_Wondweson64 Profile Banner
Wondweson64 Alemu Profile
Wondweson64 Alemu

@_Wondweson64

Followers
891
Following
4K
Media
147
Statuses
2K

A student of pathology | St. Paul's Hospital | #BSTpath | Loves 🎨 Art & Photography | Ethiopian & Orthodox Chris✟ian 🇪🇹 | 𝕏eets = Opinions

Ethiopia
Joined December 2022
Don't wanna be here? Send us removal request.
@_Wondweson64
Wondweson64 Alemu
11 months
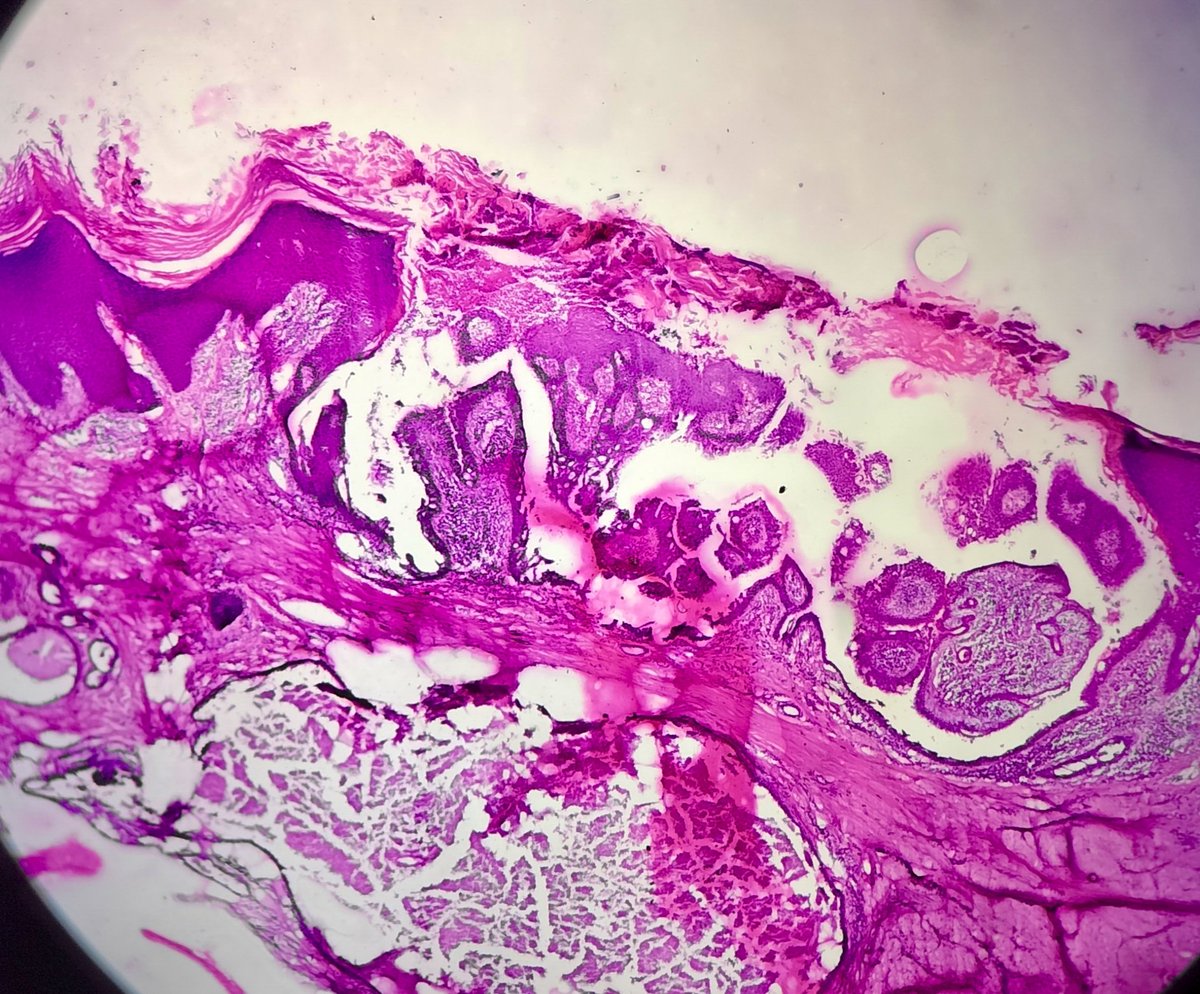
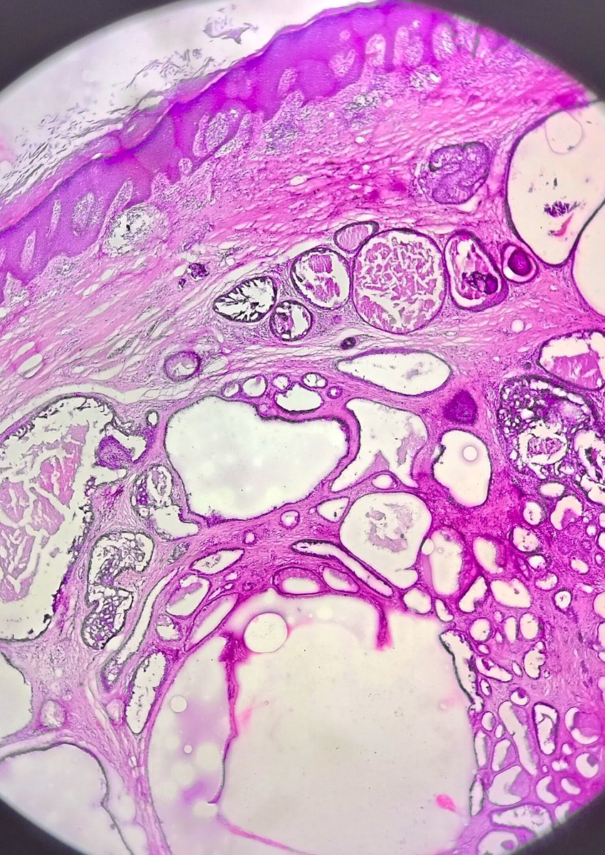
🔬Diagnosis & Annotated Pearls with DDx | Previous Case! ➤ DENTIGEROUS CYST #Pathresidents #PathTwitter #pathx @Pathologists #HandNpath @Pathology_mcqs @AceMyPath
@_Wondweson64
Wondweson64 Alemu
1 year
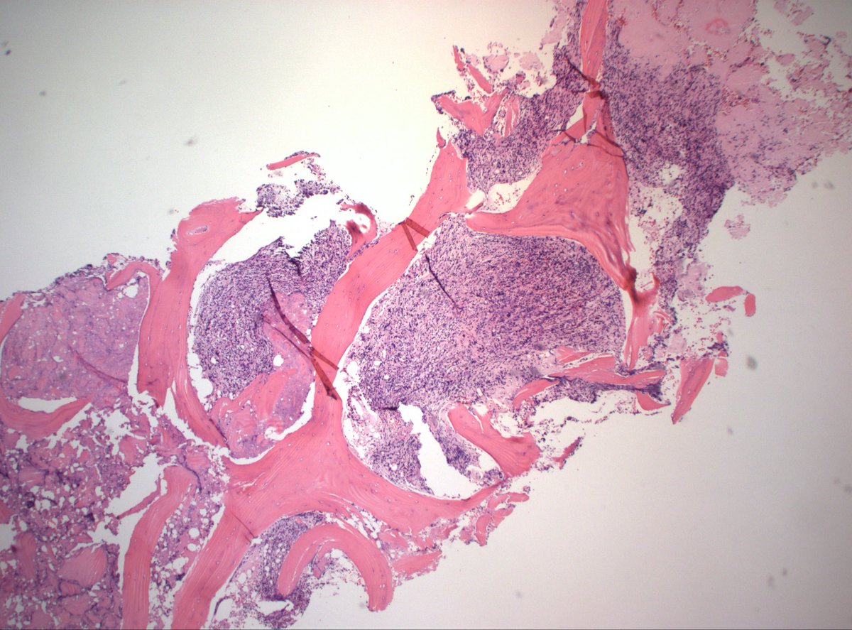
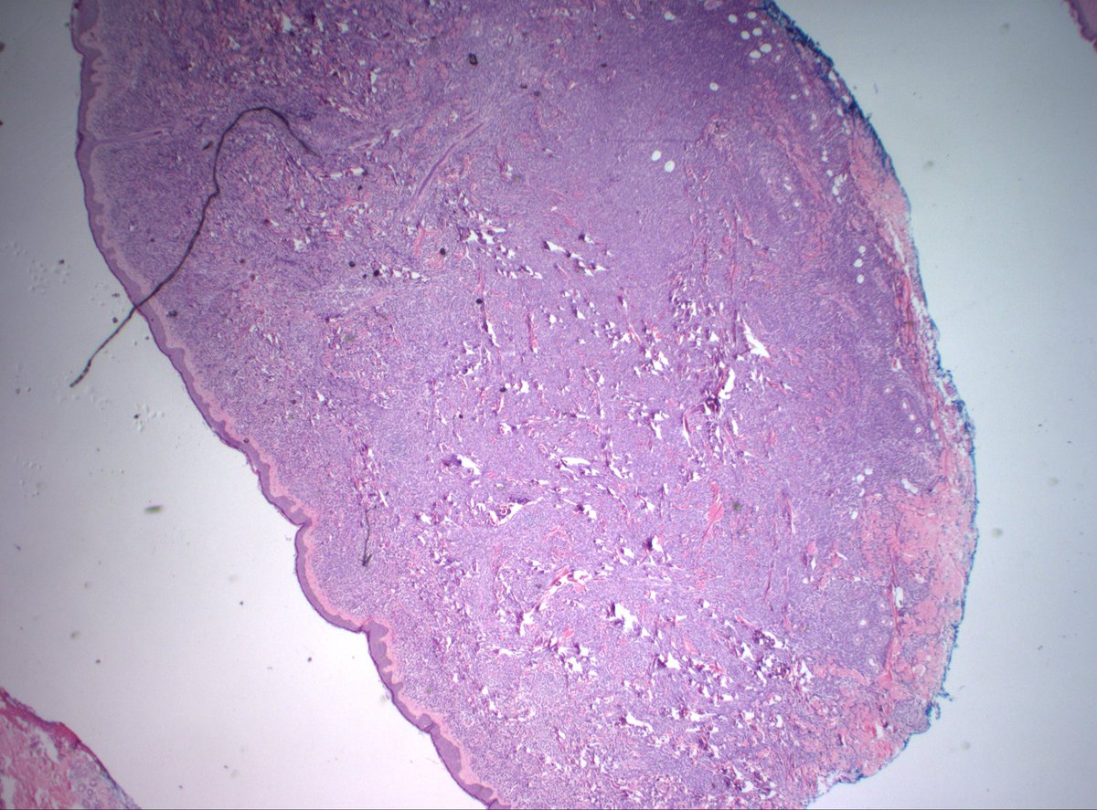
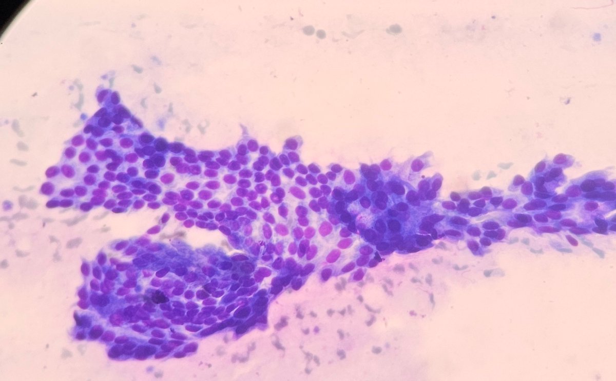
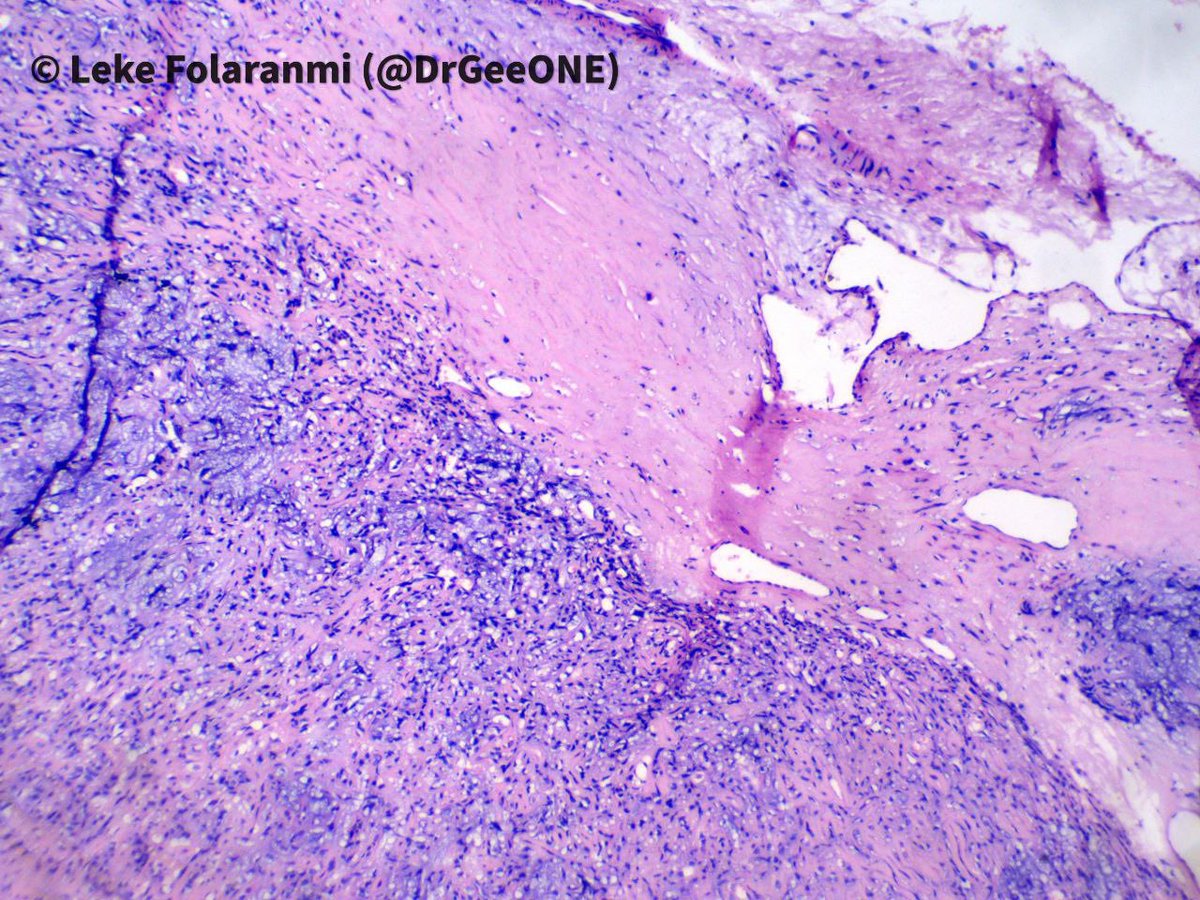
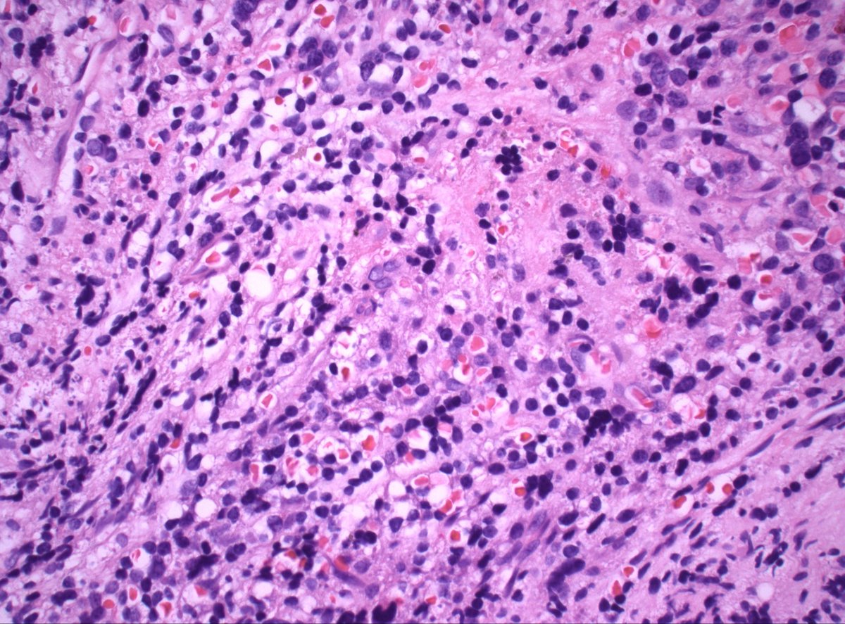
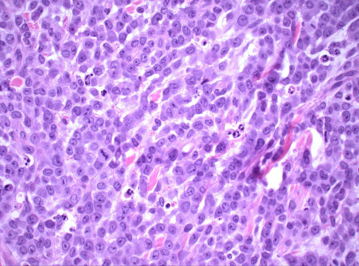
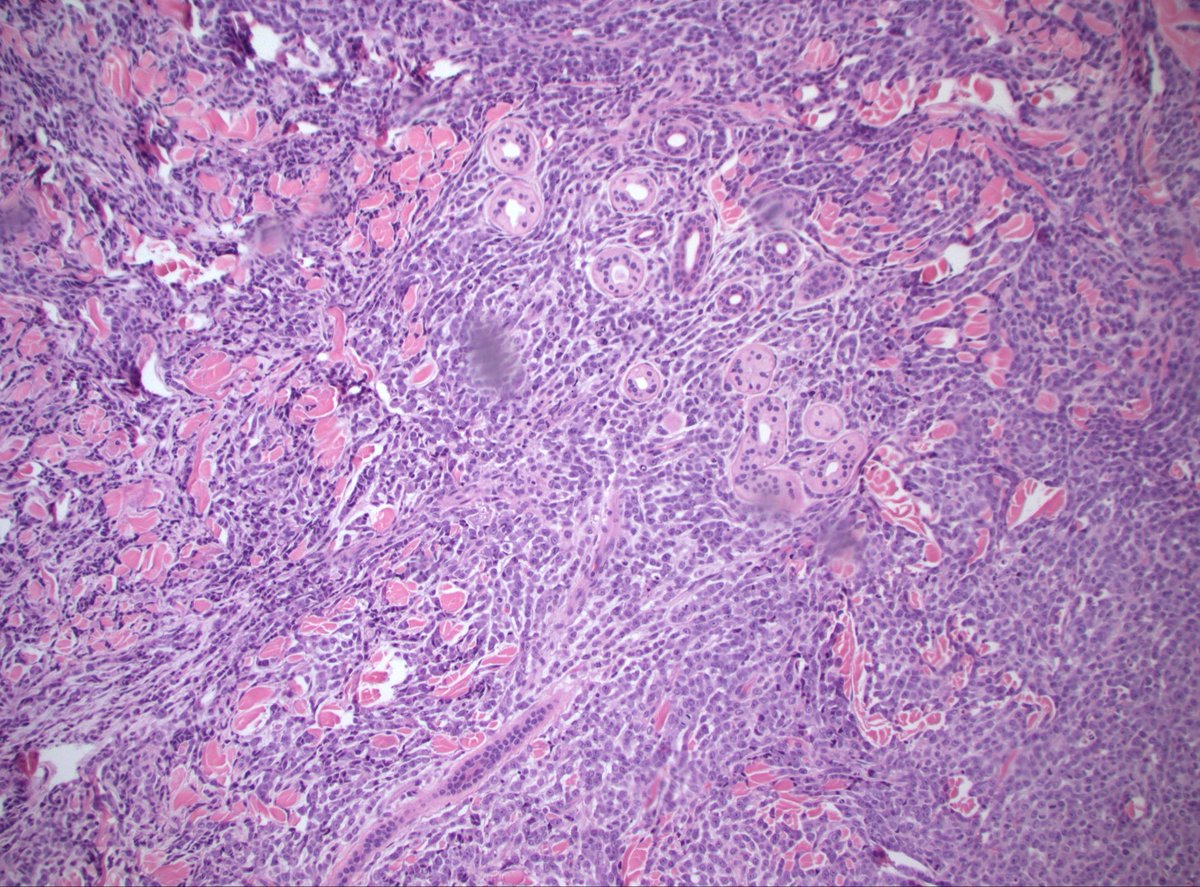
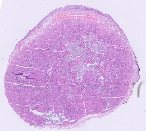
