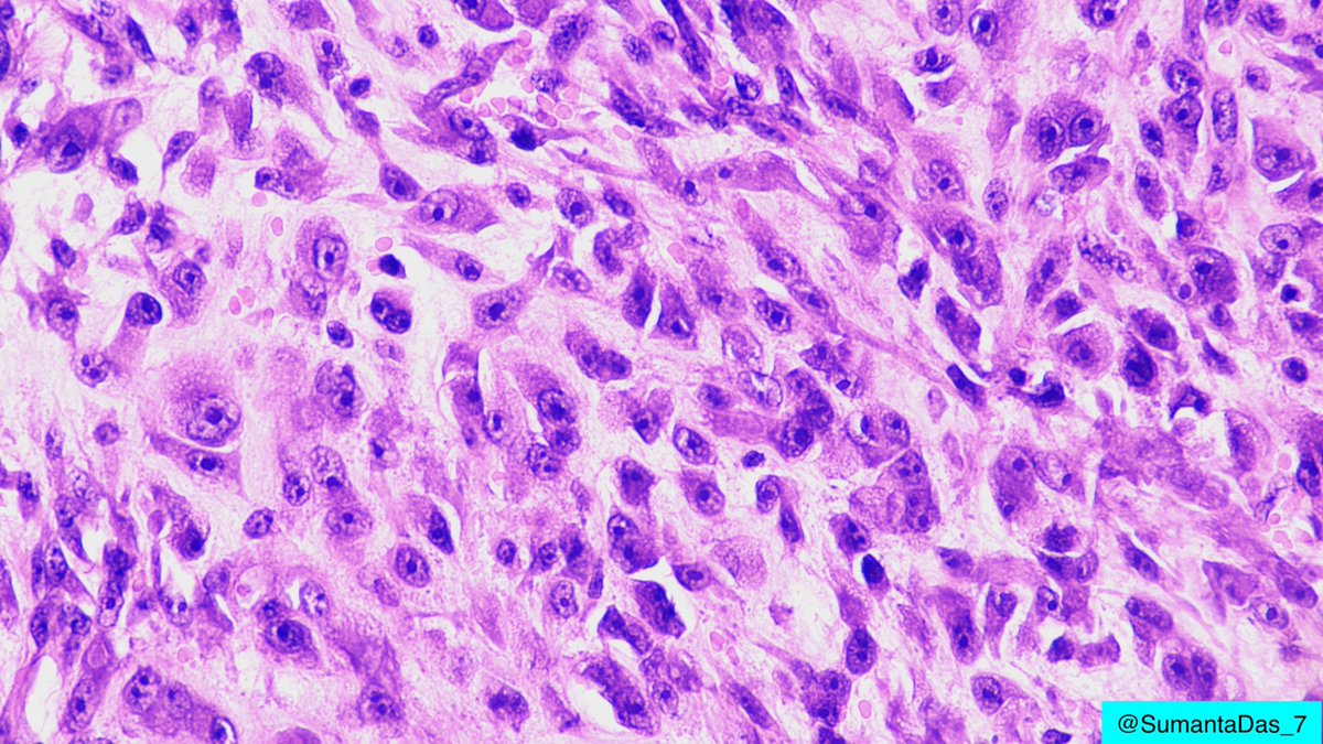
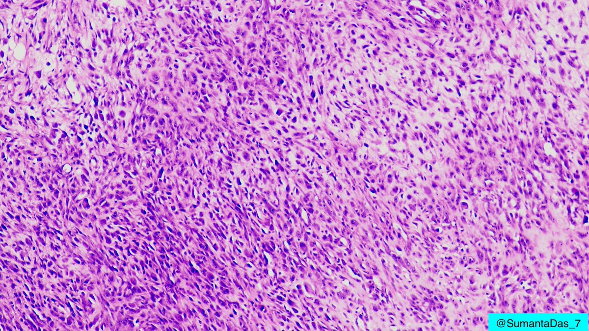
Male in 40s. Forearm mass. On low magnification, hypercellular area and hypocellular loose myxoid areas. On high magnification, sheets of ganglion-like cells with amphophilic cytoplasm, vesicular nuclei and prominent nucleoli. #PathTwitter #BSTpath
1
24
54
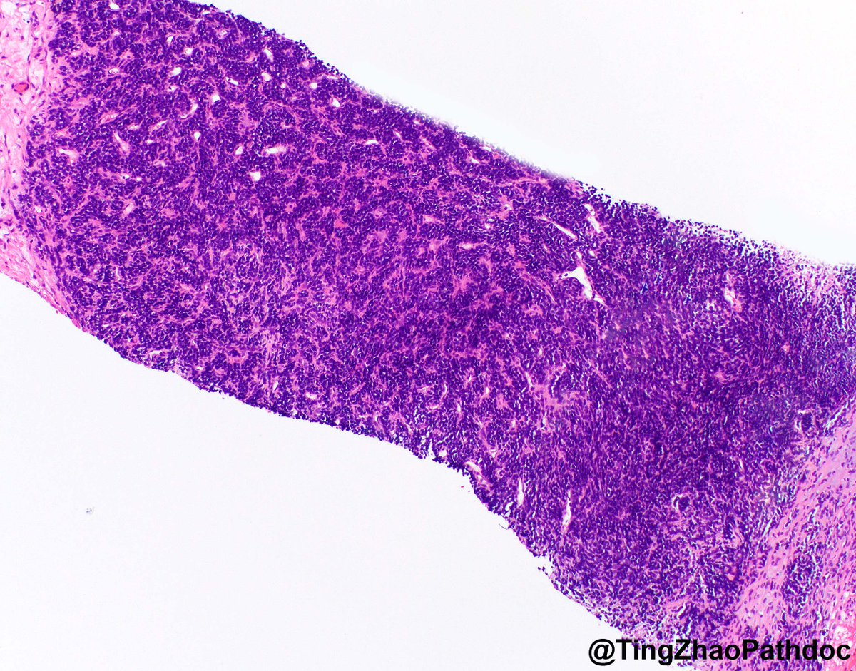
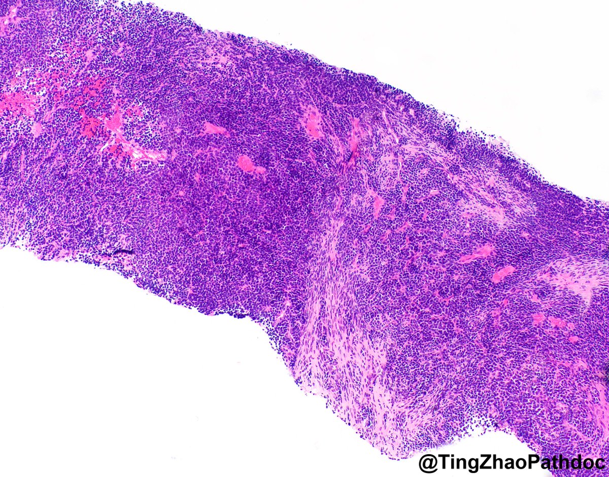
@TingZhaoPathdoc
Ting Zhao, MD
1 month
20s M, renal biopsy. What is your diagnosis? #PathTwitter @MGBpathology @MGHPathology
23
59
161
@ahmsab_MD
Ahmed Sabri
2 months
0
0
1
@ahmsab_MD
Ahmed Sabri
2 months
