Neuromed_ Profile Banner
Neuromed Profile
Neuromed

@Neuromed_

Followers
12K
Following
5K
Media
572
Statuses
2K

It's all about the brain. feel free to ask about brain 🧠

Basal ganglia
Joined January 2024
Don't wanna be here? Send us removal request.
@Neuromed_
Neuromed
4 months
If you or someone you know is experiencing a neurological condition, or you'd like to discuss a neurology-related case, feel free to reach out via DM.
3
2
24
@Neuromed_
Neuromed
1 day
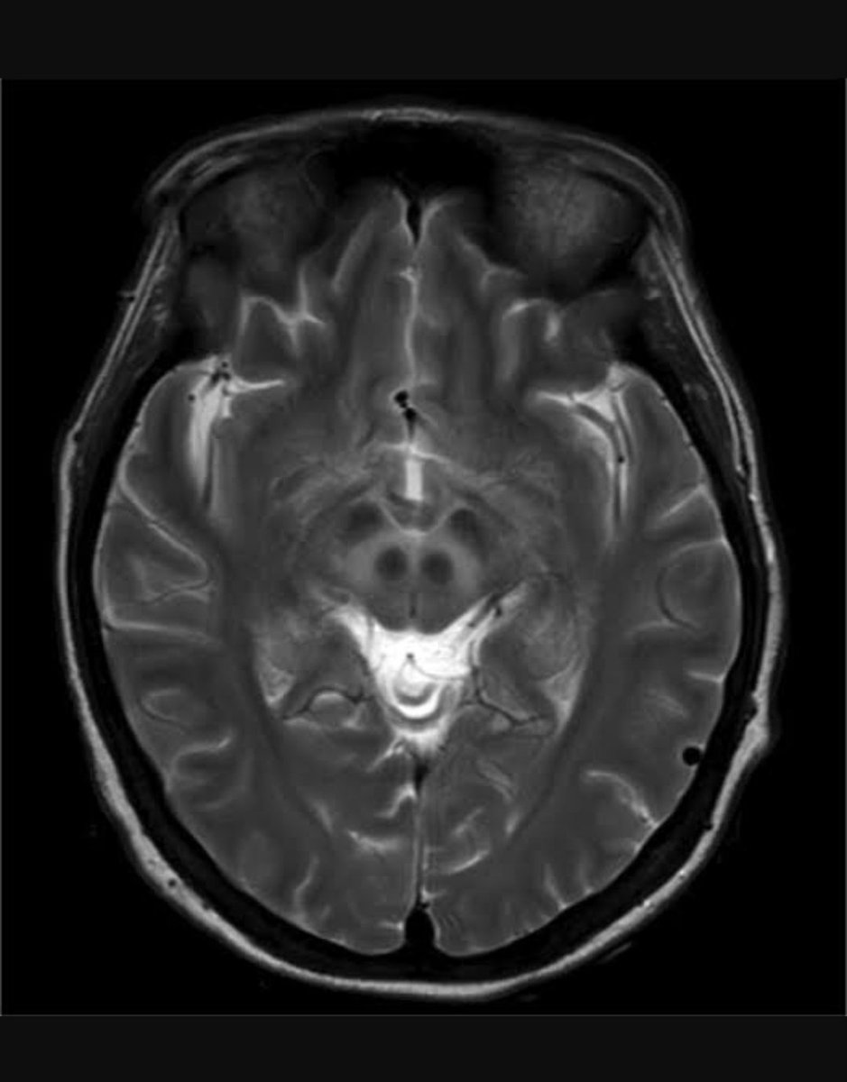
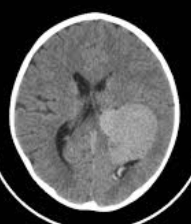
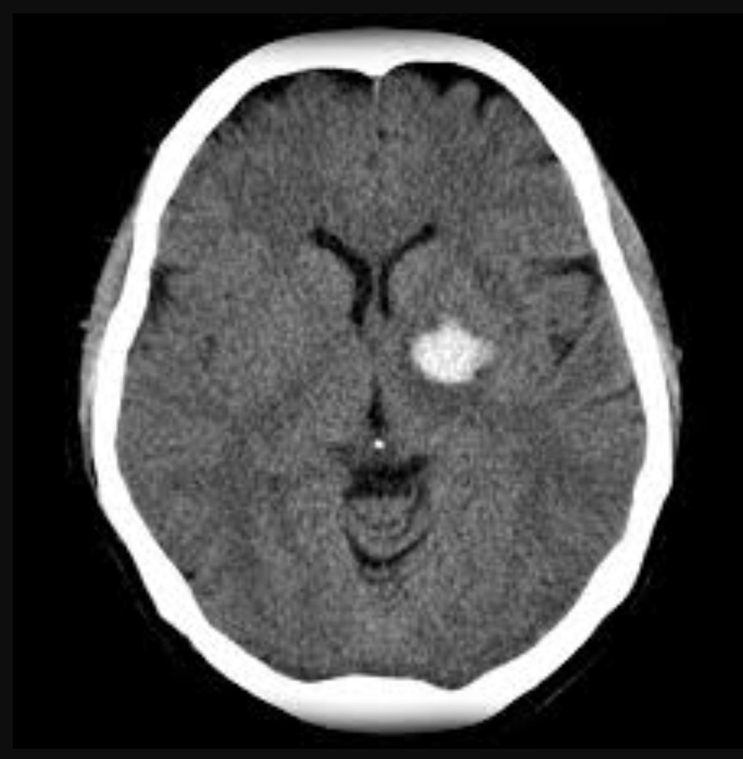
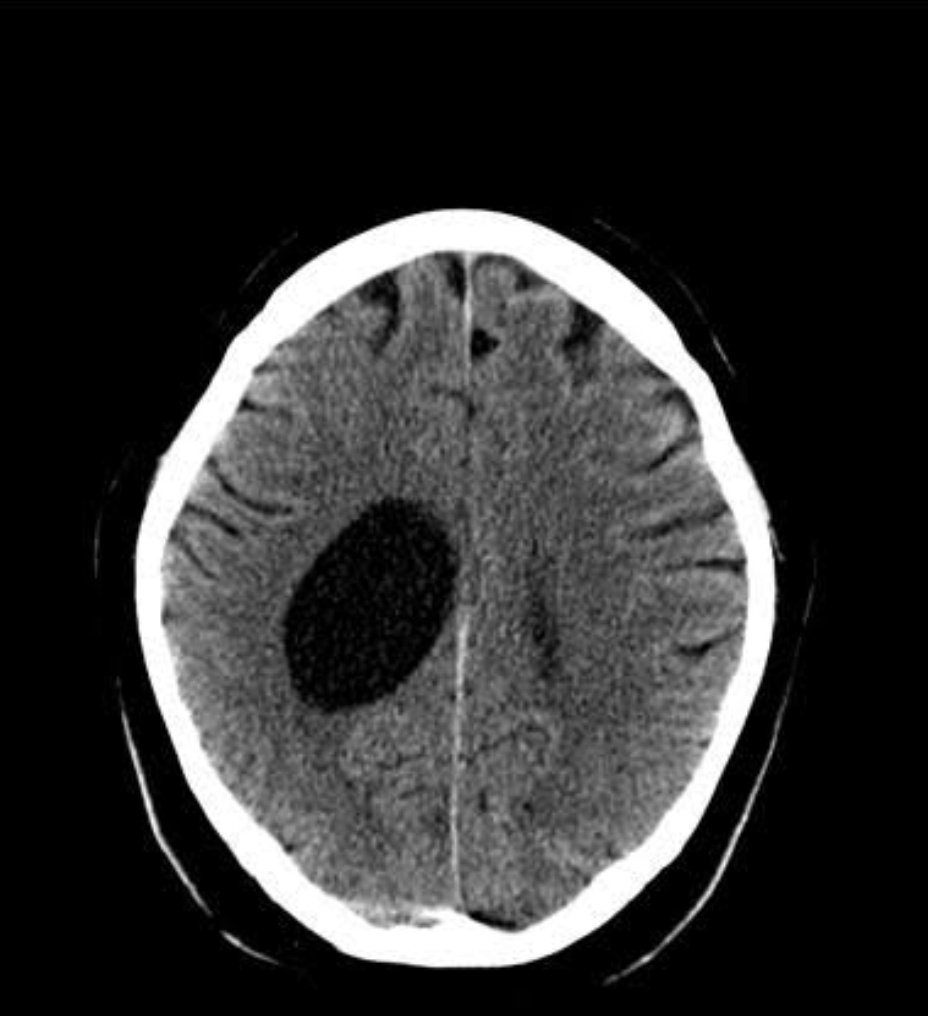
Your diagnosis!!