A 35 Yr | 👨 "Cyst Chronicles: Secrets of the premolar prison" ● Right Mandible 🎯 Shoot your 2 most favored DDx's @Pathologists #PathTwitter #pathX #pathresidents #HeadandNeckPath
0
34
110
@DanGrahamMD
Dan Graham
2 days
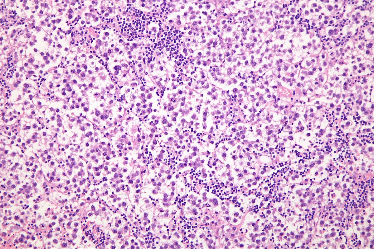
70s M forearm nodule. Dx/workup? #PathX #PathTwitter
11
11
37
@DanGrahamMD
Dan Graham
7 hours
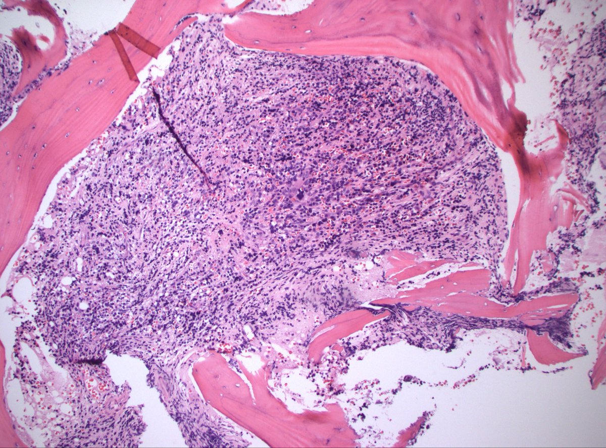
70s M h/o prostate cancer. Multiple bone lesions, this one from iliac. Dx/workup? #PathX #PathTwitter
4
3
13
@surgpathcases
Surgical Pathology Cases
1 day
1
8
21
@Janiranavarro
Janira Navarro
1 day
Breast - "occlusive" LVI Lymphatic and/or vascular invasion may be seen in stroma between uninvolved lobules and can sometimes be mistaken for DCIS if the cells completely fill the lymphatic space Dr. Brogi- 2025 Contemporary Issues in Breast Pathology #USCAP #pathology #PathX
2
15
44
@AnupamaArya12
Anupama Arya
11 days
11
15
59
@BMollamehmet
Begüm, MD
28 days
Conjunctival oncocytoma: • Caruncle tumor (well circumscribed) • Glandular spaces are lined by oncocytes and goblet cells • ⁠Cystic areas contain eosinophilic secretions • ⁠IHCs: Alpha-1-antitrypsin, GCDFP15, CEA, lysozyme, MUC1 positive #pathX #Eyepath
