_AishPrakash Profile Banner
Aishwarya Prakash Profile
Aishwarya Prakash

@_AishPrakash

Followers
216
Following
944
Media
2
Statuses
83

PhD scholar @JNCASR trying to understand the origin of blood stem cells in mammals| Hematopoiesis, Mitochondria, Embryos | Zoologist from @hrcduofficial |

Bengaluru, India
Joined June 2023
Don't wanna be here? Send us removal request.
@Hema_News
Hematopoiesis News
2 months
.@jncasr researchers led by Dr. Maneesha Inamdar show that the mitochondrial protein Asrij/OCIAD1, a conserved regulator of hematopoietic homeostasis, contributes to HSC heterogeneity. 👉 https://t.co/DFuB6P10Fa
0
1
3
@_AishPrakash
Aishwarya Prakash
1 month
Happy to share our latest work in Experimental Hematology @ISEHSociety! We show that Asrij, a mitochondrial protein tunes hematopoietic stem cell fate, uncovering a new layer of blood stem cell diversity! 🩸 @InamdarManeesha @jncasr @DBT_inStem https://t.co/l60nyyxDUQ
7
5
37
@PratsDongre28
Prathamesh Dongre, PhD
2 months
Delighted to share that our work is published in @FrontNeurosci! 😁 We show that Asrij/OCIAD1 facilitates microglial immune responses and neuroinflammation during aging in mice. 🧠🔥 https://t.co/nE8sqxvPMT @InamdarManeesha @govindaraju_tgr @MADHUR1022 @DBT_inStem @jncasr
Tweet card summary image
frontiersin.org
Aging is characterized by chronic low-grade neuroinflammation, which increases the risk of neurodegenerative disorders. Neuroinflammation, driven by the acti...
4
6
21
@RaiYashashwinee
Yashashwinee Rai
2 months
It was an absolute pleasure to attend the #EMBO-LD Workshop at Girona, Spain from 21-26 Sept. Thrilled to share that I got the EMBO travel grant and the best poster award! Grateful to the organizers @MariaBohnert @BiancaSchrul and Robin for the wonderful meeting & the venue! 😍
5
3
15
@Hema_News
Hematopoiesis News
2 months
.@_AishPrakash and Dr. @InamdarManeesha show that during the endothelial-to-hematopoietic transition in the mouse embryo, dynamic changes in mitochondrial activity drive the production of hematopoietic stem and progenitor cells with differing potencies. https://t.co/JSytGZVIrL
0
7
21
@CellReports
Cell Reports
2 months
Mitochondrial-activity-driven hematopoietic stem cell fate and lineage choice is first established in the aorta-gonad-mesonephros
Tweet card summary image
cell.com
Prakash and Inamdar show that mitochondrial remodeling during the endothelial-to-hematopoietic transition (EHT) drives hematopoietic stem and progenitor cell (HSPC) formation. Differential mitochon...
1
11
38
@_AishPrakash
Aishwarya Prakash
2 months
Excited to share that a major part of my PhD work is out now in @CellReports!! We show that mitochondria shape blood stem cell formation and function during embryogenesis, setting the stage for healthy blood production throughout life. @InamdarManeesha https://t.co/hIVnY9LsB1
5
5
44
@RohanKhadilkarr
Rohan Khadilkar
3 months
Bend it like Bendless!! We are on the Rxiv @biorxivpreprint this month with our new story on the role of K63 ubiquitination in regulating signalling during hematopoiesis! Congrats team 👏🎉 Wish us luck :) @biopatrika @VoicesofIndAcad https://t.co/Pdt3OU3WPL
Tweet card summary image
biorxiv.org
Ubiquitination is a reversible modification whose traditional role has been associated with K48-linked poly-ubiquitination involved in proteasomal degradation. However, the role of K63-linked...
4
13
51
@shalinhnaik
Shalin Naik
5 months
Now out in the July 10th issue of @CellCellPress LoxCode in vivo barcoding reveals epiblast clonal fate bias to fetal organs: Cell
1
20
108
@PratsDongre28
Prathamesh Dongre, PhD
5 months