7
12
159
@Neuromed_
Neuromed
2 days
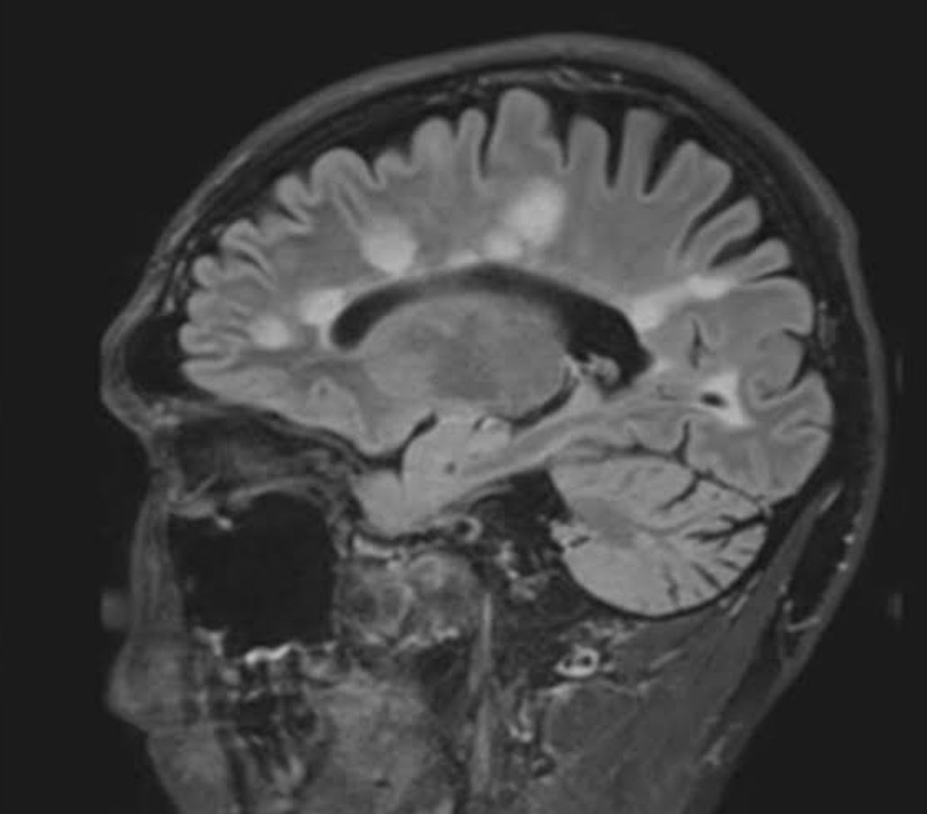
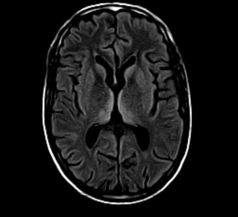
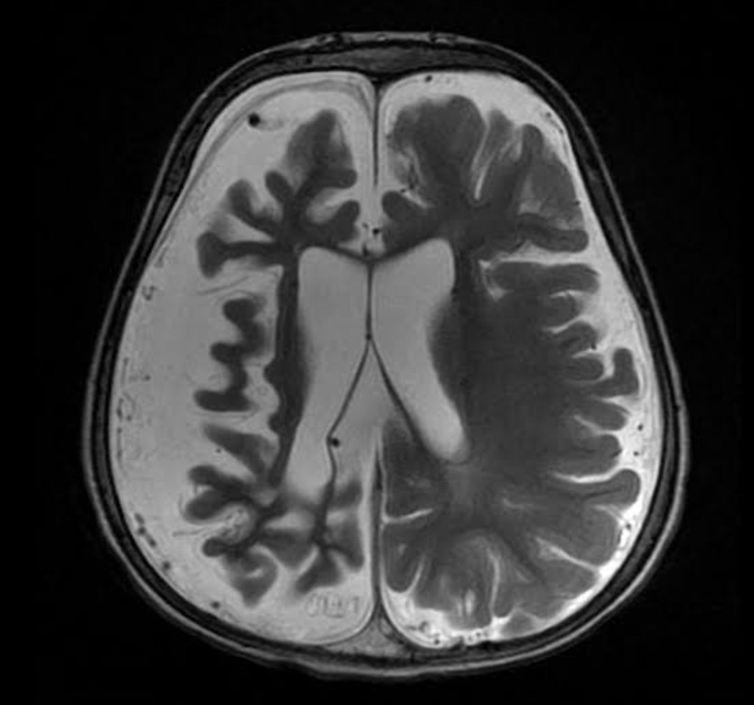
Your diagnosis!!!
