patholojenMD Profile Banner
Ngoc-Nhu Jennifer Nguyen Profile
Ngoc-Nhu Jennifer Nguyen

@patholojenMD

Followers
223
Following
352
Media
26
Statuses
149

PGY5 Diagnostic and Molecular Pathology Chief Resident @UofT | MD @UMontreal | PARO General Council | RDoC CBD Advisory Board | CAP Residents Forum Delegate

Toronto, Ontario
Joined July 2021
Don't wanna be here? Send us removal request.
@MichelleDunno17
Michelle_Hirsch (Donovan)
7 days
💥Diagnostic Pitfall Alert 💥 ➡️Diffuse CA9 expression in ~20% of FH-deficient RCCs ➡️Pitfall likely greater in metastatic lesions vs primary renal tumor #gupath #GUpathrocks 🔬 Baniak N et al, Histopathol 2020 - PMID: 32639054 Pacheo RR et al, IJSP 2024 - PMID: 37050851
0
30
58
@patholojenMD
Ngoc-Nhu Jennifer Nguyen
7 days
Tweet card summary image
jcp.bmj.com
0
0
2
@patholojenMD
Ngoc-Nhu Jennifer Nguyen
7 days
Excited to see that our paper was selected as the Editor’s Choice for the current issue in the Journal of Clinical Pathology!
3
4
17
@MichelleDunno17
Michelle_Hirsch (Donovan)
25 days
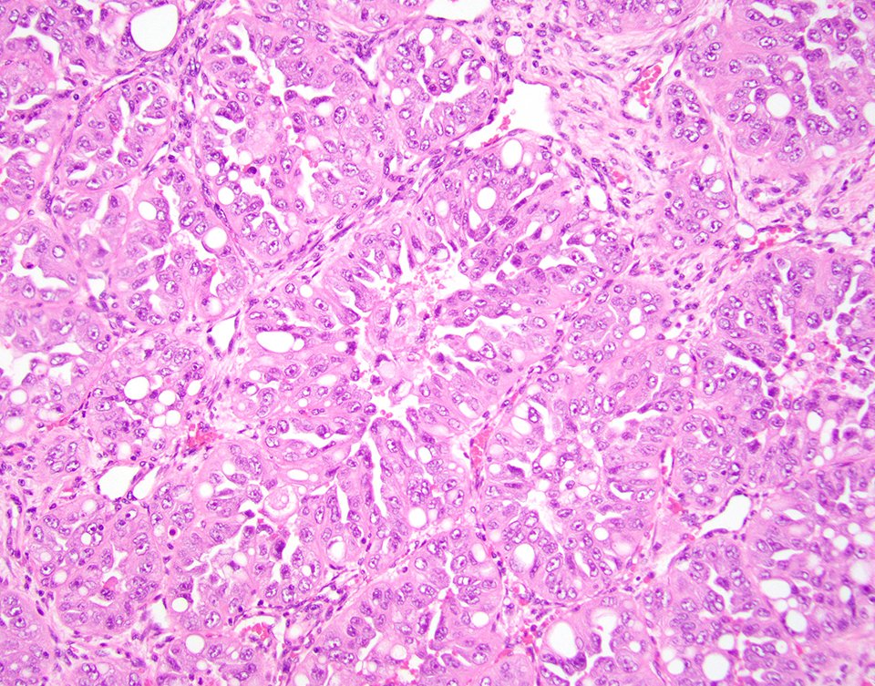
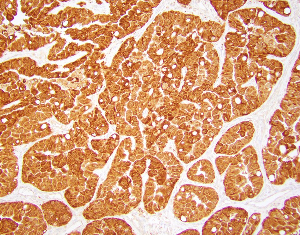
Eosinophilic Vacuolated Tumor (EVT) - generally considered benign/indolent & associated with MTOR pathway mutations. However, rarely it can be seen w/metastatic dz, as seen here (LVI+, LN+). 🔬@GU_Path_Society @IntSocUropath @AdanmaAnjiMD @Kiril_T_Can https://t.co/kVO6K2Bccu
2
37
95
@patholojenMD
Ngoc-Nhu Jennifer Nguyen
26 days
I couldn't attend last year's USCAP due to my 🇨🇦 board exam happening on the same week, but I'm thrilled to be going to USCAP 2026, in San Antonio! Honoured to have 3 accepted abstracts with Dr. Michelle Downes and 2 with Dr. Ankur Sangoi @slusagar! #GUpath @UofT @StanfordPath
2
0
12
@LiangChengMD
Liang Cheng, MD
1 month
Do you know how to FISH? I am delighted to share our 20+ years of experience with FISH, just published in @Human_Pathology (PMID: 40782985) -  Everything You Need to Know About FISH! This comprehensive review covers the full spectrum of fluorescence in situ hybridization (FISH)
6
69
242
@patholojenMD
Ngoc-Nhu Jennifer Nguyen
1 month
Proud to share our recent publication in AJCP: https://t.co/Npl0HxtIvY #GUpath #molecular #bladdercancer
