SarasSreeram Profile Banner
Saraswathy Sreeram Profile
Saraswathy Sreeram

@SarasSreeram

Followers
1K
Following
10K
Media
58
Statuses
6K

Associate Director - Alumni Relations, MAHE Mangalore and Bangalore campuses, Associate Professor of Pathology; Interests: Nephro/Uro-pathology

Kasturba Medical College, Mangalore, Manipal Academy of Higher Education
Joined March 2018
Don't wanna be here? Send us removal request.
@rovingatuscap
Samson W. Fine, MD
14 days
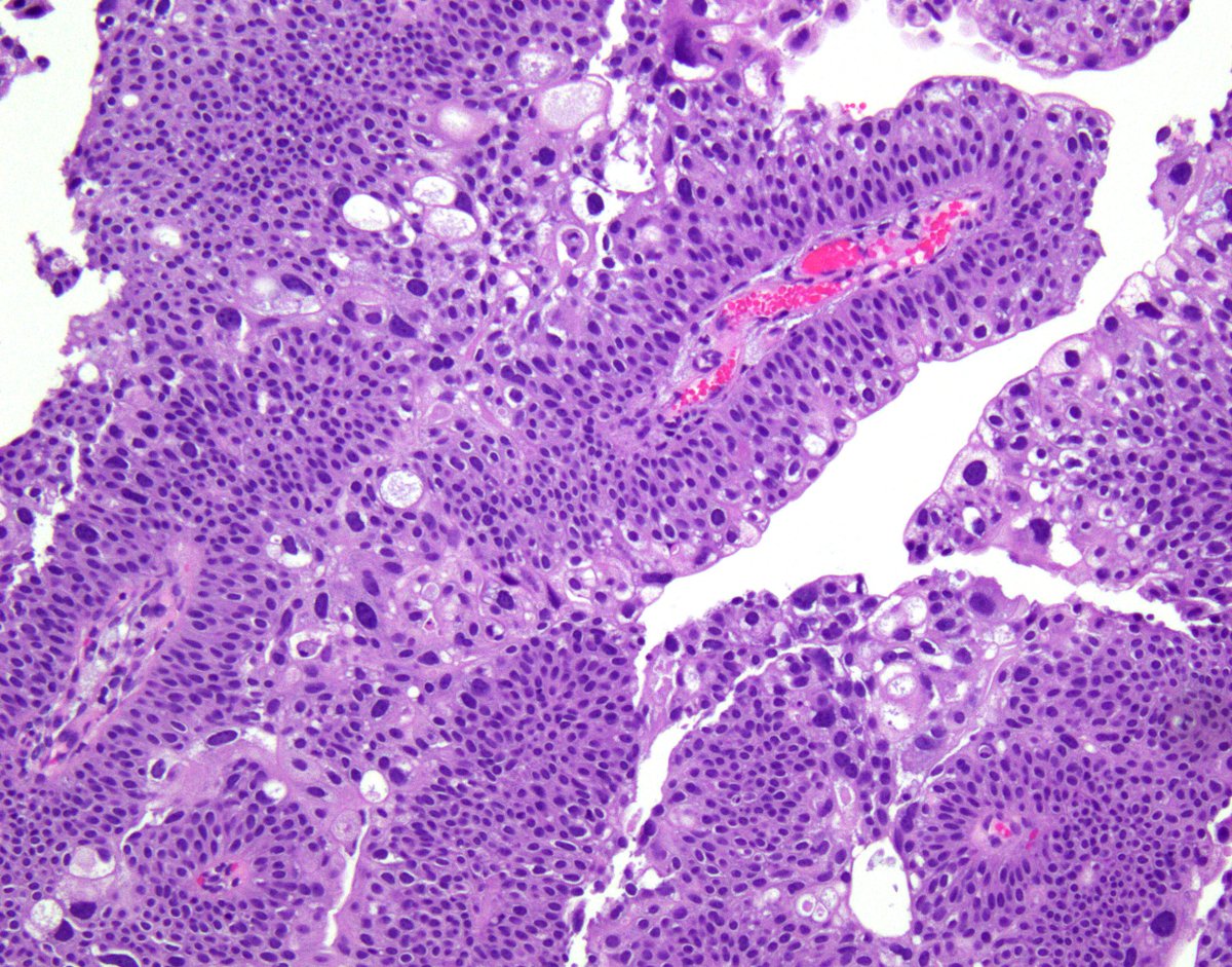
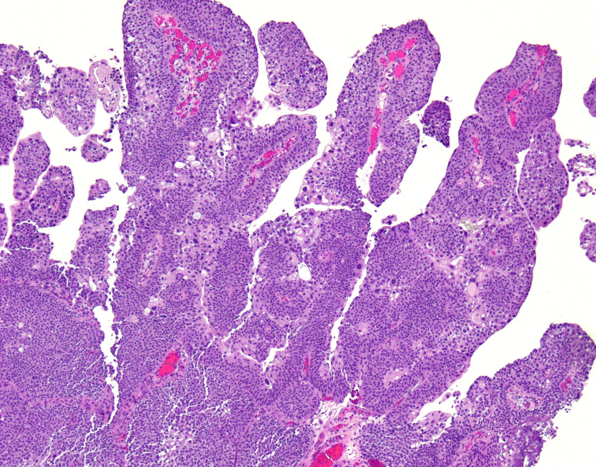
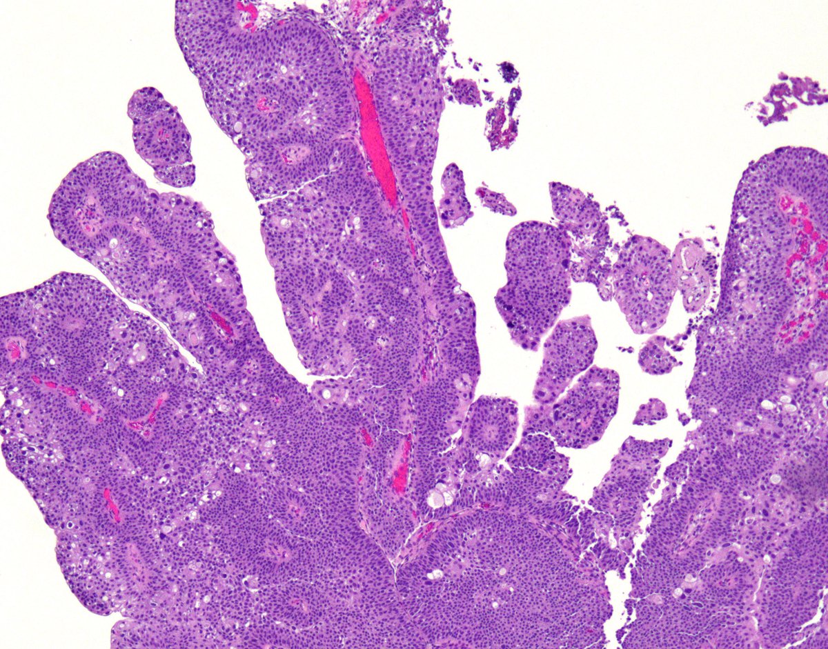
🚨Diagnostic Pitfall Alert!! When encountering extreme umbrella cell atypia, fusion of papillae within a tumor can convey a higher grade appearance #gupath😱 beware!
