dpatweet Profile Banner
The Digital Pathology Association Profile
The Digital Pathology Association

@dpatweet

Followers
6K
Following
456
Media
2K
Statuses
3K

The DPA encourages sharing of best practices & promotes use of the technology in order to demonstrate efficiencies, awareness & its benefits to patient care.

Carmel, IN
Joined September 2010
Don't wanna be here? Send us removal request.
@dpatweet
The Digital Pathology Association
1 day
This case presents a diagnostic puzzle from the skin: a slowly enlarging erythematous papule in a 62-year-old man. Review the case to determine the most likely diagnosis. Contributed by Abhimanyu Tushir, MD: https://t.co/p2QdO4YnuD
0
0
2
@dpatweet
The Digital Pathology Association
1 day
At PathVisions 2025, DAPA Trainee Eunice Chou gained insights and connections that will carry into her career. If you’re an early‑career pathologist or researcher eager to lead in digital pathology: applications are open to become a DPA Trainee. https://t.co/yEkQGpOk5H
0
0
0
@dpatweet
The Digital Pathology Association
3 days
For Travel Award winner and DAPA Trainee Sara Niyazi, getting to attend the annual conference was an opportunity to connect with colleagues and leaders who are pushing the field forward. Interested in becoming a DAPA Trainee? Applications are open now: https://t.co/42K2vPduZV
0
0
1
@dpatweet
The Digital Pathology Association
4 days
A well-defined lesion in the distal femur raises suspicion on imaging. After curettage and bone grafting, histology reveals more. Can you identify the mutation most characteristic of this entity? Contributed by Haiyan Qiu, MD: https://t.co/ULYugVh9ys
0
0
1
@dpatweet
The Digital Pathology Association
5 days
Our PathVisions25 Travel Award winners get a front-row seat to industry leaders and in-depth conversations about the future of digital pathology. See what winner Juan Pablo Pastene de la Fuente, MT, had to say about his experience being a part of PathVisions this year.
0
0
0
@dpatweet
The Digital Pathology Association
8 days
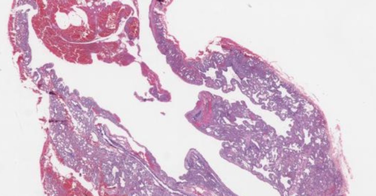
This case follows a 2-month-old male with respiratory distress and radiologic evidence of cystic lung changes prompting surgical resection. Review the whole slide image and make your call in this case from Eunice Chou, MD: https://t.co/2wzZW8GsOr
0
0
1
@dpatweet
The Digital Pathology Association
9 days
Is digital pathology and augmented/artificial intelligence the key to overcoming some of our biggest healthcare challenges? That's the question Lewis Hassell, MD, asks in our latest blog. Let us know what you think in the comments: https://t.co/8Mw7FfuqvI
0
0
1
@dpatweet
The Digital Pathology Association
11 days
Applications are now open for the 5th annual Digital Anatomic Pathology Academy (DAPA) content team. Apply before December 1, 2025 to help advance digital pathology education: https://t.co/Gxpc3ccZHb
0
0
1
@dpatweet
The Digital Pathology Association
12 days
DPA members are driving change by putting patient perspectives at the center of innovation, including member Esther Abels of SolarisRTC. Join a community committed to advancing digital pathology in meaningful, human-centered ways. Become a member today.
