
Brendan Dickson, MD
@B_C_Dickson
Followers
6K
Following
4K
Media
693
Statuses
1K
Bone & Soft Tissue Pathologist | Associate Professor | University of Toronto, ON, Canada |
Toronto, Ontario
Joined May 2014
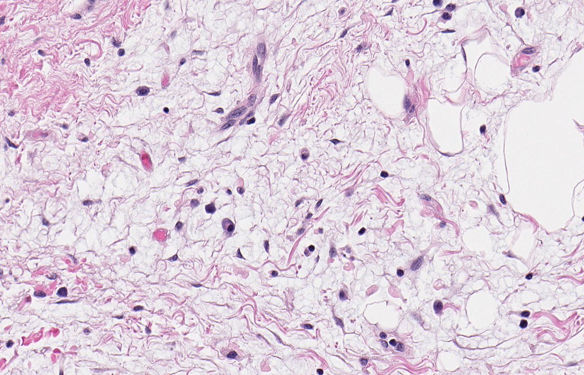
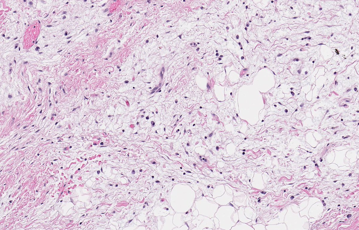
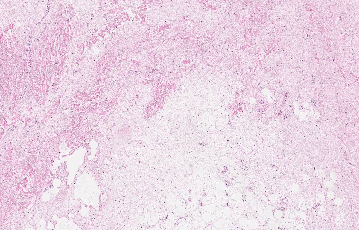
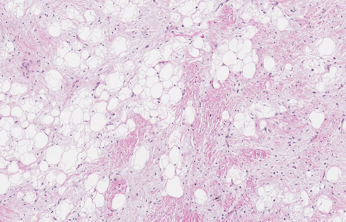
MASSIVE LOCALIZED LYMPHOEDEMA. NB: lobules of mature adipose tissue; expanded interlobular septa; spindle-stellate cells with mild atypia and prominent myxoid background; ectatic lymphatic spaces; MDM2 non-amp; typically occurs in context of morbid obesity (PMID: 9777990).
3
12
30
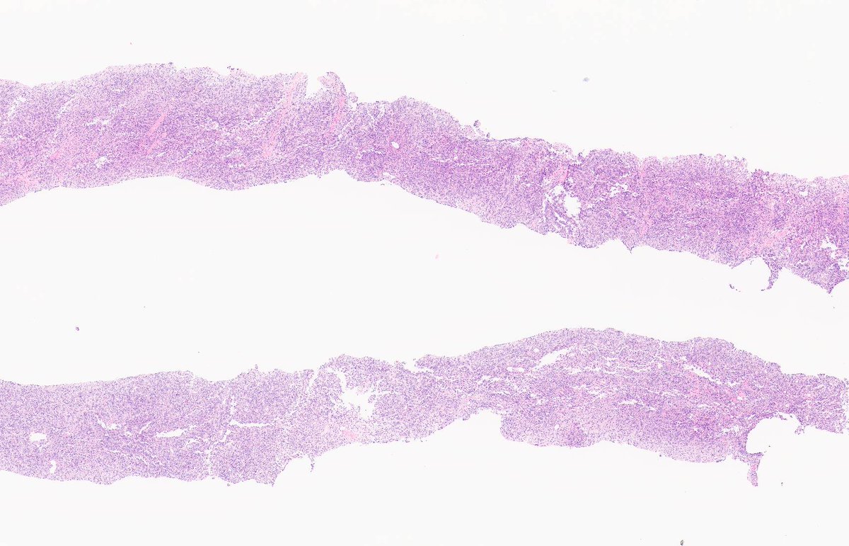
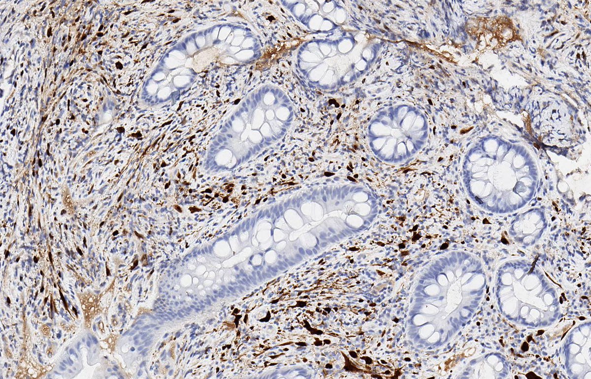
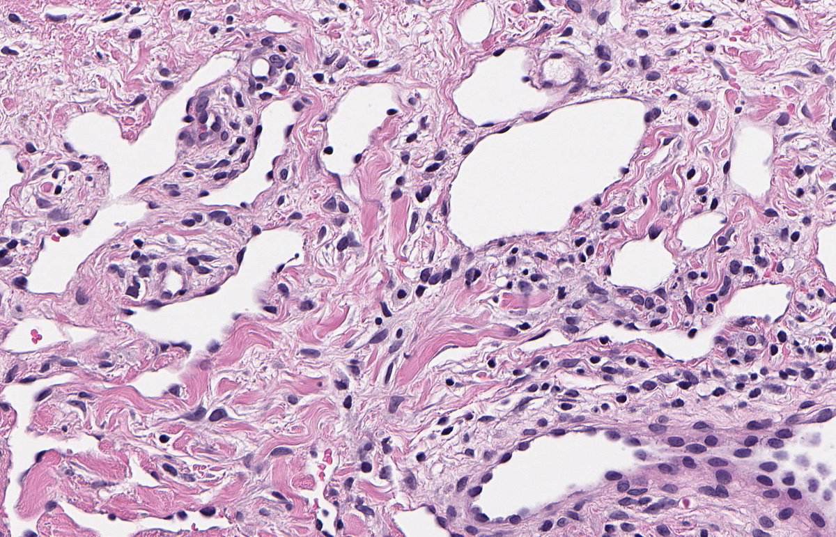
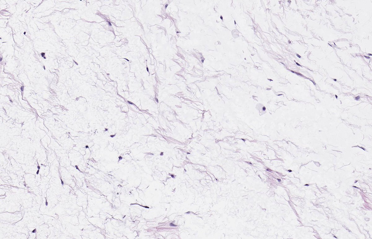