7
32
116
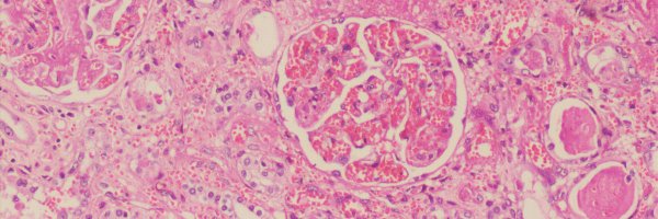
@arkanalabs
Arkana Laboratories
8 days
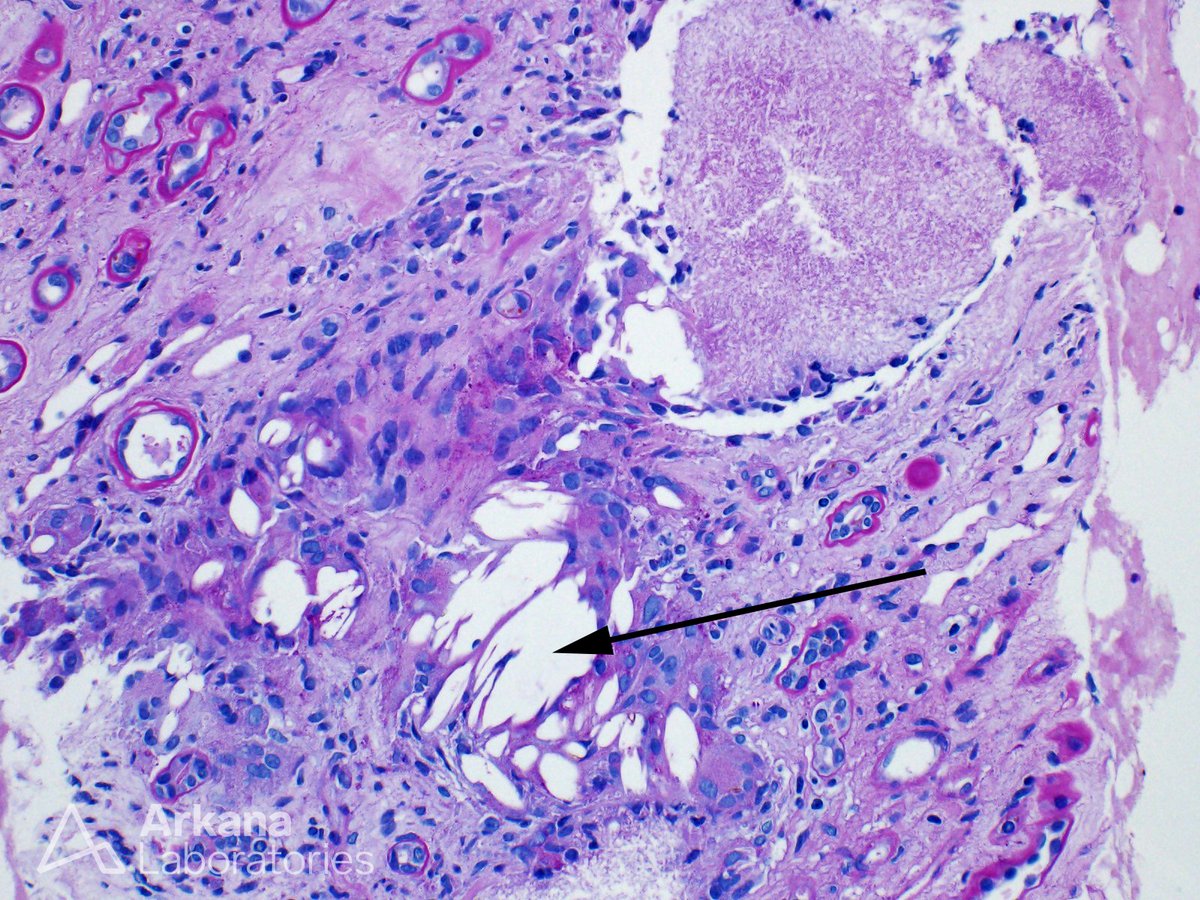
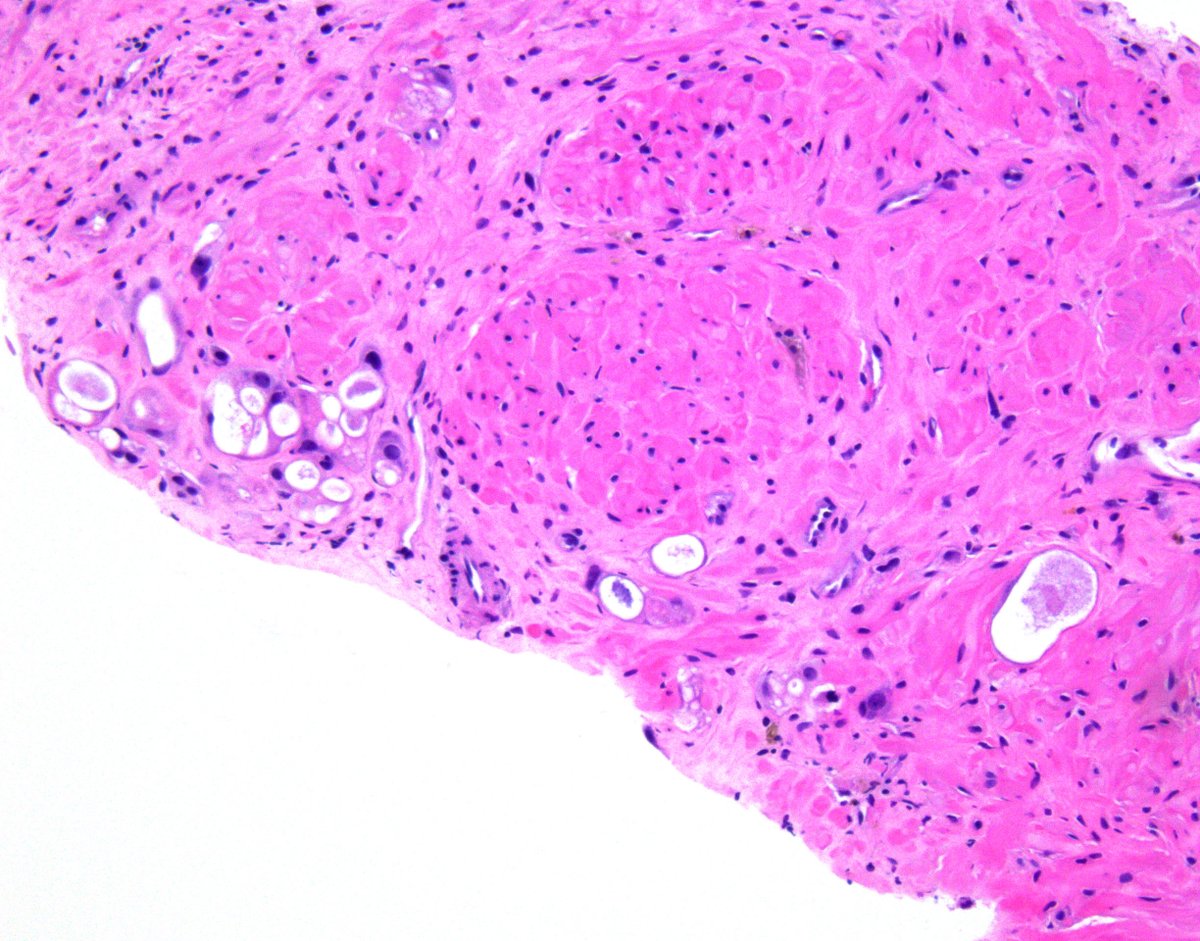
This biopsy shows the characteristic features of uric acid nephropathy (commonly known as gout), which results from precipitation of uric acid in the kidney parenchyma. Tophi frequently occur in the medulla, and usually consist of central regions of acellular, granular material
1
13
33
@IntSocUropath
International Society of Urological Pathology
3 years
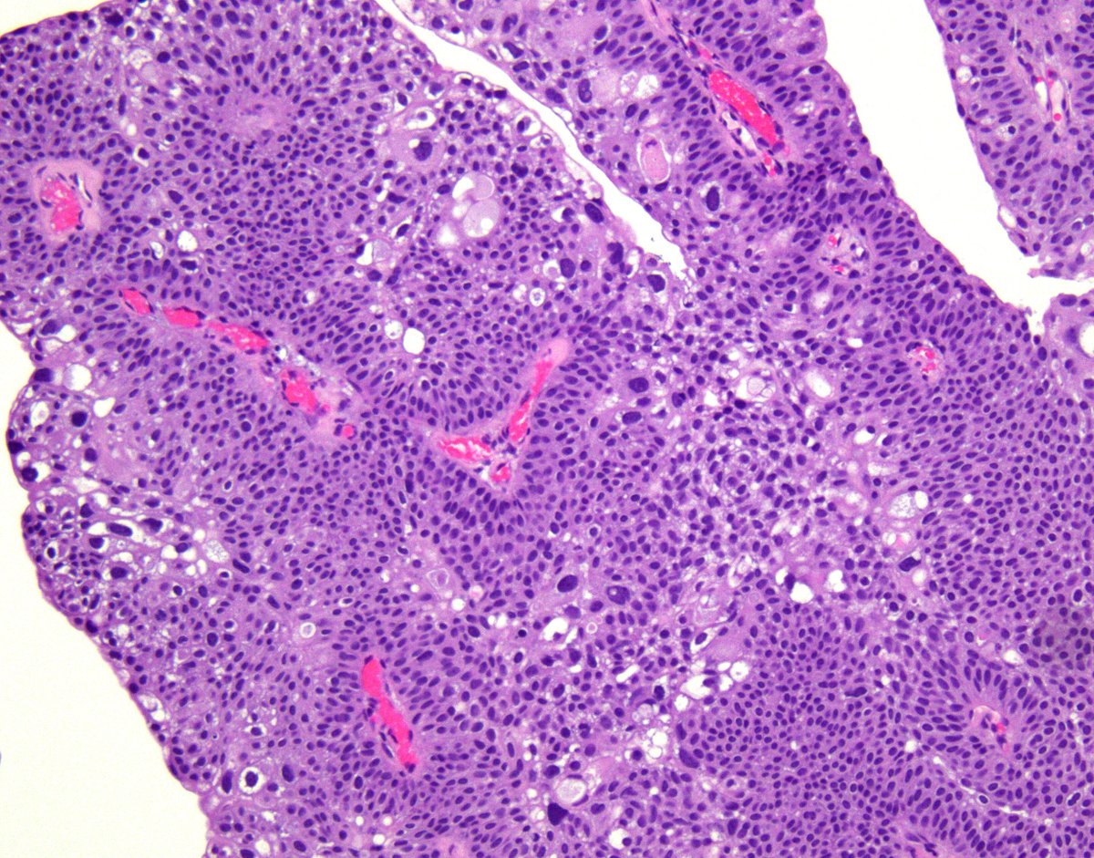
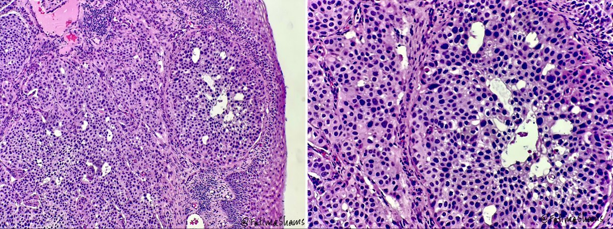
