Explore tweets tagged as #pathBoards
The cool stuff we do in #pathology 🪚⚡️🪚⚡️🪚⚡️#pathtwitter #pathresidents #pathboards #ENTpath #medstudent #oralpath #BSTpath
1
7
25
we got a hottt session coming to close out our 2025 dermpath content 🔥🔬 #dermpath #dermatology #pathology #CME #pathboards #pathologyresidents #boardexams
0
6
12
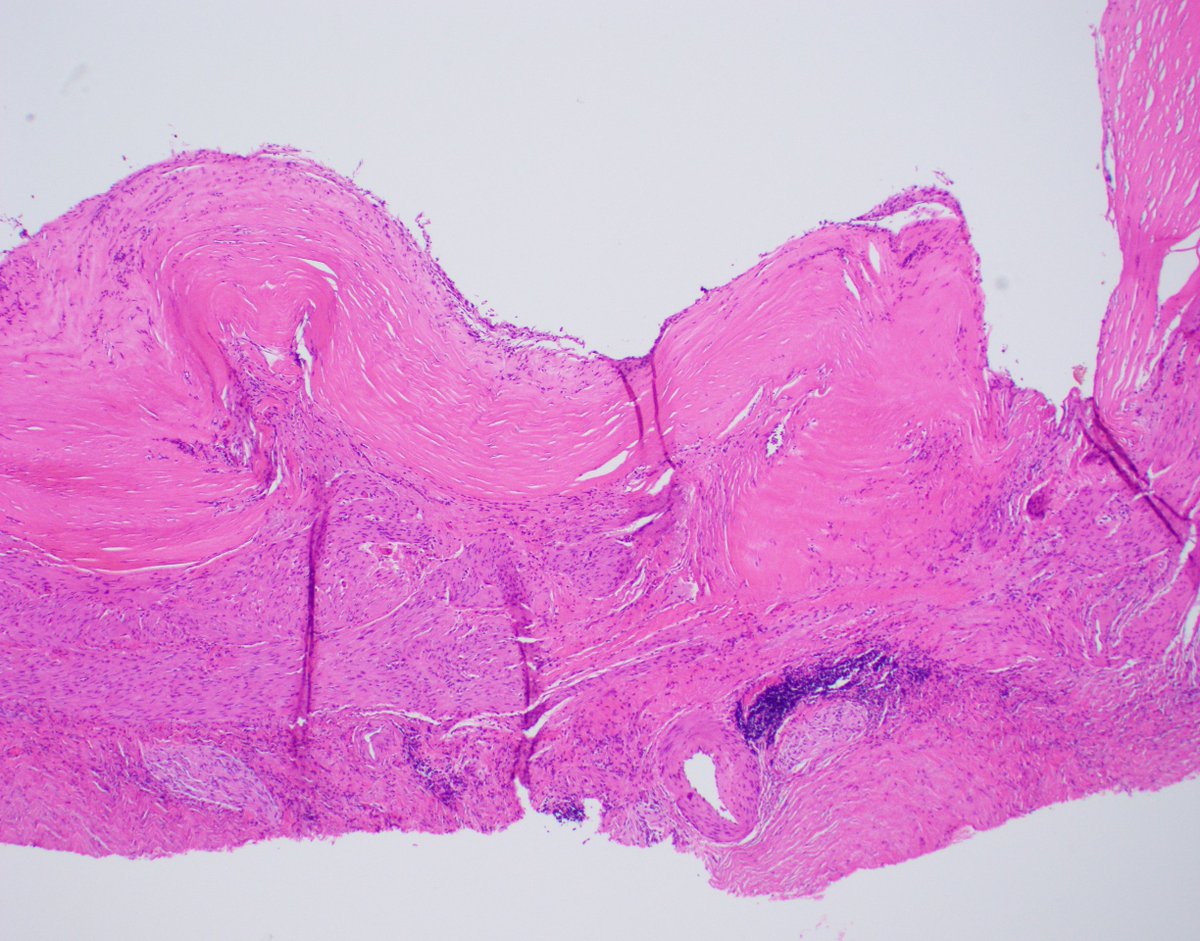
Porcelain gallbladder: Hyaline sclerosis of the gallbladder wall; associated with a slight increased risk of carcinoma. Rare and fascinating! 🩻✨#Pathology #Histopathology #SurgPath #GIPath #PathBoards #PathTweetorial #PathologyCases #pathtwitter #pathx #PathTweetAward
6
13
34
CHARACTERISTICS OF HISTOLOGIC SUBTYPES OF MEDULLOBLASTOMA #pathboards #pathboard #pathology #pathologist #pathologists #pathresidents #pathologymcq #pathtwitter #neuropath #molecular #molecularpathology #neuropathology #medulloblastoma
0
52
114
Summary of sinonasal tumors including WHO 2022 updates. #whoupdate #who #histopathology #oncopathology #neetssoncopathology #frcpathpart1histopathology #histology #molecular #molecularpathology #iniss #histopathologists #pathologymcq #pathboards #molecularbiology #cytogenetics
3
120
287
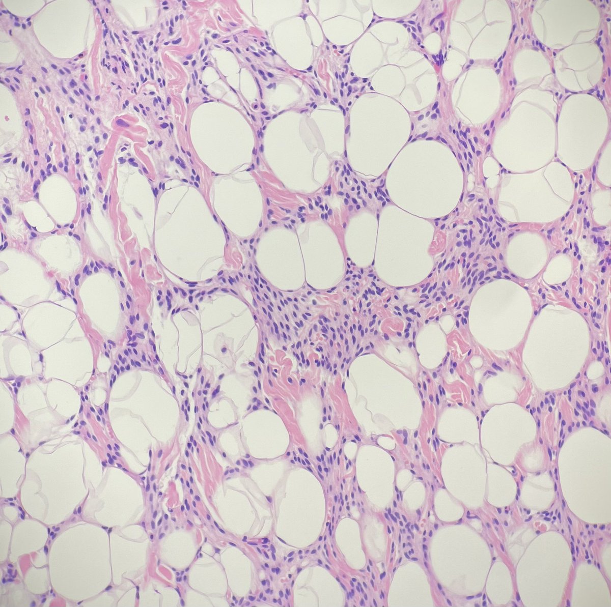