A pre-proof of our work on B-Cell lymphomas at University of Nebraska is now in press! Lymphomas with IGH::PAX5 rearrangement: Case Series Report and Literature Review https://t.co/1dPdn501sK @Pathology_RCPA @unmcpatheduc @UNMC_PathMicro @CreightonPath
0
2
7
@CreightonPath
Creighton Pathology
2 months
Another resident-led slide session on the multi-head scope today, with Dr. Penka joining us remotely for discussion and teaching. Great learning together as a team! #Pathology #Residency #PathX #PathTwitter @CreightonGme @ShuaiLiMDPhD
0
2
13
@bfaquin
WC Faquin, MD, PhD
3 months
5 full days of surgical pathology! https://t.co/gRjx4YltO6
1
15
53
@slusagar
Ankur Sangoi
3 months
picture-perfect #GUpath urothelial carcinoma in situ (CIS) with CK20+ and p53 mutant (uncommon "null phenotype" pattern)
2
32
110
@DrMarkOng
Mark Ong
1 year
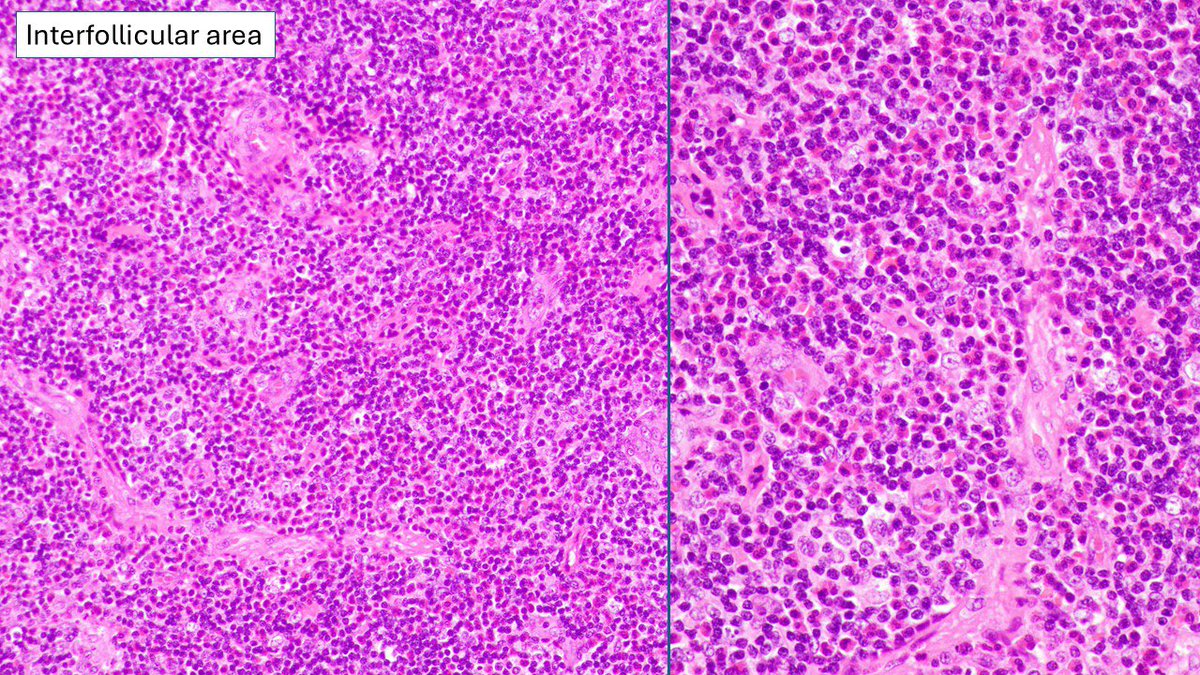
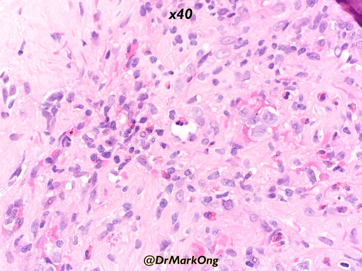
Adult lymph node core biopsy. This was a >1 round of IHC case. What would you start with? #hemepath #pathology
7
17
46
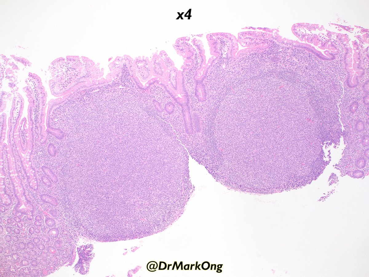
@DrMarkOng
Mark Ong
3 months
Biopsies from polypoid duodenum. What's your diagnosis? #GIpath #pathX #pathology
12
32
103
@PathologyKate
Kathryn Lindsey
3 months
h/o breast cancer and myeloma Which one is it?
