MahsaAhadi Profile Banner
Mahsa Ahadi,MD Profile
Mahsa Ahadi,MD

@MahsaAhadi

Followers
953
Following
4K
Media
13
Statuses
408

Surgical Pathologist. Royal North Shore Hospital and Cancer Diagnosis & Pathology Research Group, Sydney.

RNSH, Sydney,NSW
Joined October 2015
Don't wanna be here? Send us removal request.
@CaDxPath
Anthony J Gill
2 months
Just a reminder that registrations for the AGPS meeting in Sydney (30 October to 1 November) close this week at midnight (Australian time) on Thursday 16th October. There are still spots available but time is running out!
0
1
2
@ChadPecot
Chad Pecot, MD
5 months
Now in @Cancer_Cell our group reports the development of a first-in-class EGFR-directed KRAS G12V selective inhibitor. KRAS G12V mutations are the 2nd most common KRAS mutation in cancer, and there are still no approved inhibitors in the clinic. We address two major challenges
12
77
353
@RAStandish
Richard Standish
6 months
https://t.co/co8uD5ObDG Come to Sydney all you GI path junkies - early bird rates end soon!
0
1
1
@johnhart20
John Hart, MD
6 months
Tumor deposits are going to be a bigger part of CRC staging going forward- pathologists will need to come to a sharper consensus on their definition/recognition! #GIpath
@ArndtVogel
Arndt Vogel
6 months
Proposed changes to the pathologic staging for colon cancer (CC): AJCC Colon Cancer Expert Panel (AJCCCCEP) #ASCO25 👉Enhanced prognostic prediction 👉Robust validation @myESMO
0
4
7
@LiverPath_HPHS
Hans Popper Hepatopathology Society
8 months
@IHC_guy HCA vs HCC can be hard on biopsy! But B-catenin mutated should be treated similar to HCC per guidelines #USCAP2025 #liverpath
0
8
11
@CalebAllred15
Caleb Allred, MD
9 months
I’m humbled to have matched to otolaryngology residency @UMichOto! It’s been 27 years since dad and I celebrated his match. Though ALS took you a year ago, we know you’re celebrating with us from above. A million thanks to my family for the support. #Match2025 #IAMOTO #otomatch
88
318
8K
@CatrionaMckenz5
Catriona Mckenzie
9 months
0
1
1
@MahsaAhadi
Mahsa Ahadi,MD
9 months
Calling all Gastrointestinal Pathology enthusiasts. Registration is now open. Don’t miss out. https://t.co/i2QhpqFuD0 #GIPath #PathTwitter #PathX #pathology #pathologist
2
3
8
@RAStandish
Richard Standish
9 months
You know you want to…
@AusGIPath
AGPS
9 months
Registration is live! https://t.co/ZPmGUTvOLI
0
3
6
@AusGIPath
AGPS
9 months
Registration is live! https://t.co/ZPmGUTvOLI
0
1
1
@CaDxPath
Anthony J Gill
10 months
Infarct necrosis important to separate from true tumour necrosis in NETs.2 show true necrosis(abrupt transition, karyorrhectic debris, comedo-like)& 2 show infarct(gradual transition, zonal granulation tissue/myobroblasts) If you think easy -> retweet If you think hard -> like
1
47
157
@JLHornick
Jason L. Hornick, M.D., Ph.D.
11 months
Very pleased to share an excellent online piece brought to you by the CAP Personalized Health Care Committee. By Drs. Matthew Hiemenz and Justin Chang. DNA methylation to the rescue! 🛟 🧬 https://t.co/lbZ495ZU0f #PathTwitter #molpath @Pathologists
Tweet card summary image
cap.org
Explore how DNA methylation profiling is transforming tumor diagnostics. Learn how pathologists use this powerful tool to enhance precision medicine and…
1
14
33
@Aiims1742
Anirban Maitra
1 year
NCT06445062: Revolution Medicines trial combining RMC-6236 with either FOLFIRINOX or Gemcitabine/nab-paclitaxel in treatment naive #PancreaticCancer. This study is now open at 17 locations nationwide. Also includes sub-cohorts for #ColorectalCancer and 2nd line pancreatic cancer.
2
21
61
@EndoPath
Endocrine Pathology
1 year
Our journal features two ground-breaking papers in which a molecular link between well-differentiated NETs and high-grade NECs is proposed, arguing that a subset of well-differentiated cases may be at risk of progression! https://t.co/rwLtXUt4mp https://t.co/lYi3YlnXgq
Tweet card summary image
link.springer.com
Endocrine Pathology - High-grade or grade 3 epithelial neuroendocrine neoplasms (G3 NEN) are now divided into grade 3 well-differentiated neuroendocrine tumor (G3 NET) and neuroendocrine carcinoma...
0
17
29
@DrJuhlin
C. Christofer Juhlin
1 year
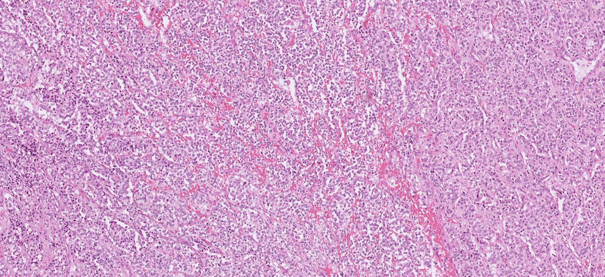
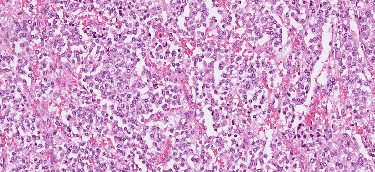
Retroperitoneal tumor adjacent to the VCI in a 40 y/o male. Surgical excision is performed. Tumor is composed of nests and solid areas embedded in a highly vascular stroma, the cytoplasm is granular and partly vacuolated. Rather monotonous nuclei. Follow the thread for more!
2
41
97
@marklewismd
Mark Lewis, MD, FASCO
1 year
So much of ambition is about being exceptional: above average, peerless, “one of a kind” And yet I don’t know if there’s a single word my patients celebrate in their radiology reports more than “unremarkable” Normalcy is underrated
9
26
284
@CMichaelGibson
C. Michael Gibson MD
1 year
As a patient do you want a physician who works 60-80 hours per week with poor work life balance & emphasis on their career & dedication to craft OR A physician who works 40 hours per week and excellent work life balance who views medicine as a job not their life Tell us why?
55
26
72
@smlungpathguy
Sanjay Mukhopadhyay
1 year
Personal opinion badly disguised as evidence forms the bulk of most "evidence-based consensus guidelines" that most doctors blindly accept as truth
@AnilMakam
Anil Makam
1 year
"weak recommendation based on low quality evidence" may be one of the most harmful things in medicine
3
3
13
@ProfRAScolyer
Professor Richard Scolyer AO
1 year
Today my memoir, Brainstorm, written with Garry Maddox, is published. I'm thrilled to share my story with you.   Brainstorm tells the story of my life, from my childhood, the road that led me to medicine, my wonderful family, my contributions to medicine and science and my
36
149
868
@CatrionaMckenz5
Catriona Mckenzie
1 year
Looking forward to doing an IM course on my favourite topic in my favourite organ @TheUSCAP in Boston #USCAP2025 - I have a fantastic collection of cases to share on this important entity
0
5
14