Officially Dr. Prathamesh Dongre! 🎓✨ Thrilled to share that I have completed my PhD in Cellular and Molecular Biology from @jncasr. Huge thanks to my family, friends, and lab members for unwavering support! 🧪 🔬 Onto the next one! ❤️
6
2
44
@Dev_Cell
Developmental Cell
5 months
Online now: Eomes directs the formation of spatially and functionally diverse extraembryonic hematovascular tissues
Tweet card summary image
cell.com
Theeuwes, Harland, et al. show that an ESC-derived differentiation system mimics the formation of extraembryonic mesodermal tissues, including the yolk sac and allantois. Using this system alongside...
0
4
21
@RohanKhadilkarr
Rohan Khadilkar
5 months
Happy to share our work led by @Kishalay_ish & Rohit where we show how localized & systemic genetic modulation of cellular ageing can impact organ homeostasis. Accepted version out now! @Co_Biologists https://t.co/Smt8SwwChm @biopatrika @VoicesofIndAcad
21
14
127
@Satish__Khurana
Satish Khurana
6 months
Delighted to share our recent study now out @embojournal; https://t.co/hHc3s2elj5. We characterized the hematopoietic niche in adult spleen, a lesser known host for hematopoietic stem cells.
Tweet card summary image
embopress.org
imageimageThe spleen contains a rare population of hematopoietic stem cells (HSCs), but their homeostatic niche and functional regulation remain unclear. This study applies spatial proximity imaging...
28
14
92
@HaldarlabJNCASR
Haldar Lab
6 months
It brings us great joy to share that our PhD student, Mr. Yash Acharya, has been selected for the prestigious ASM Future Leaders Mentorship Fellowship (FLMP) by @ASMicrobiology Congratulations @yash_amr @NCU_JNCASR @jncasr #ASM #FLMP #AMR
9
4
54
@divyeshjoshidj
Divyesh Joshi
6 months
Excited to share our latest publication in @eLife: Rudhira-mediated microtubule stability controls TGFβ signaling during mouse vascular development https://t.co/2PFv2S6fgR Huge thanks to all the amazing co-authors @InamdarManeesha @PreetiJ89839688 and Ronak 🙂
Tweet card summary image
elifesciences.org
The precise integration of endothelial TGFβ signaling and microtubule stability directs cardiovascular development.
5
10
28
@josh_brickman
Josh Brickman
7 months
How does metabolism act through generic chromatin modifiers promote specific cellular states? Simultaneous modification of transcription factors and chromatin, enhancing epigenetic signal to noise ratios. https://t.co/SUx8ZninUo
Tweet card summary image
embopress.org
imageimageHow alterations in cell metabolism translate into specific developmental gene programs remains a major question. This study shows that forcing OXPHOS metabolism reprograms mouse embryonic...
2
13
38
@gifaymok
Geoff Mok
7 months
🚨 New review out! 🚨 With my amazing PhD student @lydia_pouncey we dive into how the chick embryo has helped shape our understanding of developmental haematopoiesis and the technologies to tackle fundamental questions🩸🧬 Read it here 👇 🔗 https://t.co/88iVWGjinc
0
9
20
@vineethvengayil
Vineeth V
7 months
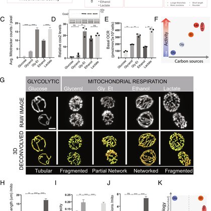
Excited to share my co-first author paper from Sunil Laxman's lab, now out in PNAS @PNASNews on mitochondrial activity independent regulation of mito-morphology via ROS. Great working with Gaurav, Aayushee & @a_swagata #Mitochondria #Metabolism #Redox
Tweet card summary image
pnas.org
Mitochondria are dynamic organelles that constantly change morphology. What controls mitochondrial morphology however remains unresolved. Using act...
6
22
128
@BricDbt
BRIC DBT
8 months
Exciting progress in Alzheimer’s research! 🧠 Prof. Maneesha Inamdar’s lab at BRIC-inStem is advancing studies on Asrij/OCIAD1 to reduce neuroinflammation and improve brain health. Congratulation! @DBTIndia @DBT_inStem
0
3
15