25
21
182
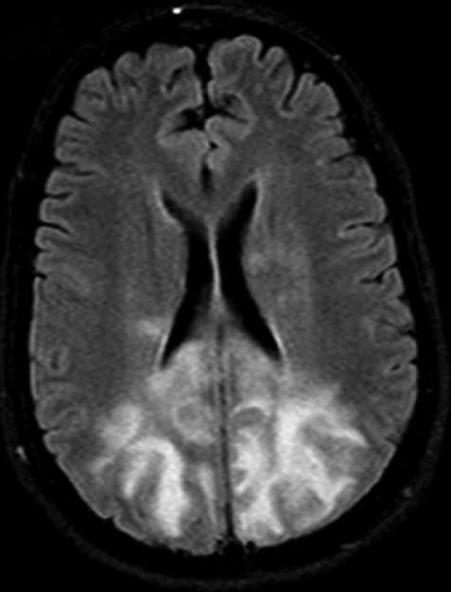
@Neuromed_
Neuromed
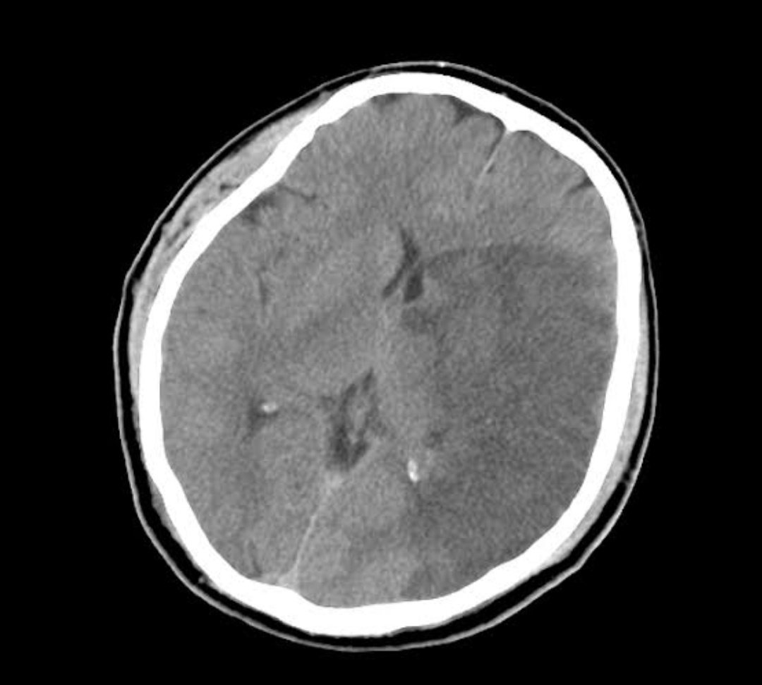
3 days
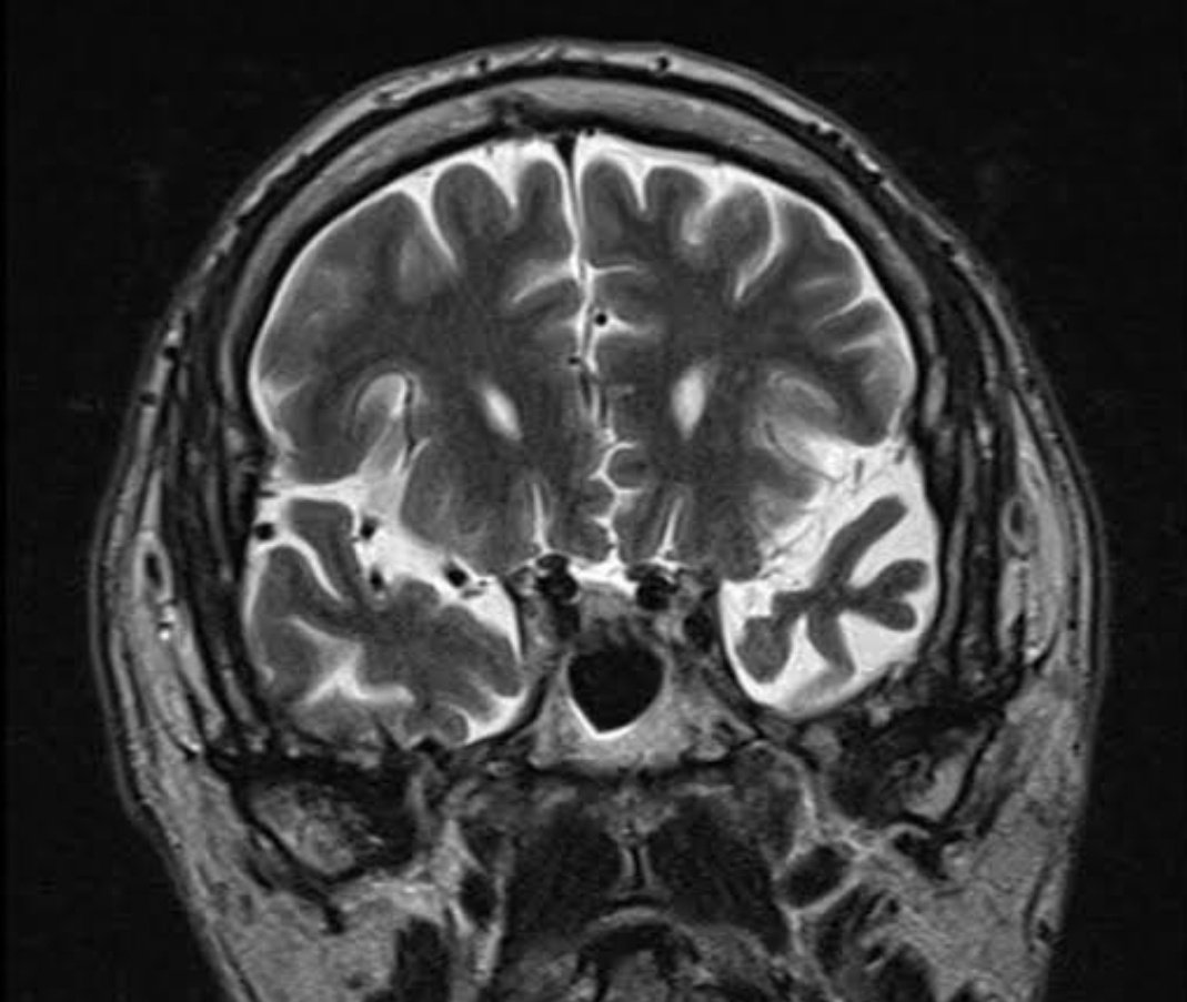
