FrontGastro_BMJ Profile Banner
Frontline Gastro Profile
Frontline Gastro

@FrontGastro_BMJ

Followers
12K
Following
11K
Media
2K
Statuses
14K

Supporting education & practice in GI, Hepatology & Clin Nutr. Companion to @BMJOpen_Gastro & Gut @Gut_BMJ Published with @BritSocGastro EiC:@PhilSmithIsBack

Joined May 2010
Don't wanna be here? Send us removal request.
@FrontGastro_BMJ
Frontline Gastro
11 hours
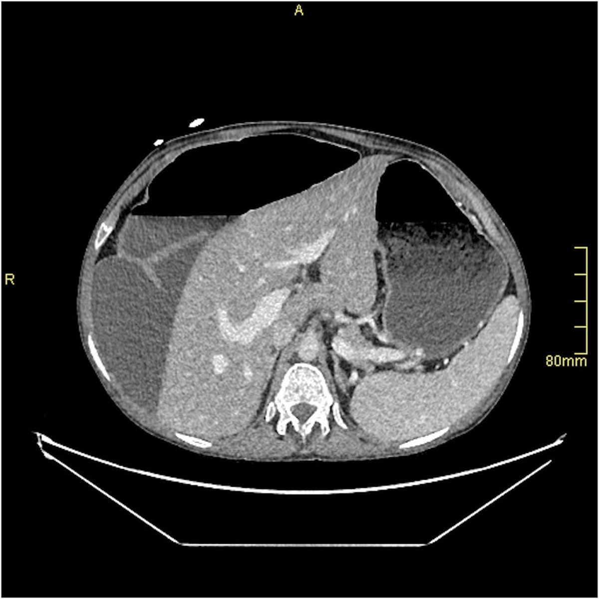
🚨 NEW in Frontline Gastroenterology! A 23-year-old on lifelong parenteral nutrition had abnormal liver tests, but FibroScan and ultrasound kept 'failing'. Cross-sectional imaging was organised that showed the reason💡 . What does the CT show and how did the team complete
0
4
12
@FrontGastro_BMJ
Frontline Gastro
1 day
Every remarkable endoscopy case teaches us something new. If you’ve captured a moment that could educate, inspire, or change practice, consider sharing it with the community. Submit your endoscopy video today at Frontline Gastroenterology https://t.co/eH9Per4fc1
0
2
4
@hsid_h
Sidharth Harindranath MD DM
2 days
@FrontGastro_BMJ
Frontline Gastro
6 days
@GMFHx @alex_ford12399 Link here:
3
2
6
@fgomollon
Fernando Gomollón
1 day
Important paper for #IBD
@FrontGastro_BMJ
Frontline Gastro
1 day
NEW in Frontline Gastroenterology! A large study of Crohn’s disease patients starting anti-TNF therapy has shown that frailty (not age!) is what really predicts hospital admissions. Using data from the PANTS cohort, researchers built a Frailty Index from routine baseline
1
2
9
@premium
Premium
4 months
Enjoy the best experience on X.
0
760
8K
@FrontGastro_BMJ
Frontline Gastro
1 day
NEW in Frontline Gastroenterology! A large study of Crohn’s disease patients starting anti-TNF therapy has shown that frailty (not age!) is what really predicts hospital admissions. Using data from the PANTS cohort, researchers built a Frailty Index from routine baseline
2
7
18
@FrontGastro_BMJ
Frontline Gastro
2 days
NEW in Frontline Gastroenterology! 💊 Low-dose amitriptyline for IBS isn’t just effective — it’s cost-effective too. In a prespecified economic analysis of the ATLANTIS trial, low-dose, titrated amitriptyline (10–30 mg) used as second-line therapy for IBS in primary care was:
4
22
41
@GastroIssu96098
Gastro endoscopy issues Dr Mohamed Hussien
3 days
Biologic therapy contribute to decrease colorectal Disease
@FrontGastro_BMJ
Frontline Gastro
3 days
🚨 NEW Meta-analysis: Cancer risk reduction in IBD A systematic review of 1.4M patients shows: ✨ Anti-TNF therapy reduces colorectal cancer (CRC) risk in ulcerative colitis ✨ Non-sulfasalazine 5-ASAs reduce CRC risk in both UC and Crohn’s disease ⚠️ Immunomodulators show no
0
2
3
@ICEgov
U.S. Immigration and Customs Enforcement
3 months
America needs you! Join U.S. Immigration and Customs Enforcement today.
7K
16K
73K
@FrontGastro_BMJ
Frontline Gastro
3 days
🚨 NEW in Frontline Gastroenterology! A 26-year-old man with fever, diarrhoea and haematochezia. 🔍 Endoscopy: duodenal polyps + multiple colonic ulcers 🧬 Histology: lymphoid hyperplasia and chronic active inflammation 📸 Imaging: diffuse bowel inflammation, atypical for
1
8
26
@FrontGastro_BMJ
Frontline Gastro
3 days