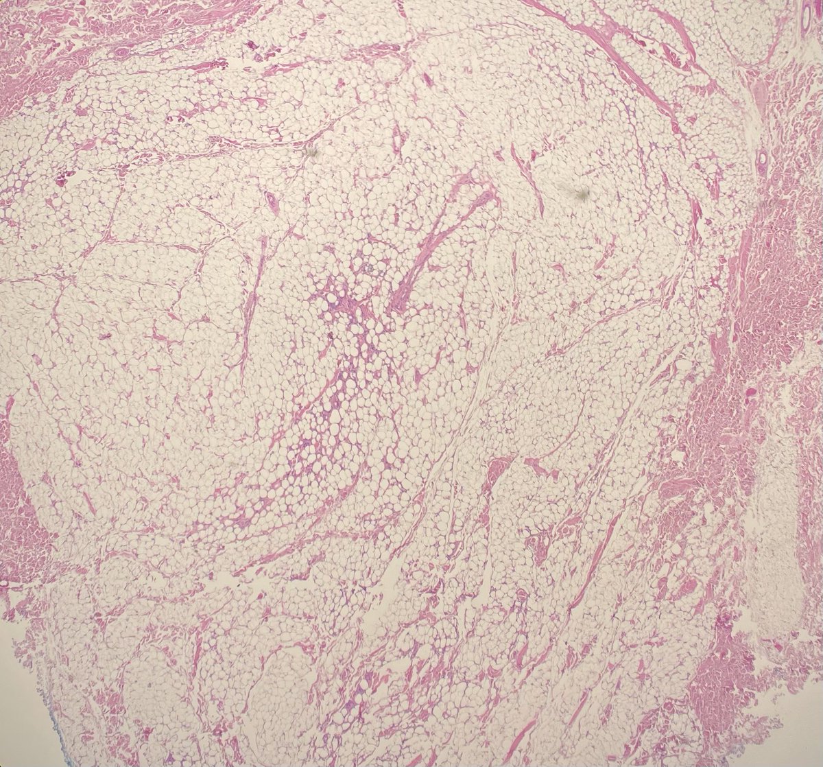
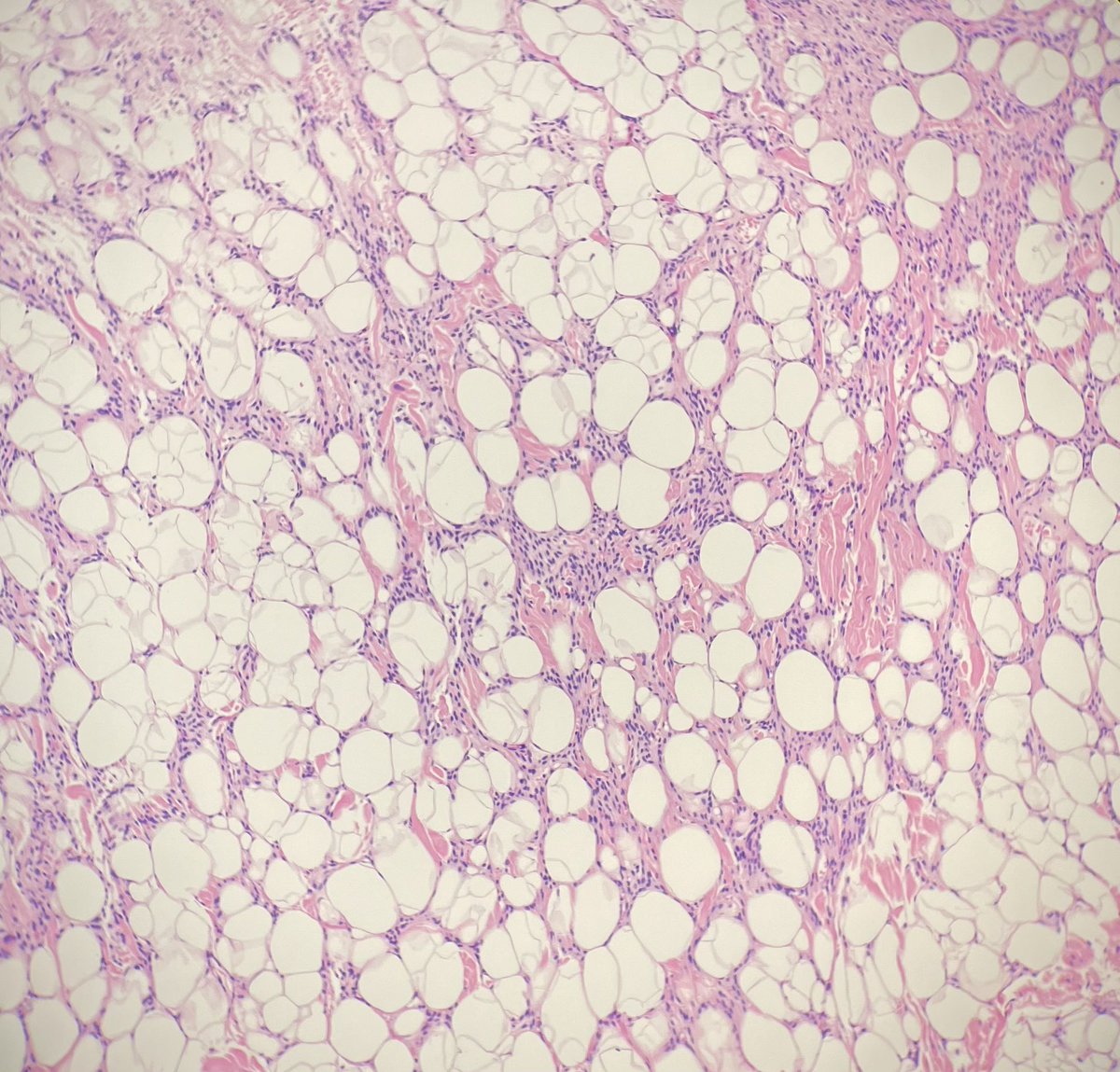
🔬✨ Dive into the molecular pathology of adipocytic tumors! Understanding the key characteristics, molecular features, and histopathology of these fascinating entities is vital for diagnosis and research. 🧠💡 Perfect for those preparing for #NEETSS and #FRCPath! 🩺 #pathboards
0
83
221
Histologic features of Reflux Esophagitis (GERD). #GERD #Esophagitis #pathoboards #pathologymcq #gipathology #Gastrointestinalpathology #pathologyresidents #pathresidents #pathboards #pathboardstudying #pathboardreview #frcpathpart1 #neetssoncopathology #histopathology.
1
36
92
Classification of PitNET. Based on WHO 2022 5th edition endocrine tumors. #NEETSS #INISS #DMOncopathology #DMHistopathology #pathologymcq #pathologymcqs #histopathologists #pathologyresidents #residents #pathboards #pathboardsstudying #pathboardreview
0
33
67
0
26
90
HOLIDAY FLASH SALE Start 2026 with the ultimate pathology library. Our holiday sale starts NOW!! Get 25% OFF until Dec 25 (72 hrs only) Use codes: HOLIDAY25 (Books) 25OFF (Subscriptions) BUY NOW: https://t.co/WxwPHlJaOP
#PathTwitter #PathBoards #AceMyPath #HolidaySale
0
3
3
13
12
69