5
30
67
@RazaHoda
Raza Hoda MD
2 months
Case of Apocrine Encapsulated Papillary Carcinoma (EPC)🔬 A vanishingly rare entity—fewer than 10 cases reported. This apocrine EPC lacks myoepithelial cells and is ER-negative, yet remains staged as pTis. #PathX #PathTwitter #breastpath
0
25
72
@RazaHoda
Raza Hoda MD
2 months
🔔 Answer Reveal! This myxoid mystery 🪼🔬 was… 🥁 Matrix-producing metaplastic carcinoma! 💥🦴 CAM5.2 shown below 👇. Note the markedly atypical focus with glandular differentiation and abruption transition to chondroid 👀 #PathQuiz #PathX #PathTwitter #breastpath
@RazaHoda
Raza Hoda MD
2 months
Myxoid Mystery 🪼🔬 Which myxoid breast lesion is this? 👇 Answer drops Monday! ⏰ #PathQuiz #PathX #PathTwitter #breastpath
2
7
35
@RazaHoda
Raza Hoda MD
1 month
Case of Pleomorphic LCIS 🫧🔬 Same lobular, but with attitude—enlarged, irregular nuclei and bright pink cytoplasm.👩‍🎤 Don’t let this LCIS variant fool you into diagnosing DCIS. 🕵️‍♂️ #PathX #PathTwitter #breastpath
6
26
64
@MirunaPopescu13
Miruna Popescu, MD
