RadioGraphics Profile Banner
RadioGraphics Profile
RadioGraphics

@RadioGraphics

Followers
42K
Following
4K
Media
1K
Statuses
3K

RadioGraphics, an official journal of RSNA, is devoted to the best of medical imaging education from the RSNA annual meeting. Follow @RSNA to get more updates.

Oak Brook, IL
Joined November 2010
Don't wanna be here? Send us removal request.
@RadioGraphics
RadioGraphics
4 hours
Add Sunday’s “Meet the Editor of RadioGraphics” session to your agenda! Christine Cooky Menias, MD, will be at the RSNA Publications Booth (South Hall Level 3, Booth #1005) on Sunday, 1 p.m.–2 p.m. @RadG_Editor @cookyscan1
0
1
7
@RadioGraphics
RadioGraphics
4 days
Recognize the imaging features of benign and malignant primary pediatric liver tumors to improve diagnosis and facilitate treatment. https://t.co/EetL7QkXHj
0
10
54
@PolitechAI
Politech AI
3 months
Your CPA may be costing you more than their fee. Smart planning reduces taxes, protects assets, and builds long-term wealth. Katz Milanec provides strategy, not just filings.
0
5
21
@RadioGraphics
RadioGraphics
4 days
Thoracic central vein obstruction is increasingly device-related. Endovascular recanalization and stent reconstruction enable rapid symptom relief and durable patency when guided by meticulous imaging, planning, and technique. https://t.co/PPhBTAHdUF
0
6
29
@CasesCookyJar
Cases From the Cooky Jar
4 days
55 M presents with fever and abdominal pain post-cholecystectomy. What is the diagnosis? 🧐🔍 We’ll post the answer in 24h. Share companion cases with us using #CookyBites #241. We will RT the best cases! #RGphx @cookyscan1 @RadioGraphics
8
5
33
@RadioGraphics
RadioGraphics
5 days
Trainees, make the most of the upcoming RSNA Annual Meeting! This short video gives you strategies to maximize the optimal educational, networking, and career growth opportunities. https://t.co/qKOXdcxBYU @cookyscan1 @RadG_Editor #RSNA25
0
0
10
@zenterasystems
Zentera Systems Inc. ☁️
2 years
Traditional cybersecurity is just a speed bump for modern hackers. We help by creating special protections for your existing critical assets and data that follow NIST best practices. Learn how and get started today.
71
151
2K
@CasesCookyJar
Cases From the Cooky Jar
9 days
69 F with colon carcinoma in remission post resection, MASLD and kidney failure due to DM type 2, currently on insulin presents with mass-like lesion in the abdomen. Diagnosis ⁉️ Answer: 🔗 Have a companion case? Share using #CookyBites #240. We will RT the best cases! #RGphx
1
8
40
@RadioGraphics
RadioGraphics
11 days
🚨 A new episode of the @RadioGraphics podcast is now available!🚨 @rnicola04 talks with @MRElastography about how imaging reveals the widespread effects of alcohol use disorder across the body.
Tweet card summary image
rsnaradiographics.libsyn.com
The RadioGraphics Podcast Team discusses recently published articles. Subscribe today on Apple Podcasts, Google Play, and Spotify.
0
1
10
@RadioGraphics
RadioGraphics
12 days
Considering pediatric PET/MRI? When PET is indicated and MRI offers better detail than CT, PET/MRI is often the modality of choice. Review key protocols, indications, and technical tips. https://t.co/bj746BG8rJ
2
7
41
@CasesCookyJar
Cases From the Cooky Jar
17 days
Answer: Distal Intestinal Obstructive Syndrome (DIOS) Learn more: https://t.co/KjsXxqkX4k https://t.co/nu5yrhR69r #CookyBites #239 #RGphx @cookyscan1 @RadioGraphics
0
18
78
@GABAtelepsych
GABA Telepsychiatry
2 months
