
Vincent LOUVEL
@louvel_vincent
Followers
526
Following
510
Media
26
Statuses
263
PhD Student, Expansion microscopist - Centriole Lab - University of Geneva🇨🇭
Joined May 2020
MOSAIC large field of view 3D single molecule localization microscopy of mitochondrial outer membranes and nuclear membranes in fixed U2OS cells.
8
89
487
I am very happy to announce that I will be giving an online talk on #ExpansionMicroscopy at the #ESRIC specialist school 2025 on the 12th of May ! I will present my latest work on iU-ExM and reaching up to 40/50 fold of expansion 🔬 Link here 👉 https://t.co/qPWaHhKWhv
0
3
22
Nanoscopy with low mag air objectives🤩 Widefield, 20X air objective, 300 nm pixel size, and a few fold of expansion. Non specific labelling.
3
6
53
New ultrastructure expansion microscopy approach reveals details of cilia at nanoscopy resolution Image made with @LeicaMicro 📷: @louvel_vincent et al @CentrioleLab @Biologie_UNIGE in @NatureComms ➡️: https://t.co/MTSRh9JB6i
0
10
54
#ExM has transformed how we perceive the microbial diversity all around us. Some gorgeous critters from the @EMBLHeidelberg pond - DNA red, centrin yellow, tubulin gray, images courtesy @F_Mikus. Bonus points if you can identify at least 4! Want more? https://t.co/KNBAfRFrTr
4
36
141
🔍 Dive into and play in our open database! Explore fascinating findings and play around with your favorite protists. Mine? Pyramimonas diskoicola—what’s yours? 😎😊👽#fluorescencemonday #lightmicroscopy
1
3
6
This high-res, low-cost technique is a game changer for exploring new cytoskeletal structures! 🔬✨ Check out this centrin apical ring in dinoflagellates. Could it be linked to the conoid? 🤔 #Toxoplasma #Apicomplexa
1
3
14
A cell photographed through a microscope. Mitochondria (pink), Golgi apparatus (blue), and actin filaments (orange) are shown. #CellBiology
6
68
426
Nous nous réjouissons que le Parlement ait augmenté de 13,4 millions de francs les moyens du #FNS et @academies_ch pour la période 2025-2028. Le FNS utilisera ces fonds pour renforcer l’attractivité de la place scientifique suisse. #MessageFRI #recherche
0
2
8
EM or fluorescence microscopy with 10X air objective & few fold of expansion ?🙃 (confocal, pixel size: 500 nm) U2OS cell with Pan-Staining
4
6
51
📅Les inscriptions sont ouvertes pour la nouvelle édition de #MT180 jusqu'au 31 octobre! 👩🎓🧑🎓PhD students, venez expliquer votre sujet de recherche en termes simples afin de convaincre le jury et le public @MoCel_Geneva @genevunige @sciences_UNIGE
Les inscriptions au Concours “Ma thèse en 180 secondes” ⏳ sont ouvertes jusqu’au 31 octobre! Vous voulez partager vos travaux scientifiques? Vous former à la communication pour le grand public? Faire partie d’une aventure avec d’autres doctorants et doctorantes? Inscrivez-vous
0
5
8
Here is our latest mini-review on the molecular architecture of ciliary transition zones. @CentrioleLab @MerceyOlivier
0
2
22
New work is out!! How to apply U-ExM on C.elegans embryos to see nice microtubule spindle and nuclear pores individually 🔬🤩
1
3
27
🔬 The EMBO Practical Course 'Ultrastructure expansion microscopy' came to an end yesterday 🌟 Thanks to the participants and organisers of #EMBOExM for their invaluable contributions to the success of this course 🙏 Wishing you all the best in your future endeavors ✨
0
6
31
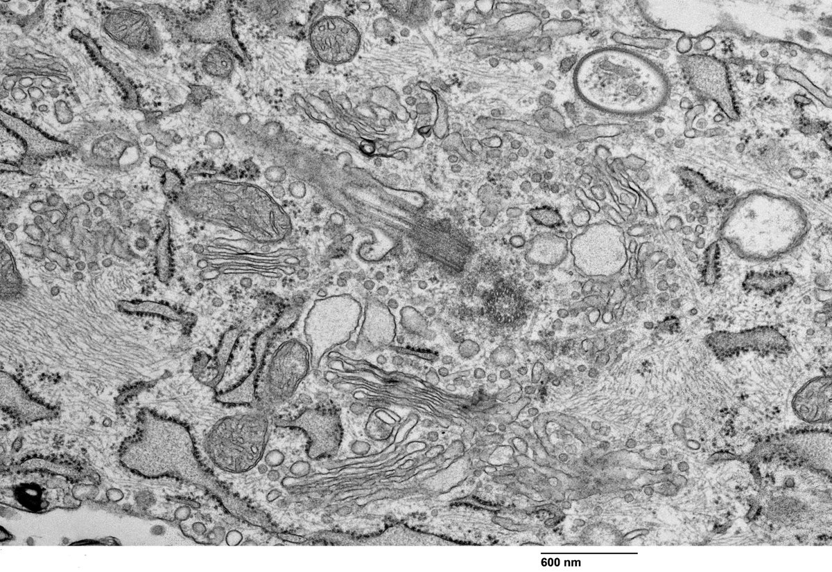
Nice way to end my Friday EM session at @RockefellerUniv! I was not looking for you but you found me, @primarycilia!
4
4
76
1
2
22
Welcome to day 1 of #EMBOExM 🙌🥳 After an ice-breaking activity, the participants soon got busy in the wet-labs preparing and fixating their cryo-samples with nitrogene ❄️❄️🧫
0
3
14
J-3 avant la finale du concours ⏳ MT180 UNIGE 2024 ! Rendez-vous 📅 jeudi 11 avril à 18h30 à Uni Dufour. Plus d'informations sur https://t.co/9JR7QuWfeb Diffusion en direct sur @lemanbleu TV 📺 dès 19h. #MT180 @MT180ch @sciences_UNIGE @Lettres_UNIGE
0
5
7