
Joel Moskowitz
@berkeleyprc
Followers
3K
Following
3K
Media
1K
Statuses
23K
My research center specializes in health promotion & disease prevention. We also cover wireless radiation health effects & policy. Check out my web site:
UC Berkeley
Joined November 2012
WHO Radio-Frequency Radiation Cancer Study is "Seriously Flawed." Scientists conclude the review does not assure wireless safety, and should not be used to set public policy. https://t.co/qDiGsSTXf9
5
24
40
In 2025, we are losing our measles-free status, just 25 years after we eliminated measles from the US because of vaccines. It’s not because our sanitation systems have been eliminated. It’s because people aren’t getting vaccinated. 1/
231
318
930
Russ Vought set out to ensure a second Trump term would not be hampered by checks and balances: “I don’t want President Trump having to lose a moment of time having fights in the Oval Office about whether something is legal or doable or moral.” https://t.co/MeGJ1SWfiZ
propublica.org
From the wholesale gutting of federal agencies to the ongoing government shutdown, Russell Vought has drawn the road map for Trump’s second term. Vought has consolidated power to an extent that...
12
188
216
In 1992 Peter Ratcliffe received this rejection letter from Nature. His findings were not "a sufficient advance in our understanding". 27 years later he won the Nobel Prize for the same discovery. Don't lose faith in the things you believe in.
45
365
2K
All the arguing over masking and vaccinating kids, when so much could be done to help them with far less controversial air purifiers. 🤷🏽♂️
42
113
736
I’ll never forget my first few weeks as CDC director. It was in the midst of the H1N1 epidemic and we needed to manage the outbreak effectively. I was grateful to walk into a building of public health experts and a full team of support. Sadly, more than one in four of those
3
34
74
"In Vought’s vision for the U.S. government, an all-powerful executive branch would be able to fire workers, cancel programs, shutter agencies, and undo regulations that govern air and water quality, financial markets, workplace protections and civil rights."
New: During Trump’s first term, Russ Vought did more than perhaps anyone else to turn the president’s demands and personal grievances into action. In his second term, it’s now Trump who is fulfilling Vought’s goal of dismantling the federal government.
3
35
51
Medical research for the win! Now let’s fund science again… restore all cuts ASAP to save more lives and improve more lives!
A 3-year-old girl who underwent a breakthrough gene therapy treatment to treat profound hearing loss can hear on her own, two years after the treatment. Read more: https://t.co/Cl2ox2lISB
31
505
2K
Our situation on this earth seems strange. Every one of us appears here involuntarily and uninvited for a short stay, without knowing the whys and the wherefore. In our daily lives we only feel that man is here for the sake of others, for those whom we love and for many other
39
147
660
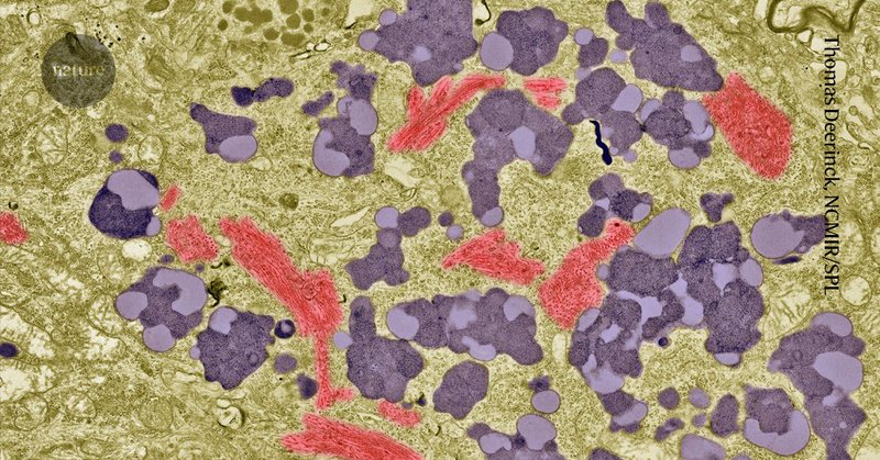
A new blood test to aid with the diagnosis of Alzheimer’s disease has been approved by the US FDA https://t.co/VHPPNa9qej
nature.com
Nature - A second blood test has been been approved by the US Food and Drug Administration to assist in diagnosing Alzheimer’s disease. Will these tests change how cognitive decline is measured?
3
46
148
Scientists from Spain and China have made a major breakthrough in Alzheimer’s research. They created special nanoparticles that can clear away toxic brain plaque — one of the main causes of Alzheimer’s — and even reverse memory loss in mice. The study, published in Signal
98
961
4K
The smartest age in life may be 55 to 60 – not in your 20s. Raw cognitive abilities, such as processing speed and memory, often peak early in life. Athletes typically hit their prime before 30, mathematicians make major breakthroughs by their mid-30s, and chess champions rarely
228
1K
5K
USDA reports an uptick of the bird flu virus in backyard flocks in a number of US states. The current risk to people is low. Protect your flock and your family from bird flu with simple steps. 📲 Learn more: https://t.co/7nKsw95KwN #BirdFlu #H5N1
0
5
8
This! 👇👇👇 🔥👏
We stand by our reporting. Here is the full story that DHS is dismissing: https://t.co/yPvwxIbOo2 It relies on footage that anyone can watch for themselves. We also explain exactly how we did it ⤵️
1
1
3
The audience is at attention during @AnilOza16’s panel on the upheaval inside the NIH, where panelists are sharing doubts about the agency’s future and a rumor about a new institute head 👀 #STATsummit
0
5
8
Why does a healthy baby need a Hepatitis B vaccine at birth? 🍼💉 Hepatitis B infection in an infant can lead to lifelong health issues. Vaccination is the best way to protect babies from HepB infection. 💪👶 Learn more: https://t.co/mfD38XL9Ge
0
5
9
The single blood test that "not only indicated how advanced the disease was but also helped to predict its [Alzheimer's disease] progression." https://t.co/LLezud728j and more here
nature.com
Nature Aging - Montoliu-Gaya, Salvadó et al. develop a blood-based model using tau biomarkers measured in a single analysis enabling biological staging of Alzheimer’s disease to support...
2
98
313
Why is EPA "helping to unleash American energy and bring back American auto jobs"? Someone needs to read EPA's mission... https://t.co/YlaXgPPTik
0
1
2
In the more than 20 years since the term “microplastics” was first coined, a rapidly growing body of research has consistently shown how pervasive and problematic the pollutants have become. A 2024 #ScienceReview provides an overview of this research and the progress made in
13
129
371
The science hasn’t changed. COVID-19 vaccines lower the chance of severe illness and hospitalization. CDPH continues to recommend that everyone age 6 months and older should have access and the choice to receive COVID-19 vaccines. 📲 Learn more: https://t.co/x1tFYXi4Xw
1
5
8