1 month
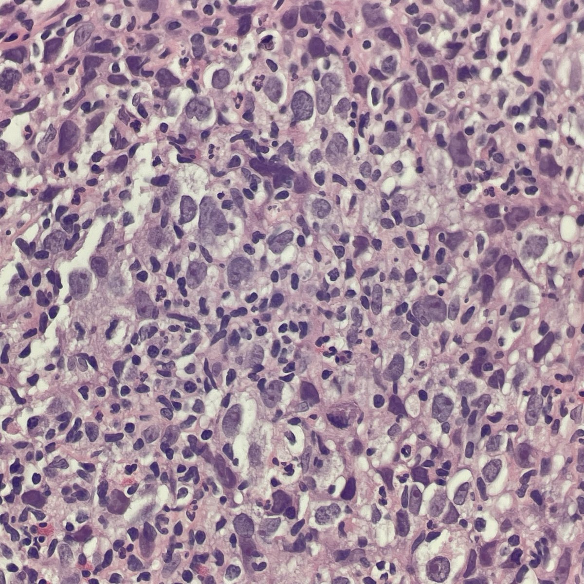
DLBCL, NOS showing signet ring cell-like morphology. #hemepath #PathTwitter
5
33
88
@Silvia_HdzMD
Silvia Judith Hernández
1 month
17 CNS Tumors with Oligodendroglioma-like pattern according WHO CNS5 👍🧠🫆 #Neuropath
1
83
199
@DrDanok
Daniel
1 month
Middle age Thigh Dome shaped skin nodule #dermpath
6
3
10
@ZohreSdgh96
Zohre Sadeghian, MD
2 months
Thrilled to share our latest publication at @CleveClinicFL!🎊 “BRAF positive Langerhans cell sarcoma arising from CALR positive myeloproliferative neoplasm: evidence of a clonal progenitor”🧬🔬 Published in Virchows Archiv! 🔗 https://t.co/2sig4qApAw #Pathx #hemepath #Pathart
1
5
29
@jcksalex
Jackson Barbosa, MD
1 month
Thank you all for participating. This is p40. Dx is SCC (mets from esophagus). When I first saw this case I thought there could be 2 different diseases (CD30, PAX5 etc were all done and were negative). These cells are p40 and CK5/6 positive, just like the obvious SCC component ⬇️
@jcksalex
Jackson Barbosa, MD
1 month
Axillary LN. Can you guess the Dx and IHC?
