jnardnas Profile Banner
Alexandra Navarro Profile
Alexandra Navarro

@jnardnas

Followers
595
Following
1K
Media
13
Statuses
579

Apasionada de la patología pediátrica! ☺️ #Pathology #PediPath #PulmPath #PlacentaPath #FetalPath en @vallhebronpath

Barcelona, España
Joined May 2017
Don't wanna be here? Send us removal request.
@vallhebron
Vall d'Hebron
2 years
La Dra. Sandra Navarro, d'Anatomia Patològica #VallHebron, ha estat amb els alumnes d'i4, i5 i 4t de primària de l'@escolagravi per la #SC23CAT. Han fet tincions per visualitzar cèl·lules al microscopi i els ha explicat la importància de la imatge en la ciència! #DivulgaCiènciaVH
3
7
27
@Guillen_CirPed
Gabriela Guillén
4 years
La #cirugíapediátrica trata muchas enfermedades minoritarias, tanto malformativas como tumorales, así que hoy estamos con nuestros pacientes. Por una atención de calidad, en centros especializados y al alcance de todos 🌈#RareDiseaseDay2022 #pediatricsurgery #EnfermedadesRaras
0
4
12
@vallhebronpath
VallHebronPath
4 years
Desde nuestro #ResearchCorner damos la enhorabuena a @jesscacs y a todo el equipo por este fantastico trabajo #neuropath #Alzheimer #neuroscience #pathology
1
3
15
@vallhebronpath
VallHebronPath
4 years
Ha quedado inaugurada la "Societat Catalana de Tiroide". Enhorabuena a la Dra. Carmela Iglesias @C_Iglesias_F y a toda la junta gestora por todo vuestro esfuerzo e ilusión en este proyecto
1
15
42
@martiponi
Marta Garrido Pontnou
4 years
📣 El Grup de Treball de #PediPath de l'SCAP ha demostrat que la #Covid_19 pot danyar massivament la #placenta i produïr la mort fetal: el Dany Trofoblàstic Difùs es la lesió histològica característica. 🗒️Garrido-Pontnou et al. Modern Pathology. Volume 34, (2021)
0
3
14
@martiponi
Marta Garrido Pontnou
4 years
Cuando vas a un restaurante y recibes un multicassette #IlookLikeAPathologist
2
2
20
@cafedidees_rtve
Cafè d'idees
4 years
☕ Descobreixen perquè algunes dones han perdut el fetus per culpa del coronavirus. 👉 Ens ho explica el doctor Alfons Nadal, metge del Servei d'Anatomia Patològica de l’@hospitalclinic | @NadalAlfons 📺 https://t.co/Pbe5vRWkNP 📻 https://t.co/kwIldIDIDO @GemmaNierga
0
3
6
@VHIR_
Vall d'Hebron Institut de Recerca
4 years
Researchers from #VallHebron, @hospitalclinic - @idibaps and @parctauli show that #covid can damage the placenta of pregnant women. This damage is very rare and lead to abnormal blood flow between mothers and fetuses. Published in @ModernPathology. More: https://t.co/VVt3iEuVZF
0
7
13
@martiponi
Marta Garrido Pontnou
4 years
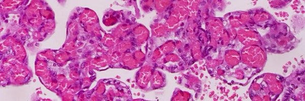
L'extensió de la lesió en una #placenta infectada per #coronavirus es decisiva en el pronòstic fetal. #pedipath #placentapath @vallhebronpath @AutopsiaFetal
@VHIR_
Vall d'Hebron Institut de Recerca
4 years
El @diariARA explica l'estudi que mostra que la #covid pot infectar la placenta en gestants. La Dra. @martiponi, del Servei d'Anatomia Patològica #VallHebron, explica que l’extensió de la lesió i el temps des que la gestant es va contagiar són decisius. https://t.co/23orkq4BzU
0
5
8
@cafedidees_rtve
Cafè d'idees
4 years
☕ El doctor Alfons Nadal explica que el percentatge de dones que han perdut el fetus per culpa del coronavirus és "molt petit" | @NadalAlfons 📺 https://t.co/Pbe5vRWkNP 📻 https://t.co/kwIldIDIDO @GemmaNierga @RTVECatalunya @radio4_rne
1
3
6
@CienciaDeHoy
Ciencia de Hoy
4 years
Demuestran que la covid-19 puede dañar la placenta de las mujeres embarazadas
0
3
4
@saludiario
Saludiario
4 years
ÚLTIMA HORA: COVID puede dañar la placenta de las embarazadas - https://t.co/1nao95eXKO
0
1
1
@PeriodicoZocalo
Periódico Zócalo
4 years
Los investigadores aclararon que la afectación de la placenta tiene muy poca frecuencia, en el 4.5 por ciento de las embarazadas que tuvieron #COVID19 https://t.co/rwdua3hDJZ
zocalo.com.mx
Ciudad de México.- El contagio de Covid-19 en embarazadas puede provocar graves daños en la placenta, lo cual podría ser mortal para el feto, sostiene…
0
2
1
@DiarioPresente
Diario Presente
4 years
#COVID19🦠Según estudios, Covid-19 puede causar daños en placenta ➡
0
2
2
@martiponi
Marta Garrido Pontnou
4 years
Un estudio demuestra que la Covid-19 puede dañar la placenta en mujeres embarazadas y ser mortal para el feto via @20m
20minutos.es
Investigadores del Clínic-IDIBAPS del Hospital Vall d'Hebrón de Barcelona y del Parc Taulí de Sabadell han demostrado que la Covid puede dañar la placenta...
0
3
7
@elnacionalcat_e
ElNacional .cat
4 years
El estudio analiza cerca de 200 casos de mujeres de 24 a 39 años y que se infectaron por la covid durante el embarazo
elnacional.cat
Finalmente se ha demostrado que el coronavirus puede dañar la placenta de las mujeres embarazadas. Así lo han constatado investigadores del Clínic-IDIBAPS.
0
4
4
@martiponi
Marta Garrido Pontnou
4 years
Un estudio pone de evidencia que la COVID-19 puede dañar la placenta de las gestantes https://t.co/ToONOcToxx #larazon_es
larazon.es
Un estudio pone de evidencia que la COVID-19 puede dañar la placenta de las gestantes
0
6
9
@martiponi
Marta Garrido Pontnou
4 years
0
4
10