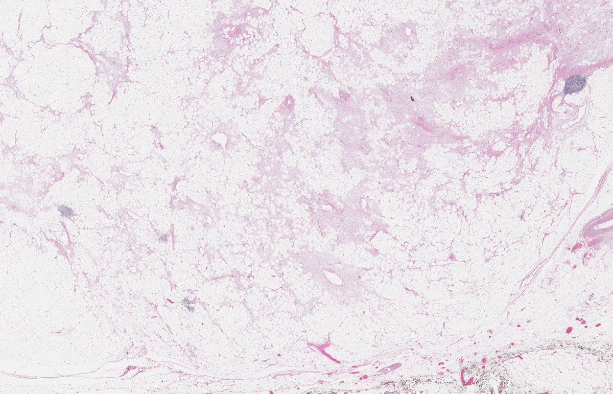
PERINEPHRIC MYXOID PSEUDOTUMOUR OF FAT. NB: sheets of mature adipocytes; spindle-stellate cells in myxoid stroma; mild chronic inflammatory infiltrate; MDM2 non-amp; may arise in context of renal cell disease and transplantation (PMID: 19525929, 30826321, 33835530).
0
30
78
KAPOSI SARCOMA: IHC: HHV8. NB: ectatic, irregularly shaped, thin-walled vessels; collagen dissection; so-called 'promontory sign'; attenuated endothelial cells with eosinophilic cytoplasm; hyperchromatic nuclei showing mild atypia and inconspicuous mitotic activity.
2
28
69
MAZABRAUD SYNDROME. NB: sporadic disorder characterized by fibrous dysplasia and intramuscular myxoma; this syndrome likely falls under the broader rubric of McCune-Albright syndrome (PMID: 11241472, 19244080).
