Zeynep Erson Profile
Zeynep Erson

@ErsonZerson

Followers
159
Following
312
Media
0
Statuses
67

Assistant Professor@ Yale School of Medicine

New Haven, CT
Joined March 2014
Don't wanna be here? Send us removal request.
@ErsonZerson
Zeynep Erson
1 month
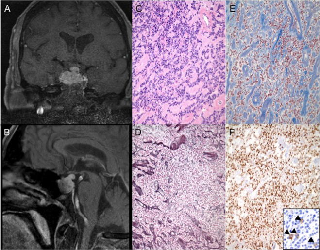
Happy to share that our latest paper is published at @NatureComms. We’ve identified a novel subgroup of meningiomas defined by recurrent fusions in the FOS/FOSB genes, expanding the molecular classification of meningiomas. Read it at : https://t.co/nZvyT12N0r #meningioma
Tweet card summary image
nature.com
Nature Communications - Approximately 17% of meningiomas remain genomically uncharacterized. Here, the authors analyze 105 meningiomas without known driver mutations or significant copy number...
0
2
4
@ICOMeningioma
International Consortium on Meningiomas (ICOM)
29 days
Read the new study in @NatureComms which identifies a #meningioma subgroup with distinct genetic, transcriptomic, and clinical features, expanding the #MolecularClassification of meningiomas and opening new avenues for targeted treatment strategies: https://t.co/56UfoGu2TI
0
3
11
@emekdemir
emekdemir
3 years
Dear friends, The devastating Maras earthquake not only claimed lives of many , but also left many survivors with long term medical needs. This is a project that i am actively supporting to create solutions. Please consider donating. https://t.co/GGtISJV9hY
Tweet card summary image
secure.givelively.org
Help The Child Amputees of Türkiye Earthquake (Project CATE)Support our efforts to provide prosthesis, physical therapy and long-term educationOn February 6, 2023 elev...
0
14
17
@YNeurosurgery
Yale Department of Neurosurgery
4 years
New publication: our researchers conducted a comprehensive next-generation sequencing analysis on the molecular makeup of patients with multiple meningiomas. Read what they found here: https://t.co/ND91eulrFJ #genetics #cancerresearch #braintumor
Tweet card summary image
pmc.ncbi.nlm.nih.gov
Multiple meningiomas (MMs) rarely occur sporadically. It is unclear whether each individual tumor in a single patient behaves similarly. Moreover, the molecular mechanisms underlying the formation of...
1
2
11
@ErsonZerson
Zeynep Erson
4 years
Our report on sporadic multiple meningioma genomics is out...
@MeningiomaBot
MeningiomaBot
4 years
Genomic profiling of sporadic multiple #meningiomas
0
0
6
@Erson_BensanLab
Erson-Bensan Lab METU
4 years
We are excited, our new work is out! We are describing an mRNA isoform switch for the oncogenic activation of HNRNPA1 in breast cancers. #miRNA #RNA #isoformswitch @SciReports For more:
Tweet card summary image
nature.com
Scientific Reports - Identification of an mRNA isoform switch for HNRNPA1 in breast cancers
2
6
81
@YNeurosurgery
Yale Department of Neurosurgery
4 years
In a groundbreaking study published last week in @Nature, researchers have identified the role of the gene PPIL4 in a patient's risk of developing intracranial aneurysms, a deadly condition scientists are trying to understand better. https://t.co/Ivux5b8HGB #medtwitter
1
7
27
@oncogenejournal
Oncogene Journal
4 years
In our latest issue @Erson_BensanLab, @ozgursahin1905 & co-workers show that SNX3 loss is linked to EGFR overexpression in triple-negative #BreastCancers. 👉 https://t.co/dw6cjfSqpe #TNBC
0
12
29
@YNeurosurgery
Yale Department of Neurosurgery
4 years
@hjvrutherford
Helena Rutherford
4 years
Another (!) exciting mentored postgrad opportunity with @bulent_omay @YNeurosurgery and us in @thebabl @YaleCSC looking at multidimensional (brain, hormones, behavior) assessments of patients with pituitary tumors and TBI. Please DM us for more details!
0
3
5
@iVisAtBilkent
iVis@Bilkent
5 years
An article by @balcihasannn and @ugurdogrusoz2 on a new fast algorithm for automatic layout of compound graphs with support for user-specified constraints is just out: https://t.co/sW1ApbM6y4
0
7
14
@YNeurosurgery
Yale Department of Neurosurgery
5 years
New paper alert 🔔: As part of continued efforts to understand the genetic underpinnings of cancer, researchers identified rare, somatic NF1 variants in two patients with pituitary adenomas in a new case study. 🧠 #cancertwitter #neurotwitter #genomics #neurosurgery #meded
1
7
14
@ErsonZerson
Zeynep Erson
5 years
Another case from our group showing the importance of genomic profiling for every tumor.
@YNeurosurgery
Yale Department of Neurosurgery
5 years
New publication alert 🔔: A case study in @Nature_NPJ Precision Oncology of a rare #gliosarcoma patient reveals hypermutation. What are the implications for research and treatment? Find out: https://t.co/peqBnG40jS #wes #genomics @ErsonZerson
2
0
10
@YNeurosurgery
Yale Department of Neurosurgery
5 years
New paper characterizes spontaneous CSF leaks as a distinct variant of idiopathic intracranial hypertension (#IIH). Delayed measurement of opening pressure after leak repair may be helpful to diagnose idiopathic intracranial hypertension. https://t.co/PsIFtjWUQh @bulent_omay
0
4
6
@koyuturkm
Mehmet Koyutürk
5 years
Besides a kinase's own targets, which phosphorylation sites can be used to reason about the kinase's activity? https://t.co/LhOZQygDEG
3
6
19
@CodeWisdom
Programming Wisdom
5 years
"Testing shows the presence, not the absence of bugs." – Edsger W Dijkstra
17
411
2K
@KahleKristopher
Kristopher Kahle
5 years
Potential diagnostic utility of exome sequencing for congenital hydrocephalus.
@YNeurosurgery
Yale Department of Neurosurgery
5 years
A new paper from @kahlelab at Yale in @JAMAPediatrics uncovers many previously undefined mutations which could therapy and prognosis of congenital #hydrocephalus:
0
2
4
@YNeurosurgery
Yale Department of Neurosurgery
5 years
In the first genomic characterization of a metastatic tumor to the sella, a case study of a 68-year-old with pituitary metastases suggests that PTCH1 and BCOR gene mutations may be involved in the pathophysiology of these diseases. https://t.co/QZArX5tLpn #academicmedicine
1
4
22
@KahleKristopher
Kristopher Kahle
5 years
What if a blood test could tell you whether or not you would benefit from a shunt? Or A.I. could predict a causative gene mutation from the appearance of your brain MRI? Or we could correct congenital hydrocephalus in utero with gene therapy? Sounds crazy. Is it?
@YNeurosurgery
Yale Department of Neurosurgery
5 years
“A new era is approaching for increased accuracy of diagnosis & prognosis & improved intervention strategies for patients with this complex disease.” Thank you for your thoughtful words about our recent paper on #congenitalhydrocephalus, Dr. Ross! @WeillCornell @NatureMedicine
0
3
19