MD_GIPath Profile Banner
Morson GI pathology Profile
Morson GI pathology

@MD_GIPath

Followers
347
Following
11
Media
2
Statuses
12

Twitter page for the upcoming Morson and Dawson GI Pathology textbook (6th edition) and trainee handbook

Joined July 2017
Don't wanna be here? Send us removal request.
@pathologyCast
pathCast
8 years
Dr. @RalphHruban will present a #pathCast titled DUCTAL ADENOCARCINOMA of the #PANCREAS. Live streams will appear on our FB & YT channels on 4.11.2018 at noon. #giPath #pathBoards Make sure to check out the @JHUPath Atlas of Pancreatic Pathology: https://t.co/eunO4Brjqk
1
45
67
@MD_GIPath
Morson GI pathology
8 years
@mannanrifat03
Rifat Mannan, MD
8 years
0
1
0
@MD_GIPath
Morson GI pathology
8 years
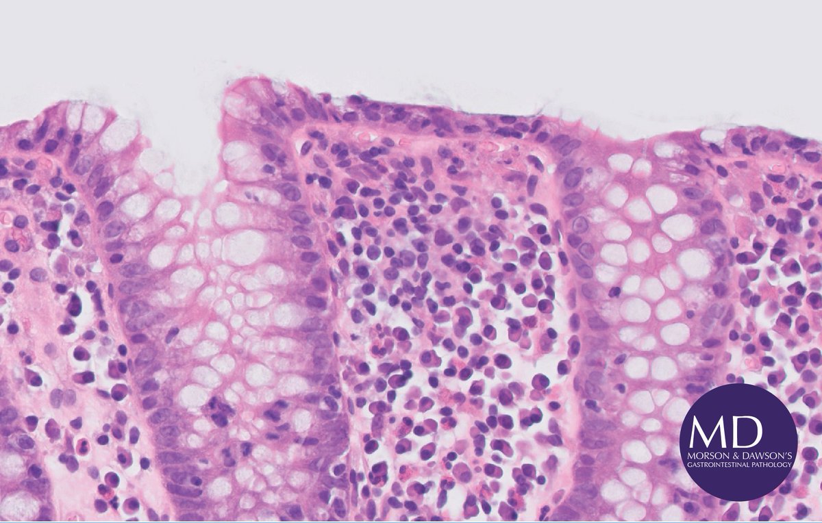
Elderly patient w/chronic diarrhoea on trial checkpoint inhibitors for cervical cancer. Normal colonoscopy (aside from mild telangiectasias, possibly radiotx related). Bxs show lymphocytic colitis consistent w/ immune checkpoint inhibitor colitis (see PMID: 29143108) #pathology
1
15
32
@MD_GIPath
Morson GI pathology
8 years
Clean sweep in a young patient with Cowden's syndrome (PTEN-mutation documented), polyps from all major GI sites reveals the syndrome's phenotypic heterogeneity @DraEosina @RhondaYantiss @abobbyandrews @gordon_hutchins
2
31
54
@RMeunierMD
Rashna Meunier, MD
8 years
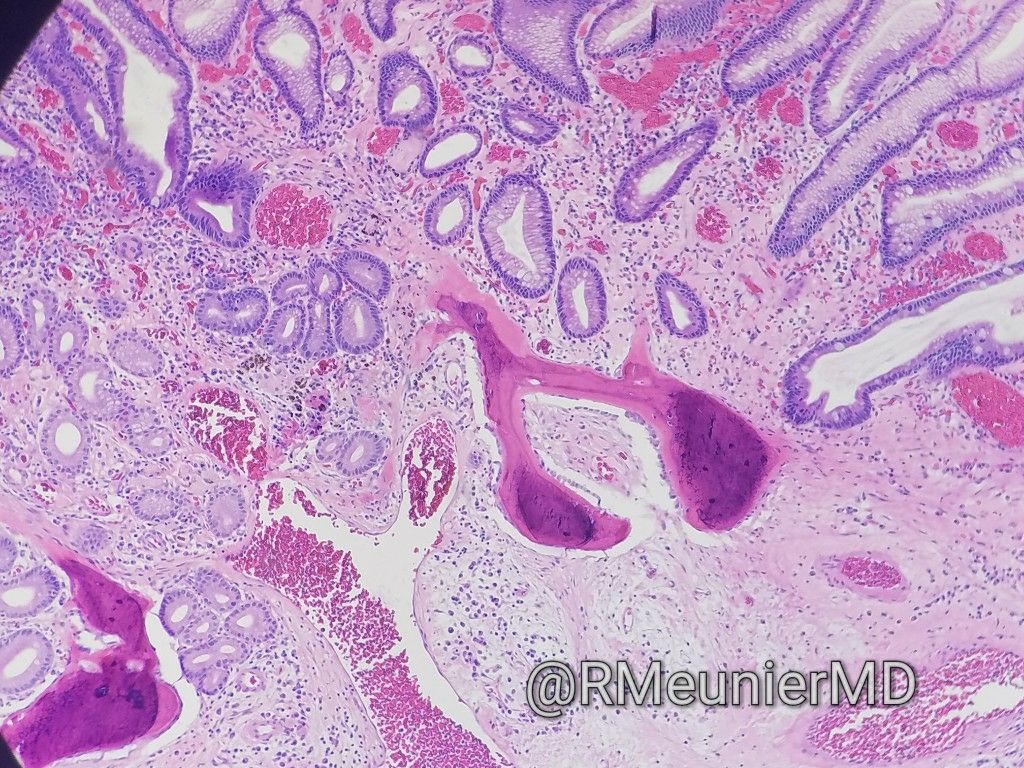
Have you ever seen a gastric hyperplastic polyp with osseus metaplasia!? #gipath #pathology
14
57
103
@EricTopol
Eric Topol
8 years
if you're looking for a big picture human #microbiome review, @TheLancet just published this one https://t.co/HZM9fjWrau
2
172
251
@Aiims1742
Anirban Maitra
8 years
#Pathologists #GIPath @Gut_BMJ paper on definitions of serrated lesions & suggested surveillance criteria from UK https://t.co/y5qHxNAbV1
3
39
37
@EricTopol
Eric Topol
9 years
A new way of predicting response to #cancer immunotherapy (to PD-1 blockade): mismatch-repair deficiency #indivmed https://t.co/0ENCMj3Sgp
0
56
60
@EricTopol
Eric Topol
8 years
Artificial intelligence for medical diagnoses: our latest @TheLancet digital medicine essay #AI https://t.co/sZfec1tFmL open-access (#OA)
5
138
130
@ModernPathology
Modern Pathology
9 years
Tumor budding in colorectal cancer #ColonCancer consensus @sankakar https://t.co/4t568o14s5
0
15
19
@ModernPathology
Modern Pathology
8 years
Advance online: small bowel carcinoma in celiac and Crohn disease https://t.co/UyoY4ria9g #GIPath
0
23
29