2
29
90
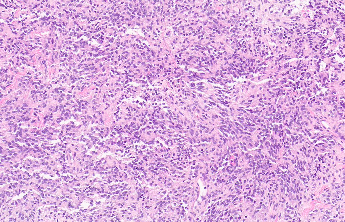
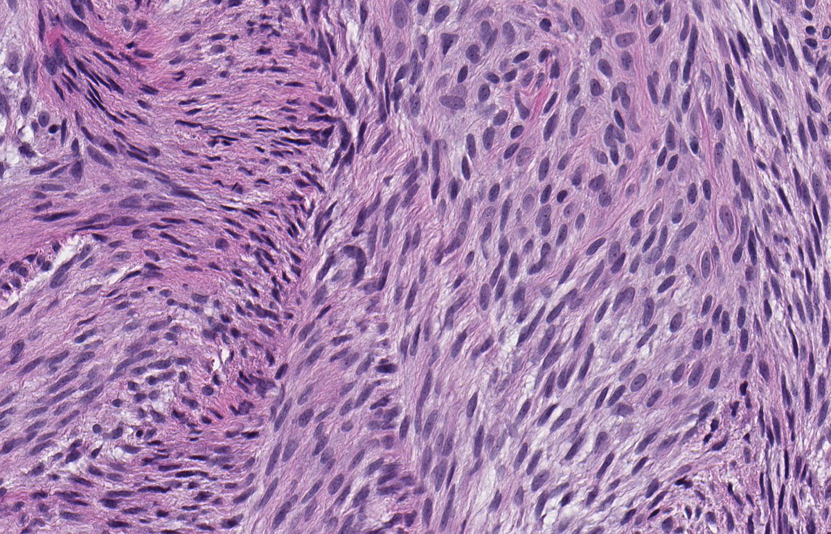
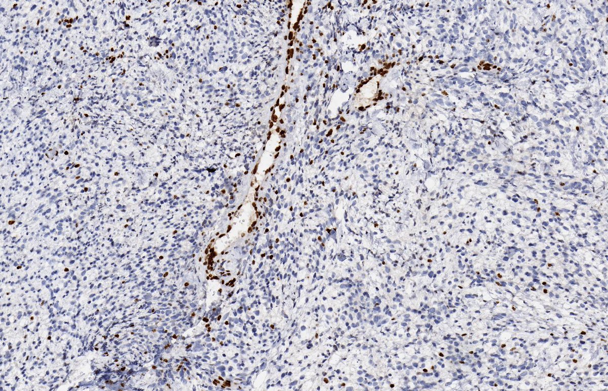
MALIGNANT PERIPHERAL NERVE SHEATH TUMOUR. Underlying NF1. IHC: SOX10, H3k27me3. NB: spindle-epithelioid cells with pale amphophilic cytoplasm; ovoid-round nuclei with moderate pleomorphism and conspicuous mitotic activity; variable collagenous-myxoid stroma.
1
21
60
A new preprint from @karimmekhail lab has dropped!😀This manuscript reports the discovery of dsbNETs (DNA double-strand break-capturing nuclear envelope tubules) and their impact on human DNA repair, chromosome stability, and cancer🧵1/9: https://t.co/ynObGIKspR
5
28
91
Looking forward to the second @ctosociety #webinar co-chaired by #sarcoma experts @DCalleMD and @Thalcin! Join us on April 26 for educational content and lively discussions on the diagnosis & management of Alveolar Soft Part Sarcoma (#ASPS). Register here: https://t.co/QvzeWmSWg6
2
15
40
late to the game...has anybody chatted with AI about its apparent penchant for confabulating (these references and PMIDs do not correspond to 'real' articles)?
6
1
9
EPITHELIOID SARCOMA, PROXIMAL-TYPE. IHC: keratin (AE1/AE3) and SMARCB1/INI-1. NB: multinodular; sheets of epithelioid cells with amphophilic cytoplasm; ovoid nuclei with prominent nucleoli; necrosis.
