Explore tweets tagged as #PathTweetorial
@HermelinMD
Daniela Hermelin, MD
6 years
A 69-year-old, O-negative woman presents to the ER with a Hb = 6.5. She has a history of cirrhosis & now has bleeding esophageal varices. A type and screen is ordered. 🙄Yikes – her Ab screen is positive. 👇🏼Check out the Ab panel below. #Blooducation #PathTweetorial
9
32
78
@Pathology_mcqs
Pathology mcqs
3 years
1
22
68
@smlungpathguy
Sanjay Mukhopadhyay
6 years
1/ How about a #Tweetorial on immunotherapy in quiz and answer form? Let’s try it! I’ll post a quiz in one tweet and then the answer in the next, and so on. Scroll down to follow the thread! #pathology #pulmpath #ihcpath #pdl1 #Immunotherapy #pathtweetorial
15
122
222
@Pathology_mcqs
Pathology mcqs
3 years
A 17-year old male presented with recurrent oral ulcers. Punch biopsy was performed. Microscopy showed finding in the image. What is your diagnosis?#pathologymcq #pathtwitter #pathboards #usmle #plab #neetpg #pathtweetorial #pathtweet #pathresidents. #histopathology #infection
9
73
213
@yMDPhD
Youssef Farhat, MD/PhD
5 years
Welcome to my first #PathTweetorial! HOW TO PREPARE FOR PATHOLOGY BOARDS Now that I've finished AP and CP #PathBoards, I would like to share some tips that might make it easier for those who will be taking it in subsequent years! My tips will cover the following: #yAdvice
