abhigami Profile Banner
Abhi Gami Profile
Abhi Gami

@abhigami

Followers
424
Following
4K
Media
27
Statuses
197

MD @oslerresidency @penncvfellows

Baltimore, MD
Joined March 2013
Don't wanna be here? Send us removal request.
@EricTopol
Eric Topol
9 days
Ways to reinvigorate the physical exam in medicine Step 1. Do the exam. No "WNL"—we never looked https://t.co/2zpB6Xjtqt
31
198
680
@JGrapsa
Julia Grapsa
1 month
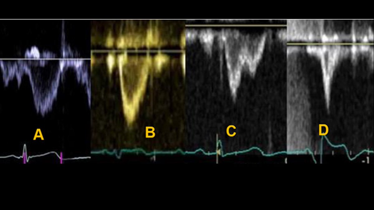
@NadeenFaza @JiwonKimMD @PWesslyMD @ASE360 @purviparwani @iamritu @DavidWienerMD @rajdoc2005 @boegel_kelly @GWhalleyPhD #ASEchoJC In normal subjects, RVOT VTI profile is parabolic, peaking in mid-systole, indicating a highly compliant PV bed with low resistance. As PVR progressively increases > more triangular. Increasing impedance to pulmonary flow can lead to notching in the mid-systolic phase
3
21
37
@jaideeppatelmd
Jaideep
1 month
Well written & thoughtful editorial led by @abhigami on ccta findings in #SouthAsians & its potential role in CVD risk stratification 🔗 https://t.co/hRRAuhQDO8 Original 📄 🔗 https://t.co/2DKuCdkzPj @BudoffMd @khurramn1 @rblument1 @DrMarthaGulati @DineshKalra @alka_kanaya
1
15
33
@KuniMatsushita
Kuni Matsushita
4 months
New #ARIC paper showing #⃣of calcified coronary plaques as a robust predictor of 🫀🧠#CVD even beyond Agatston score Outstanding job by Siyu Zou, a recent graduate from @JohnsHopkinsEPI @JHUWelchCenter @BudoffMd @yejinmok @MichaelJBlaha https://t.co/dXpoQEhlxA
0
2
6
@jaideeppatelmd
Jaideep
6 months
🚨 Excited to share our latest 📄 describing #CAC percentiles in South Asian adults led by @ErfanTasdighi @AAgarwalaMD 🆕 First study investigating the distribution of CAC scores across adult lifespan 🔗 https://t.co/JR5H16RQXa @CiccaroneCenter @masala_study #DILWALE 🧵⤵️
3
25
67
@aamirjavaidmd
Aamir Javaid, MD
6 months
Thrilled to share CAC percentiles for US South Asians. We know being SA is a risk enhancing factor, but guidelines recommended using White percentiles as this data didn’t exist. It turns out, SA typically have higher CAC at any given percentile after age 45. @OslerResidency
@ErfanTasdighi
Erfan Tasdighi
6 months
Excited to share the first time ever 🥁 "Sex-Specific CAC Percentiles Across South Asian Adults in U.S." 65% of men and 30% of women have CAC >0 by 55 ~75th percentile for 55yo SA men or 65yo SA women is absolute CAC score of 100 link: https://t.co/9lhrGqQTcK @JACCJournals
0
3
16
@rblument1
Roger Blumenthal
1 year
What a great match for ⁦@UCSFCardiology⁩ - the music at their holiday parties will improve exponentially with the addition of the ⁦@OslerResidency⁩ Master of AI ⁦@aamirjavaidmd⁩ ⁦@DoctorMarvelMD⁩ ⁦@SethShayMartin⁩ ⁦@CiccaroneCenter
3
5
43
@OslerResidency
The Osler Medical Residency
1 year
Fantastic Osler Grand Rounds on Fri with phenom #strongcope SAR @YooJinKimYJK presenting a case highlighting the importance of the physical exam & continuous evaluation when things aren’t clear. A true example of what makes the Osler Service so special. @KiernanMd #Oslerpride
2
6
38
