redsnapperpath Profile Banner
Allison Osmond MD MSc FRCPC Profile
Allison Osmond MD MSc FRCPC

@redsnapperpath

Followers
4K
Following
29K
Media
908
Statuses
9K

Here for the #dermpath goodness in the bad. Dermatopathologist | Phantom scenarios only.

Canada
Joined June 2016
Don't wanna be here? Send us removal request.
@redsnapperpath
Allison Osmond MD MSc FRCPC
1 year
I guess itโ€™s time to look at myself and question why I continue to take part in this #fascist led #sociamedia platform. And while I reconcile this, I hope @elonmusk gets the help he needs for the insecurity bursting through his seams for having a #Trans daughter. Maybe then his
0
0
4
@KonstantinosLin
Konstantinos LinosMD
3 days
Our new work has just been published ๐Ÿ“„ "Sclerosing melanocytic tumors with MAP2K1 in-frame deletions and 15q gains: A distinctive pathway of nevogenesis with reproducible morphology." #dermpath #pathology Free access to the article here: https://t.co/7QXCZCcgVB
1
8
25
@HENRYY_MD
Henry YANG
5 days
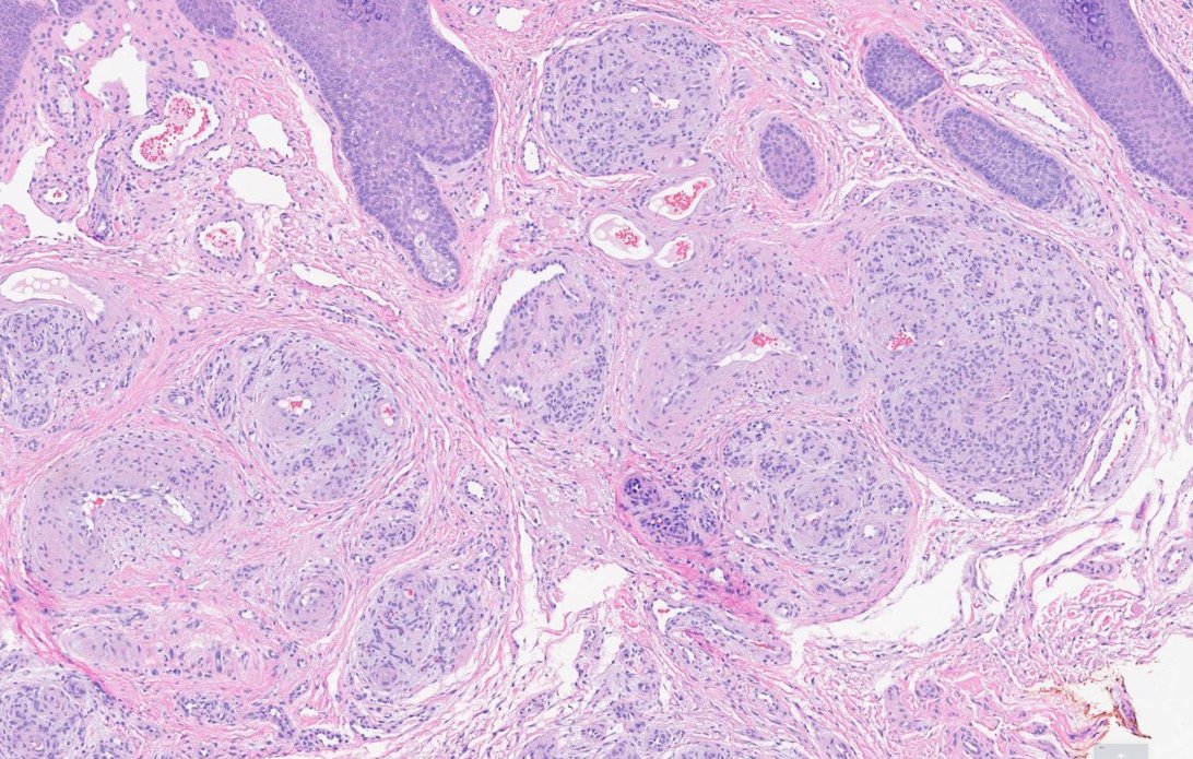
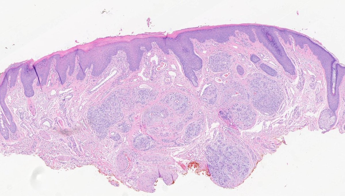
#dermpath 70s year old female cheek lesion, clinical SCC. Clearly not. Pericytic tumor. what is the best call for it? @redsnapperpath @et565 @david_terrano @Dr_Jukic @DrGeeONE @kis_lorand @gonzadetoro @SGottesmanMD @HoustonArsenal
9
6
28
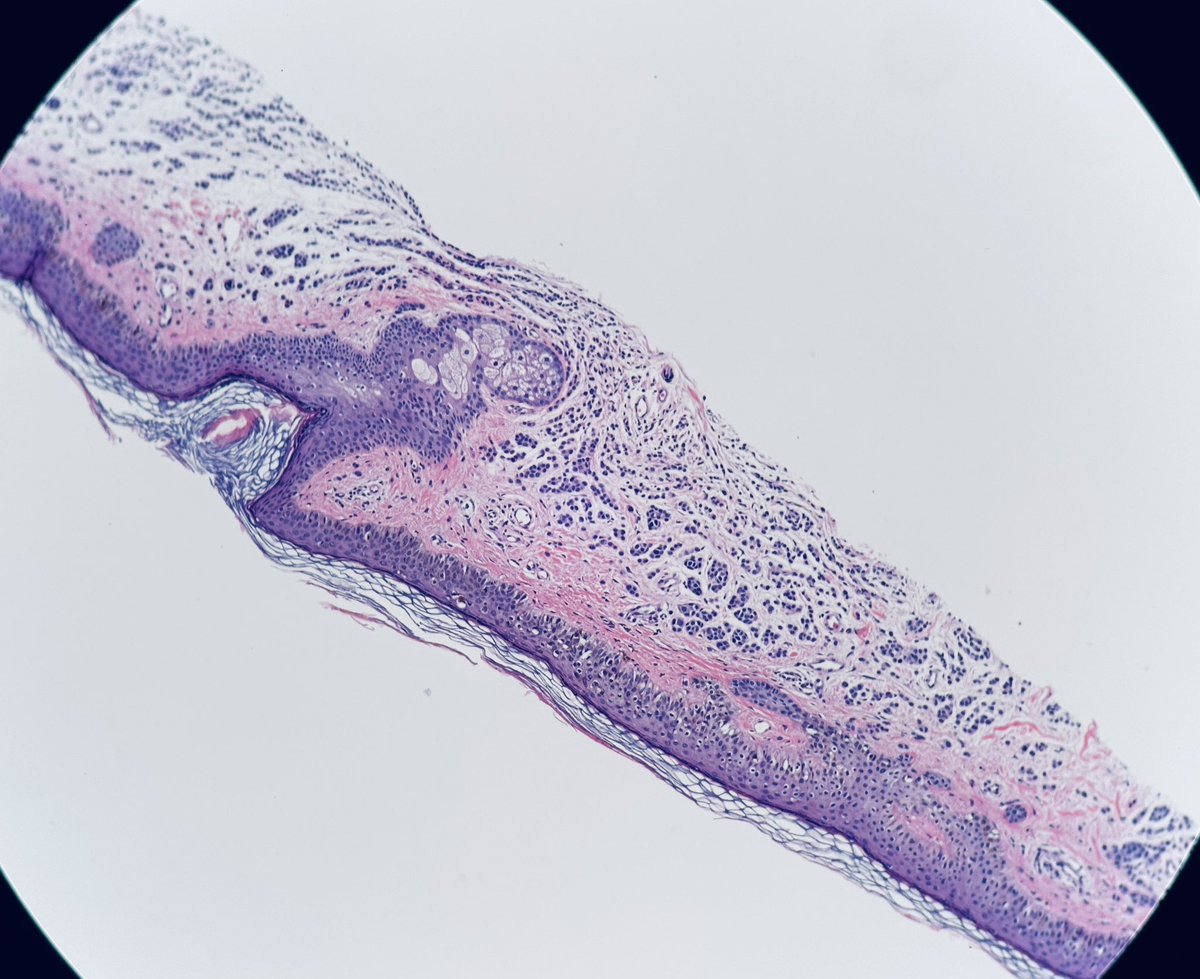
@et565
Etan Marks, DO
4 days
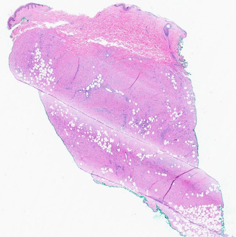
@HENRYY_MD has inspired me to post 66 year old female nail matrix biopsy. @HoustonArsenal @DrGeeONE @PIorfino @Dr_Jukic @kis_lorand #dermpath #nail #dermatology ๏ฟผ
2
5
15
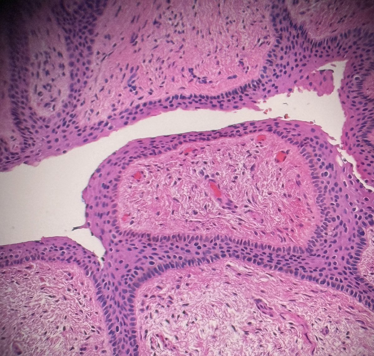
@HENRYY_MD
Henry YANG
4 days
1
14
41
@KevinFarzad
Kevin Farzad
6 years
If an employer ever says โ€œWeโ€™re like a family hereโ€ what they mean is theyโ€™re going to ruin you psychologically
479
31K
166K
@KaitVanderbeck
Kaitlin Vanderbeck, MD, FRCPC, FCAP, FASDP
9 days
Come one come all dermpath fans!! One more before the holidays!
