
American College of Radiology
@RadiologyACR
Followers
65K
Following
28K
Media
15K
Statuses
43K
The ACR is the voice of #radiologists, #MedPhys, #RadOnc & #NucMed physicians, empowering them to serve patients & society. #FocusedForwardTogether
Reston, VA
Joined March 2009
๐ #RadExam Study Guide ๐ An otherwise asymptomatic 30 y/o average-risk woman presents to her primary care clinic with bilateral nonspontaneous yellow nipple discharge. What is the next step in management?
0
1
2
Friends donโt let friends forget their mammograms. Make sure you and your girlfriends are getting the screening you need. #MammographySavesLives Find a facility and understand your next steps: https://t.co/KxWTX3b9bM
0
1
2
A 26-year-old male presents with lower leg weakness and numbness after a motorcycle accident.#ACRCaseinPoint
https://t.co/X1IWA9HyyQ
0
0
3
Are you ready to expand your skills and gain the confidence to enhance your diagnostic impact? Join us Oct. 27โ31 for a virtual in-depth, expert-guided review. Learn more & register: https://t.co/aq0kcDyuJj
#AIRP @VChernyakMD @ErinGomezMD @MylesTaffel @radiolobt @AtifZaheerMD
0
1
5
Over the weekend, @amykpatel and @KSRadSoc President Dr. Mac Everist represented ACR at the @KUMedCenter Imaging the Ozarks meeting. They talked with attendees from Kansas to Colorado about the value of membership and the power of #radvocacy. #FocusedForwardTogether
0
0
5
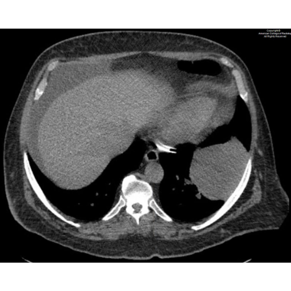
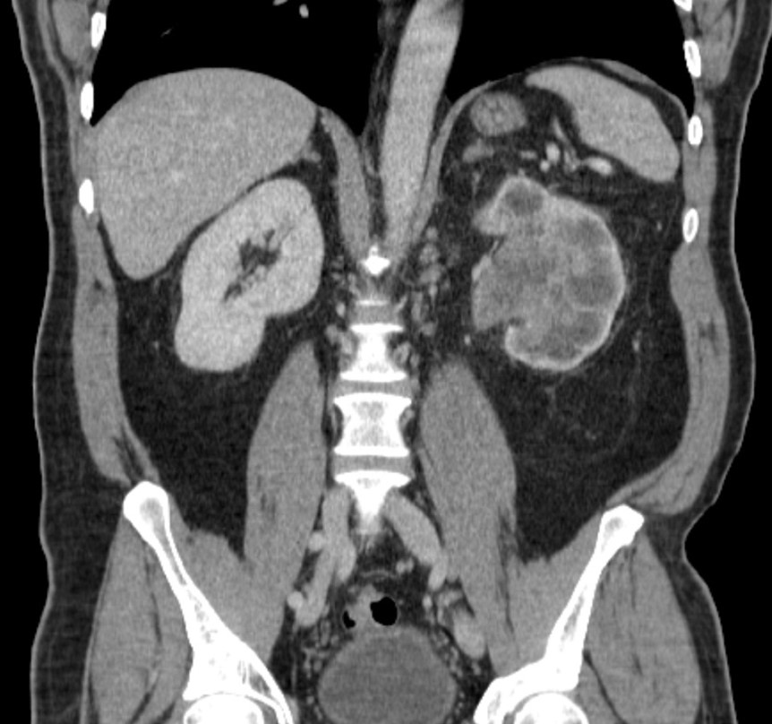
A 68-year-old male with no significant medical history presents for abdominal ultrasound.#ACRCaseinPoint
https://t.co/ZKGwIkx9MD
0
0
4
Attrition from the radiology workforce is higher for subspecialists vs. generalists and nonacademic vs. academic radiologists, finds new research from @NeimanHPI. Read more: https://t.co/gZnilN89cw
#AdvocacyInAction #radvocacy @ACRRAN
0
1
3
In response to a proposed rule to time-limit J-1 and other visas, we've filed comments with the U.S. Department of Homeland Security recommending U.S. visa flexibility for healthcare workers. Learn more: https://t.co/5jw6H5Z29l
#AdvocacyInAction #radvocacy @ACRRAN
1
0
3
The National Cancer Institute has released its Fiscal Year 2027 Budget Proposal as Anthony Letai, MD, PhD becomes the Director. We remain committed to supporting ongoing and future advocacy efforts with NCI. Read more: https://t.co/pnfrMAJMrF
#AdvocacyInAction #radvocacy @ACRRAN
0
0
3
We've teamed up with other #radiology organizations to develop an innovative AI educational framework for radiology. Learn more: https://t.co/LYRiJCOVtE
#AdvocacyInAction #radvocacy @ACRRAN
0
0
2
The #ImageGently Family-Friendly Campaign offers a new, free online "plug-and-play" module for medical students! Learn more about this incredible resource for medical professionals involved in pediatric imaging: https://t.co/3MHNlJFLtS
#AdvocacyInAction #radvocacy @ACRRAN
0
0
4
A 36-year-old female without significant medical history presents for evaluation of a rapidly enlarging left breast mass.#ACRCaseinPoint
https://t.co/gm0tueNxh4
2
1
7
Congresswoman Stephanie Bice toured the Oncology & Imaging Services at Mercy Health. She is focused on womenโs health issues and is a strong advocate for ensuring access to mammography screening. Read more: https://t.co/sIfAtjh8ci
#AdvocacyInAction #radvocacy @ACRRAN @RADPAC
0
1
3
We continue to present new #radiology codes and data to the RUC. Learn more: https://t.co/68ldTECa6T
#AdvocacyInAction #radvocacy @ACRRAN
0
0
3
๐ฃ Check out key updates for ACR members regarding the Federal Government Shutdown: https://t.co/EZZ97BMUt3
#AdvocacyInAction #radvocacy @ACRRAN
0
0
2
We have formally asked CMS to update the National Coverage Determination โ Colorectal Cancer Screening Tests to reflect the fact that Medicare now covers screening computed tomographic colonography. Read more: https://t.co/qWlRaG8ucR
#radvocacy @ACRRAN #CTC #virtualCT
0
0
3
How have Medicare telehealth flexibilities been impacted by the government shutdown? Read more: https://t.co/Y4nyUEGICs
#AdvocacyInAction #radvocacy @ACRRAN
0
0
2
Lead the future of Alzheimer's imaging! ALZ-NET offers exclusive access to discounted FDA-cleared AI tools and data visualization resources. Join the ALZ-NET interest list today: https://t.co/i6J8Qf187G
#AdvocacyInAction #radvocacy @ACRRAN
1
0
6
A 39-year-old female presents to the emergency room with lower abdominal pain for the past 2 weeks.#ACRCaseinPoint
https://t.co/Kf53OLIc16
0
1
5
We recently participated in the Strategic Radiology Fall Summit. The summit featured discussions with industry thought leaders on policy and socio-economic issues, workforce, and AI. Read more: https://t.co/t2A1X1GZdd
#AdvocacyInAction #radvocacy @ACRRAN @RADPAC
3
0
6