0
0
1
@dpatweet
The Digital Pathology Association
15 days
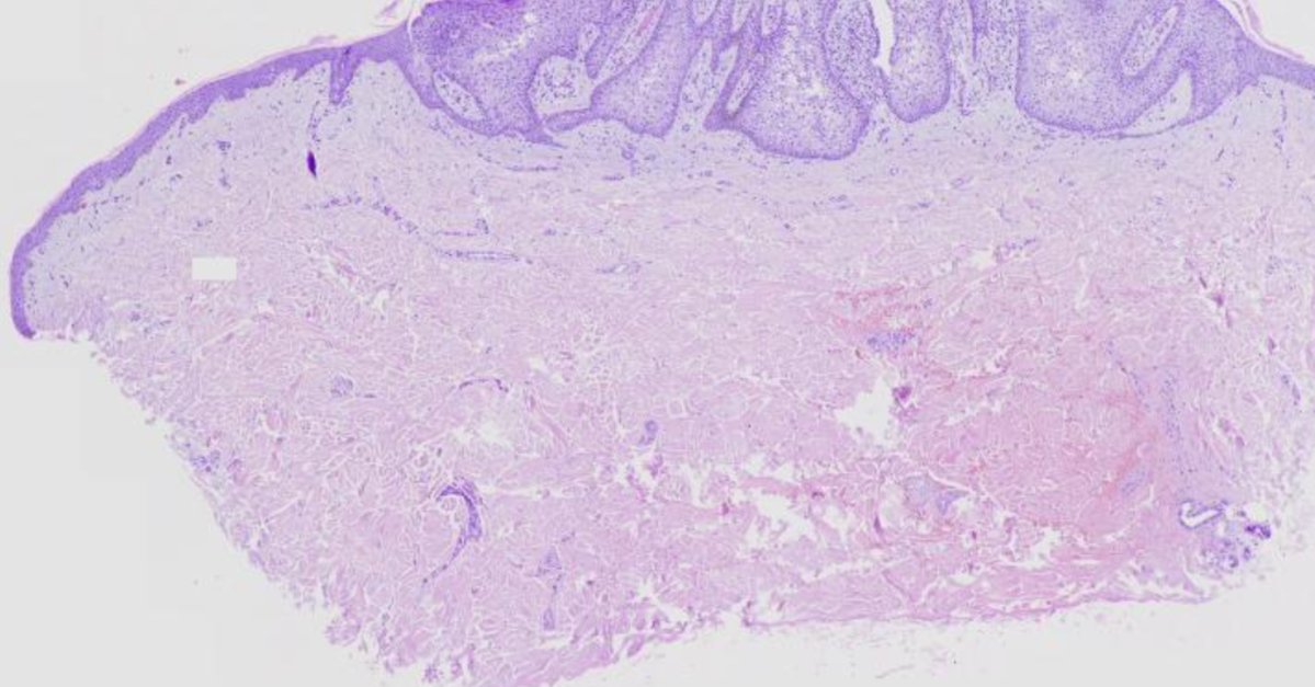
This case features a 42-year-old male with an indurated cutaneous lesion. Biopsy results reveal the underlying pathology, but do you know which genetic alteration is most commonly linked to this entity? Case by Sara Niyazi, MD: https://t.co/95T9QapI47
0
0
1
@dpatweet
The Digital Pathology Association
15 days
That’s a wrap on #PathVisions25 — where a record-breaking crowd of over 1,000 digital pathology professionals came together in San Diego to push the field forward. See you next year back in sunny San Diego! 📍 Save the Date PathVisions26 Oct 16–18, 2026 San Diego, California
0
0
1
@dpatweet
The Digital Pathology Association
17 days
Join us in Columbus, OH this December for the 2025 Digital Pathology Workshop and Bootcamp, co-sponsored by DPA and The Ohio State University. 🗓️ December 5–6 📍 The Blackwell Inn, OSU Campus Seats are limited—register now to secure your spot: https://t.co/TPbtZifmw6
0
0
2
@dpatweet
The Digital Pathology Association
18 days
DPA connects pathologists worldwide to inspire meaningful conversations that drive innovation. As a member, you get access to our directory of over 4,000 thought leaders and researchers so you can collaborate and learn together. Learn more: https://t.co/CIsLlFYoTW
0
0
0
@dpatweet
The Digital Pathology Association
19 days
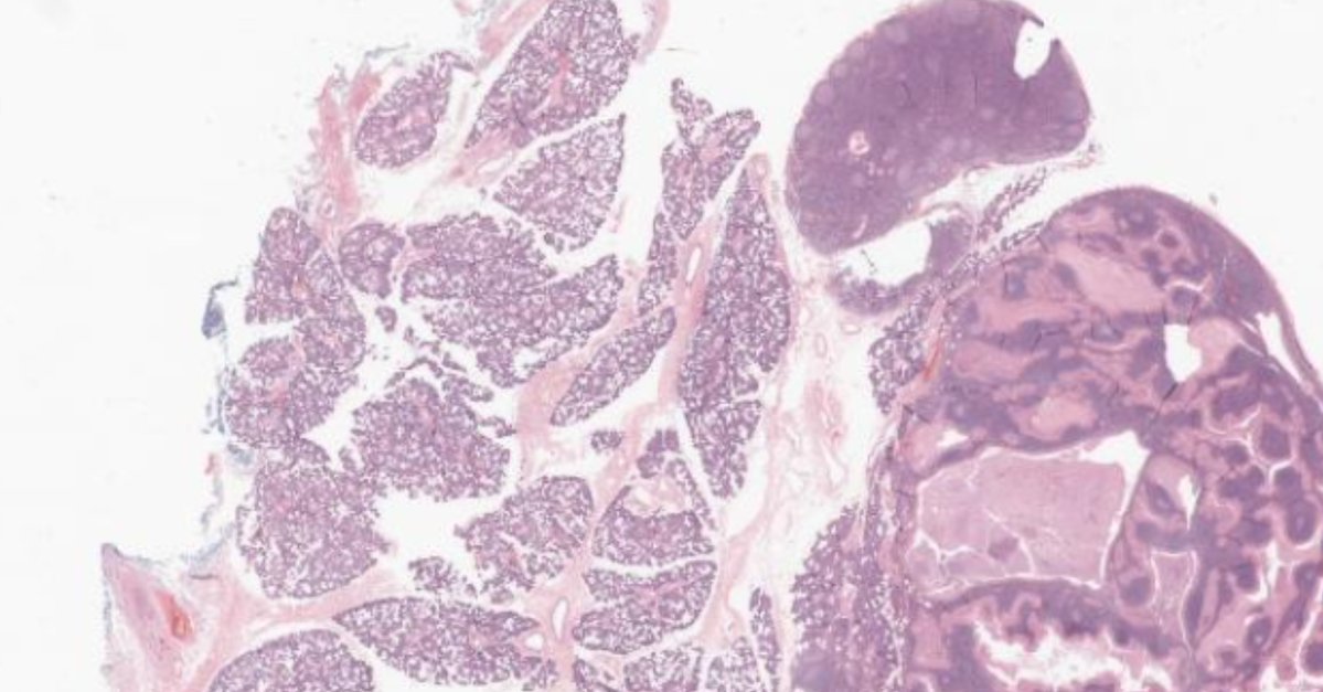
This month’s case features a classic clinical scenario: a painless lesion in the tail of the parotid gland, followed by excision and histologic analysis. Can you pinpoint the most accurate diagnostic insight? Case by Sara Niyazi, MD: https://t.co/4zj6neKDG6
0
0
0
@dpatweet
The Digital Pathology Association
23 days