25
15
87
@JMGardnerMD
Jerad Gardner, MD
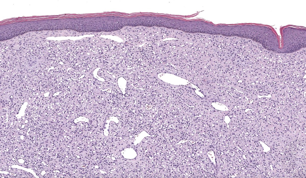
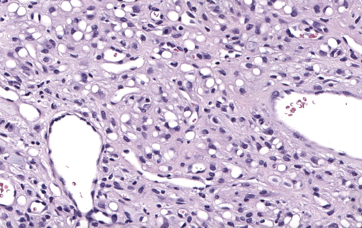
3 months
30 yo F shoulder papule. What ONE stain can solve this? Diagnosis โœ… https://t.co/nc0TH902sW WSI digital slide: https://t.co/VFkMXz0cLr Immunostains: https://t.co/gEaHgjKInQ #pathology #pathologists #pathTwitter #dermpath #dermatology #dermatologia #dermtwitter #BSTpath
0
4
10
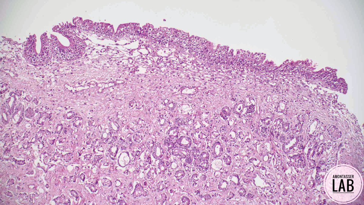
@AMontasserMD
Ahmed Montasser
3 months
โ€ข Request form: M, 76 Y, prostate enlargement โžก๏ธ TURP โ€ข ๐Ÿ”ฌ: #GUpath #PathX #Pathology ๐Ÿคท๐Ÿปโ€โ™‚๏ธ
4
3
17
@nourhan_path22
Nourhan Ibrahim
4 months
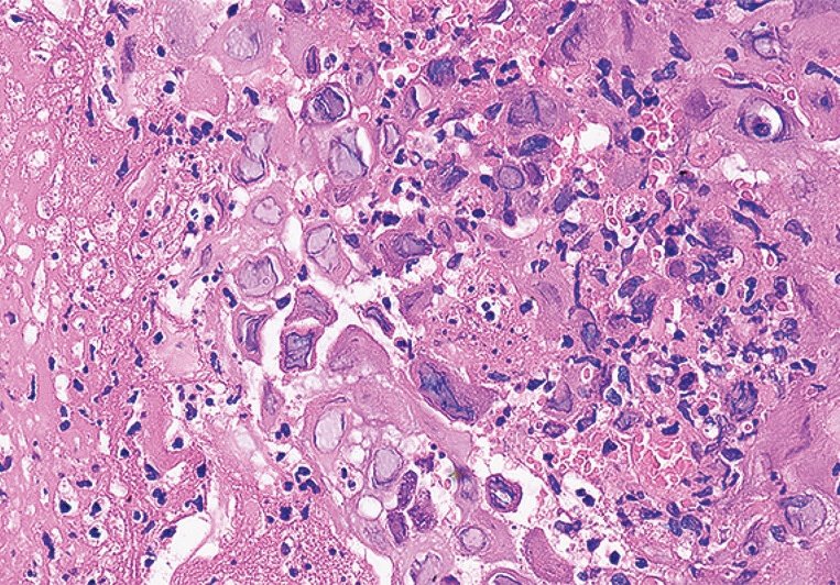
Retroperitoneal lymphnode in HIV positive patient, B and T cell markers both are negative, what could be the diagnosis with such morphology and immunophenotypeโ‰๏ธ
7
41
143