@redsnapperpath
Allison Osmond MD MSc FRCPC
10 days
we got a hottt session coming to close out our 2025 dermpath content ๐Ÿ”ฅ๐Ÿ”ฌ #dermpath #dermatology #pathology #CME #pathboards #pathologyresidents #boardexams
0
3
7
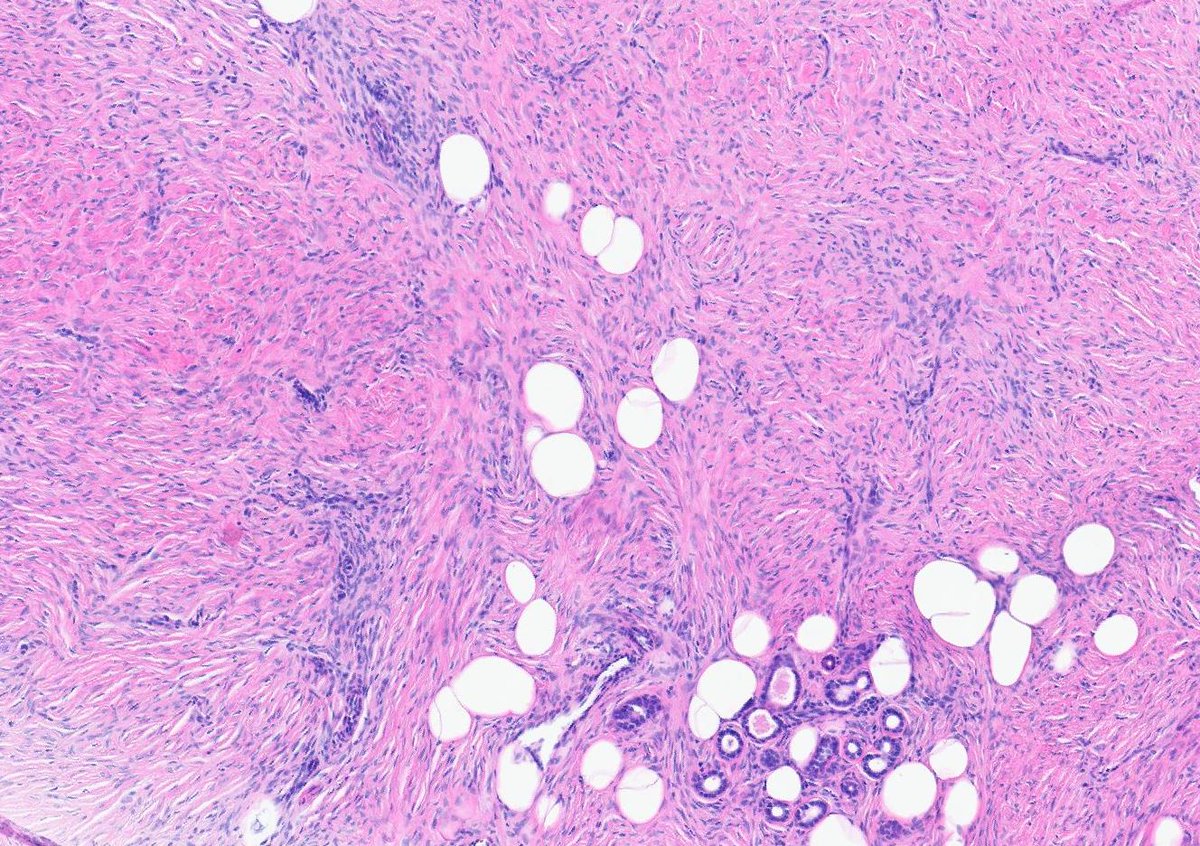
@HENRYY_MD
Henry YANG
12 days
#dermpath 62 yo Man upper back. You worried about this โ€œnevusโ€ ? @david_terrano @et565 @DrGeeONE @SGottesmanMD @kis_lorand @HoustonArsenal @Dr_Jukic @glinglerimek @pembeoltulu @gonzadetoro stains are SOX10 and P16โ€ฆ
10
8
27
@redsnapperpath
Allison Osmond MD MSc FRCPC
10 days
we got a hottt session coming to close out our 2025 dermpath content ๐Ÿ”ฅ๐Ÿ”ฌ #dermpath #dermatology #pathology #CME #pathboards #pathologyresidents #boardexams
0
6
12
@redsnapperpath
Allison Osmond MD MSc FRCPC
27 days
Tomorrow, peeps! #dermpath #molecular #dermatology #pathology #CME #ASDP2025 #ASDP25 #melanoma #PathTwitter #pathresidents #pathboards ๐Ÿ‘€๐Ÿ‘€๐Ÿ‘€๐Ÿ‘€๐Ÿง ๐Ÿง ๐Ÿง ๐Ÿง ๐Ÿฅค๐Ÿฅค๐Ÿฅค๐Ÿฅค๐Ÿฅค๐Ÿฅค
0
1
0
@redsnapperpath
Allison Osmond MD MSc FRCPC
27 days
Tomorrow, peeps! #dermpath #molecular #dermatology #pathology #CME #ASDP2025 #ASDP25 #melanoma #PathTwitter #pathresidents #pathboards ๐Ÿ‘€๐Ÿ‘€๐Ÿ‘€๐Ÿ‘€๐Ÿง ๐Ÿง ๐Ÿง ๐Ÿง ๐Ÿฅค๐Ÿฅค๐Ÿฅค๐Ÿฅค๐Ÿฅค๐Ÿฅค
0
1
0
@redsnapperpath
Allison Osmond MD MSc FRCPC
1 month
๐Ÿ’ฅ where great ihc meets function ๐Ÿฅค ๐Ÿ’ฅ come join us, for free, on November 25th, 3 PM EST to learn more about use of IHC for melanocytic tumours! #dermpath #dermtwitter #dermatology #PathTwitter #pathboards #CME #educateyoself
5
9
27
@redsnapperpath
Allison Osmond MD MSc FRCPC
1 month
we are thrilled to be hosting Dr. Jason Wasserman as our keynote speaker for our research day! Jason has transformed health literacy through clear accessible medical communication of pathology reports, worldwide. Please join us! #CME #pathology #mypathologyreport
0
0
2
@redsnapperpath
Allison Osmond MD MSc FRCPC
