h_alahmadie Profile Banner
Hikmat Al Ahmadie Profile
Hikmat Al Ahmadie

@h_alahmadie

Followers
3K
Following
15K
Media
88
Statuses
2K

Urologic pathologist and researcher at MSKCC

New York, NY
Joined March 2012
Don't wanna be here? Send us removal request.
@h_alahmadie
Hikmat Al Ahmadie
10 years
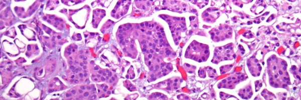
Another nice case from NYPQ..
5
18
63
@GU_Path_Society
GU Pathology Society (GUPS)
27 days
***GUPS Distinguished Lecture Series*** When: October 9, 2025 12:00 PM Eastern Time (US and Canada) Register: https://t.co/VuZF0tVP4M Dr. Lorelei Mucci Professor of Epidemiology, Harvard T.H. Chan School of Public Health (👇🏼👇🏼comments)
1
13
28
@GU_Path_Society
GU Pathology Society (GUPS)
1 month
GUPS Virtual Education Series When: Thursday, September 25th (12:00 to 1:30pm EST) Eastern Time (US & Canada) Topic: Difficult Areas in Testicular Pathology Register: https://t.co/Lb2vW0bwg2…
0
14
31
@GU_Path_Society
GU Pathology Society (GUPS)
1 month
GUPS Virtual Education Series When: Thursday, September 25th (12:00 to 1:30pm EST) Eastern Time (US & Canada) Topic: Difficult Areas in Testicular Pathology Register: https://t.co/HhKJZb8Q4h
0
18
43
@BladderCancerUS
Bladder Cancer Advocacy Network
2 months
Research funded in part by BCAN with @jonchou05 in @NatureComms : Modulating the PPARγ pathway upregulates NECTIN4 and enhances chimeric antigen receptor (CAR) T cell therapy in bladder cancer. Click here to read the article:
Tweet card summary image
nature.com
Nature Communications - Enfortumab vedotin (EV) is the current standard treatment for advanced bladder cancer, but resistance typically develops within a year, highlighting the need for new...
2
9
22
@immunoliugy
Sophia Liu
5 months
We're hiring! Our lab at the Ragon Institute of MGB, MIT, and Harvard is looking for a motivated postdoc with experience in developing and applying deep learning models. You'll work at the intersection of spatial transcriptomics and structural biology. #postdoc
7
50
277
@UroDocAsh
Ashish M. Kamat, MD, MBBS
2 months
On behalf of the IBCG Board, thank you to all who joined us from across the globe for #IBCG25 Your expertise, energy, and commitment made this a true success. It was a joy to see familiar faces and new ones alike, and to share in the lively debates and genuine camaraderie that
@UroDocAsh
Ashish M. Kamat, MD, MBBS
2 months
Thrilled to welcome over 100 global experts and patient advocates to Houston for #IBCG25! Together we’ll focus on two crucial goals: integrating bladder cancer biomarkers into clinical practice, and developing tools to better monitor and address local bladder toxicity - guided
4
17
67
@UroDocAsh
Ashish M. Kamat, MD, MBBS
2 months
Thrilled to welcome over 100 global experts and patient advocates to Houston for #IBCG25! Together we’ll focus on two crucial goals: integrating bladder cancer biomarkers into clinical practice, and developing tools to better monitor and address local bladder toxicity - guided
9
34
109
@LFpath
Laila Farid
3 months
Genitourinary Pathology is at the forefront! Join Prof.Wael sakr and prof @h_alahmadie at the 36th Annual Congress of IAP-AD, happening October 22-25, 2025 in Alexandria, Egypt. Secure Your Seat: https://t.co/WU7jzVtlXr
0
2
18
@h_alahmadie
Hikmat Al Ahmadie
3 months
If you are still considering a #GUPath fellowship for 2027-2028..
@MSKPathology
MSK Department of Pathology & Laboratory Medicine
3 months
Come Join Our Team!! MSKCC GU Pathology is recruiting applicants to our 2027-28 #GUpath fellowship ✔️Diverse case mix & volume from all GU organs ✔️ Excellent research opportunities ✔️ Teaching & learning from dedicated GU pathologists with a wealth of experience Details👇🏻