Case of the month May 2023 47F with bladder wall mass ➕ GATA3, SYN, CG, INSM1 ➖ CK AE1/AE3 S-100 protein highlights sustentacular cells Authors: Katrina Collins (@SueEPig), Jessica L. Davis, Andres Acosta (@Andres_M_Acosta) @IndianaPath #IUpath
2
36
96
@roboonya
Boonyarit Cheunsuchon, MD
9 days
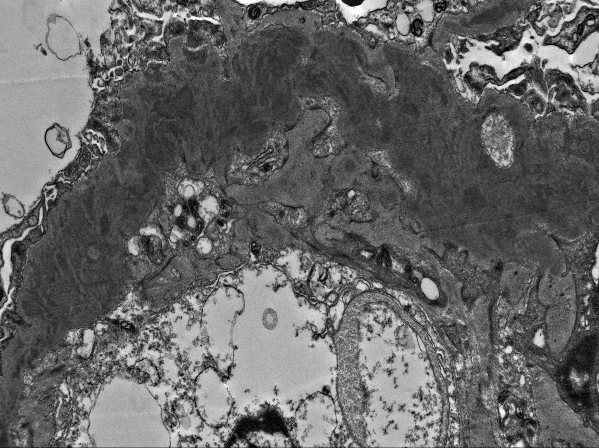
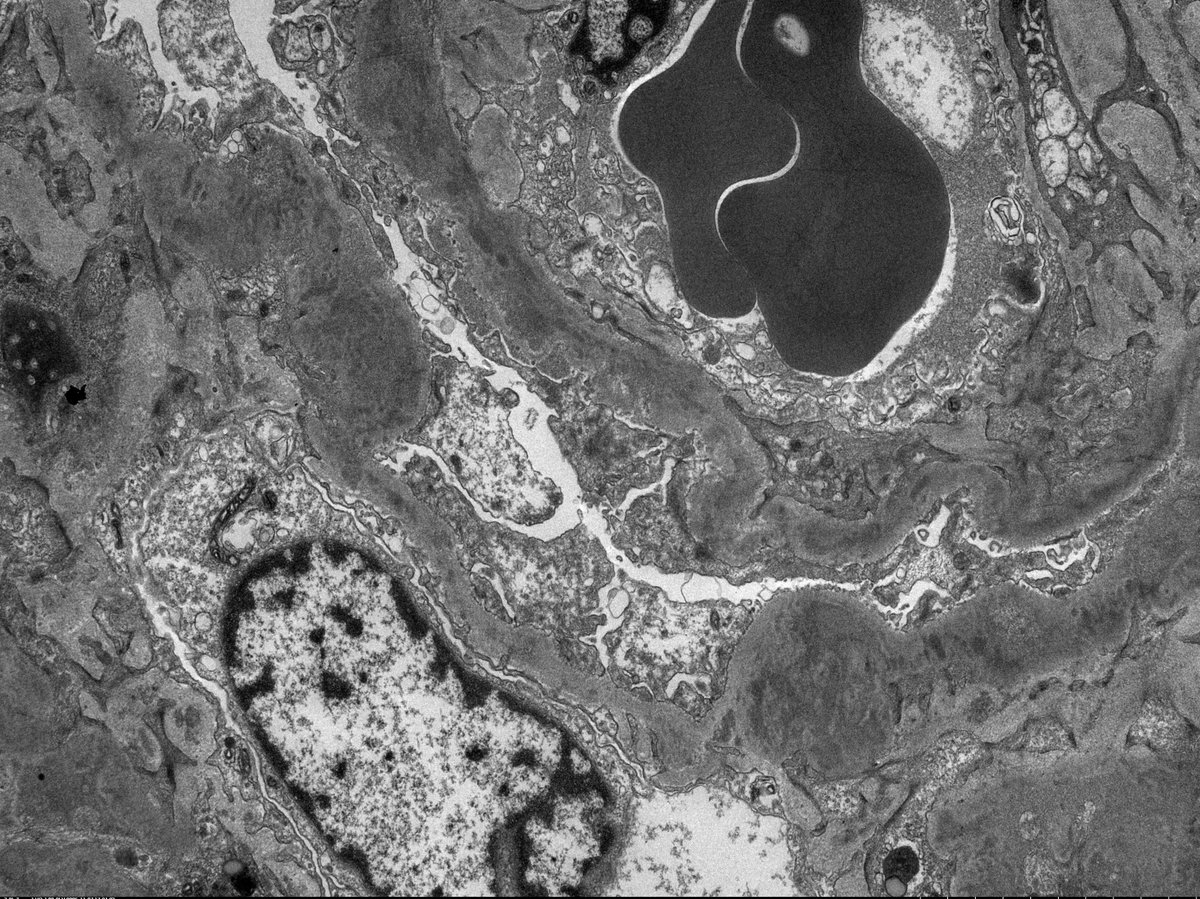
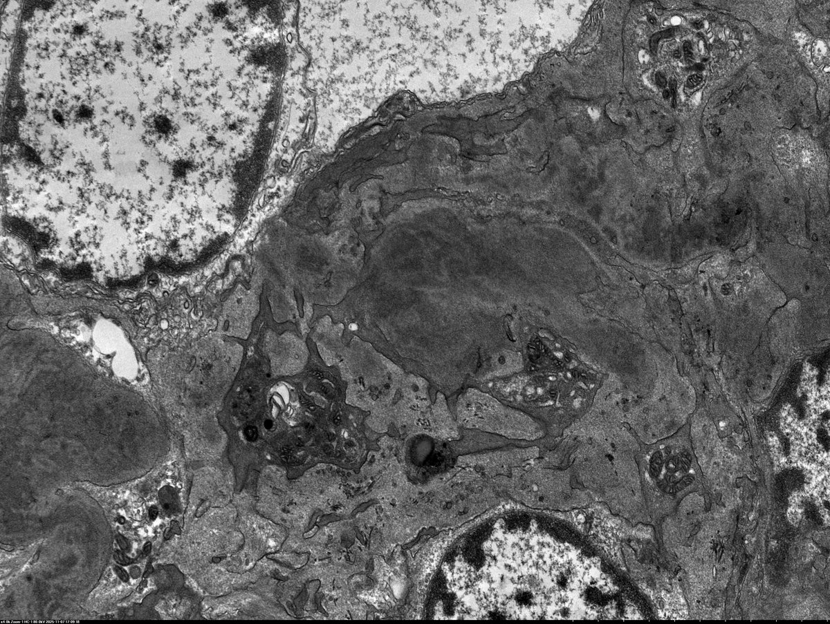
C3 GN in 11 yo boy with proteinuria, hypertension, low C3 (normal C4). EM shows irregular thickening of glomerular capillary wall and mesangial expansion by electron dense deposits. The deposits are somewhat ill-defined with early sign of resorption.
1
14
32
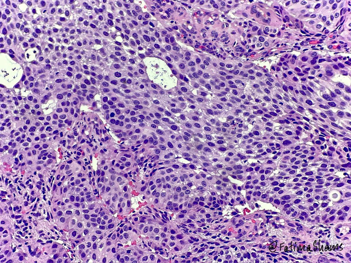
@FatimaShamsPath
Fatima Shamsuddin
3 days