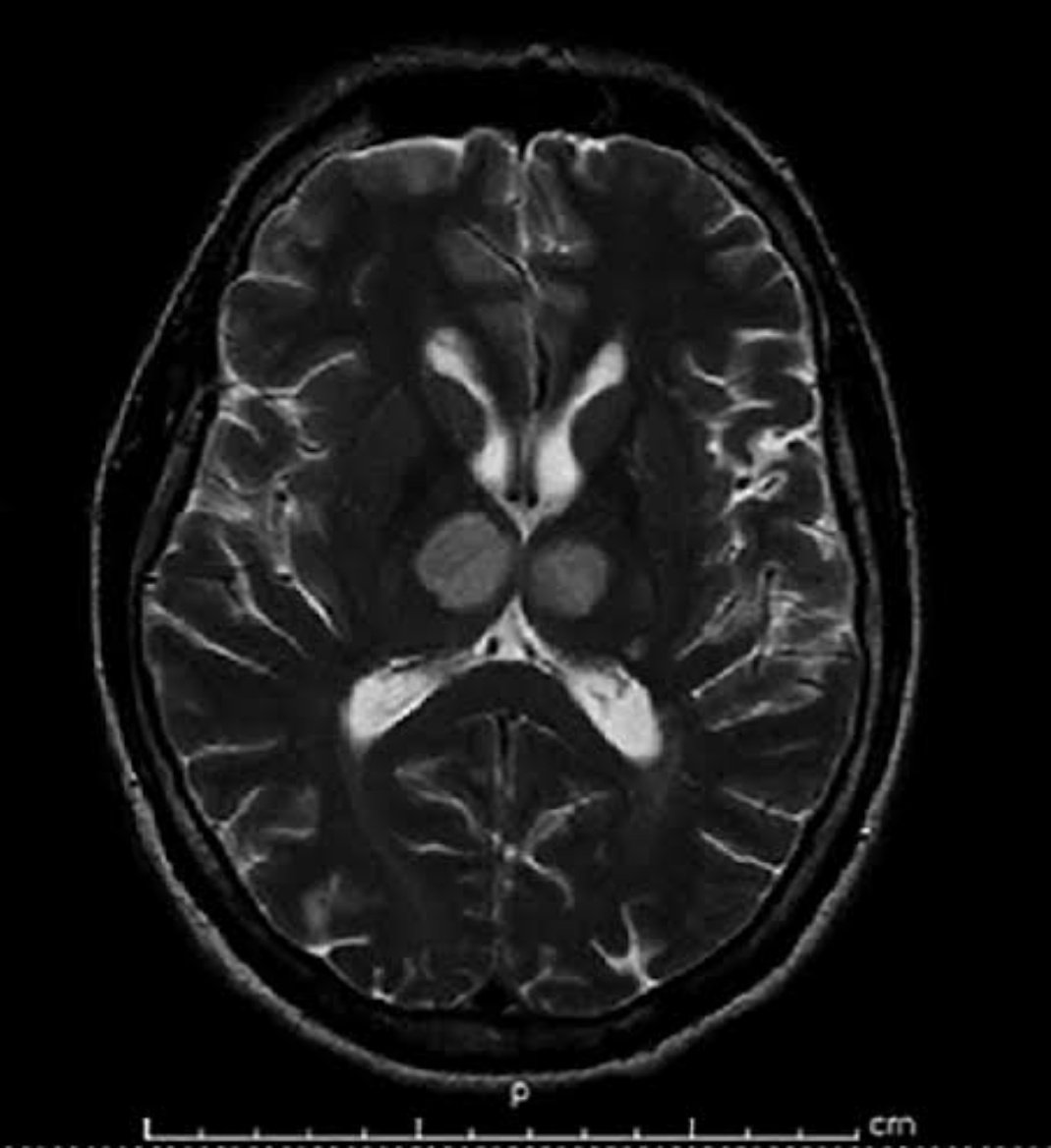
68 year old male known hypertensive and diebetic presented with memory impairment. What's your diagnosis!
10
16
117
@Neuromed_
Neuromed