23
130
396
@Pathology_mcqs
Pathology mcqs
3 years
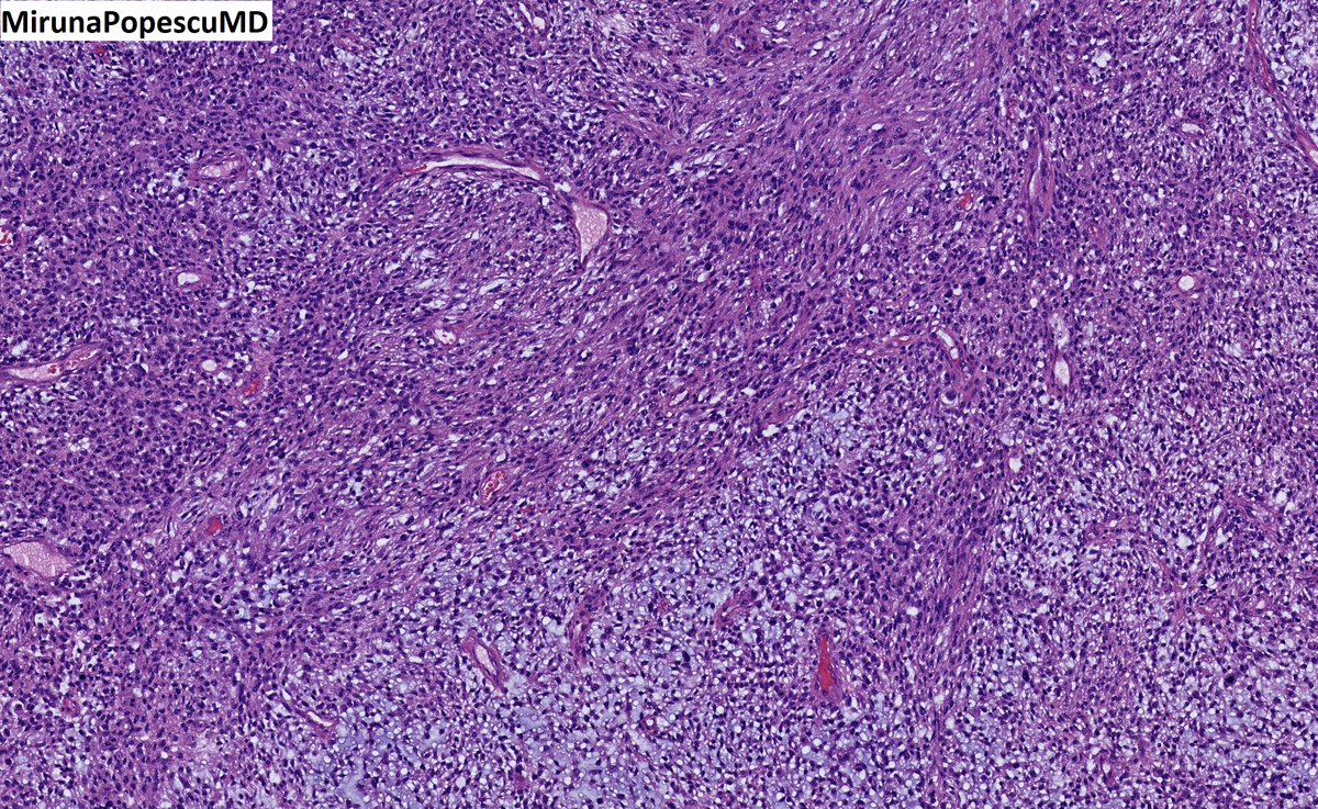
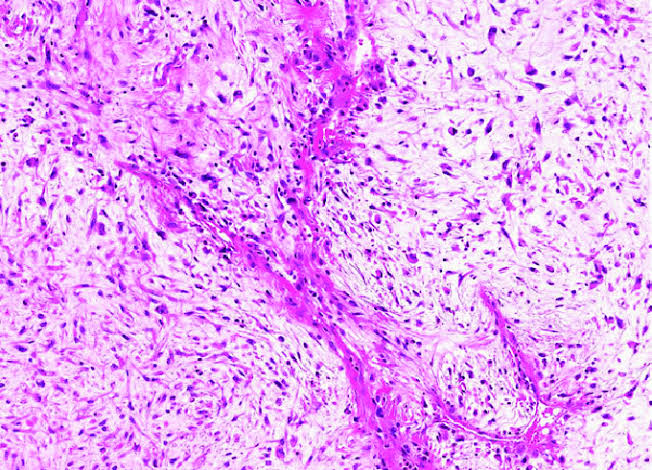
A quick review of salivary gland tumors A 70 year old man presented with submandibular mass.Excision was done and histopathology shows the image. True regarding the condition is? #Histopathology #pathology #pathtwitter #pathologymcq #pathologists #pathtweetorial #pathresidents
4
29
123
@Pathology_mcqs
Pathology mcqs
3 years
A 17-year old male presented with a breast lump . Gross and Microscopic images from the excised lump ( shown in the images). Identify the true statement? (Options in the comments) #pathology #PathTwitter #PathTwitterFamily #pathtweetorial #tweetorial #MedTwitter #pathboards
2
36
88
@Pathology_mcqs
Pathology mcqs
3 years
3
20
57
@MELanocyteMD
Melanie Bourgeau, MD
4 years
Hello again #pathtwitter, welcome to my 3rd #pathtweetorial! 🔬 Today I’ll be focusing on 2 classic #bstpath entities: 🦴 Aneurysmal bone cyst (ABC) 🦴 Giant cell tumor of bone (GCT)
26
181
374
@HermelinMD
Daniela Hermelin, MD
6 years
Today at the #SLUMFM conference we discussed Anti-M antibodies in 🤰🏽pregnancy. Let’s recap on a few of the key points we discussed including the MNS blood group and our personalized algorithm for monitoring anti-M antibodies in pregnancy. 👇🏽Follow the #PathTweetorial below.