👉68YO female with prior cystectomy for urothelial carcinoma now presents with postmenopausal bleeding and a suspicious cervical mass. ⁉️ What is your diagnosis, and what additional work-up would you perform? #pathtwitter #gynepath #uropath #pathresidents #pathology #surgpath
5
4
24
@LoboAnandi
Anandi Lobo, MD
8 days
#GUPath 🔬 Happening next week in the GU Pathology Series by MEU India! 🗓️ 17th November 2025 ⏰ 8 PM IST | 6:30 AM PT | 9:30 AM ET |2:30 PM UK Time 🎙️ Speaker: Dr. Aiman Haider 🎯 Topic: An Update on the NEUROSafe Study Results Don’t miss it! 👇Register here
1
4
6
@rovingatuscap
Samson W. Fine, MD
27 days
Textbook images of prostate NB with therapy-related changes #gupath ☢️ Poorly-formed glands/single cells w/vacuolization & prominent nucleoli = #ProstateCancer ☢️ Multi-layered glands w/eosinophilic cytoplasm, variable nuclear size & fine peri-glandular fibrosis = Benign
2
22
62
@KMC_Mangalore
KMC Mangalore
30 days
Proud of Dr. Nitish Mathur (MD Gen Med, 2017–2020) for securing National Rank 1 in the UK Higher Specialty Training (HST) intake for Endocrinology #KMCMangalore #Endocrinology #HST #NEETSS #Alumni
0
2
6
@KMC_Mangalore
KMC Mangalore
30 days
White coats → windbreakers. MBBS ’88 took on Gokyo Ri (2025) and came back with bigger smiles and better stories. #BatchOf1988 #GokyoRi #TrekLife #ReunionVibes
0
1
4
@FatimaShamsPath
Fatima Shamsuddin
28 days
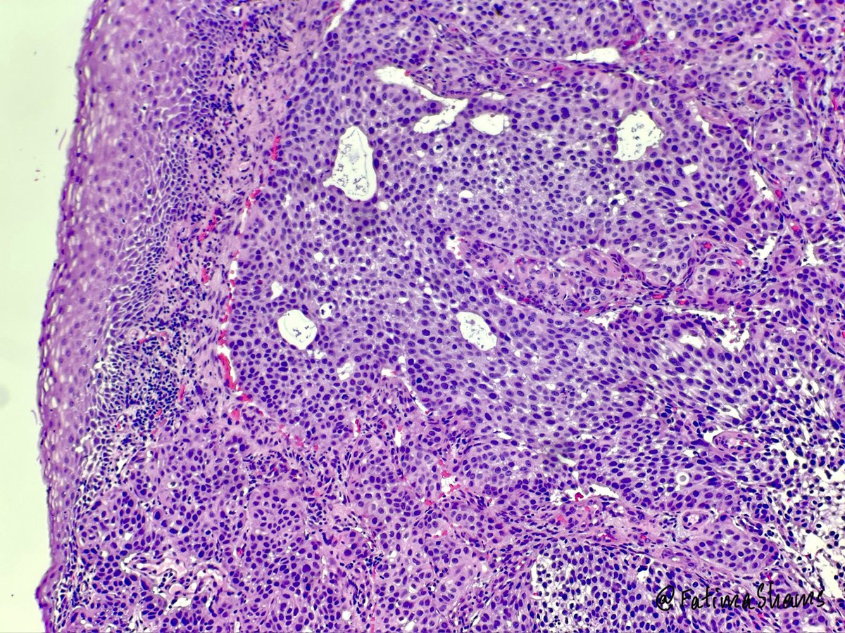