@YooJinKimYJK
Yoo Jin Kim
1 year
Congrats to the brilliant Dr. @abhigami on his presentation on predictors of CAC in older adults aged >75! @OslerResidency #Longcope #Strongcope 💪💪
1
2
24
@YooJinKimYJK
Yoo Jin Kim
1 year
Feeling inspired after a great weekend at #AHA2024 with the best co-residents! And a huge thank you to my incredible mentors, @luigiadamomdphd & @stevenhsu_md, for the opportunities to present at AHA this year! @OslerResidency @abhigami #Strongcope #Longcope
1
4
40
@luigiadamomdphd
Luigi Adamo
1 year
Outstanding presentation from @YooJinKimYJK @hopkinsheart at AHA on recurrent pericarditis in SLE. A collaboration with @andreafava - 20% of SLE patients with pericarditis experience a recurrence, more likely if they got steroids. Bright future for #cardiacimmunology!
0
7
34
@COREIMpodcast
CORE IM
1 year
1/ 🚨 NEW #5Pearls: TPN/PPN Parenteral Nutrition Let’s review basics, indications, contraindications, complications, & myths ✨ ⤵️ 🖥️: https://t.co/VlttAL736p
1
60
197
@CiccaroneCenter
Johns Hopkins Ciccarone Center
1 year
0
3
17
@abhigami
Abhi Gami
1 year
Congrats to @AAgarwalaMD, @jaideeppatelmd, and other authors on this great work!
@jaideeppatelmd
Jaideep
1 year
Excited to share our inaugural paper from the DILWALE South Asian CV Health Registry established by @AAgarwalaMD 🔗 https://t.co/bGaynJKp6P -31K adults (largest 🇺🇸 cohort) -⬆️ RF burden: HTN,DM -RFs highest in 🚹 & premature CVD -HTN & HLD a/w 3.5x CVD risk -🚺under Rx w LLT
0
3
11
@Ronaldo_CFF
Ronaldo Correa Fabiano
1 year
@CardioNerds community is with tremendous joy that we share our @CardioNerdsAcademy 2024-2025! Welcome to the team! Let's get Nerdy and learn all together! ❤️‍🔥🥳 Many thanks to @AmitGoyalMD @Dr_DanMD @ThomasMDas @Gurleen_Kaur96
1
9
41
@nationallipid
National Lipid Association
1 year
#TweetorialTuesday is here! #LipidExcellence continues to bring us exciting information as part of #CholesterolMonth. Make sure you take part and read below!
1
9
15
@AnilOza16
anil oza
1 year
There has been gains in studying South Asian's genetics — rare variants for cardiomyopathy, "human knockouts" have lead to drug development, & better polygenic risk scores related review by: @pnatarajanmd @RomitB_MD @jaideeppatelmd https://t.co/cH8SlJOaO0
1
2
3
@EricTopol
Eric Topol
1 year
An unsolved mystery, summary of work in progress to understand basis of propensity for metabolic syndrome and cardiovascular disease. Feature @Nature https://t.co/QsmYDhbe4V by @AnilOza16
0
49
126
@aamirjavaidmd
Aamir Javaid, MD
1 year
Acknowledging the growing influence of social media discourse on public views of healthcare, we used artificial intelligence to characterize trends in @Reddit posts on GLP-1 RA (i.e. the Ozempic family of medications). Out now in @JACCJournals ! https://t.co/FeVdF8vInT
2
3
29
@priyaumapathi
Priya Umapathi
1 year
Congratulations to super 🌟 Hopkins residents and ❤️ bound @YooJinKimYJK @abhigami @hopkinsheart de-coding clinical challenges @HopkinsMedicine! Check out this 🧐 case ⬇️ @JACCJournals https://t.co/yxbQ74HCzf
1
6
34