
UAMS Dermpath
@DermpathUAMS
Followers
4K
Following
1K
Media
104
Statuses
2K
Dermatopathology at @PathologyUAMS via @uamshealth. Faculty: @MightyDermPath, @hamzamugahed
Little Rock, AR
Joined April 2014
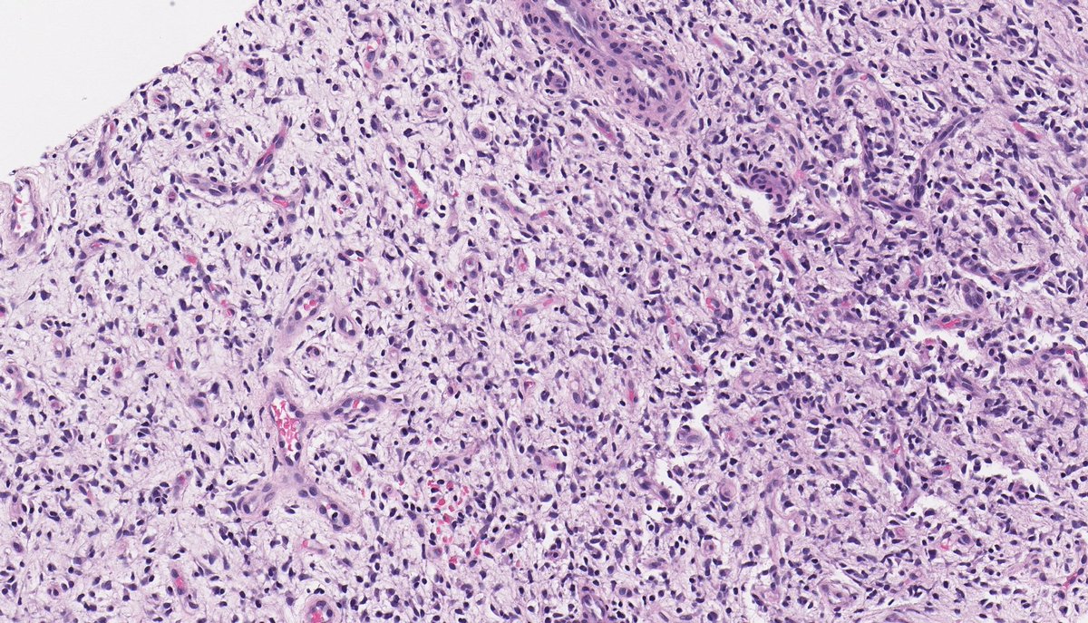
Shoutout to our future @DermpathUAMS fellow Dr Rollins and his paper with Drs Lindberg and Cassarino on GLI-1 fusion neoplasm at #ASDP22 evening slide symposium. Their case taught me to include this entity in my DDx when I think “Funny glomus?”
0
7
30
Evening symposium continues to delight- even virtually! Dr. Wanat with fascinating case of rubella associated granulomatous dermatitis! #ASDP22 Have you seen a case?
2
7
51
Dont’ miss @TheUSCAP Past President Dr. Laura Lamps at @PathologyUAMS update course! Sept 10 virtual or in-person register: https://t.co/dqIvGjkdzy
@HemepathUAMS @DermpathUAMS @kellen_dawson @MikiLindseyMD @codarra @EleFiorlettaMD @AzinMashayekhi #PathTwitter #pathology #GIpath
0
8
9
My first ever publication in the @NEJM! A classic case of scurvy, which is thankfully very rare in USA these days! #Pathology #dermpath #dermatology #dermatologia #dermtwitter @ASDPTweets
A 72-year-old woman with poor oral intake presented with gingival bleeding, petechiae on both legs, and corkscrew hairs. A diagnosis of scurvy was made.
