ad_keen Profile Banner
Adam Keen Profile
Adam Keen

@ad_keen

Followers
109
Following
1K
Media
7
Statuses
171

Oxford, England
Joined September 2011
Don't wanna be here? Send us removal request.
@EllieTzima
Tzima Lab
3 years
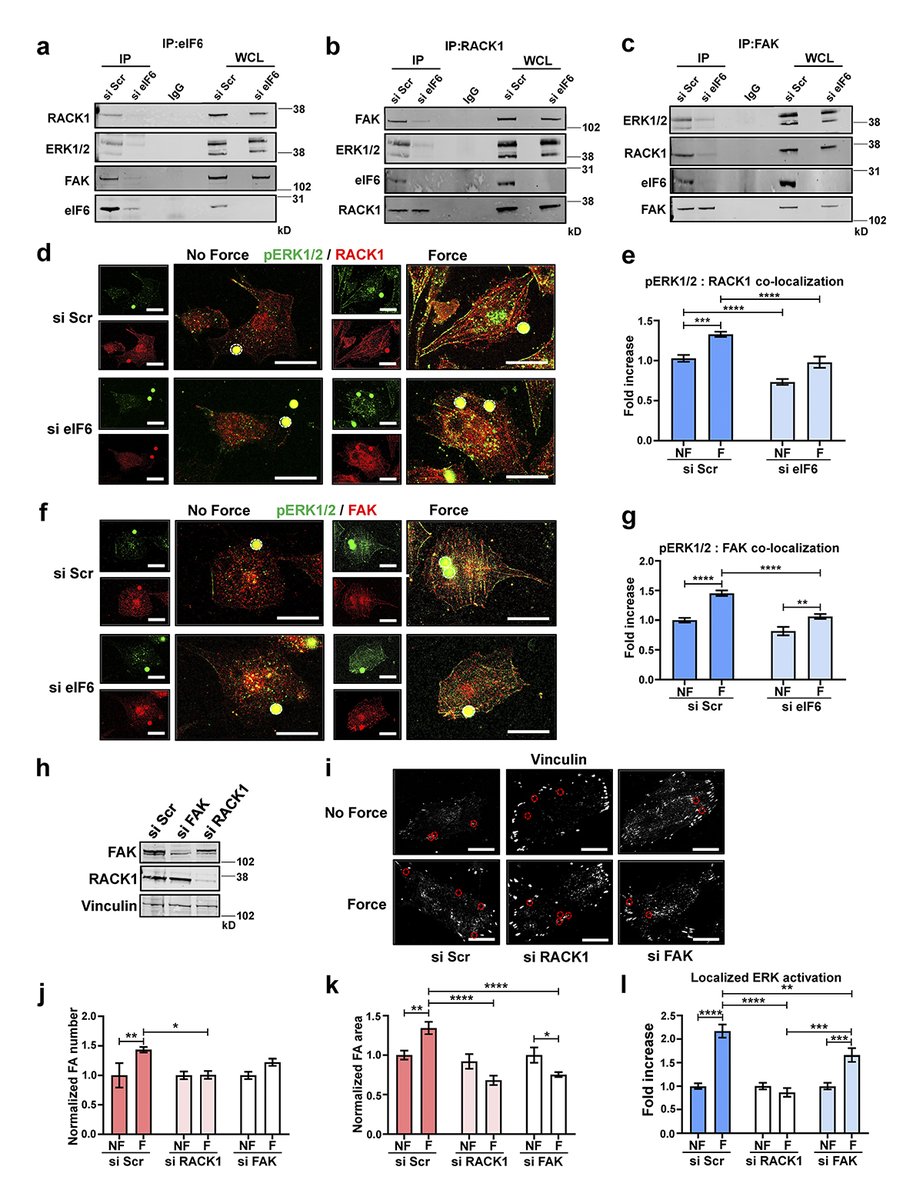
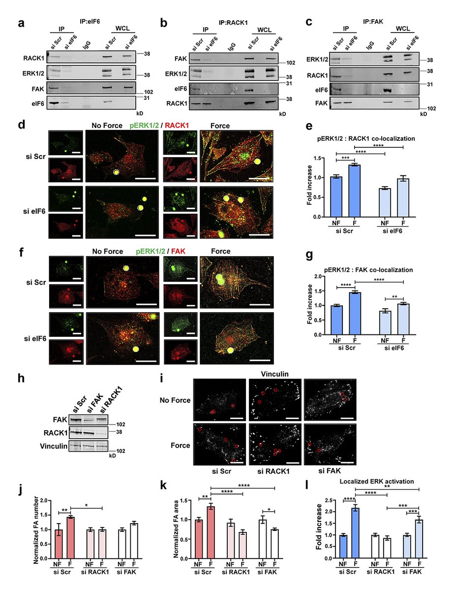
Thanks @JCellBiol for including our paper in this series on #mechanotransduction
@JCellBiol
Journal of Cell Biology
3 years
.@ad_keen, @EllieTzima et al. reveal a noncanonical role for eIF6 in the regulation of focal adhesion formation and #mechanotransduction: https://t.co/pne5jxpfrZ From our collection #Mechanobiology 2022: https://t.co/WMxuazqjA0
0
2
17
@EllieTzima
Tzima Lab
4 years
@@ad_keen representing our lab today, well done Adam!
@AnneStraube
Anne Straube (annestraube.bsky.social)
4 years
Cytoskeleton and mechanics session at #BSCBDB22 with @SeptinLab talking about how different septins direct cargo transport on MT subsets, flash talks from @EllieTzima lab and @zech_lab on new proteins regulating focal adhesions and Charlotte Aumeier on phase separated +TIPs.
0
1
5
@JCellBiol
Journal of Cell Biology
4 years
Image shows decoupling of eukaryotic initiation factor 6 cellular functions. @ad_keen, @vedanta_mehta @karlai_pang John S. Reader, @EllieTzima and colleagues @HumanGeneticsOx show that eIF6 regulates mechanical responses in endothelial cells. https://t.co/pne5jxpfrZ #Cytoskeleton
0
3
11
@JCellBiol
Journal of Cell Biology
4 years
Factoring in the force: A novel role for eIF6. Darren Wilson and Thomas Iskratsch @iskratsch highlight work ( https://t.co/pne5jxpfrZ) from @ad_keen, John Reader, @EllieTzima and colleagues. https://t.co/Tg6e3k19Nh #Biochemistry #Cytoskeleton #Adhesion #Biophysics
0
3
9
@EllieTzima
Tzima Lab
4 years
@RDMOxford
RDM Oxford
4 years
Hot off the press from the @EllieTzima lab: bridging the ribosome and cytoskeleton in cells
0
1
2
@JCellBiol
Journal of Cell Biology
4 years
Eukaryotic initiation factor 6 regulates mechanical responses in endothelial cells, say @ad_keen, John S. Reader, @EllieTzima and colleagues @HumanGeneticsOx: https://t.co/pne5jxpfrZ @vedanta_mehta @karlai_pang #Cytoskeleton #mechanotransduction #translation