0
3
13
@patholojenMD
Ngoc-Nhu Jennifer Nguyen
3 months
Heading to #ESPCongress in Vienna? 🇦🇹Come say hi at my posters (9 & 10) during the #GUpath poster session on Tuesday, September 9, 2025 at 9:30-10:30 am. Looking forward to presenting our work and chatting! #ECP2025
4
4
18
@IntSocUropath
International Society of Urological Pathology
3 months
2025 ISUP Vienna Multidisciplinary Consensus Conference on Evaluation of Treatment Effects in Prostate and Bladder Cancer #ISUPVienna2025 🇦🇹 📅 11 Sept 2025, immediately following @ESP_Pathology #ECPCongress Register here: https://t.co/aibWcpEjoR
1
10
21
@patholojenMD
Ngoc-Nhu Jennifer Nguyen
3 months
New publication: MRI-Adapted Prostate Cancer Risk Tool Incorporating Cribriform and Intraductal Carcinoma (Modified version of CAPRA) ✅ simple & straightforward ✅ uses readily accessible clinicopathological variables ✅ improved predictions of BCR-free and event-free survival
0
1
9
@slusagar
Ankur Sangoi
4 months
#GUpath orchiectomy for mixed GCT, rep sections shown here stage based on these 2 pics? ⏬poll to follow⏬
1
8
22
@LiangChengMD
Liang Cheng, MD
5 months
Interesting case to share  (Board question): What's your diagnosis for this 3.3 cm renal tumor from a 42-year-old man? Vimentin, SMA, CD34, and CD10 are positive. Electron microscopy reveals electron-dense, rhomboid-shaped crystals in the cytoplasm.
5
13
51
@JLHornick
Jason L. Hornick, M.D., Ph.D.
5 months
Very pleased to share an online piece brought to you by the CAP Personalized Health Care Committee. By Dr. Maria Del Carmen Rodriguez Pena and yours truly. IHC in soft tissue tumor pathology! https://t.co/g15khkZyM3 #PathTwitter #molpath #surgpath #BSTpath @Pathologists
cap.org
Immunohistochemical (IHC) markers can serve as surrogates for molecular genetic events, providing a practical tool for early and accurate diagnosis. These…
4
39
100
@patholojenMD
Ngoc-Nhu Jennifer Nguyen
5 months
Excited to begin my final year of residency in Diagnostic and Molecular Pathology (Anatomical Pathology) at @UofT, and honoured to serve as a Chief Resident from July to December. Grateful for the opportunity, and looking forward to continued learning and collaboration!
