AMontasserMD Profile Banner
Ahmed Montasser Profile
Ahmed Montasser

@AMontasserMD

Followers
2K
Following
3K
Media
626
Statuses
2K

Pathologist.. and I have a dream! Founder @amontasserlab

Egypt
Joined December 2011
Don't wanna be here? Send us removal request.
@AMontasserMD
Ahmed Montasser
3 years
Surgeon: it looks like GIST but the endoscopic biopsy report says adenocarcinoma! Me: well.. I’ve got news 😅 #pathology #surprise #GIpath #PathTwitter #collision #Tumor
17
70
235
@slusagar
Ankur Sangoi
27 days
#GUpath TURBT: non-inv papillary urothelial carcinoma (PUC) with admixed microcysts I don't consider this "glandular differentiation" -- I hold out for true apical cytoplasm/cribriform/villoglandular forms/lumina to call pTa PUC w/glandular diff
1
25
64
@AMontasserMD
Ahmed Montasser
5 days
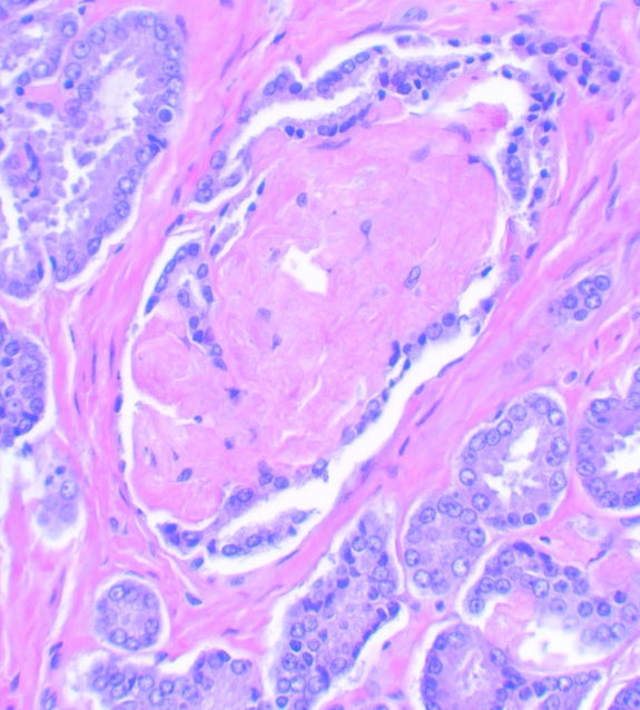
F 40+ 👩🏻 Renal mass 🔬 #GUpath #Pathology #PathX #PathX #Classic
4
8
37
@Pathologists
CAPathologists
17 days
November's #PathArt winner is @ziad_zaatari! Voted by the Digital Content Committee, his art showcases a tumor composed of two cell types: ductal/epithelial cells with true lumens and myoepithelial/basaloid cells. CAP members, submit your PathArt by 12/1 https://t.co/XejWmUN80y
1
8
25
@AMontasserMD
Ahmed Montasser
6 days
Hello @MercedesBenz , I was just looking a lymph node under the microscope and found your star ⭐️, do I get an SLR for that? 🥹
0
0
16
@AMontasserMD
Ahmed Montasser
9 days
0
5
25
@TJLynnMD
Terrance J. Lynn
16 days
It’s amazing what you get to see in cytology! A cell block from EBUS. #CytoRocks
4
9
65
@AMontasserMD
Ahmed Montasser
17 days
M 30+ 👨🏻 Scrotal masses adherent to left testis and cord Paratesticular Fibrous Pseudotumor (Funiculitis) 🔬 • Bland fibroblastic/ myofibroblastic proliferation. • Dense fibrous stroma. • Aggregates of inflammatory cells: plasma cells ++ #GUpath #Pathology #PathTwitter
0
10
43
@AMontasserMD
Ahmed Montasser
20 days
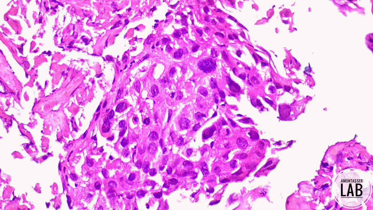
M 40+ Gallbladder fossa mass infiltrating liver 🫤 Cellblock of EUS-FNB🔬 How would you report this 🧐 #Cytology #Pathology #GIpath #PathTwitter #PathX
2
4
23
@AMontasserMD
Ahmed Montasser
26 days
Clear enough? Pun intended 😁 #GUPath #Pathology #PathX #PathTwitter
2
5
23
@AMontasserMD
Ahmed Montasser
27 days
Keep your eyes open 👁️ CMV colitis with some beautiful nuclear inclusions 😍 Cowdry described these in 1923 🙂
1
15
55
@MhPathology
MetroHealth Pathology
1 month
🎯WELL DIFFERENTIATED NEUROENDOCRINE TUMOR (GRADE 1) OF COLON. - Monotonous cells in nested/ insular/organoid patterns with salt and pepper chromatin. - Synaptophysin+, Chromogranin +/-, INSM1+ - Mitosis or Ki-67 determines the grading. #MHPathology #cwru #PathTwitter
1
16
50
@AMontasserMD
Ahmed Montasser
1 month
Mitosis of the day #MOTD Sponsored by urothelial carcinoma 😈 #GUpath #Pathology #PathX #PathX
1
1
29
@AMontasserMD
Ahmed Montasser
1 month
0
4
25
@AMontasserMD
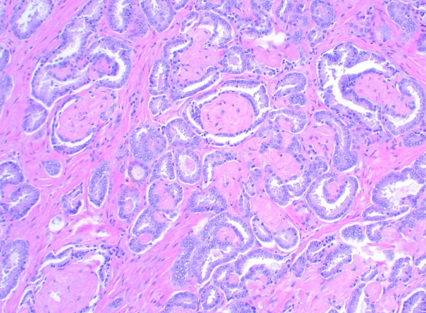
Ahmed Montasser
1 month
A bona fide GP 3 prostatic carcinoma: well formed discrete 👌🏽 See why you shouldn’t grade PNI? 🤓 #GUpath #PathX #Pathology #PathTwitter
1
3
17
@Sciences_Avenir
Sciences et Avenir
1 month
😍 C'EST AUJOURD'HUI ! 😍 Le Grand Musée égyptien au Caire est inauguré le 1er novembre, après 10 ans de retard. Son ambition : être reconnu comme le "plus grand musée du monde", avec une aile entière dédiée au trésor de Toutankhamon. Visite guidée 👉 https://t.co/wNV2Pwcmm8
1
45
177
@AMontasserMD
Ahmed Montasser
1 month
Making history.. again! #GrandEgyptianMuseum
0
1
12
@AMontasserMD
Ahmed Montasser
1 month
If you’re not brave enough to share your failures, don’t brag much about your achievements! #Random #thoughtoftheday
0
0
7
@AMontasserMD
Ahmed Montasser
1 month
0
5
26
@AMontasserMD
Ahmed Montasser
1 month
Pathognomonic 👌🏽
@JCandidoXavier
Jose Candido
1 month
Collagenous nodules in prostate carcinoma. #path #surgpath #Medicine
0
1
11
@slusagar
Ankur Sangoi
1 month
on a busy day, this section of cervix from a hysterectomy could mimic HSIL/SCC... however, this is #GYNpath colonization of patient's known #GUpath urothelial carcinoma (s/p high stage cystectomy)
5
30
94