PagingDrPage Profile Banner
Brandi Page Profile
Brandi Page

@PagingDrPage

Followers
849
Following
2K
Media
37
Statuses
542

Radiation Oncologist. Passionate about cancer survivorship and medical education. It's an exciting time to be a radiation oncologist! views=own

Joined July 2019
Don't wanna be here? Send us removal request.
@DavidSherMD
David Sher
25 days
We have become very aggressive in bacterial decolonization to help mitigate oral mucositis in head and neck radiotherapy. It is impossible to say whether both interventions at once are better than either one on their own, but anecdotally I have been pleased. They are essentially
6
23
69
@drdavidpalma
David Palma, MD, PhD
2 months
In our NEURO-ARC study we found that sometimes #radonc residents learn better from a PDF than from a video lecture. We're now updating all modules to include PDFs, so people can follow along or read it separately. Come join us at https://t.co/6NhnSx4E4p!
2
11
58
@KoneruMd
Bobby Koneru, MD
2 months
✨ ASTRO 2025 Reflections ✨ This year’s ASTRO was one of the best I can remember. Enormous credit goes to @SameerKeoleMD for his vision and leadership, it truly came to life in an inspiring way. One theme stood out above all: the surging interest in functional radiotherapy.
0
6
29
@FluentInFinance
Andrew Lokenauth | TheFinanceNewsletter.com
2 months
A major cheat code in life: Being easy to work with. Listening more than you speak. Being kind when others aren’t. Helping others succeed. Celebrating others’ wins. Showing up early, not just on time. People value those who make their lives easier.
48
185
1K
@tommytrxnh
tommy
2 months
YOU CANNOT COMPETE WITH SOMEONE WHO IS HAVING FUN
360
9K
44K
@dr_yakupergun
Yakup Ergün
2 months
Vitamin B12 for prophylaxis of capecitabine-associated hand–foot syndrome 💥Oral methylcobalamin reduced capecitabine-related HFS in HER2-negative early BC, with no added safety concerns 💬A simple prophylaxis option to support treatment adherence https://t.co/khCOH0RDv7
3
112
301
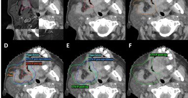
@DrMLChua
Melvin LK CHUA | FRCR, PhD, FASCO
2 months
Since I was a #RadiationOncology resident, have always been "struggling" with consistency in target delineation for #postoperativeradiotherapy in #HeadNeckCancer such that I find my volumes "changing" over time! Kudos to @PierluigiBonomo @sueyom and team at @ESTRO_RT to work on
Tweet card summary image
thegreenjournal.com
To date, no consensus guidelines have been published to guide the delineation of the primary and nodal Clinical Target Volumes (CTVs) in patients requiring post-operative radiotherapy (PORT) for...
3
22
46
@NTFabiano
Nicholas Fabiano, MD
2 months
Repetitive negative thinking is associated with cognitive decline. Stay positive.
371
6K
36K
@daniel_gewolb
Daniel Gewolb, MD
3 months
⭐️ Tips for distinguishing treatment change from tumor progression from my own experience and the literature ☢️ **Sorry for the long and very complicated post!** #Neurosurgery #Neurology #radres #futureradres @TheASNR @UMiamiHealth #MRI @Radiopaedia #ENT #Medicine
17
45
218
@toddscarbrough
Todd Scarbrough
3 months
Radiation Forgiveness & Re-irradiation & Monkeys 🙈🙊🙉 ============ I derived a simple equation to use "in clinico" TL;DR: To calculate spinal cord re-RT forgiveness,
1
9
36
@drdavidpalma
David Palma, MD, PhD
4 months
Great paper on unilateral vs. bilateral TORS for tonsillar SCC, featured in @QuadShotNews Contralateral tonsillar primaries: <2%. Post-op bleeding rate: 7% unilateral vs. 15% bilateral G-tube rate at last follow-up: 8% Peri-op MDADI scores: fell from high 80's to mid 70's.
1
7
23
@joshuapalmermd
Joshua D. Palmer, MD
4 months
Excited to share our experience (largest so far) using Boswellia for radiation necrosis with brain mets. ORR 60%, median duration 14 months. Amazing responses and a game changer for patients, I highly recommend you check it out!!! https://t.co/CukIqntmR3 https://t.co/zRPGLtLyL4
Tweet card summary image
pubmed.ncbi.nlm.nih.gov
Our study suggests that BS is a safe and feasible treatment option for grade 1 to 3 RN after SRS. Further prospective studies comparing BS with a placebo are warranted.
4
24
57
@teachplaygrub
Lea Alhilali, MD
4 months
Wish you had a sixth sense to localize that sixth cranial nerve palsy?   Feeling six feet under when you see a sixth nerve deficit?   Here’s a how to locate the lesion in a sixth cranial nerve palsy!   Just remember the Six Syndromes of the Sixth Cranial Nerve!   One syndrome for
3
105
441
@whosainastro
Muhammad Hussain, MD
5 months
End/ Pathology is full of stories. Each stain, each clone, each acronym carries a history deeper than we realize. ✨ References: -Gerdes J. et al. Int J Cancer. 1983. -Scholzen T. & Gerdes J. J Cell Physiol. 2000. -Bullwinkel J. et al. J Cell Physiol. 2006. -Cuylen S. et al.
7
11
73
@gminniti2012
giuseppe Minniti
5 months
Happy to introduce something different from classical curative or palliative radiotherapy: Strategic radiotherapy: a new proof of concept https://t.co/yKBl60clsW @ESTRO_RT @SapienzaRoma
9
40
117
@CJTsaiMDPhD
C. Jillian Tsai, MD, PhD
5 months
👀Not cancer but promising concept/result. As we expand the indication of #radiotherapy this could be an area of active interest. @SameerKeoleMD @ASTRO_org https://t.co/8KvZKF73MT
6
19
52
@RahulBanerjeeMD
Rahul Banerjee, MD, FACP
5 months
👏 I saw an interesting anecdote and just looked up the reference. Literally before I was born, an oncologist very succinctly and elegantly summarized how we offer hope to our patients living with cancer... these words are still true today! https://t.co/675vFEWgTY
9
44
156
@DrewMoghanaki
Drew Moghanaki
5 months
The global natural background radiation ranges from 1 to >10 mSv/year depending on location.
3
8
32
@JohnRoubil
John G. Roubil, MD
5 months
In the Summer of 2021 the WHO reclassified CNS malignancies, which would ultimately change how gliomas would be classified & treated. In this chapter & review I've attempted to summarize the use of RT in adult gliomas including re-RT, sys therapy, & 2025 guidelines on GBM re-RT.
1
17
62
@CShahMD
Chirag Shah
5 months
Great work with 1st author @P_Shams_ and led by @AHNtoday radonc @ColinChampMD in @JAMANetworkOpen : Resistance Training and Lymphedema in Breast Cancer Survivors | Nutrition, Obesity, Exercise | JAMA Network Open | JAMA Network #bcsm @Sushilberiwal @DavidBartlettMD
2
4
18