Kari Hooper Profile
Kari Hooper

@KariHooper

Followers
30
Following
1K
Media
19
Statuses
512

hematopathologist/cytopathologist, liberal and lifetime learner

Oklahoma, USA
Joined October 2011
Don't wanna be here? Send us removal request.
@KariHooper
Kari Hooper
2 years
@maggiefuliverpool My daughter left her bracelet at table 7 tonight… did you happen to find it?
0
0
2
@StevenSalzberg1
Steven Salzberg 💙💛
2 years
Our paper debunking the 2020 cancer microbiome results is now published, in @mbiojournal. We'll see if @nature (or the authors) will retract these deeply flawed results. h/t @ProfBootyPhD @EricTopol
Tweet card summary image
journals.asm.org
Recent reports showing that human cancers have a distinctive microbiome have led to a flurry of papers describing microbial signatures of different cancer types. Many of these reports are based on...
22
232
754
@bdrew73
Brian Drew
2 years
Dramatic depiction of Elon announcing the rebranding. #brandx
0
12
52
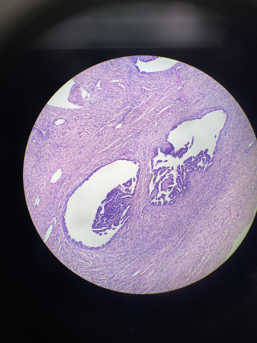
@ElvioSilvaMD
Elvio Silva, MD
3 years
With only two small images we can confirm that ovarian low grade serous carcinoma originates in areas of endosalpingiosis and also that it is a multicentric neoplasm. @IGCS
1
3
17
@ashtonpittman
Ashton Pittman
3 years
The biggest, baddest, toughest, most manly men in our country are desperately terrified of books, drag queens and trans kids.
27
207
935
@DrSarahGee
Sarah Gee MD
3 years
It’s time that health insurance companies stop practicing medicine without a license
4
33
210
@AdamParkhomenko
Adam Parkhomenko
3 years
There is now a legitimate fundraiser setup for Michael Fanone on gofundme. As many of you may know, Fanone lost his pension because of 1/6. Only 5 individuals have donated so far. Join from the start and retweet to spread the word.
759
7K
11K
@shannonrwatts
Shannon Watts
3 years
What Mehmet Oz means when he says abortion should be between "a woman, her doctor, and local political leaders." #PASenateDebate Thx @amyschumer
1K
21K
54K
@_Francis_co_Art
Francisco Fonseca
3 years
Im giving away this original mini painting. Just retweet and you may be the winner :)
60
797
2K
@Rainmaker1973
Massimo
3 years
In 1995, 14 wolves were released in Yellowstone National Park. No one expected the miracle that the wolves would bring [video, HD: https://t.co/rsjS56xnQ8] [read more: https://t.co/p3YBOBXyyF] https://t.co/DMlMDx40TY
1K
23K
82K
@FlaviaRosadoMD
Flavia Rosado, MD
3 years
Response to the editorial about the new WHO classification #WHOHEME Link below https://t.co/xNG1Tw4uyi
1
18
40
@HeinrichsPhoto
Shelly (w/Dan) Heinrichs 🇨🇦
4 years
8:43pm near Lansford, ND looking west with ⁦@shannbil⁩ driving and there no were to pull over #ndstorm #ndwx
62
602
4K
@DrJenGunter
Jennifer Gunter
4 years
I don’t understand why this isn’t a bigger story-> Potential fabrication in research images threatens key theory of Alzheimer’s disease
Tweet card summary image
science.org
A neuroscience sleuth challenges data showing one toxic form of amyloid protein is a cause of brain condition
36
332
832
@Dr_D_Man
Dan_The_Man
4 years
The original Covid had an Ro value of 3.3, meaning each infected person infected 3.3 others. Low transmissibility, yet still killed millions. Measles is the highest with an Ro value of 18. The latest Covid subvariants have an Ro value of 18.6. If you think it's over, guess again.
576
14K
44K
@pattonoswalt
Patton Oswalt
4 years
What an intriguing medical mystery! Guess we’ll never know the answer to this one!
3K
12K
90K
@ScottMendelson
Scott Mendelson
4 years
Oh my god...
@NextBestPicture
Matt Neglia @Sundance
4 years
Footage of Will Smith punching Chris Rock after he made a joke about his wife at the #Oscars
30
58
353
@NewVoiceUkraine
The New Voice of Ukraine
4 years
Oleksandr Ivanchak, a record holder in Ukraine for collecting a Rubik's cube, made a portrait of Volodymyr Zelensky from Rubik's cubes 🇺🇦
484
10K
50K