4
28
53
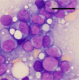
@Pathology_mcqs
Pathology mcqs
3 years
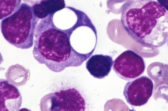
A 68-year old male presented with arthralgias and skin rashes. A complete blood count performed shows MCV of 80 fl and low platelet count. Peripheral smear and bone marrow images are shown. Which mutation is likely to be identified in this condition? #pathoboards #pathtweetorial
3
20
41
@yMDPhD
Youssef Farhat, MD/PhD
5 years
Welcome to Part 2 of my first #PathTweetorial HOW TO PREPARE FOR PATHOLOGY BOARDS Here, we will cover parts 5-9 below:
6
37
80
@smlungpathguy
Sanjay Mukhopadhyay
4 years
Tweetorial (thread) #pathtweetorial on fruiting bodies You will see these occasionally on H&E in #pathology . They are very useful for identifying Aspergillus in histology, which can otherwise be indistinguishable from Pseudallescheria
9
71
165
@Pathology_mcqs
Pathology mcqs
3 years
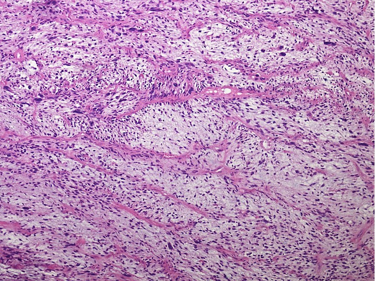
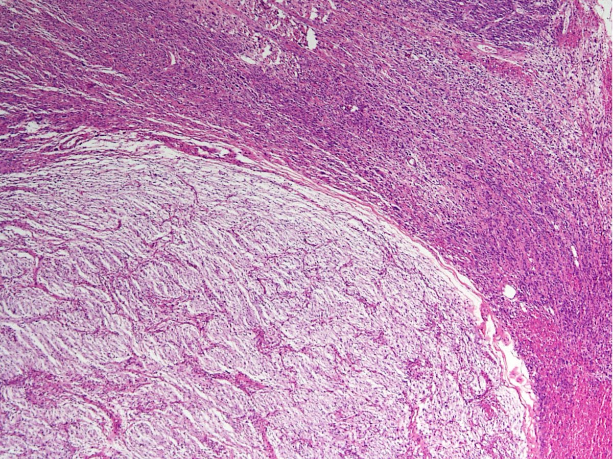
A 48 year old male presented with submandibular swelling for 3 weeks.On examination the swelling was painless, solid, firm and immobile. Excision was performed. Hand E stained section of the tumour is shown below. What is your diagnosis? #pathtweetorial #pathboards #pathresidents
1
16
39
@Pathology_mcqs
Pathology mcqs
3 years
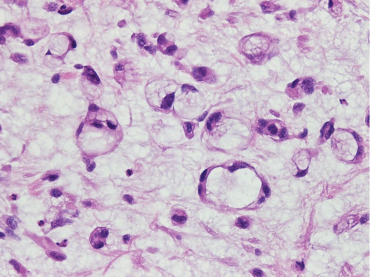
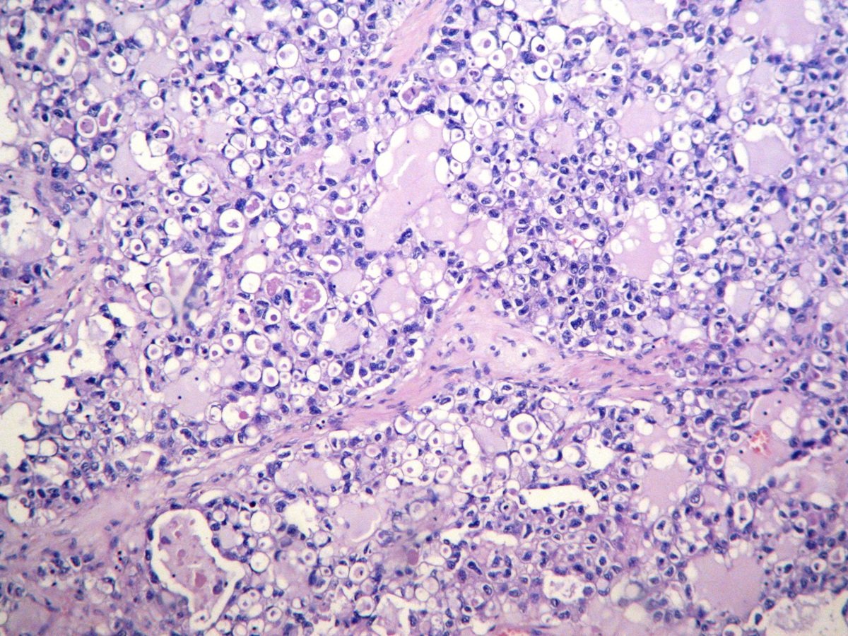
