Explore tweets tagged as #FRCPath
@Pathology_mcqs
Pathology mcqs
7 hours
🔬✨ Undifferentiated Small Round Cell Sarcomas – Quick Update! From CIC/BCOR rearrangements to modern molecular groups—your fast pathology refresher. 📘 Updated Histopathology Notes (Vol 1 & 2) available—DM for samples! #Pathology #Oncopathology #Sarcoma #FRCPath #DMHistopath
1
3
7
@Pathology_mcqs
Pathology mcqs
13 days
🧬 Inflammatory Myopathies — Quick Histology Guide! See the differences between Polymyositis, IBM, and Dermatomyositis in one glance 🧫✨ Perfect for rapid NEET-SS / FRCPath revision 🔥 #pathology #myopathies #musclebiopsy #neetss #frcpath #histopathology #mednotes
2
16
53
@Pathology_mcqs
Pathology mcqs
2 months
🧠 Brachial cleft cyst – histo pearls 🩸 🔬 Cyst lined by squamous/ciliated epithelium + lymphoid tissue beneath = classic triad 💡 📍Lateral neck, young adults — key DDx: cystic metastasis in older pts. #pathology #frcpath #branchialcleftcyst #histopathology #pathologymcq #meded
2
11
52
@Pathology_mcqs
Pathology mcqs
9 days
🔬 PSTT vs Choriocarcinoma — vascular invasion made simple! ➡️ PSTT: Periphery → Lumen ➡️ Choriocarcinoma: Lumen → Periphery Small clue, BIG diagnostic difference. 🩸✨ #Pathology #GynPath #Histopathology #MedEd #FRCPath #NEETSS
1
13
43
@ChipPaul60
Chip Paul
3 hours
I would hope this will move the needle at HHS. No one over there seems real interested in this CRITICAL PUBLIC HEALTH CRISIS at present... A huge TY to these world leaders! Prof. Philip C. Calder, PhD, RNutr, FSB, FAfN Prof. Michael A. Crawford, PhD, FRSB, FRSC, FRCPath Prof.
0
0
0
@RonWinter6
Ron Winter
2 years
Was Mass Spectrometry used to check for exogenous insulin in the two #LucyLetby insulin cases? The quotes below are from "FORENSIC ASPECTS OF HYPOGLYCAEMIA" (2019) or "Hypoglycaemia: accidents, violence and murder. Part 2" (2006) both by Professor V Marks MA, DM, FRCP, FRCPath.
3
4
11
@JamesThrot
James Throt MBBS, MD, PhD, FRCPath
1 day
Covid x4 Covid damages the frontal lobe, disrupts executive function, flattens emotional nuance & erodes critical thinking. That’s why people seem more impressionable, irritable, impulsive & cognitively inconsistent. Not because they didn’t read Harry Potter & Fifty Shades.
@SketchesbyBoze
Boze the Library Owl 😴🧙‍♀️
2 days
“Why are folks getting dumber?” Because they don’t read. “Why aren’t men as romantic & poetic as they used to be?” Because they don’t read. “Why are people so vulnerable to propaganda?” “Why is everyone a conspiracy theorist?” Because they don’t read. Because they don’t read.
42
487
2K
@Eman__Hassan__
Eman Hassan
20 days
When we pause for a moment and count our blessings, we realise that nothing is worth overthinking. Grateful that the result I’m waiting for is just an exam, not a scan or blood test that could be life-changing . Whatever the outcome, it is not worth the stress.#FRCpath
0
0
1
@FatimaShamsPath
Fatima Shamsuddin
11 months
For Part 2 FRCPath aspirants
0
0
3
@QassidO
Dr Omar Layth Qassid, FRCPath(UK) iFCAP(USA)
1 month
Finally I got to me “The Karen Pinto” @TheKarenPinto in Kuwait :) #PathTwitter
1
2
4
@yalepathology
Yale Pathology
9 days
Join is for #Pathology Grand Rounds on Thursday, Dec. 4 at 12:30 PM ET as Sarah J. Aitken, MBChB, PhD, FRCPath, Assistant Professor of Pathology @YaleMed, presents on, “Using DNA Lesions to Piece Together Cancer Genomes.” https://t.co/v0aPG4O0HU
1
3
8
@Saied_A
Saied Ali
2 years
All smiles 😃😁😄😀 #FRCPath #MedicalMicrobiology ✅️ Part 2 Pals onto the next journey... @RCPath @iscm_micro
6
3
35
@NafeesaPath
Nafeesa Banu, MD, FRCPath
2 months
43 female, dilated CBD with stricture endoscopy: bulky bulging papilla with hyperplastic mucosal covering, which easily bleeds on touch, suggestive of an ampullary adenoma causing papillary distortion. Any thoughts on this ?#pathtwitter #GIpath
3
1
3
@AyeshaSAzam
Dr Ayesha Azam, FRCPath, MD
21 days
As AI algorithms move into routine practice, our training focus must shift from “using” tools to truly understanding their opportunities, limits and risks. Pleased to join this year’s #DigitalPath & #AI Congress programme with a talk on workforce readiness for AI in #pathology
0
1
2
@yalepathology
Yale Pathology
6 days
Many thanks to Sarah Aitken, MBChB, PhD, FRCPath, Assistant Professor of Pathology @YaleMed, for presenting #Pathology Grand Rounds today. Here’s Dr. Aitken, right, with Pallavi Gopal, MD, PhD, a member of the Grand Rounds Committee.
0
1
7
@AGUeducation
جامعة الخليج العربي
9 months
مُنح أستاذ علم الكائنات الحية الدقيقة والأمراض المعدية في كلية الطب والعلوم الصحية بجامعة الخليج العربي، الأستاذ الدكتور خالد مبارك بن دينة، زمالة كلية علم الأمراض الملكية (FRCPath)، وذلك تقديراً لإنجازاته الأكاديمية والبحثية المنشورة، حيث جرت مراسم التكريم في حفل أقيم في كلية
0
0
0
@yalepathology
Yale Pathology
6 days
Join us for #Pathology Grand Rounds today at 12:30 PM ET as Sarah J. Aitken, MBChB, PhD, FRCPath, Assistant Professor of Pathology @YaleMed, presents on, “Using DNA Lesions to Piece Together Cancer Genomes.” @YaleCancer https://t.co/v0aPG4NsSm
0
2
6
@JamesThrot
James Throt MBBS, MD, PhD, FRCPath
1 day
You don’t have to be a neurologist to see patterns. Everyone I know who avoids mitigation looks noticeably different from their pre-covid selves. In temperament, in consistency, in emotional regulation, in decision making. The changes are everywhere. People just normalised them
@DcrInYYC
🔬🔭🧭👨‍💻🏞️👾🤖🌡️
3 days
I see lots of posts from people that are like "I see all these papers that show population harms from COVID infections, but I'm not seeing it in my daily life". Yep that's a real thing. It's basically a product of selection bias. It's a blind spot in the way we perceive the world
16
338
3K
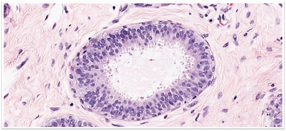
@MoAhmedMD
Mohamed A H Ahmed, MD, PhD, FRCPath
10 months
Flat epithelial atypia #pathtwitter
2
7
105