1
31
68
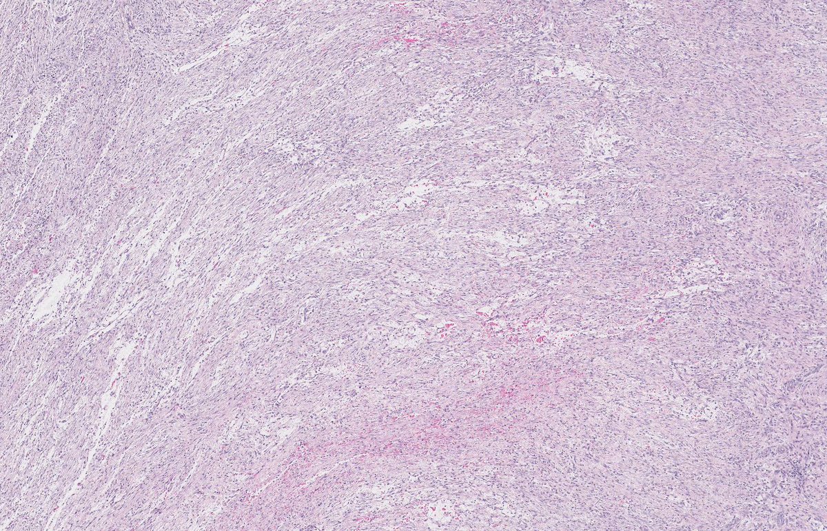
FIBROSARCOMATOUS DERMATOFIBROSARCOMA PROTUBERANS. IHC: CD34. NGS: COL1A1::PDGFB. NB: remote history of DFSP; variable cellularity; spindle-stellate cells with fascicular-storiform pattern; ovoid nuclei with mild atypia and conspicuous mitotic activity; myxoid-collagenous stroma.
2
16
45
NODULAR FASCIITIS: NGS: MYH9::USP6. NB: Spindle cells with a vague fascicular pattern; eosinophilic cytoplasm; bland ovoid nuclei with occasional mitotic activity; myxoid-collagenous stroma with a mild chronic inflammation and extravasation of erythrocytes. PMID: 27686647
0
16
68
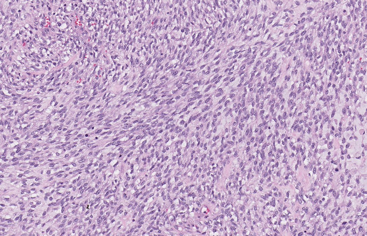
