
American Society of Dermatopathology
@ASDPTweets
Followers
6K
Following
1K
Media
651
Statuses
3K
American Society of Dermatopathology. #dermpath #dermpathJC #dermatology #pathology
Chicago, IL
Joined May 2013
Expand Your Knowledge in Dermatopathology and Build Your Professional Network! Apply for a 2026-2027 ASDP Mentorship Award. Applications are now being accepted. Submission Deadline: Monday, November 17, 2025 Learn more at
0
0
1
Last day for discounted room rate is today, Monday, October 13! Be a part of #ASDP25! For more information on registration and to book your room, visit: https://t.co/an1hp3rWVj
0
0
0
Deadline for the Discounted Room Rate Has Been Extended to 11:59 p.m. ET, Monday, October 13! Due to a glitch with the hotel's reservation system, our discounted group rate of $239 per night has been extended to Monday, October 13. Make your hotel reservation here:
0
0
0
Last day for discounted room rate is Monday, October 6 - Reserve your hotel room today! Be a part of #ASDP25! For more information on registration and to book your room, visit: https://t.co/negyckBYdi
0
0
1
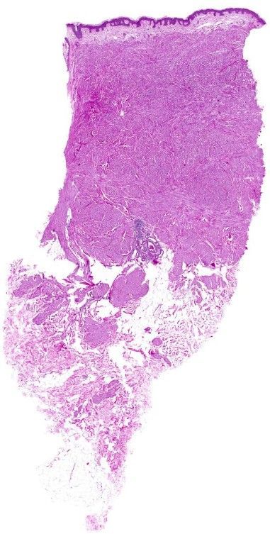
Make the Dx: ASDP October Case Study 85-year-old man with purpuric macules and papules at the abdomen, hips, and bilateral lower legs...… Learn more at https://t.co/YthCmQkzXD
#asdpcasestudy; #dermatopathology; #dermpath
0
4
20
Make the Dx: ASDP September Case Study Long-lasting painful maculopapular lesions on the back of an 81-year-old otherwise healthy woman ...… Learn more at https://t.co/tX7IPk0IxY
#asdpcasestudy; #dermatopathology; #dermpath
0
2
12
Join us on Tuesday, August 26 at 12:00 p.m. Central for the Young Physicians' Committee’s inaugural webinar, “Unscripted Dermpath: What No One Tells You.” Learn more and register at https://t.co/lPc0sAMs7D
#DermpathSurvivalGuide #DermpathUnfiltered
0
0
1
What's the August Treasure from the Vault Dx? View this month's case at https://t.co/acomPpUdNu
#ASDPVSL; #ASDPTreasuresfromtheVault; #dermatopathology
0
1
8
ASDP's 62nd Annual Meeting Abstract Submission Deadline is Approaching - Don't Miss Your Opportunity to be Part of #ASDP25. Abstract submissions are being accepted until Friday, August 15 by 1 p.m. Eastern. Learn more and submit an abstract today!
0
0
2
Think they’ve got it all figured out? Find out at the YPC’s inaugural webinar, “Unscripted Dermpath: What No One Tells You,” for the real tea ☕. Learn more and register at https://t.co/mOGzs4dSAu Aug. 26, 2025 at 12:00 p.m. Central #DermpathSurvivalGuide #DermpathUnfiltered
0
0
1
Make the Dx: ASDP August Case Study A 64-year-old man with a history of intravenous-drug use presented with expanding... Learn more at https://t.co/WJqR2u04qE
#asdpcasestudy; #dermatopathology; #dermpath
0
0
2
In case you missed it... the 2025 Board elections close today! You must be a Fellow, Associate, Dermatopathology Fellowship Trainee or International member to vote. Didn't get a login email? Contact us at info@asdp.org.
0
0
0
What's the July Treasure from the Vault Dx? View this month's case at https://t.co/acomPpUdNu
#ASDPVSL; #ASDPTreasuresfromtheVault; #dermatopathology
0
1
7
ASDP's 62nd Annual Meeting 'Call for Abstracts' is NOW OPEN! Submit an abstract in one of our three categories: General, Duel in Dermatopathology, or Dermatopathology Fellows. Be part of #ASDP25. Submit an abstract today! For more details visit https://t.co/e72JahBB0c
0
1
2
Make the Dx: ASDP July Case Study 86-year-old male with a painful growing plaque on the scalp ... Learn more at https://t.co/zqmJb2PpAv
#asdpcasestudy; #dermatopathology; #dermpath
0
5
20
Calling All Voting Members! Be sure to cast your vote in the Board of Directors elections! You must be a Fellow, Associate, Dermatopathology Fellowship Trainee or International member to vote. Didn't get a login email? Contact us at info@asdp.org.
0
0
1
What's the June Treasure from the Vault Dx? View this month's case at https://t.co/acomPpUdNu
#ASDPVSL; #ASDPTreasuresfromtheVault; #dermatopathology
0
1
8
Make the Dx: ASDP June Case Study A 36-year-old man presents for evaluation of a draining punctum... Learn more at https://t.co/8ZXvg09Es2
#asdpcasestudy; #dermatopathology; #dermpath
0
3
12
Don't miss the 4th Annual Dermatopathology Fellowship Forum Webinar this evening! Today, Thursday, May 15, 7pm CT. Get details:
0
0
1
Make the Dx: ASDP May Case Study 54-year-old Man with a Painful Nodule on the Left Zygomatic Arch.... Learn more at https://t.co/ZrW0S0Fwki
#asdpcasestudy; #dermatopathology; #dermpath
0
1
3