50
49
365
Twinning yesterday with Sherry (also I’m not very good at taking selfies) 🤷🏼♀️😊🥰#Fridaycasual @uamshealth @DermpathUAMS
0
1
10
Can’t see this without thinking of @JMGardnerMD Has always been his favorite incidental #dermpath finding. Epidermolytic hyperkeratosis. Do you know the mutation associated with this finding? 😏🤩
4
36
102
May is Skin Cancer Awareness month! UAMS Dermatology started the month by hosting the Colonel Randy Holland Melanoma Memorial Lecture yesterday. We were thrilled to welcome @DrSancy Leachman to speak on #publichealth and screening initiatives launched by her Dept and @OHSUKnight
1
3
4
#IdBoardReview Pt w/ skin changes of b/l legs. History +sitting in front of an open fire for warmth in winter. Exam nonblanching brown lichenified hyperpigmentation in a reticular pattern on both anterior shins & ankles #IDtwitter #dermtwitter #meded
14
62
224
They say it’s always supposed to “pierce” the epithelium perpendicularly, but this may be the first time my biopsy REALLY read the textbook. #mucosalbiopsy
13
70
242
Love the opportunity in my job to mentor daily. @MeghanaAgniMD just spent 2 wks with us @uamshealth as part of @ASDPTweets mentorship award. Plus @DermpathUAMS fellow @BDavidDermpath & @PathologyUAMS resident @EleFiorlettaMD I get to work with every day! What a 💪, 🤩, 😎 group!
2
7
46
The end of the academic year becomes bittersweet, once you become an attending. This year I have had the fantastic @AadilAhmedMD as #dermpath fellow and it has been a joy. Aadil, wishing you much luck in your new job as a hemepath/dermpath! Glad you will always be a colleague!
3
3
60
Welcome aboard to our new UAMS Dermatopathology faculty member @ZoumberosMD!
1
2
12
👏👏🏽👏🏼👏🏿
Excited about the opportunities in front of me! We’ve got a great team and we’re only going to get better! Improving #skincare for all Arkansans, training the next gen of #dermatologists, and advancing #dermatology research.😊
0
0
2
Dr. Shalin has been appointed Chair of Dermatology! She is director of the MD/PhD program as well @UAMS_MD_PhD ! Congratulations @MightyDermPath ! I’m so happy to work at place where women leaders are promoted @uamshealth #doubledocs #womeninstem
11
17
93
Check out our future #dermpath fellow’s awesome publication on EFH! Epithelioid Fibrous Histiocytoma With Dot-Like Perinuclear ALK Expression and PRKAR2A-ALK Fusion - PubMed @kellen_dawson
pubmed.ncbi.nlm.nih.gov
Epithelioid fibrous histiocytoma (EFH) is a rare, benign, cutaneous neoplasm. This fibrohistiocytic tumor was once believed to be a variant of fibrous histiocytoma, but EFH is now known to be a...
0
1
4
Beware, Twitter!—>The Better Business Bureau is warning people not to post their Covid-19 vaccination cards on social media - CNN
apple.news
No matter how excited you are about getting your vaccine, the Better Business Bureau is warning you: Avoid sharing photos of your Covid-19 vaccine cards.
0
1
1
Happy last day of the year! This indeed was a trying year for many. Look also to some of these positive notes and see if you agree! 😊
apple.news
As 2020 draws to a close, CNBC Make It looks at some of the major breakthroughs achieved this year and the positive shifts they foretell for 2021 and beyond.
0
2
4
So happy to share our #dermpath article published in JCP. Received my early Christmas present :D @MightyDermPath @DermpathUAMS @PathologyUAMS
https://t.co/A2Lv0u3kJX
1
5
29
ANGIOFIBROMA OF SOFT TISSUE. NGS: AHRR-NCOA2. NB: spindle-stellate cells with scant eosinophilic cytoplasm; ovoid and hyperchromatic nuclei with minimal atypia; abundant myxoid-collagenous stroma with prominent thin-walled and branching vasculature (PMID: 22337624).
1
45
120