MihaiTrofenciuc Profile Banner
Mihai Trofenciuc Profile
Mihai Trofenciuc

@MihaiTrofenciuc

Followers
4K
Following
43K
Media
1K
Statuses
26K

https://t.co/W0iMprFyop.~Assist. Prof. of Cardiology❤️~ Head of Communication Department (ISfTeH)

Romania
Joined March 2009
Don't wanna be here? Send us removal request.
@MihaiTrofenciuc
Mihai Trofenciuc
7 years
IDIOT syndrome: Internet Derived Information Obstructing Treatment. The person who coined this is a genius. #medicine #google #drgoogle #idiot #idiots #IdiotsInCharge #internet #treatment
15
128
218
@biljana_parapid
Biljana Parapid, MD, PhD, FESC
2 months
@mirvatalasnag @mmamas1973 @purviparwani @SABOURETCardio @DrSaritaRao2 @escardio @ESCardioNews @MartineGilard @KardiologieHH @AlfredoERodrig2 @Sarah_Moharem @charles_driving @ShelleyWood2 @HanCardiomd @O_Azizy_MD @AnastasiaSMihai @Hragy @lieslzuhlke @TCTMD Have fun for me too — finally walking pain-free since my knee injury, but far from No of steps needed for #ESCCongress & as we also have exams from Monday, I’m in 🔙 to work mode, although missing you all terribly & living vicariously through your posts & 🏷️ s, so sending all
6
6
20
@escardio
European Society of Cardiology
2 months
🎥 Snackable Science from #ESCCongress 2025 in Madrid! @Drroxmehran & @CMichaelGibson break down the new Focus Update of the 2019 #ESCGuidelines on #dyslipidaemias with the latest recommendations you need to know 👇
2
52
141
@EACVIPresident
EACVI President
5 months
Join us in Vienna this December for EACVI 2025 – Europe’s premier cardiovascular imaging congress! Dive into the latest of #CVImaging — including #echofirst #whyCMR #CCT #CVNuclear and focused tracks for #MMI of different cardiac conditions 😎 Be part of the science! Submit
0
41
77
@SilCastelletti
Silvia Castelletti
7 months
#ESCPrev2025 did you know that venous disease is a #CVD risk factor?! We always don't think of it but we should! Find why tomorrow at 10.30 room Orfeo! @EAPCPresident @EJPCEiC @vass_vassiliou @DrMarthaGulati @_anmco @SIC_CARDIOLOGIA @doctstefania @stefanopalermi @AboyansV
0
9
21
@JGrapsa
Julia Grapsa
9 months
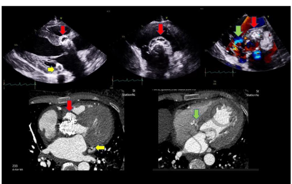
Honoured to have published this interesting case in #EHJIMP presenting a young patient with complex #TAVI endocarditis- key findings : large abscesses around #TAVI & posterior mitral annulus - fistula from LVOT ➡️ RA - severe MR Read here more on how we managed the patient ⬇️
@EHJIMPEiC
EHJ-IMP Editor-in-Chief
10 months
Good start of week with #EHJIMP CASE😍 36yF breathless, unwell and lethargic with history of Libman - Sacks endocarditis also had systemiclupus erythematosus with lupus nephritis…. 🧐 Want to know more? Read here ⬇️ https://t.co/iSLVhVWGBp
5
31
71
@SilCastelletti
Silvia Castelletti
10 months
#ESCPrev2025 Late-Breaking Science call: Present your latest research in #preventive #cardiology! Deadline January 21st! 💚Clinical Trial 💚Registry 💚Basic&Translational Late-Breaking Science @escardio @PeroneFrancesco @vass_vassiliou @gbiondizoccai @mmamas1973 @MondaEmanuele
2
15
32
@maciejbanach
Maciej Banach
10 months
Critically important joint paper from the #FHSC Registry by the @society_eas on the #overweight, #obesity, and #cardiovasculardisease in heterozygous familial hypercholesterolaemia. #HeFH Briefly: ⭕️Globally, 52% of adults and 27% of children with HeFH were overweight or
1
9
35
@maciejbanach
Maciej Banach
1 year
It is going to be an amazing Moderated Session on the #Lipids and #Management - A Deep Dive - I will have a pleasure to moderate with Prof. @EugeniaGianos at the #AHACongress2024 #AHA2024 on Saturday, November 16th at 11.10 am. @American_Heart I am so looking forward to
2
5
31
@purviparwani
Dr. Purvi Parwani
1 year
“Lobster Claw sign” on #Echofirst Generally seen on #ApicalHCM ( clearly too many HCM cases in two days 🤓) 🍩 Blood trapping in the apex leads to its own unique Doppler echocardiographic tracings and curves. 🍩 When blood is trapped by a narrowed neck, it may not emerge at
@purviparwani
Dr. Purvi Parwani
1 year