🚨 NEW Meta-analysis: Cancer risk reduction in IBD A systematic review of 1.4M patients shows: ✨ Anti-TNF therapy reduces colorectal cancer (CRC) risk in ulcerative colitis ✨ Non-sulfasalazine 5-ASAs reduce CRC risk in both UC and Crohn’s disease ⚠️ Immunomodulators show no
3
17
50
@FrontGastro_BMJ
Frontline Gastro
4 days
TONIGHT. 7 pm. GMT. Frontline Gastroenterology brings you the 🎄 ☃️ #FGGlobal Christmas Webinar 🎄 ☃️ “Scalpels, Suturing or Syringes? The Future of Obesity Care” 💉🔪🧵 Register: https://t.co/sH44KNqPI0 🚨 🚨 NOT TO BE MISSED🚨 🚨
0
2
5
@drkeithsiau
Keith Siau
5 days
The future of obesity management - will it be scalpels (surgery), sutures (endoscopy) or syringes (GLP1s etc)? BSG and @FrontGastro_BMJ are hosting a free 🎄 webinar for all to join - tomorrow (Tuesday) at 7pm 🇬🇧 time. Register here ☑️: https://t.co/jp6N9Yx31v
3
8
48
@NONYXNail
NONYX Nail Gel
11 days
Hiding your fungus damaged toenails? Get clear, healthy-looking nails with clinically proven NONYX!
0
1
15
@sheiybani
Gio McGinty
5 days
Absolute delight to have this published and how much I learnt! Definitely making me think twice before attempting a polypectomy!
@FrontGastro_BMJ
Frontline Gastro
5 days
NEW in Frontline Gastroenterology! A comprehensive review led by our very own associate editor Giovanna McGinty and Zeino Zeino on the management of recurrent colorectal polyps after initial polypectomy — a scenario that affects up to 20% of patients. 🔍 Key Messages: •
0
4
6
@FrontGastro_BMJ
Frontline Gastro
5 days
NEW in Frontline Gastroenterology! A comprehensive review led by our very own associate editor Giovanna McGinty and Zeino Zeino on the management of recurrent colorectal polyps after initial polypectomy — a scenario that affects up to 20% of patients. 🔍 Key Messages: •
0
7
25
@FrontGastro_BMJ
Frontline Gastro
5 days
NEW in Frontline Gastroenterology! 🧪 Can therapeutic plasma exchange (PLEX) improve outcomes in severe alcohol-associated hepatitis (AAH) with ACLF? This prospective 12-centre study from Tamil Nadu says… YES, it just might. 🔥 Key takeaways: • 51 patients with severe
0
9
20
@OTavabie
Oliver Tavabie
6 days
Abnormal liver blood tests in patients on long term parenteral nutrition are common and can be challenging to understand. Prospective studies exploring the role of NITs are currently lacking. Have a look at our unusual case in ⁦⁦@FrontGastro_BMJ https://t.co/MHmqtPfHEb
0
5
11
@FannieMae
Fannie Mae
3 months
Lenders can more easily work with state and local agencies to find grants and programs that may help borrowers afford a home thanks to our streamlined resources. Learn how.
0
7
46
@FrontGastro_BMJ
Frontline Gastro
6 days
🎄❄️ #FGGlobal Christmas Webinar ❄️🎄 We're back with the third instalment of our global webinar series — and this one is a big one! Join us Tuesday 9th December, 7pm GMT 🕖🌍 for a deep dive into “Scalpels, Suturing or Syringes? The Future of Obesity Care” 💉🔪🧵 🎙️ Hear from
0
5
11
@alex_ford12399
Alexander Ford
7 days
@ross_j_porter @FrontGastro_BMJ Thanks Ross. Glad you enjoyed it. I tried to make it entertaining as well though!
0
1
2
@DCharabaty
Aline Charabaty, MD, FACG, AGAF
7 days
It’s beginning to look a lot like🎄 ! When @FrontGastro_BMJ end of year webinar is here ! 🎯#Obesity management: GLP1, endobariatrics, bariatric surgery 🤝Don’t get FOMO & join the convo w multiD experts panel: GI, surgeon, endocrinologist Register 👉🏽 https://t.co/jY4QUEZd6f
0
9
21