2
0
10
@GladellPaner
Gladell Paner, MD
7 months
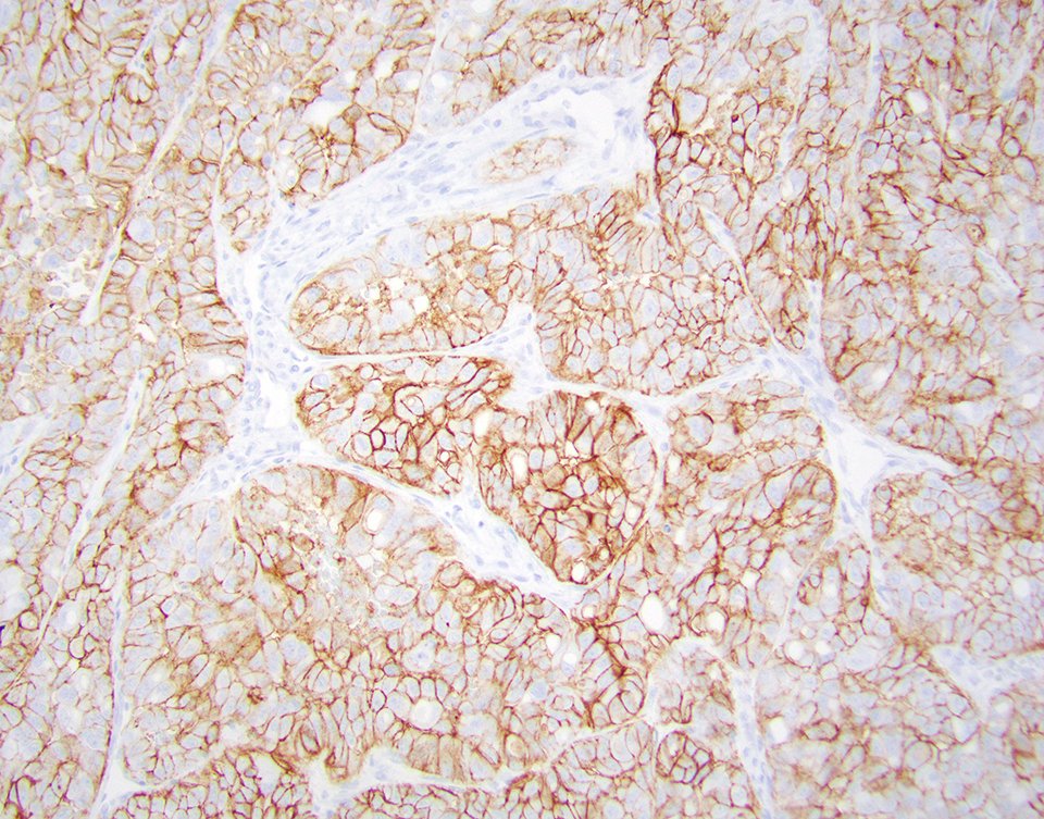
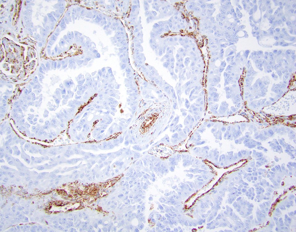
Let’s do IHC for #OnePicDx! 🔍 Based on PIN4 staining, what is your diagnosis on this #prostate neoplasm? a. Acinar adenocarcinoma b. Prostatic intraepithelial neoplasia (PIN) c. Ductal adenocarcinoma d. PIN-like carcinoma Answer in comment 👇👇👇 #GUPath
1
9
38
@rovingatuscap
Samson W. Fine, MD
7 months
Coarse eosinophilic granules (so-called 'Paneth-like') can be seen in all grades of #prostatecancer #gupath Unlike true Paneth cells [GI tract], these cells are neuroendocrine marker (+), do NOT contain lysozyme
1
24
73
@rovingatuscap
Samson W. Fine, MD
7 months
Illustration of von Brunn nests in upper tract...tend to be smaller and either closely aligned or horizontally / linearly aligned to overlying urothelium - can occasionally present a diagnostic dilemma, esp. in small specimens, as highlighted here: https://t.co/xsOtEcnRB9 #gupath
1
26
61
@slusagar
Ankur Sangoi
8 months
adult human presents with hematuria, bladder mass found, TURBT performed #GUpath🤨
14
22
74
@GladellPaner
Gladell Paner, MD
8 months
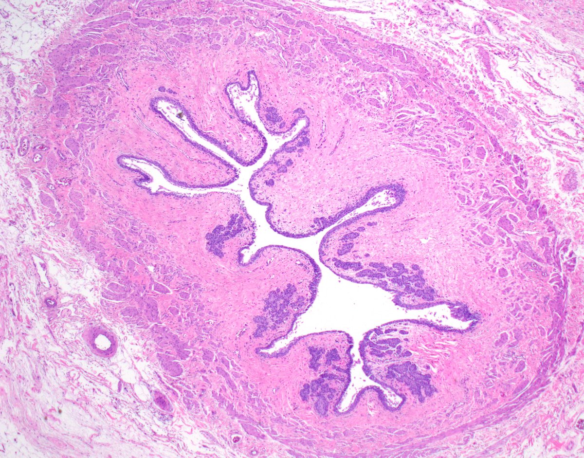
Low power view diagnosis of this renal mass with distinctive morphology? #GUPath #OnePicDx Answer is all in the picture👇
5
25
105