💎 Papillary Renal Cell Carcinoma (PRCC) in Acquired Cystic Kidney Disease ⚓️ Definition: PRCC is a malignant epithelial tumour with papillary or tubulopapillary architecture — the second most common renal cell carcinoma (13–20%). ⚓️ Association: Seen in patients with end-stage
1
15
36
@FatimaShamsPath
Fatima Shamsuddin
1 month
👉 41 YO male with history of renal transplant. Gross image of native kidney. #PathTwitter #GUpath #Surgpath #Pathology #Pathresidents #renalpath Microscopy provided here https://t.co/iCU3zsc8dn
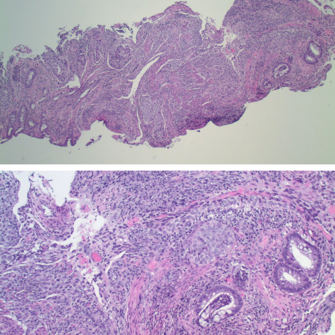
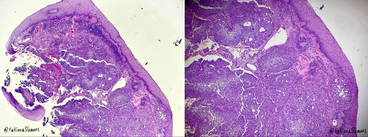
@FatimaShamsPath
Fatima Shamsuddin
1 month
👉 41 YO male with history of renal transplant. Histology provided from the native kidney. What is your diagnosis? #PathTwitter #GUpath #Surgpath #Pathology #Pathresidents #renalpath
2
2
11
@FatimaShamsPath
Fatima Shamsuddin
1 month
👉 41 YO male with history of renal transplant. Histology provided from the native kidney. What is your diagnosis? #PathTwitter #GUpath #Surgpath #Pathology #Pathresidents #renalpath
2
4
13
@slusagar
Ankur Sangoi
1 month
when #GIpath meets #GUpath: sigmoid colon mass bx: metastatic urothelial carcinoma (patient had h/o pT3 upper urothelial tract ca)
0
8
36
@SethiRenalPath
Sanjeev Sethi
1 month
Podocytopathies: Our studies show that no matter the type of injury- in minimal change disease & FSGS- there is loss of podocyte proteins suggesting a common final pathway. 1/2 Mass spectrometry of minimal change disease and focal segmental glomer...
