bca_md Profile Banner
Tim Donahue Profile
Tim Donahue

@bca_md

Followers
1K
Following
3K
Media
29
Statuses
1K

Urologic oncologist at Memorial Sloan Kettering Cancer Center. Views are my own.

New York, NY
Joined May 2016
Don't wanna be here? Send us removal request.
@JoshSmithMDPhD
Josh Smith, MD, PhD, FACS
3 years
Finally @ALLIANCE_org GI hybrid Mtg - a critical part of what we do is to champion other important trials- see 4 here championed by @IbrahimSahinMD1 @RonaYaeger @EricMillerMDPhD @HannaSanoff - related tweet on @VanMorrisMD 🐍 study following!
1
11
30
@rovingatuscap
Samson W. Fine, MD
4 years
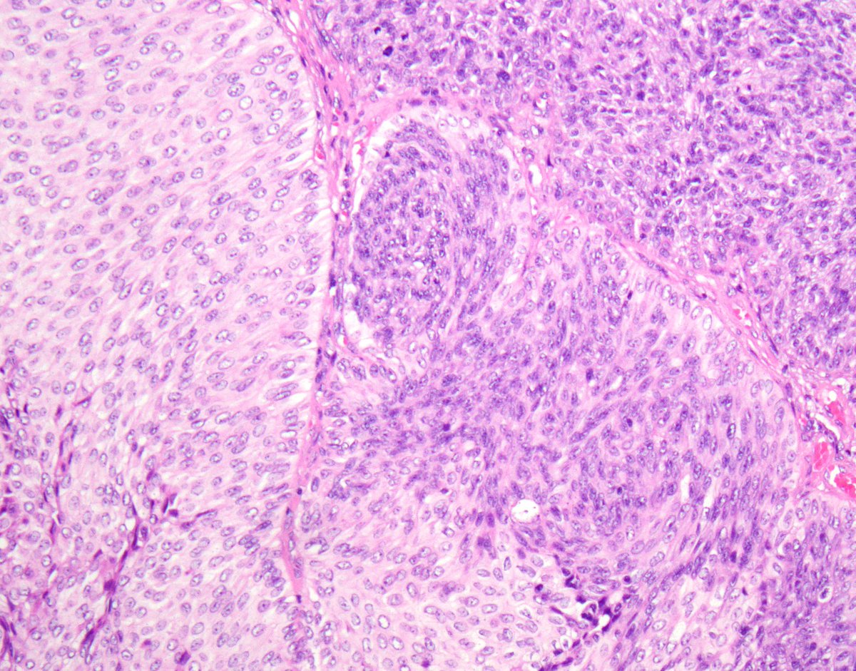
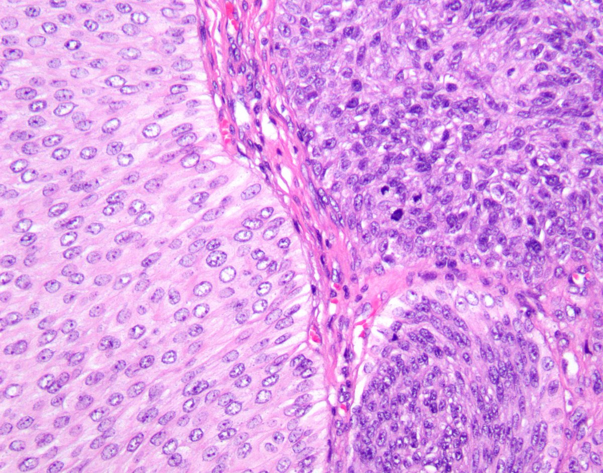
Overt Transition of Low-Grade to High-Grade Non-Invasive Papillary Urothelial Carcinoma (uncommon in my experience) #gupath ✨abrupt changes in cellular polarity ✨marked differences in nuclear size, shape, & color ✨in this ex.: accompanied by increased mitotic figures
1
30
90
@arihakimi
ari hakimi
3 years
I had the privilege of working with Maria for two years but her light will stay with me forever. May she rest in eternal peace. 😔
@UrologyMSK
UrologyMSK
3 years
It is with the heaviest of hearts that we announce the untimely passing of Maria Becerra (@MariaBecerraMD), a beloved member of our MSK Urology family. Maria was a research fellow with us for two years after which she began her residency in urology at the University of Miami.
2
4
34
@UrologyMSK
UrologyMSK
3 years
Maria was a very kind, compassionate, brilliant and beautiful soul who lit up the room and enriched the lives of all of those she met. She will be profoundly missed but certainly never forgotten. 😔💔
1
13
53
@UrologyMSK
UrologyMSK
3 years
It is with the heaviest of hearts that we announce the untimely passing of Maria Becerra (@MariaBecerraMD), a beloved member of our MSK Urology family. Maria was a research fellow with us for two years after which she began her residency in urology at the University of Miami.
2
21
119
@UrologyMSK
UrologyMSK
3 years
Now published in Cancer Biomarkers: Clinical Aspects and Laboratory Determination by @UrologyMSK @SigridCarlsson Hans Lilja et al.: PSA: role in screening and monitoring patients with prostate cancer https://t.co/bDp7hthiJn
0
1
5
@bbmdmsk
Bernie Bochner, MD
3 years
We’re so fortunate to have such talented, dedicated people every year join us as fellows. Lifetime friends and colleagues!!
@CChuMD
Carissa Chu
3 years
Excited to share our experience at MSKCC. Aside from an incredible education, having co-fellows is a huge plus. These guys are crazy smart, hard working, and above all else - kind, hilarious, and totally committed.. I learn from them every day. My NY family here!
0
3
33
@CChuMD
Carissa Chu
3 years
Excited to share our experience at MSKCC. Aside from an incredible education, having co-fellows is a huge plus. These guys are crazy smart, hard working, and above all else - kind, hilarious, and totally committed.. I learn from them every day. My NY family here!
@UrologyMSK
UrologyMSK
3 years