Looking for the best online psychiatrist? Get expert mental health care from the comfort of your home. Convenient, confidential, and compassionate. Visit our website or call 833-412-2222 to schedule your appointment today.
0
0
13
@CasesCookyJar
Cases From the Cooky Jar
18 days
22 YO male presents with recurrent bouts of abdominal pain. What is the diagnosis? We’ll post the answer in 24h. Share companion cases with us using #CookyBites #239. We will RT the best cases! #RGphx @cookyscan1 @RadioGraphics
9
13
65
@amy_kelly_md
Amy
20 days
🚨Check out the latest Breast Imaging Article in Radiographics ⬇️ https://t.co/yODVbg0to6​ @cookyscan1 @RadG_Editor @RadioGraphics @OSUWexMed, @OSURadiology, @mitvamd @BrandyMGriffith #RGphx (1/10)
3
4
20
@JosephGeorgeAy
Joseph G. Ayoub, MD, MS
19 days
PET/MRI offers many advantages in the pediatric population, but what makes it so valuable? Let’s take a quick dive into the latest #RGphx review 🔗 https://t.co/oh006mQmfn Pediatric PET/MRI: Imaging Techniques, Indications, and Clinical Implementation @drhelennadel @StanfordRad
1
1
4
@RadioGraphics
RadioGraphics
19 days
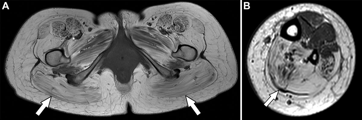
Myopathies are heterogeneous disorders affecting the structure & metabolism of skeletal muscles. At imaging, radiologists can identify specific characteristics that correlate with clinical and genetic findings to differentiate among entities. https://t.co/8HKU2wIPBg
0
4
41
@100searchengine
100 Search Engines
10 months
100 Search Engines helps you find the most current & most relevant websites, news, images & videos from all over the Internet.
2
6
28
@RadioGraphics
RadioGraphics
22 days
CTE, MRE, & US define strictures through morphology, inflammation, & fibrosis. Emerging biomarkers aim to quantify fibrosis, stiffness, & motility, guiding future antifibrotic therapies. https://t.co/F5w93W5rk5
0
9
24
@gennadanna
Gennaro D'Anna, MD, EDiNR
22 days
Crohn Disease Strictures: Multimodality Imaging to Identify Imaging Biomarkers A deep dive into how MRI, CT, and US can help us characterize fibrosis, inflammation, and stiffness in Crohn’s disease strictures. #RGphx @cookyscan1 @RadG_Editor @RadioGraphics @teachplaygrub
2
3
17
@CasesCookyJar
Cases From the Cooky Jar
24 days
Answer: Diffuse Large B Cell Lymphoma of Uterus Learn more: https://t.co/8HgwGYZh3l #CookyBites #238 #RGphx @cookyscan1 @RadioGraphics
1
5
32
@RSNA
RSNA
24 days
The new issue of @RadioGraphics is here! Explore the latest radiology education, including pediatric PET/MRI techniques and expert reviews. Read more: https://t.co/hxXAX8qE16
1
3
14
@SuperiorSource
Superior Source
9 days
Our clean and pure vitamins and powders support various aspects of health.*
3
4
18
@CasesCookyJar
Cases From the Cooky Jar
25 days
83YO female presents with back pain 👵😩 Pelvic MRI is obtained after suspicious finding on lumbar MRI. What is the diagnosis? We’ll post the answer in 24h. Share companion cases with us using #CookyBites #238. We will RT the best cases! #RGphx @cookyscan1 @RadioGraphics
7
5
32
@RadioGraphics
RadioGraphics
29 days
Trauma in pregnancy is critical — two patients, one priority: save the mother to save the baby. CT shouldn’t wait when needed. With proper protocols, the benefits far outweigh the risks. @YaleMed @YaleRadiology @DrJonLangdon https://t.co/wDI6UEJhGv
1
16
106
@RadioGraphics
RadioGraphics
1 month
Pelvic ring injuries are more than fractures. CT is your road map — revealing nuances that x-rays can’t. @samrad77 @drdevrad @MKMSKER @Mskradiology4u1 @alokmittaldr https://t.co/XfnIq13JMX
2
25
113