Vedanta Mehta Profile
Vedanta Mehta

@vedanta_mehta

Followers
33
Following
69
Media
1
Statuses
20

Oxford, England
Joined August 2016
Don't wanna be here? Send us removal request.
@NatureCVR
Nature Cardiovascular Research
2 years
REVIEW|Aitken et al. discuss the current understanding of how #endothelial cells sense #BloodFlow focusing on #mechanosensing and #mechanotransduction molecules and mechanisms. @EllieTzima @vedanta_mehta, @RDMOxford, @TheBHF| https://t.co/Of9Y6kyMsv šŸ‘‰ https://t.co/qHANMgPgTw
0
25
83
@EllieTzima
Tzima Lab
2 years
Joining forces with the incomparable #MartinSchwartz >20 years later to discuss #endothelial #mechanosensors across the pond. With the amazing Claire Aitken and @vedanta_mehta @HumanGeneticsOx @RDMOxford @NatureCVR @TheBHF @wellcometrust https://t.co/YDJlcAcBCc
1
11
32
@JCellBiol
Journal of Cell Biology
4 years
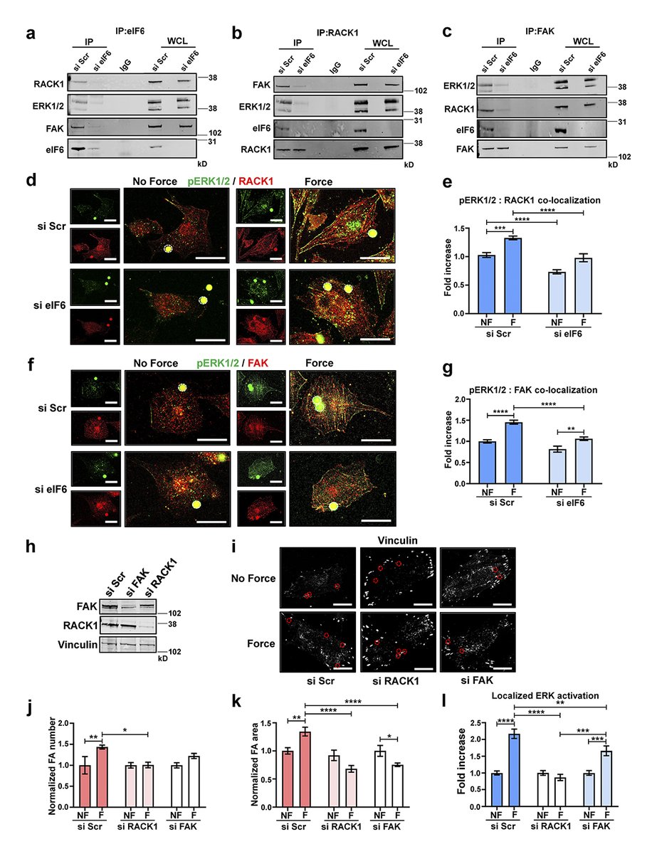
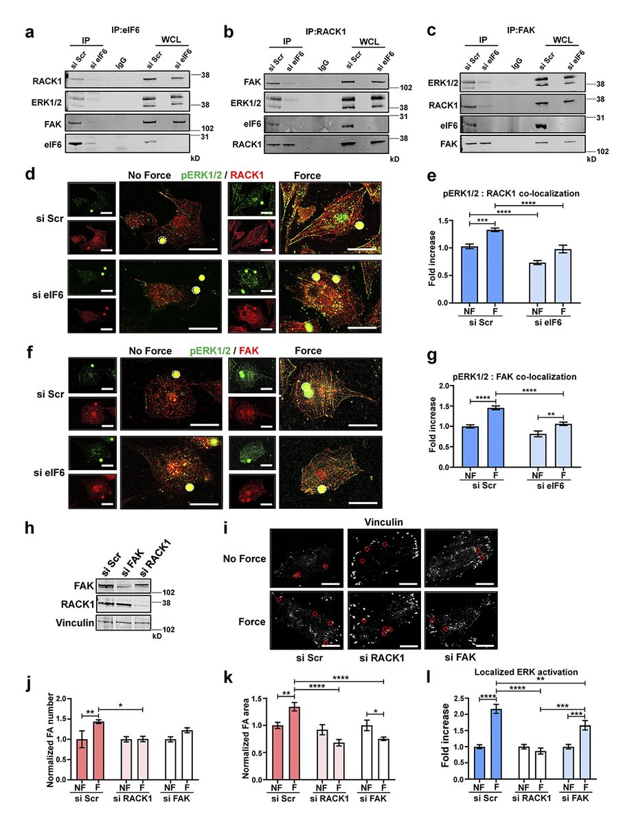
Image shows decoupling of eukaryotic initiation factor 6 cellular functions. @ad_keen, @vedanta_mehta @karlai_pang John S. Reader, @EllieTzima and colleagues @HumanGeneticsOx show that eIF6 regulates mechanical responses in endothelial cells. https://t.co/pne5jxpfrZ #Cytoskeleton
0
3
11
@RockUPress
Rockefeller U. Press
4 years
In @JCellBiol, @ad_keen, @vedanta_mehta @karlai_pang, Reader, @EllieTzima et al. @HumanGeneticsOx discover a new role for eIF6, a protein classically known for its role in protein synthesis, in #mechanotransduction, and the cellular response to force. https://t.co/nxDXVDPCSw
0
2
2
@JCellBiol
Journal of Cell Biology
4 years
.@ad_keen, @vedanta_mehta @karlai_pang, Reader, @EllieTzima et al. @HumanGeneticsOx discover a new role for eIF6, a protein classically known for its role in protein synthesis, in #mechanotransduction, and the cellular response to force. https://t.co/pne5jxpfrZ #Cytoskeleton
0
5
17
@EllieTzima
Tzima Lab
4 years
Thank you to our collaborators @adriohernandez and funders @BBSRC @TheBHF @wellcometrust and of course to our wonderful team Adam Keen, @vedanta_mehta, Luke Payne, @karlai_pang , Lisa Simpson and the reviewers and editors @JCellBiol. @RDMOxford @UniofOxford
1
1
6
@EllieTzima
Tzima Lab
4 years
Mechanical forces regulate endothelial-to-mesenchymal transition and atherosclerosis via an Alk5-Shc mechanotransduction pathway
2
11
50
@ScienceTM
Science Translational Medicine
5 years
A #GeneTherapy can counteract infantile parkinsonism and other hallmarks of the rare neurodegenerative disease dopamine transporter deficiency syndrome, according to new work in mice and patient-derived cells from @DrJo_Ng, @SimonWad, and co at @UCL_IfWH. https://t.co/Nqy8ZXmbr2
1
11
24
@vedanta_mehta
Vedanta Mehta
7 years
Thank you Caro for all your support :-)
@cpelletmany
Caroline Pellet-Many
7 years
Please support my wonderful colleague Vedanta by voting for his aortic ring picture that made the August cover of #atvb journal last year @uclmedsci @UCL_AMS @UCL_cardiovasc @lvbforum
0
0
1
@vedanta_mehta
Vedanta Mehta
7 years
ā€œRings of Fireā€ - Stimulating the intricate network of blood vessels to grow in a dish. Extremely delighted to see that our recent work has featured on the cover page of the American Heart Association’s monthly magazine Arteriosclerosis, Thrombosis & Vascular Biology! #UCL #BHF
0
0
7
@vedanta_mehta
Vedanta Mehta
8 years
Improve your customer service and efficiency #Vodafone !!! Absolutely terrible service
0
0
0