1
42
108
@slusagar
Ankur Sangoi
1 month
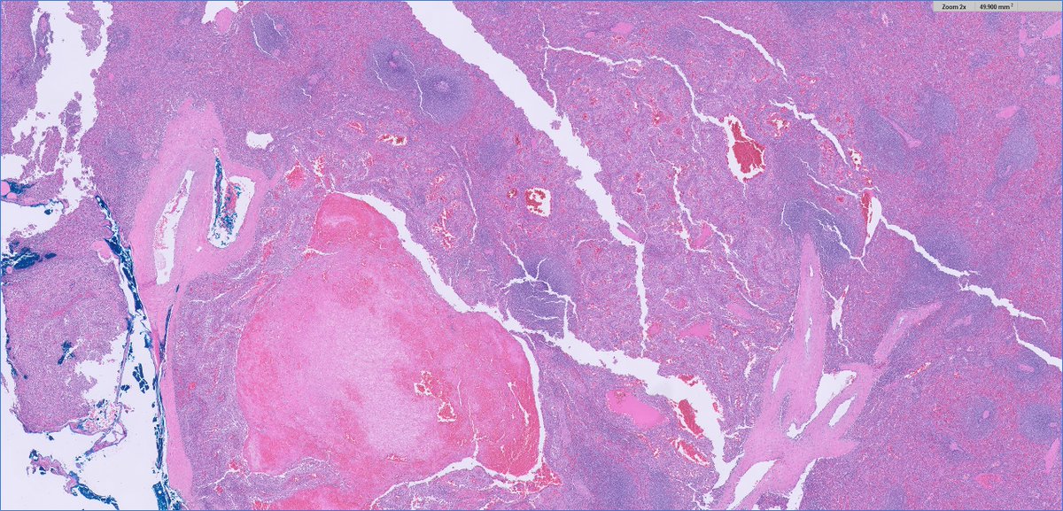
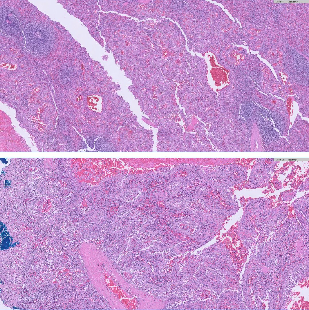
#surgpath🧩time! middle-aged M with remote h/o RCC (details unknown) now presents with splenic mass, splenectomy performed ❓🤔🔬
4
13
44
@arkanalabs
Arkana Laboratories
1 month
Here is today’s #eyeSCANdy! Acellular scanning EM showing normal glomerular tuft at top and segmental necrosis at bottom.  Photo courtesy of Dr. Stephen Bonsib. #renal #pathology #kidneypath #nephx
0
7
26
@JZRenalPath
Jonathan Zuckerman MD PhD
1 month
Teenager with nephrotic syndrome. Biopsy revealed unusual case of membranous nephropathy in a peds patient. PLA2R positive (IHC). PLA2R most common antigen in peds MN. EXT2 also common, SEMA3B less common. ( https://t.co/zEASwdQXIe) #renalpath #pathsky #nephsky
3
23
76
@arkanalabs
Arkana Laboratories
1 month
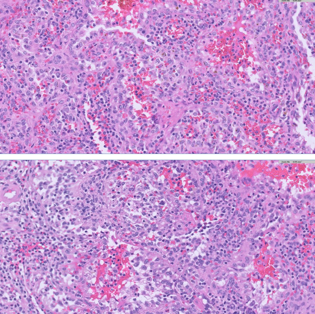
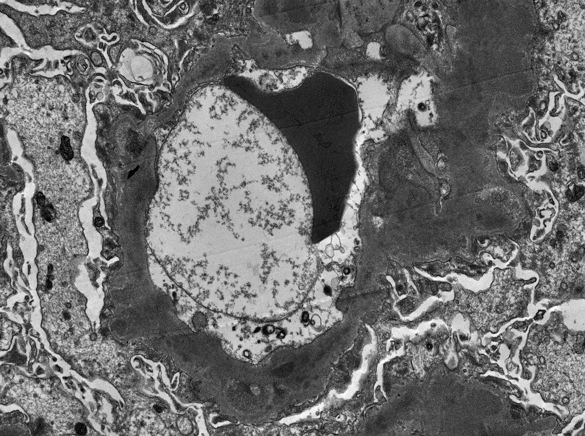
What is your diagnosis in a patient (non-smoker) with worsening proteinuria and a negative immunofluorescence panel? #DiagnoseThis #pathology #renal #kidneypath #nephx #pathx
11
26
86
@LaraHarikMD
Lara Harik MD
1 month
What is your diagnosis? #prostate #gupath #pathology #pathres
10
16
71