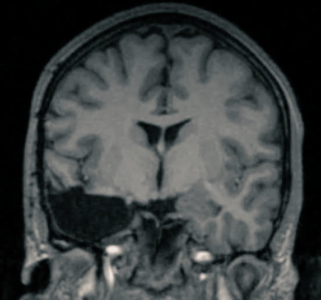
3 days
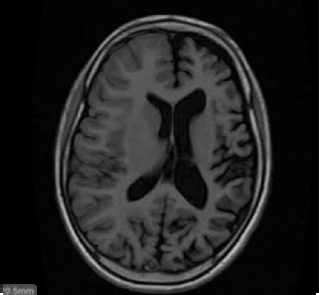
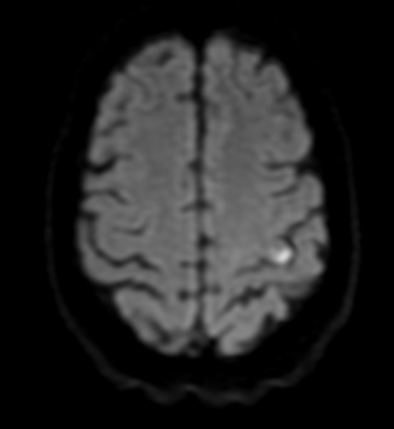
Patient presented with uncontrollable seizures. Your diagnosis!!