I make this point for every single #HCM talk. We wrote about this at @ACCinTouch.org In patients with HCM , MR and LVOT Signal on #Echofirst can be quite confusing. In addition to double checking the SBP with MR jet to confirm LVOT gradient/following tricks can be useful
4
87
214
@pabeda1
Sergio Kaiser MD, PhD, FACC, FESC 🇧🇷🇮🇱🇷🇴🇺🇦
11 months
Such an interesting research just published in @JACCJournals! 👇🏽👇🏽👇🏽 #CardioTwitter #CardioEd #Cardiology
@hmkyale
Harlan Krumholz
1 year
1/ 🧑‍⚕️ Sitting too long? It could harm your heart. A new @JACCJournals study analyzed nearly 90,000 people & found 10.6+ hours/day of sedentary behavior increases risks of heart failure & cardiovascular mortality. Let's break it down: 👇 #AHA24 https://t.co/vcmGcgNcgk
0
4
13
@purviparwani
Dr. Purvi Parwani
1 year
I make this point for every single #HCM talk. We wrote about this at @ACCinTouch.org In patients with HCM , MR and LVOT Signal on #Echofirst can be quite confusing. In addition to double checking the SBP with MR jet to confirm LVOT gradient/following tricks can be useful
@iamritu
Ritu Thamman MD
1 year
confusing LVOT Doppler signal w mitral regurgitation due to SAM in hypertrophic CM? double check if it’s really the LVOT signal by estimating LVOT gradient with SBP/peak MR jet & see if this matches measured LVOT (4v2) gradient 1.Peak MR signal(velocity) gives LVP-to–LAP
8
150
463
@JGrapsa
Julia Grapsa
1 year
Have been a member and supported #EACVI and #Euroecho since 2006 - Great opportunity for multimodality CV imagers to share their research and interact with world experts ⬇️ @s_e_petersen @VDelgadoGarcia @alessia_gimelli @bernhard_gerber
@EACVIPresident
EACVI President
1 year
Join us for #EuroEcho 2024 Dec 11-13 @ Berlin 🇩🇪 Great opportunity not only to learn and hear the latest from 🌍 renowned experts but to also hear #CVImaging #echofirst research from young clinical academics and clinicians. I always enjoy the opportunity to catch up with
0
4
17
@ESC_Journals
European Society of Cardiology Journals
1 year
NEWS from #EHJIMP‼️ Do you think 3D ICE increase the understanding of #Tricuspid in #TEER? Read this letter and share your thoughts. Hot topic coming!! https://t.co/acOviOUb7k @jgrapsa @EZancanaroMD @EHJIMPEiC @alessia_gimelli @s_e_petersen @shehabanwer @eacvipresident
1
9
20
@CMichaelGibson
C. Michael Gibson MD
1 year
Cardiometabolic disease Oil and acrylic on scratch board by C. Michael Gibson #cmgsees
4
12
87
@SilCastelletti
Silvia Castelletti
1 year
Have you submitted your abstract to the @escardio #ESCPrev2025 #Preventive #Cardiology Congress? Not yet? Why? The abstract submission deadline is November 21st! Don't miss it! See you in Milan! @EAPCPresident @ProfessorHalle @gbiondizoccai @vass_vassiliou @PeroneFrancesco
1
19
27
@ESC_Journals
European Society of Cardiology Journals
1 year
Go green, go healthy? An association between greenness exposure and lower mortality among cardio-oncologic patients in https://t.co/PQNuWulZb0 #EHJQCCO #CVD #CardioOncology @cpgale3 @diogoasantosfer @adamtimmis
1
6
24
@maciejbanach
Maciej Banach
1 year
It was indeed amazing to present the recent achievements of our work during the International Lipid Expert @ExpertLipid Panel #Session at the @WCIM2024 in Prague 💪 I had a pleasure to present the recent 👉2024 #ILEP #guidelines on the #upfront lipid lowering #combination
0
6
30
@JGrapsa
Julia Grapsa
1 year
#EACVI Women in CVI task force #ESCCongress - really proud to chair this wonderful group together with Ana, Prof Almeida - this year we held an open meeting with all collaborators as well as @ASE360 women in echo group under the leadership of @iamritu - we are preparing a lot of
2
24
72
@mmamas1973
Mamas A. Mamas
1 year
1. Beyond the Data: RESHAPE-HF2 and MATTERHORN my @TCTMD video with Stefan Anker and Volker Rudolph ➡️ https://t.co/qftIBco4Ol @DrMarthaGulati @iamritu @ShelleyZieroth @AnastasiaSMihai @alaide_chief @hvanspall @Hragy @purviparwani @JamalRanaMD @kamleshkhunti @mirvatalasnag
tctmd.com
1
18
38
@maciejbanach
Maciej Banach
1 year
The power of #collaboration. Nothing more to say. It works for years, and I always feel it is only a beginning🤓💪 #ESCCongress2024 #ESCCongress
0
5
37