SYNOVIAL SARCOMA. NGS: SS18::SSX2. NB: sheets of spindle cells; amphophilic cytoplasm; relatively monomorphic nuclei with prominent palisading and conspicuous mitotic activity. (PMID: 10375108)
1
37
95
DEDIFFERENTIATED LIPOSARCOMA. IHC: CDK4. FISH: MDM2 amplified. NB: vague fascicles of spindle-polygonal cells with abundant amphophilic cytoplasm; hyperchromatic ovoid nuclei with pleomorphism and frequent multinucleation. (PMID: 24558126)
0
34
90
EWSR1::SMAD3-POSITIVE FIBROBLASTIC TUMOUR. IHC: ERG. NB: superficial and typically acral; spindle cell fascicles; bland ovoid nuclei and inconspicuous mitotic activity; myxoid-collagenous stroma; zonation with central hyalinization and calcification (PMID: 29309308, 29957732).
0
28
61
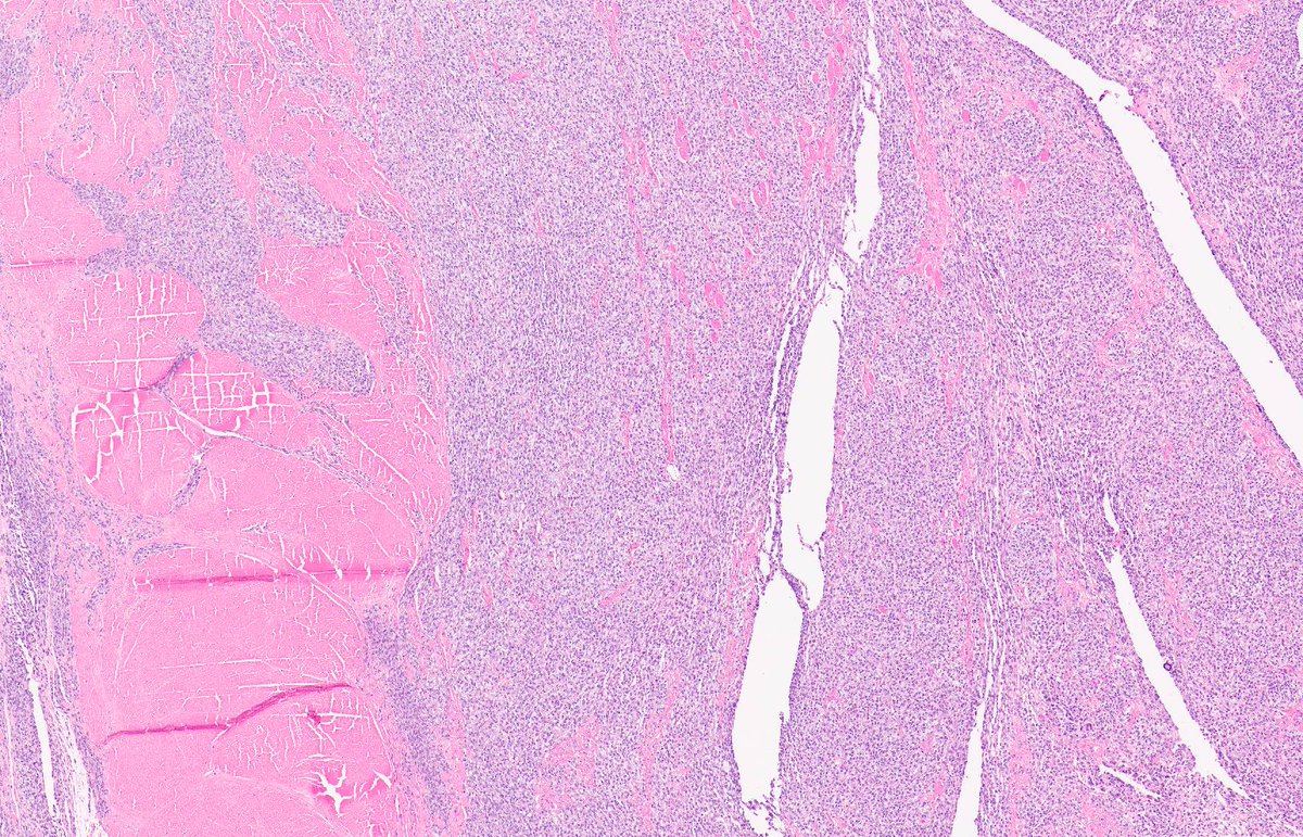
INTRANODAL PALISADED MYOFIBROBLASTOMA. IHC: SMA. NB: circumscribed with peripheral lymphocytic cuff; fascicles of spindle cells; bland nuclei with vague palisading; interstitial haemorrhage / haemosiderin; 'collagenous bodies' with variable mineralization.
1
39
123
Interested in new and emerging topics in bone and soft tissue? Learn all about them from these amazing speakers: https://t.co/5qFhAHljQC
0
3
7
CLEAR CELL SARCOMA. IHC: HMB45. NGS: EWSR1::ATF1. NB: fascicles of spindle-epithelioid cells; amphophilic-clear