Summary of inclusions associated with neurodegenerative disorders #pathologymcq #pathtwitter #pathboards #pathresidents #neurology
#neuropathology #neuropath #molecular #medical #alzheimer
#dmneurology #neurologyboards #pathologists #illustration #doodle
#art
1
43
92
0
15
63
AML with recurrent mutations. Nice visual abstract. Taken from the last issue of Cytopathology. #pathologymcq #hematology #inisshematopathology #hematologymcq #molecular #molecularhaematology #medschool #medicine #pathologyresidents #pathologists #pathboards #PathTwitter
1
39
92
Easy peasy snapper for #pathboards - back of neck/ shoulder lesion, young guy #dermpath #pathtwitter #BSTpath - no big dealzzzz 🪀 🪀
11
32
101
Summary of histopathologic findings- WARTS. Please do add some more key findings in the comments. #pathtwitter #dermpath #pathology #dermatology #derm #wart #pathresidents #pathboards
1
33
92
1
9
43
Intracranial, dural-based mass. Diagnosis, including grade? (Hint: IHC +PR, +SSTR2A). Residents, gotta know this one for the #PathBoards! #neuropath #PathTwitter 🧠🔬
13
54
169
Temporal lobe #brain mass in a young adult with seizures. Most likely #diagnosis and molecular findings? #neuropath #pathology #PathBoards 🧠🔬
14
35
119