16
20
159
@Neuromed_
Neuromed
4 days
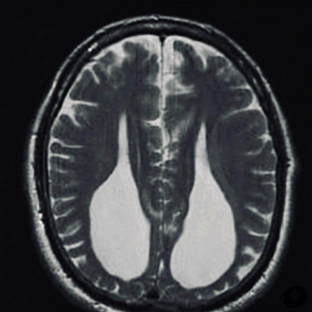
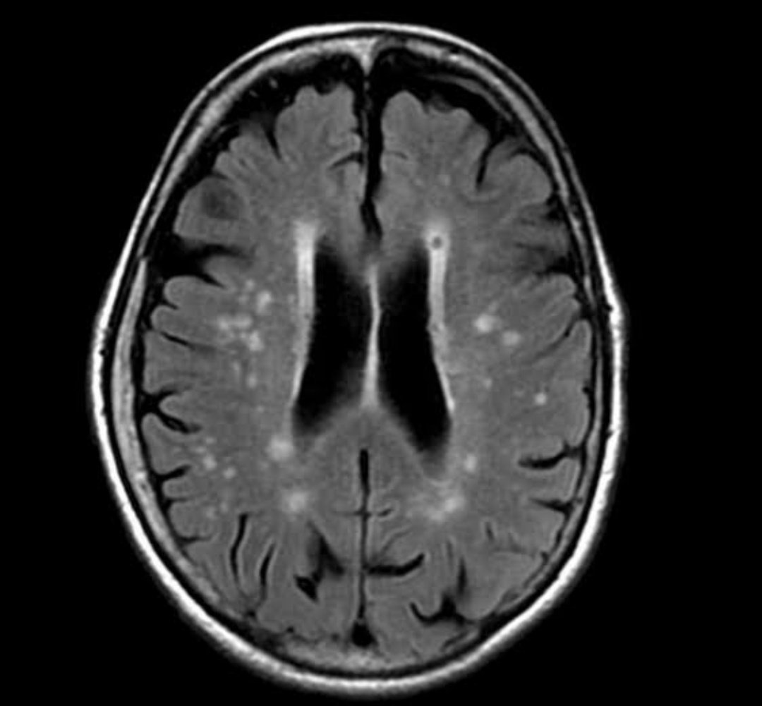
Spot diagnosis!!
23
27
230
@Neuromed_
Neuromed
5 days
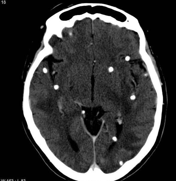
Your finding !!
10
15
199
@Neuromed_
Neuromed
6 days
Your diagnosis!!
31
42
387
@Neuromed_
Neuromed
7 days
Your diagnosis!!
39
29
414
@Neuromed_
Neuromed
8 days
Your diagnosis!!!
19
13
154
@Neuromed_
Neuromed
8 days
Your findings !!
11
9
123
@Neuromed_
Neuromed
9 days
Your diagnosis!!
9
4
95
@Neuromed_
Neuromed
9 days
Your diagnosis!!
31
45
636
@Neuromed_
Neuromed
14 days
Your diagnosis!!!
26
16
241
@Neuromed_
Neuromed
16 days
Your diagnosis!!!
32
21
303
@Neuromed_
Neuromed
2 months
Your findings!!
11
18
118
@Neuromed_
Neuromed
3 months
Your diagnosis!!
22
29
235
@Neuromed_
Neuromed
3 months
Patient presented with abnormal behavior and choreoathetosis. What's your diagnosis!!!
17
25
182
@Neuromed_
Neuromed
3 months
Your findings!!!
13
11
100
@Neuromed_
Neuromed
3 months
A Young patient presented with uncontrollable seizures. What's your diagnosis!!
16
19
176
@Neuromed_
Neuromed
3 months
Your findings!!
5
8
88