cytoplasm; monomorphic ovoid nuclei with prominent nucleoli; 'wreath-like' multinucleated giant cells.
1
28
99
DESMOPLASTIC SMALL ROUND CELL TUMOUR. IHC: desmin. NGS: EWSR1::WT1. NB: sheets of polygonal-spindle cells; eosinophilic cytoplasm; monomorphic round-ovoid nuclei; occasional thin collagen bands; ~ one third of cases lack 'conventional' histological features (PMID: 9808123).
0
32
60
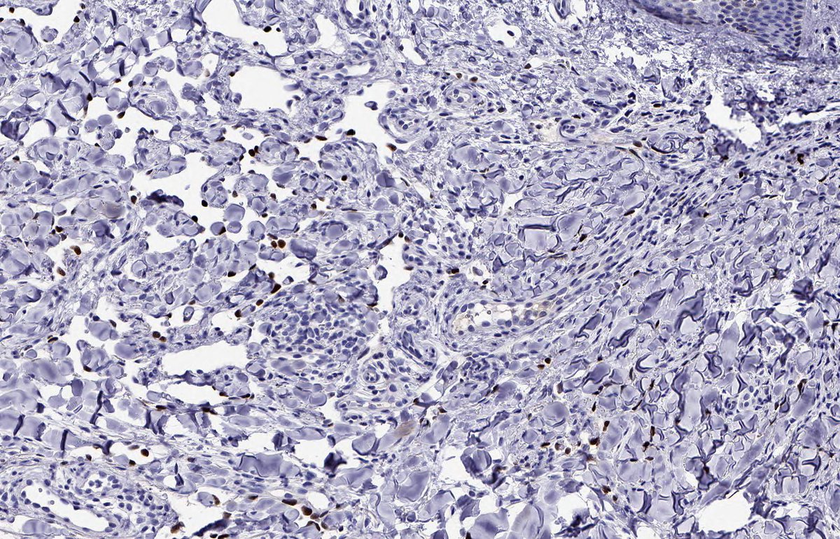
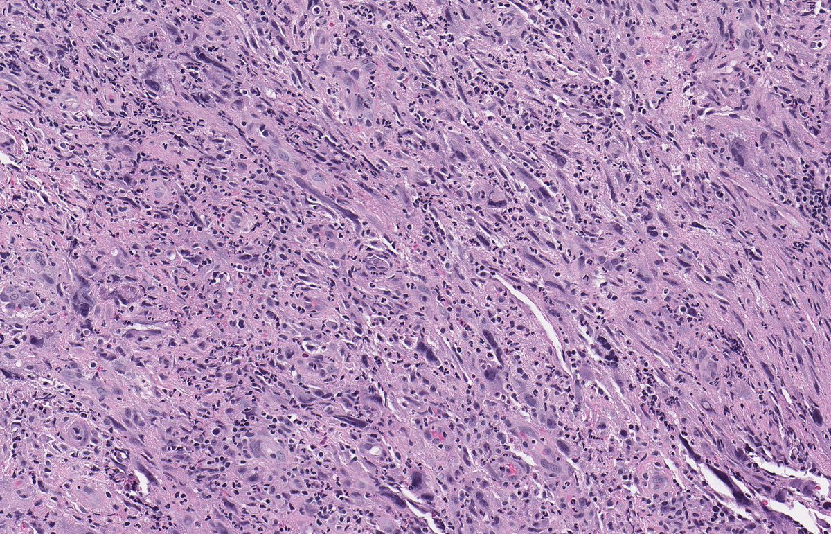
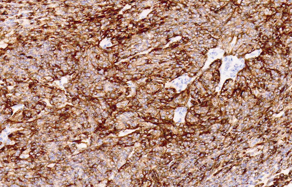
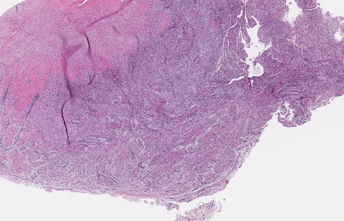
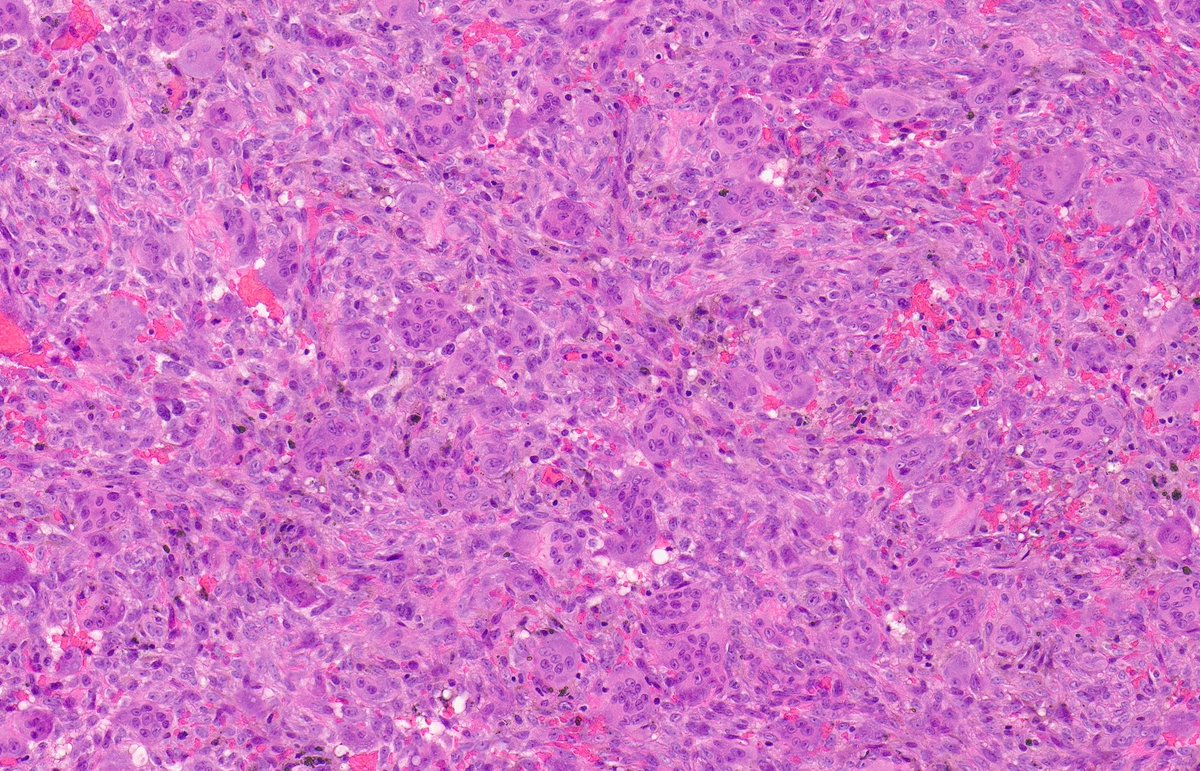
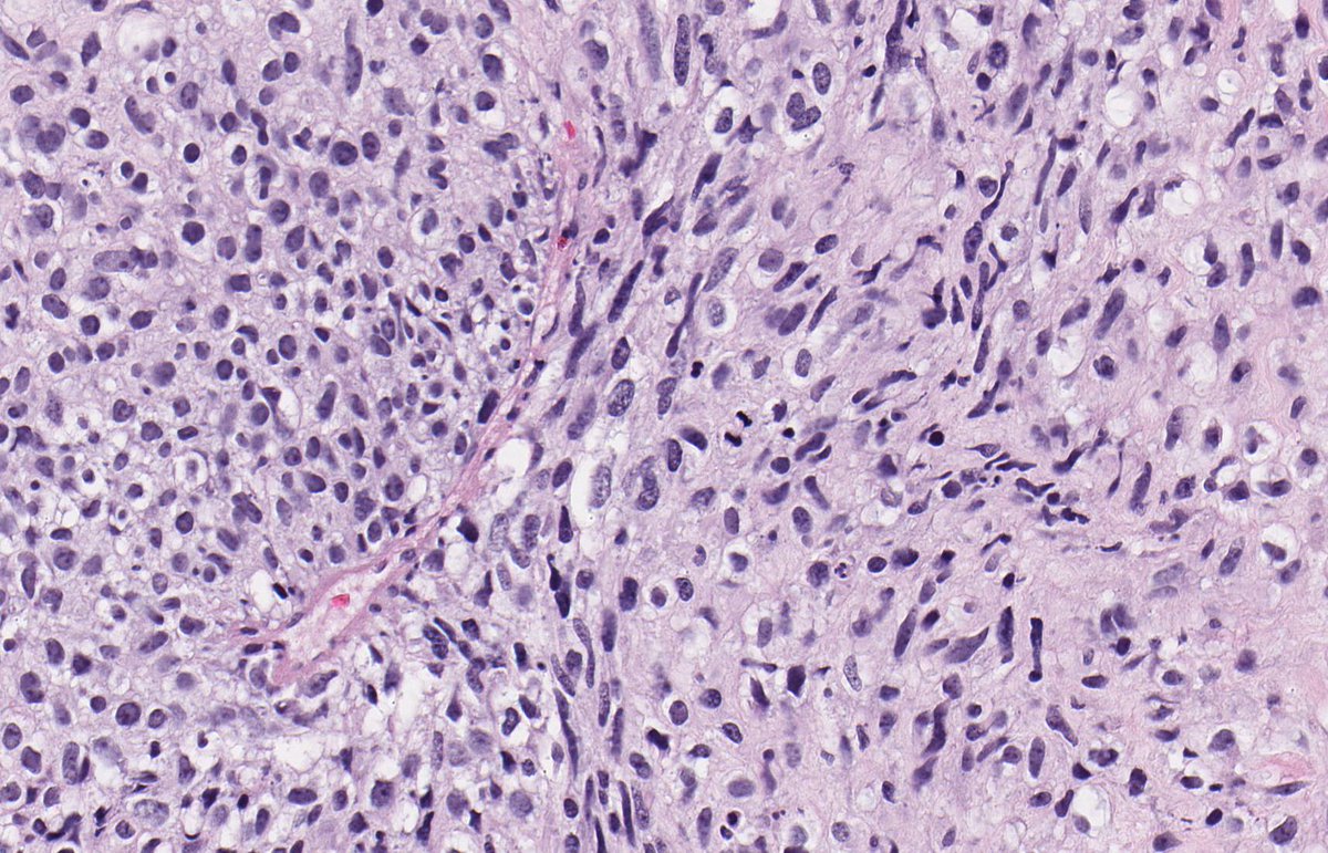