0
3
5
@endothelialnews
Endothelial Cell News
4 years
Led by Dr. Adam Keen (@ad_keen), researchers in the @EllieTzima Lab at @HumanGeneticsOx reveal 🔎 an extratranslational function for #eIF6 and a novel paradigm for how mechanotransduction and protein translation constituents are linked. @JCellBiol | 📑 https://t.co/qdZyzj1XuJ
0
1
5
@RockUPress
Rockefeller U. Press
4 years
In @JCellBiol, @ad_keen, @vedanta_mehta @karlai_pang, Reader, @EllieTzima et al. @HumanGeneticsOx discover a new role for eIF6, a protein classically known for its role in protein synthesis, in #mechanotransduction, and the cellular response to force. https://t.co/nxDXVDPCSw
0
2
2
@JCellBiol
Journal of Cell Biology
4 years
.@ad_keen, @vedanta_mehta @karlai_pang, Reader, @EllieTzima et al. @HumanGeneticsOx discover a new role for eIF6, a protein classically known for its role in protein synthesis, in #mechanotransduction, and the cellular response to force. https://t.co/pne5jxpfrZ #Cytoskeleton
0
5
17
@ad_keen
Adam Keen
9 years
Good on you @GaryLineker. And 'irritable dunce' perfectly sums up Ian Duncan Smith #irritabledunce #StopFundingHate
@guardian
The Guardian
9 years
Gary Lineker hits back at Daily Mail over tax accusation
0
0
0
@ChelseaFC
Chelsea FC
9 years
The dedication. The goals. The memories. #SuperFrank
200
13K
16K
@ad_keen
Adam Keen
9 years
Keep dangerous people out of the uk @POTUS @realDonaldTrump
0
0
0
@ad_keen
Adam Keen
9 years
Pound falls on May's Brexit comments-who can still think pursuing a #hardbrexit is a good idea? #TheresaMay #noclue
Tweet card summary image
bbc.co.uk
The pound hits a two-month low after Theresa May signals the UK will pursue a so-called "hard Brexit".
0
0
0
@mbondphoto
Michael Bond
10 years
Belting out the songs @BSRevolver playing @O2RitzManc 29.01.16 @LeonJamesKenny
3
6
21
@ad_keen
Adam Keen
10 years
@LifeInTheSkin thanks you!
0
0
0
@TMDSheard
Tom Sheard
10 years
Class gig by @BSRevolver last night at new venue @TheLiveRoomMCR
0
6
5