Interested in learning more about the oldest and largest @UroOnc fellowship? Come join us at our virtual open house Wednesday Nov 16th 7 pm EST. https://t.co/GliRQwt4mx (zoom link to follow)
0
8
38
@awiner24
Andrew Winer
3 years
💪 It takes a village- we pride ourselves on early exposure, meaningful mentorship & bringing students into the @downstateuro family from day 1 Studies like this from @rwjurology @urogoldjournal reaffirm our student-forward culture to keep producing more Uro-rockstars 🤘
@AdityaBagrodia
DrBagrodia
3 years
Not surprised that @downstateuro with highest absolute number with all star mentors @awiner24 @DesrochesMD @nocturiadoc @Dr_Brian_McNeil ! Cool study!!
1
8
47
@UrologyMSK
UrologyMSK
3 years
Interested in learning more about the oldest and largest @UroOnc fellowship? Come join us at our virtual open house Wednesday Nov 16th 7 pm EST. https://t.co/GliRQwt4mx (zoom link to follow)
Tweet card summary image
docs.google.com
Open House 2022
1
12
21
@UrologyMSK
UrologyMSK
3 years
Hear from our faculty and current research and clinical fellows about clinical experience, research opportunities and life in the big apple!
1
1
8
@DSG_MD
Daniela Shveid Gerson
3 years
With my awesome MOM 👯‍♀️who presented tumoral heterogeneity in breast cancer at the 46th congress of The National Academy of Medicine. 🇲🇽@raquel_gerson @ANMM #goals @WomeninOnc #likemotherlikedaughter 🤞🏽❣️
0
1
27
@UrologyMSK
UrologyMSK
3 years
Now published in @EUplatinum by @UrologyMSK @HongTruongMD @preiszmd @eugene_pietzak @BehfarEhdaieMD @TouijerKarim @vinlaudonemd @easthamja et al.: Gene-based confirmatory germline testing following tumor-only sequencing of prostate cancer https://t.co/QDfQckvmLy
0
2
16
@EnriqueSoto8
Enrique Soto
3 years
Final day of the AAF Seminar in Salzburg! What a great week! @AMSAMEXICO
0
3
28
@marisakollmeier
marisa kollmeier
3 years
The dream Rad Onc GU team (L->R Victoria Brennan, Danny Gorovets, me 😀, Michael Zelefsky and Sean McBride) Fantastic MSK Multidisciplinary Prostate Cancer symposium Day 1! #MSKprostatecancerCME @MSK_RadOnc @MSKCME
3
6
56
@rovingatuscap
Samson W. Fine, MD
3 years
Dr. Sigrid Carlson @SigridCarlsson highlighting the long-term outcomes in Active Surveillance in Low Risk & Favorable Intermediate Risk #prostatecancer & ways in which Genomic Classifiers may be helpful in Risk Stratification #MSKprostatecancerCME @MSKCME
0
6
14
@bbmdmsk
Bernie Bochner, MD
3 years
Thank you #PENN for chance to deliver Walter Hofman Lecture. Stellar multiD #bladdercancer group @tbivala1 @Xristodouleas @Ron_cology Leaders @drphil_urology Guzzo, Lee, Vaughn, Malkowitz guiding the group to great success. Insightful discussions on NMIBC, MIBC and TMT!!
3
3
35
@ExcelsiorSurg
Excelsior Surgical Society
3 years
👀Check out this year's Excelsior Surgical Symposium agenda. Looking forward to seeing everyone in person at #ACSCC22 next week! 👋
0
7
13
@arihakimi
ari hakimi
3 years
Awesome @MSKCancerCenter representation at #KCRS22
3
3
85
@DrChoueiri
Toni Choueiri, MD
3 years
#KCRS22 @arihakimi explores the immune microenvironment of ccRCC @kidneycan @OncoAlert
0
5
20