2
6
38
@JCandidoXavier
Jose Candido
2 months
Concentric fibrosis is a histologic feature found in dysplastic nevi, where fibrosis forms a ring-like pattern around a rete ridge #path #dermpath #dermatology #pathology
1
14
62
@AMontasserMD
Ahmed Montasser
2 months
Seminal vesicle amyloidosis: ✅ A finding in up to 10% of RPs. ✅ Mimics T3b disease intra-operatively. ✅ Usually represents a localized form rather than part of a systemic process. ✅ Suepithelial deposition of amorphous hyaline material, Congo Red + #PathTwitter #GUpath
1
14
59
@DrGeeONE
Olaleke Folaranmi
2 months
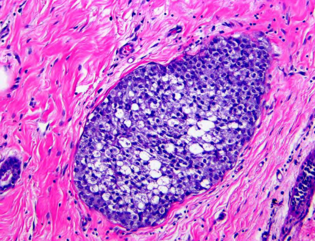
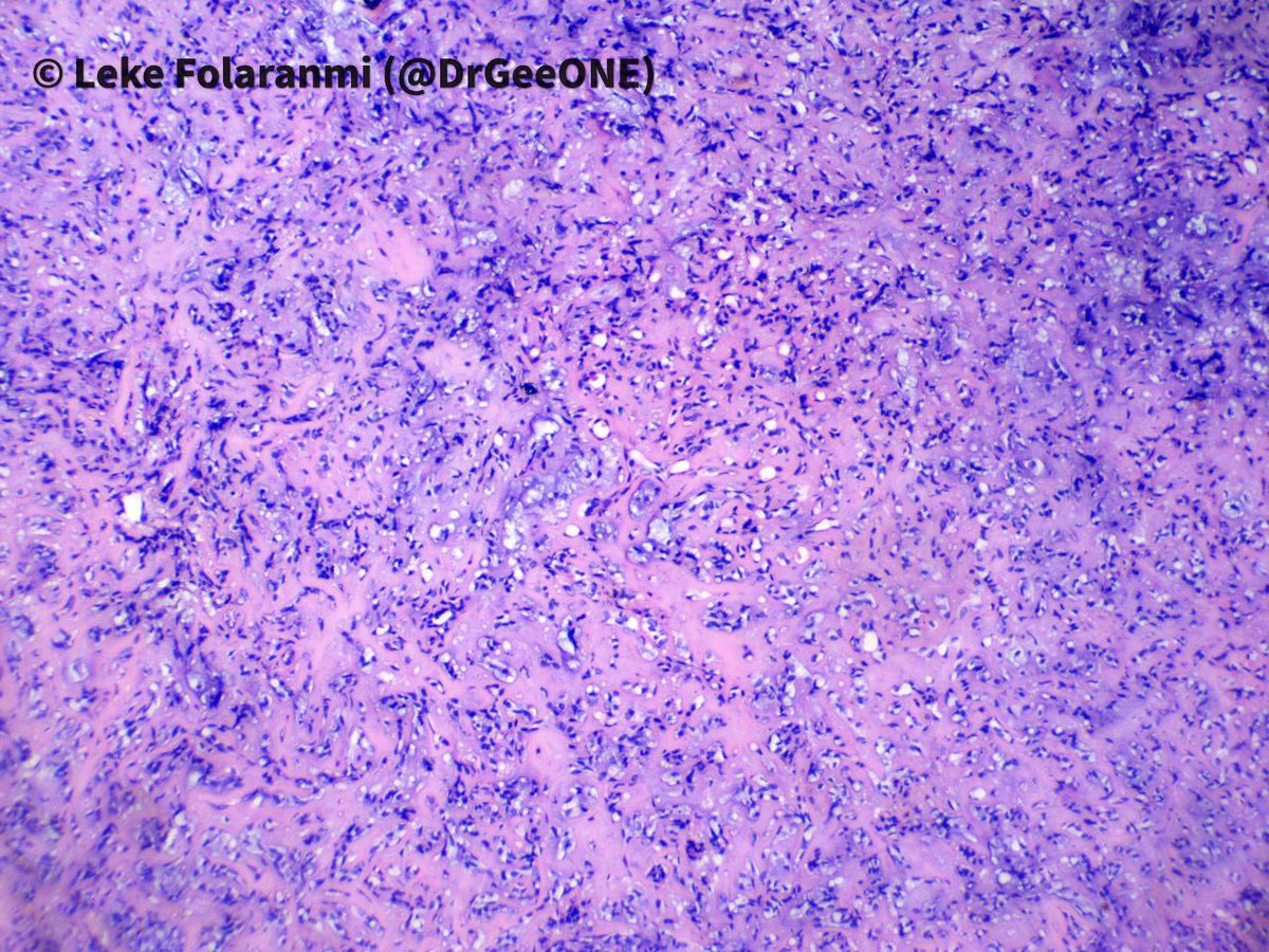
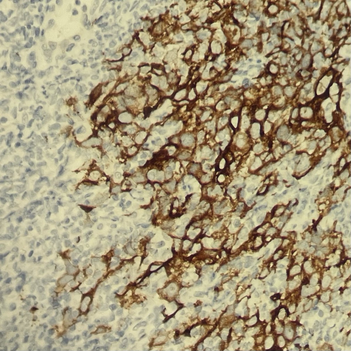
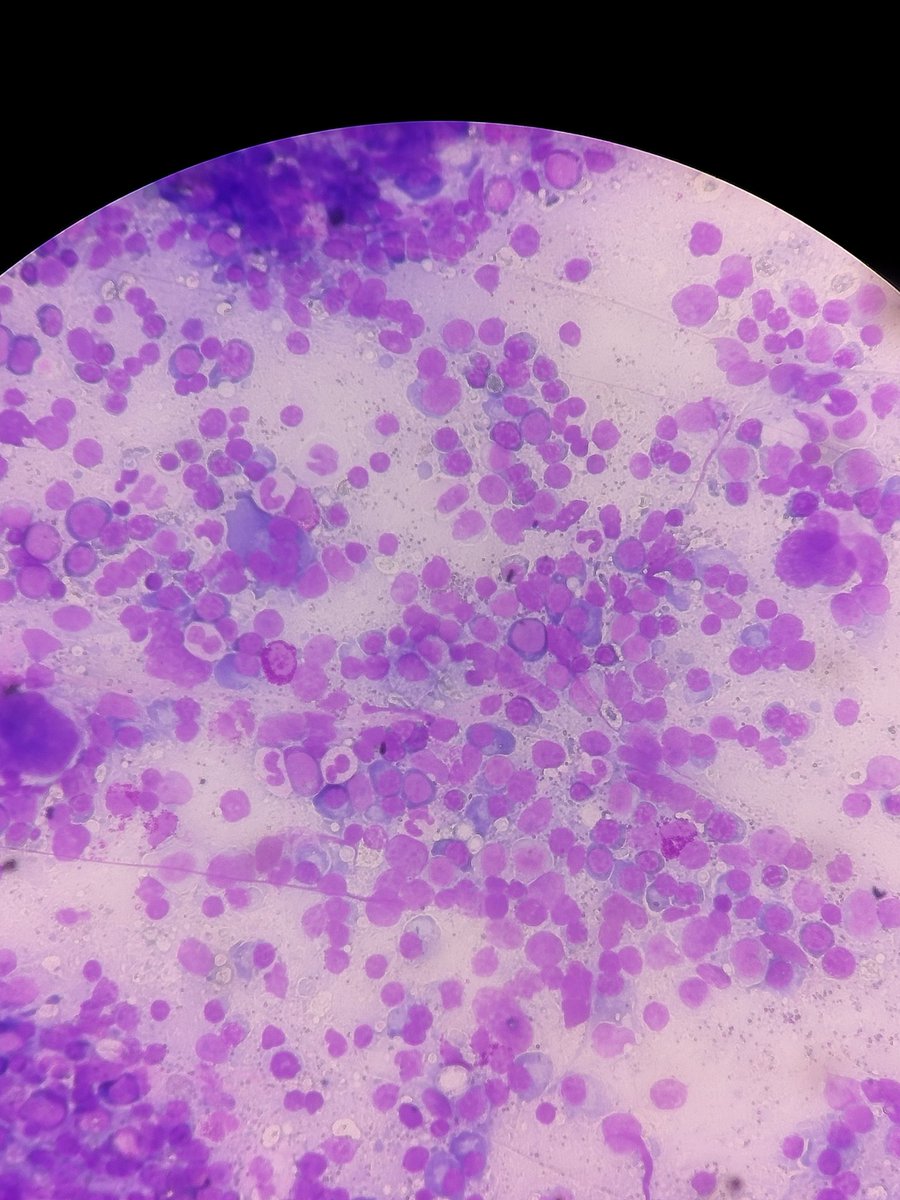
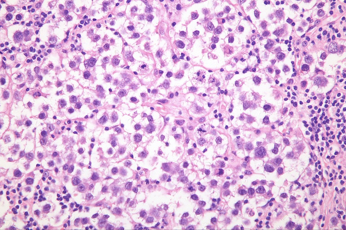
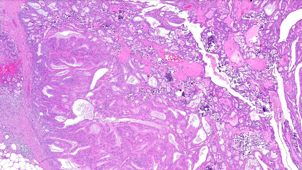
I need your thoughts on this: Parotid man in a woman in her 50s. Duration: 3 years I’m considering a myoepithelial neoplasm. #ENTPath #Pathology @JaylouVelez @LAlabdulaaly @reportesVilla @01sth02 @sakhurram @merva_st @GuptaRuta @AssaadAM @WeinrebIlan @rupp_md @DanGrahamMD
13
10
38
@kriyer68
Kalyani Bambal
2 months
#pathtweetaward #gynpath Thank you @NadiaUSAMC for sharing this rare case of PiMHEC 👉Aggressive resembles pilomatrix ca. 👉Diffuse nuc.beta catenin 👉Loss of PAX-8,ER 🧬 🧬 NSMP with CTNNB1 exon3 muts
@NadiaUSAMC
Nadia Hameed, MD
2 months
Pilomatrix-like High Grade endometrioid Adenocarcinoma of the ovary 1. Basaloid nests 2. Necrosis 3. Abrupt keratinization 4. Ghost “ shadow” cells
0
6
19
@_Wondweson64
Wondweson64 Alemu
2 months
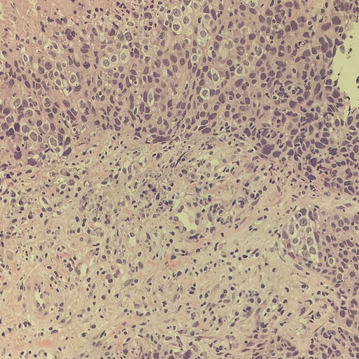
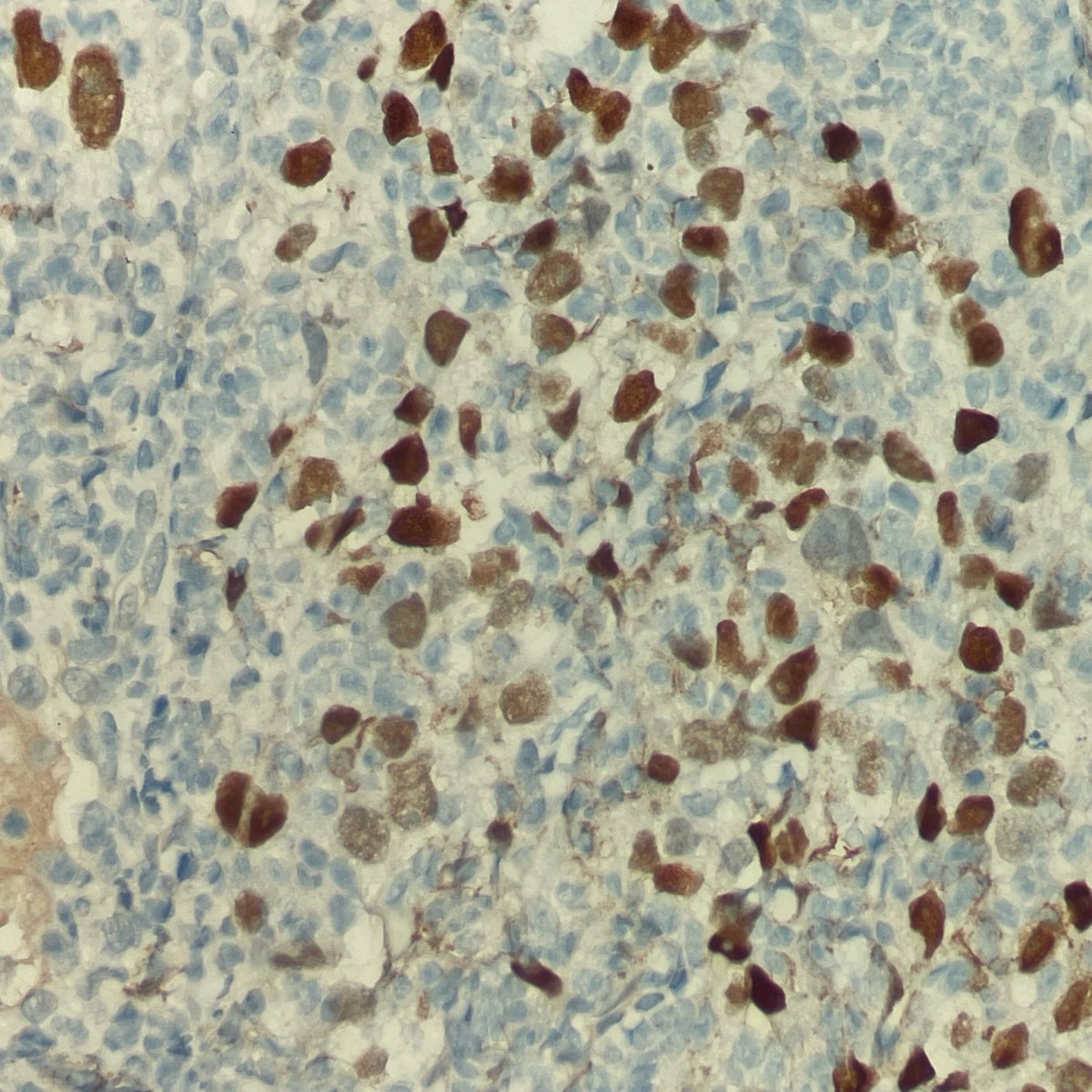
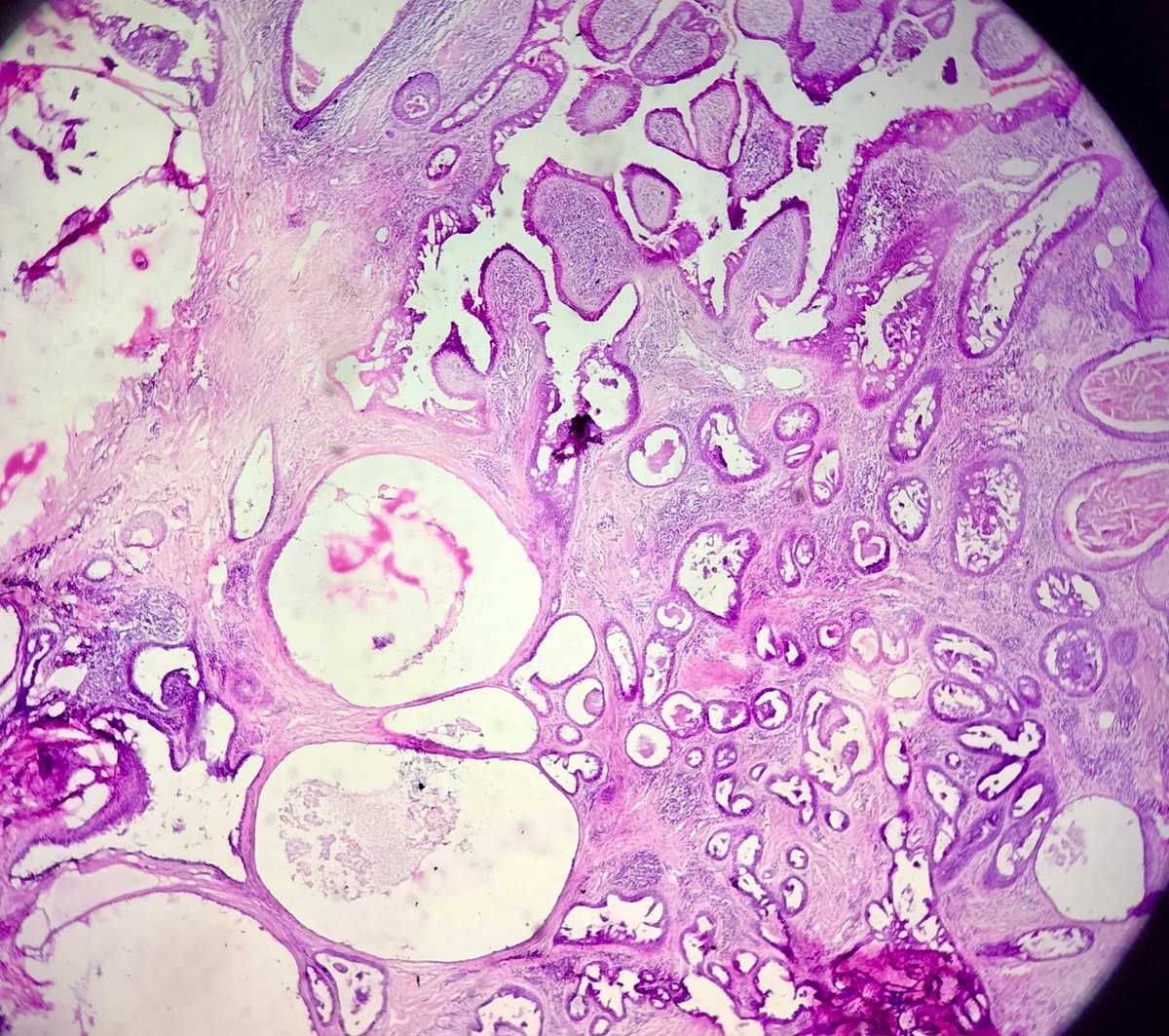
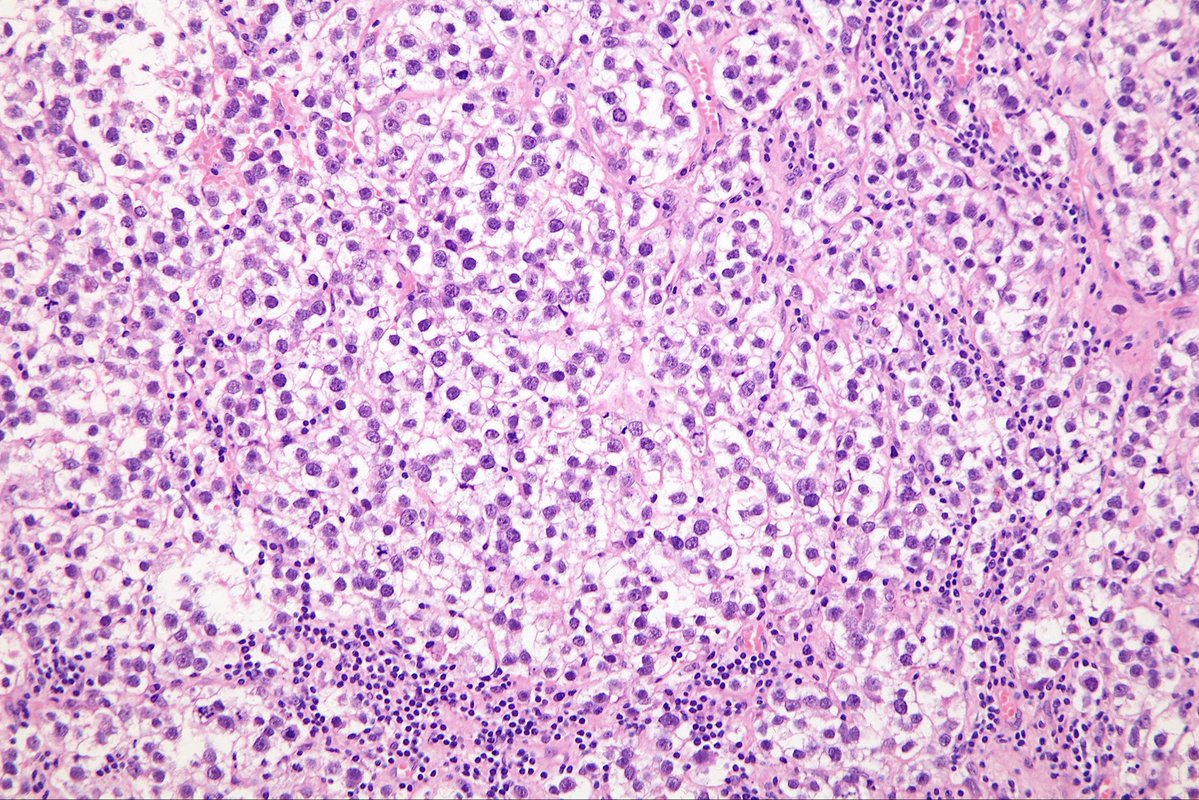
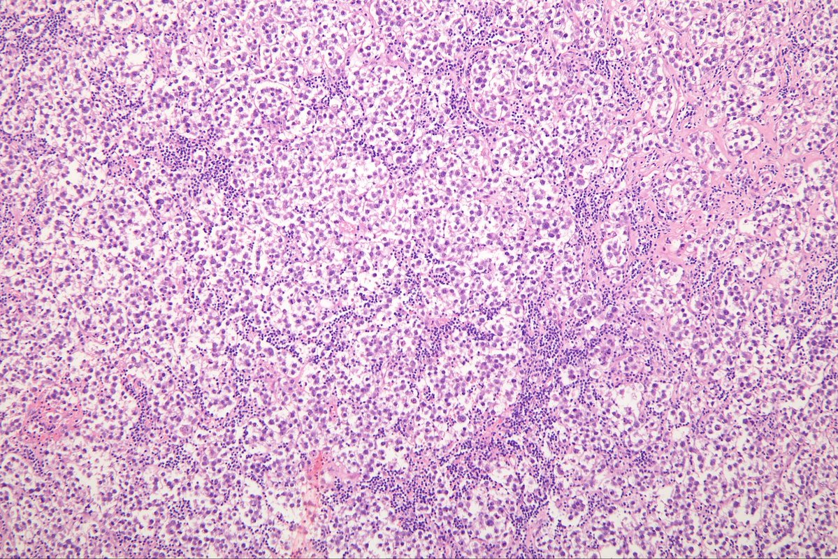
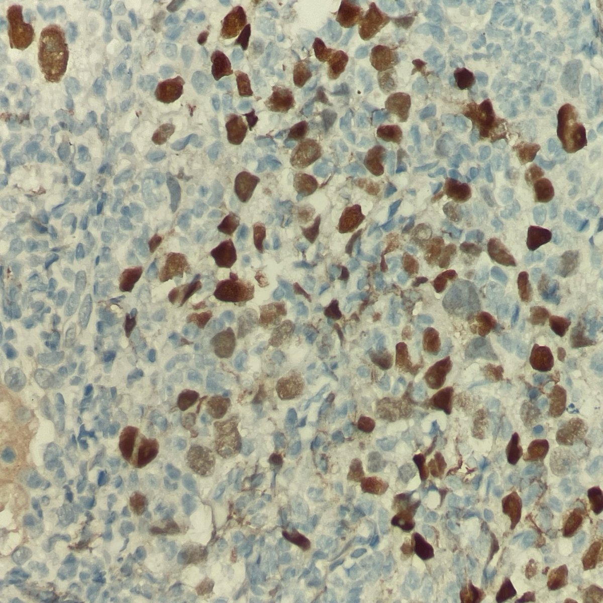
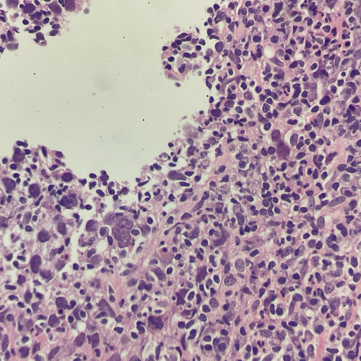
A 72 Yr | 👴 👁️ A small papillay growth over prostatic urethra 💡Thoughts? #pathology #Uropath #pathx
8
16
38
@DrDanok
Daniel
3 months
1
2
3