1 month
๐Ÿ’ฅ where great ihc meets function ๐Ÿฅค ๐Ÿ’ฅ come join us, for free, on November 25th, 3 PM EST to learn more about use of IHC for melanocytic tumours! #dermpath #dermtwitter #dermatology #PathTwitter #pathboards #CME #educateyoself
5
9
27
@Dermpedia
Dermpedia Courses
2 months
A Conversation with Dr. Richard Scolyer on Genetic-Pathologic Correlations at IMPSG| Dermpedia https://t.co/jUq47UcxEL #IMPSG #pathology #dermpath cc: @ProfRScolyerMIA
Tweet card summary image
dermpedia.org
Chat with Dr. Richard Scolyer about genetic pathological correlations in melanocytic lesions.
0
2
8
@redsnapperpath
Allison Osmond MD MSc FRCPC
2 months
wow, #Twitter is so messed up- if you managed to sift through the ๐Ÿšฎ in your feed, the CSDP is hosting this tomorrow. #dermatology #PathTwitter #pathology #dermpath #dermtwitter
@redsnapperpath
Allison Osmond MD MSc FRCPC
2 months
The CSDP welcome you to the first Zoominar session of the 2025-2026 series! #dermtwitter #dermpath #PathTwitter #dermatology #pathology
0
1
1
@redsnapperpath
Allison Osmond MD MSc FRCPC
2 months
The CSDP welcome you to the first Zoominar session of the 2025-2026 series! #dermtwitter #dermpath #PathTwitter #dermatology #pathology
0
2
9
@DrAldehyde
Woo Cheal Cho, MD
3 months
#USCAP2026 deadline is approaching! Remember those last-minute abstracts with 4-digit numbers often end up as platform presentations? ๐Ÿ˜‚๐Ÿ”ฌ Meanwhile, authors waiting for their manuscript reviews to wrap up be like... ๐Ÿ˜… #pathology #dermpath #MDACCPath
0
1
8
@redsnapperpath
Allison Osmond MD MSc FRCPC
3 months
sounds good! whatโ€™s your email address?
1
0
1
@redsnapperpath
Allison Osmond MD MSc FRCPC
3 months
๐Ÿ‘€๐Ÿ‘€CSDP is ๐Ÿ’ฅ back ๐Ÿ’ฅ๐Ÿ‘€๐Ÿ‘€ some announcements ๐Ÿ“ข๐Ÿ“ข๐Ÿ“ข๐Ÿ“ข๐Ÿ“ข ๐Ÿ‘‡๐Ÿ‘‡๐Ÿ‘‡ to kick off our 2025-2026 season #pathology #pathologie #dermpath #dermatology #dermatologie #pathboards #PathTwitter #pathres
3
5
10