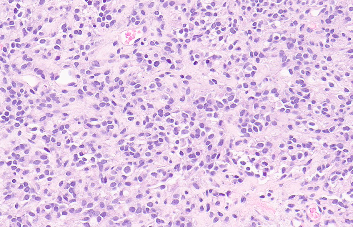
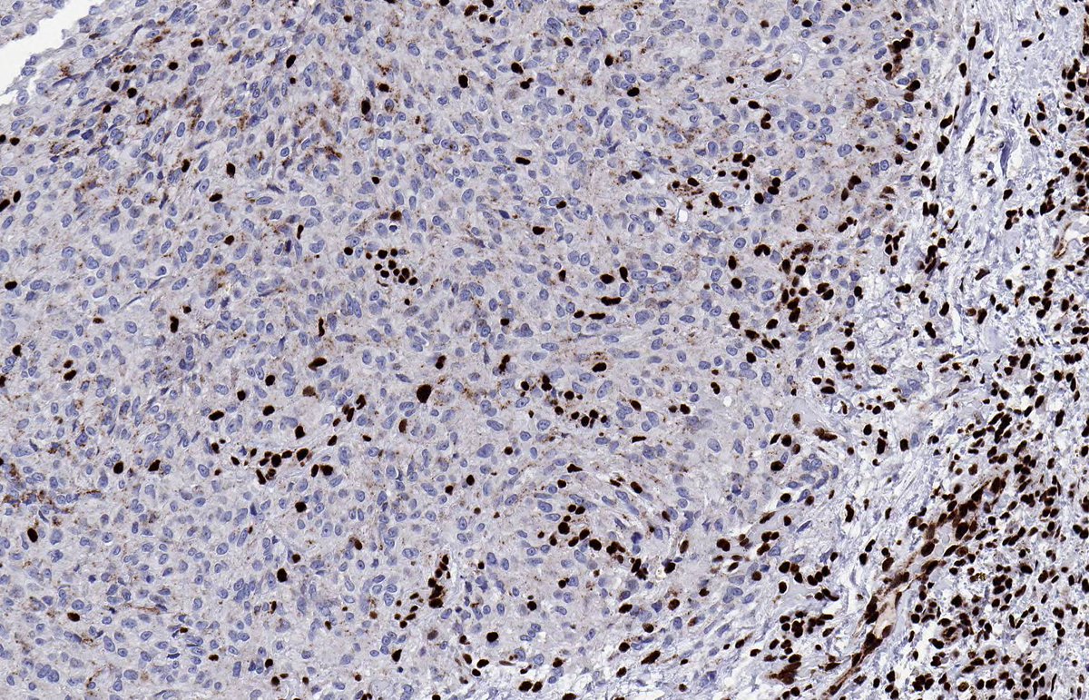
MALIGNANT GIANT CELL TUMOUR OF BONE. NB: conventional giant cell tumour; metastasis with sheets of spindle-epithelioid cells and occasional seams of osteoid; ovoid nuclei with macronucleoli; brisk mitotic activity, including atypical figures; IHC: H3.3 G34W (PMID: 28505000).
2
43
127
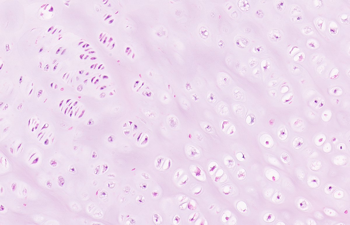
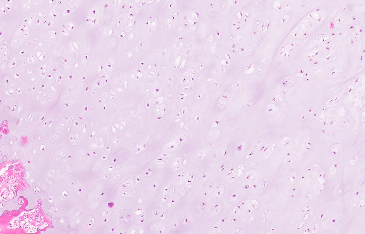
OSTEOCHONDROMA: NB: diagnostic imaging confirms continuity with underlying marrow; pedunculated mass covered by perichondrium; thin cartilaginous cap; clusters of bland chondrocytes with occasional binucleation.
2
28
91