FunkeCristine Profile Banner
Cristine Funke Profile
Cristine Funke

@FunkeCristine

Followers
746
Following
3K
Media
332
Statuses
1K

Passionate about #healthcare #radiology #medicalimaging #radiationoncology #IRad #molecularimaging #patientcare Opinions are my own.

Phil·a·del·phi·a.
Joined December 2013
Don't wanna be here? Send us removal request.
@laura1127md
Laura Hayes
5 months
Planning on joining us at #ASPNR26 from abroad? @FlyTPA is one of the best International airports in the USA. Their social media is pretty funny, too. Registration opens soon! https://t.co/GBJRb7vZ9C #pedineurorad #bluemind
Tweet card summary image
aspnr.org
The objectives and purposes of the ASPNR are to develop, foster, and support the care of pediatric patients undergoing neuroradiologic imaging examinations
@FlyTPA
Tampa International Airport ✈️
5 months
😍 AMSTERDAM 😎 BOGOTA 😘 CANCUN 😉 FRANKFURT 🤩 GRAND CAYMAN 🫡 LONDON 🥳 MEXICO CITY 🥰 MONTREAL 😀 PUNTA CANA 😊 ZURICH AND MORE! You can fly nonstop from TPA to 20 international destinations! See the full list: https://t.co/oORQOj5Zy1
0
10
21
@JamieClarkeRad
Jamie Clarke, MD, MS
7 months
Honored to share my latest editorial article, which was published in RadioGraphics today! Thank you so much @cmtomblinson for your mentorship on this project and for your incredible mentorship of so many medical and radiology trainees! @RadioGraphics @RadiologyUcla #RadRes
1
9
62
@FunkeCristine
Cristine Funke
8 months
📢Immuno-PET Tracer Named @SNM_MI Image of the Year! #SNMMI25 Each year, SNMMI selects an image that showcases technologies that enhance patient care by improving disease detection, diagnosis, and treatment selection. ➡️ https://t.co/yREAfFzN3r
0
2
7
@_backtable
BackTable Vascular and Interventional
8 months
Got a go-to procedural trick that makes your cases smoother, faster, or safer? Soon, you’ll get a chance to share it - and get recognized for it! @JMichaelBarraza, @bahetimd , @SDhandMD @Gina_Landinez_, @TheRealDoctorOs #IR #VascularSurgery #InterventionalRadiology
0
6
14
@DojaFayhaa
Fayhaa Doja
10 months
📢Calling all #futureradres! Register for this year's virtual ACR Medical Student Research Fair. This is a great opportunity to network, learn about research opportunities, and win some cool prizes! Register Here:  https://t.co/ztczrP5VcR @ACRRFS @RadiologyACR @DO_Radiology
0
25
34
@FunkeCristine
Cristine Funke
11 months
📢 @JournalofNucMed research article uses human cells to accelerate drug development & reduce animal testing. Learn more➡️ https://t.co/dfp59EYHAa @SNM_MI #molecularimaging #research
0
1
2
@doctor_mayfield
John Mayfield, M.D., Ph.D., M.Sc.
11 months
Understanding disability from TBI is a major driving force for my career. I have initiated work in cognitive impairment prediction in TBI using foundation models. This will set the groundwork for future multiomic AI tools incorporating biomarker and psych data across the entire
@DeptVetAffairs
Veterans Affairs
11 months
March is Brain Injury Awareness Month. Events that deliver a blow or jolt to your head can potentially cause a traumatic brain injury (TBI) and may increase your risk for certain mental health conditions. Explore VA support for TBI: https://t.co/hwbg8KUBZc
0
1
5
@AAWR_org
AAWR
11 months
Happy International Women's Day from AAWR! ♀️
1
3
9
@FunkeCristine
Cristine Funke
1 year
📢Exciting News! Research published @JournalofNucMed highlights the potential of 18F-3F4AP, a PET radiotracer, to enhance the visualization of spinal cord injuries. More➡️ https://t.co/tRfdiJ87tN @ClasLinnman @P_Brugarolas @SNM_MI
0
0
3
@DO_Radiology
Josh Baker, PhD
1 year
The new @RadiologyACR website is live! 💻 I love the new #futureradres page, which provides a one-stop resource for the latest updates, programs and resources for #medstudents exploring #radiology. Check it out: https://t.co/E2YfiL8dtr #Medtwitter #MedX #Radtwitter #RadX
3
25
42
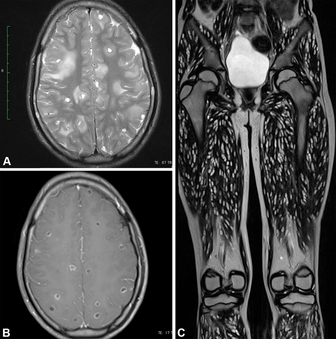
@Neuromed_
Neuromed
1 year
Your diagnosis!!!
15
26
293
@RichDuszak
Rich Duszak, MD
1 year
‼️Incredible new @RadiologyACR Radiology Leadership Institute opportunity for emerging radiology leaders. With @Philips generously investing in our specialty, we're launching the new Philips Emerging Leaders RLI Scholarship Program! More details➡️ https://t.co/mSxdXslb4Z
1
7
28
@FunkeCristine
Cristine Funke
1 year
The date our grandparents and great grandparents will #neverforget ❤️
0
0
0
@FunkeCristine
Cristine Funke
1 year
📢Announcing the Best in Imaging: Explore @radiology_rsna Top Images of 2024! ➡️ https://t.co/QclVUipKmX | @dhairyalakhani @francisdeng #radiology #medicalstudent #radres #radiologist
0
0
1