The DPA Board of Directors is seeking professionals to help guide the direction of our organization and advance digital pathology and AI in healthcare. Application deadline: November 23, 2025, at 11:59 PM ET Ready to lead with purpose? Learn more today: https://t.co/RvALOo9hRd
0
0
0
@dpatweet
The Digital Pathology Association
24 days
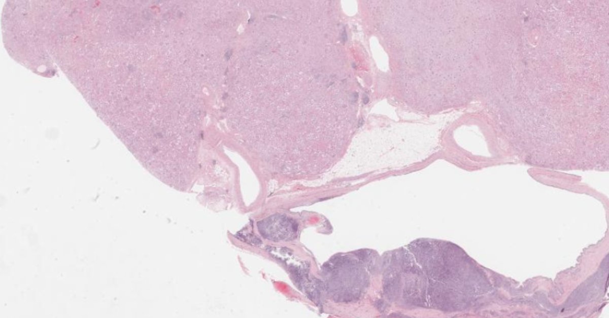
This month’s case challenges your diagnostic eye: a 1 cm well-circumscribed cortical lesion, no necrosis or vascular invasion, and a partial nephrectomy performed. Explore the histology and test your interpretation with this case by Haiyan Qiu, MD: https://t.co/kYa08bpusT
0
0
0
@dpatweet
The Digital Pathology Association
24 days
Join us for the next 2025 DPA Webinar, where global leaders will share practical strategies for integrating digital pathology at an institutional level, from infrastructure and workflow to compliance and change management. Register today: https://t.co/nKlT10c5So
0
2
3
@dpatweet
The Digital Pathology Association
25 days
We're proud to partner with the Asian Society of Digital Pathology (ASDP) at the 14th Asia Pacific International Academy of Pathology (AP-IAP) Congress. Learn more about the Congress and join the digital pathology conversation this November: https://t.co/GklNZlgHOC
0
0
0
@dpatweet
The Digital Pathology Association
25 days
We're proud to partner with the Asian Society of Digital Pathology (ASDP) at the 14th Asia Pacific International Academy of Pathology (AP-IAP) Congress. Learn more about the Congress and join the digital pathology conversation this November: https://t.co/GklNZlgHOC
0
0
0
@dpatweet
The Digital Pathology Association
25 days
Mark your calendar for PathVisions26, happening October 16–18, 2026, in San Diego, CA! Don’t miss the chance to be part of what’s next. Registration opens soon. DPA members receive discounted registration: https://t.co/qck5rsBGfL
0
0
0