3
2
24
@MSKPathology
MSK Department of Pathology & Laboratory Medicine
3 months
Come Join Our Team!! MSKCC GU Pathology is recruiting applicants to our 2027-28 #GUpath fellowship ✔️Diverse case mix & volume from all GU organs ✔️ Excellent research opportunities ✔️ Teaching & learning from dedicated GU pathologists with a wealth of experience Details👇🏻
1
7
20
@AmandaMyersMD
Amanda Myers
6 months
Live from the AUA-IBCG Bladder Forum - Follow this thread for takeaways from each debate on current controversies in bladder cancer. @UroDocAsh is kicking off an afternoon of debates between global experts covering key issues in bladder cancer. #AUA25 @IBCG_BladderCA
8
10
21
@AmandaMyersMD
Amanda Myers
6 months
@pjhensley11 @h_alahmadie @WesKassouf @drtanws @h_alahmadie “AI can improve histopathologic classification and risk stratification” @VigneshPackiam @pjhensley11
0
3
9
@MSKCancerCenter
Memorial Sloan Kettering Cancer Center
6 months
Congratulations to the MSK-IMPACT team at MSK for receiving the American Association for Cancer Research (AACR) Team Science Award. The team, led by @MFBerger1, @DSolit, and @MLadanyi, is recognized for its pivotal advances in clinical genomic sequencing that have transformed
4
21
106
@TheMarkFdn
The Mark Foundation for Cancer Research
6 months
The power of team science is on full display at #AACR25! Representatives from five Mark Foundation Endeavor teams are presenting their work & showing how diverse expertise leads to innovative solutions. https://t.co/196EypfBwR @JeffRathmell @JanowitzTobias
Tweet card summary image
themarkfoundation.org
The American Association for Cancer Research (AACR) Annual Meeting is a cornerstone event for the cancer research community, bringing together leading minds in the field to share the latest…
1
2
10
@MSKCancerCenter
Memorial Sloan Kettering Cancer Center
6 months
.@MFBerger1, @DSolit, @MLadanyi, and the MSK-Impact team accept the @AACR Team Science Award for developing and implementing a groundbreaking next-generation sequencing platform which has enabled the comprehensive molecular characterization of over 125,000 tumors. #AACR25
4
24
121
@MSKLibrary
MSK Library
6 months
Featured today by @MSKLibrary: Interferon-γ/Janus kinase 1/STAT1 Signaling Represses Forkhead Box A1 and Drives a Basal Transcriptional State in Muscle-Invasive Bladder Cancer https://t.co/fQAHJ9h4JB #IFNγJAK1STAT1Pathway #BasalBladderCancer #BladderCancerResearch
0
2
3
@urotoday
UroToday.com
7 months
Micropapillary histology in #BladderCancer: a retrospective survival analysis. @AlkazemiMD @UrologyMSK & @h_alahmadie @MSKCancerCenter join @UroDocAsh @MDAndersonNews to discuss a study on micropapillary bladder cancer where findings show worse survival vs. conventional UC (37
0
10
30
@TheUSCAP
USCAP
7 months
6600 people, 39 Companion Societies, 86 Short/ Special Courses, 19 Evening Specialty Conferences, 39 Platform Sessions, 23 Exhibitor Seminars & too many other events to count. Our team of 20 thanks you for making #USCAP2025 immeasurably special. See you next year in San Antonio!
1
21
133
@DrYukselUrun
Yüksel Ürün
7 months
Big win for bladder cancer care! @US_FDA approves neoadjuvant + adjuvant durvalumab (NIAGARA trial) in MIBC! Chemo ➕ immunotherapy before surgery. Immunotherapy after. PFS & OS both improved. Proud to be one of investigator of this milestone! #BladderCancer #Immunotherapy
3
42
103
@LiangChengMD
Liang Cheng, MD
7 months
Huge congratulations to Dr. Holger Moch on receiving the Koss Medal for Advancement of Urological Pathology and to Dr. Tamara Lotan for the David J. Grignon Education Award!  Well-deserved recognition for their outstanding contributions to the field! @IntSocUropath
0
6
32