A 65 year old male presented with low urine output and bone pain. On further investigation serum creatinine was high and the patient had low hemoglobin. Bone marrow biopsy showed finding in the image. What is your diagnosis? #pathtwitter #pathtweetorial #pathresidents #pathboards
3
24
103
@Pathology_mcqs
Pathology mcqs
3 years
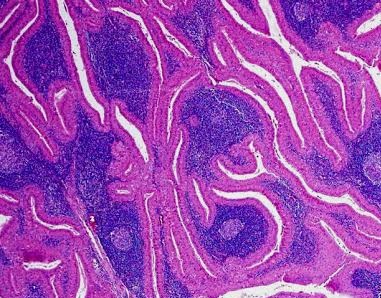
A 60 year old man presented with weakness. Laboratory studies were unremarkable except for absolute lympocytosis in the peripheral blood.Bone marrow biopsy showed finding in the image. What is your diagnosis? #pathtweetorial #pathboards #hematology #hematologyboards #pathresident
1
12
45
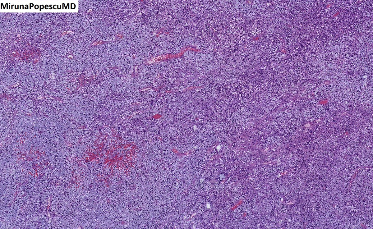
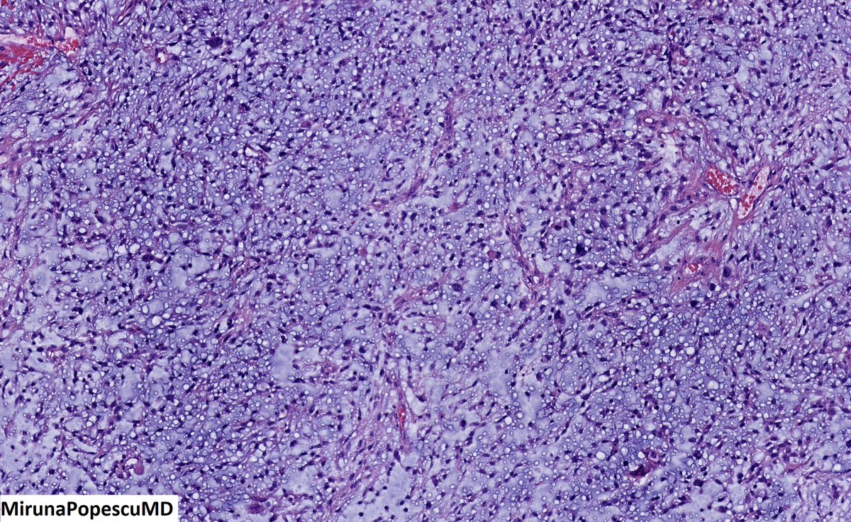
@MirunaPopescu13
Miruna Popescu, MD
3 years
❓ Let’s do a quick #BSTPath quiz ❓ 60 y/o F with a retroperitoneal mass 🔪 Follow the 🧵 👇🏽 for the answers & for a short tweetorial (1/11) #PathTwitter #pathoutpic #pathtweetorial
9
38
75
@lara_pijuan
Lara Pijuan,MD PhD,MIAC
7 years
Dejo un resumen de mi charla en #GEINO2018 para todos los que quieran empezar en Twitter y no sepan cómo a modo de #Tweetorial en #RRSS. Algunas ventajas, trucos y consejos 😊 #SoMe #pathTweetorial
6
41
66
@lara_pijuan
Lara Pijuan,MD PhD,MIAC
6 years
As a #pulmpath pathologist I recieve consultant cases like that. Wall of a pulmonary bulla with a squamous lesion but... TTF1 positive 😳 #pathtweetorial #ClonesTTF1
7
71
164