LaraHarikMD Profile Banner
Lara Harik MD Profile
Lara Harik MD

@LaraHarikMD

Followers
2K
Following
5K
Media
237
Statuses
3K

GU Pathologist & Researcher Medical Director, Clinical Laboratories HSL Chair, Cancer committee @Pathologists

Emory University, Atlanta, GA
Joined December 2019
Don't wanna be here? Send us removal request.
@LaraHarikMD
Lara Harik MD
5 years
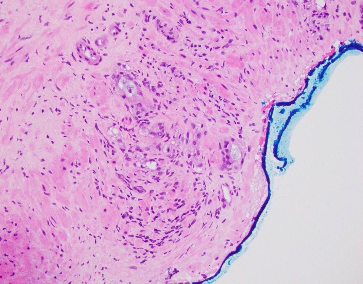
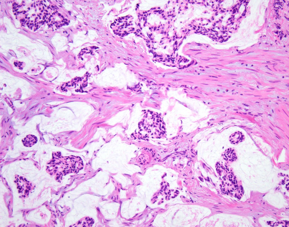
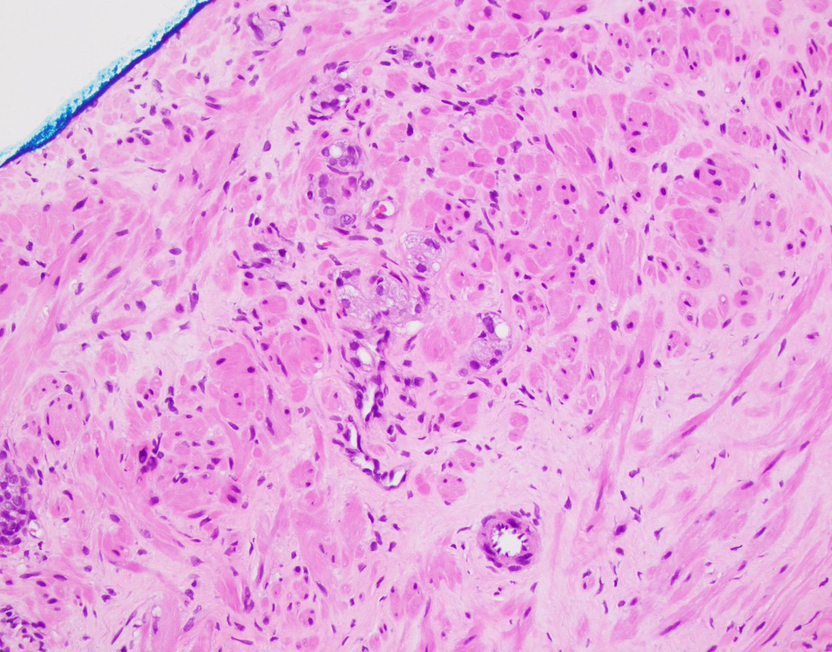
Acquired cystic disease of the kidney lesions #GUPATH: A Thread 👇 Grossing is important ✅Describe and sample all solid or partly solid lesions separately. ✅Include location, size, & distance from other lesions ✅Pay attention for involvement of perinephric and renal sinus
4
65
114
@GTurashviliMD
Gulisa Turashvili, MD, PhD
5 days
The @Pathologists Cancer Committee and #CPDS staff meet again in San Francisco, CA, with this working meeting focusing on optimization of cancer protocols. We are united in our mission to advance cancer care one cancer #protocol at a time! #pathology #pathtwitter
0
2
9
@LaraHarikMD
Lara Harik MD
9 days
Thanks to all who responded! PIN-like PCA 33=6, GG1 🛑⚡️don't brush off as HGPIN-can be tricky on needle biopsies Used to be called HGPIN-like ductal PCA but now re-classified as acinar References: PMID 35758185 & 29297491 #GUPATh #pathology #pathres
@LaraHarikMD
Lara Harik MD
10 days
What is your diagnosis? #prostate #gupath #pathology #pathres
1
11
46
@LaraHarikMD
Lara Harik MD
9 days
Thanks to all who responded! I favored minute focus of PCA 3+4, with comment that assessing percentage of Gl4 is difficult in small foci ⚡️🛑 Sharing to highlight the spectrum of interpretation for small foci like this & danger of over-Gleason scoring them #gupath #pathology
@LaraHarikMD
Lara Harik MD
10 days
Single focus in well sampled #prostate (including snapshots of levels) How far would you go ASAP vs PCA Gleason Score? #GUPATH #pathology #pathres
0
5
26
@LaraHarikMD
Lara Harik MD
10 days
Single focus in well sampled #prostate (including snapshots of levels) How far would you go ASAP vs PCA Gleason Score? #GUPATH #pathology #pathres
23
12
48
@LaraHarikMD
Lara Harik MD
10 days
What is your diagnosis? #prostate #gupath #pathology #pathres
10
16
71
@rovingatuscap
Samson W. Fine, MD
14 days
Prostate cancer w/foamy gland features - note the pyknotic nuclei in foamy glands = deceptively benign-appearing Fortunately, as in this example, often admixed with usual acinar #prostatecancer with more amphophilic cytoplasm, prominent nucleoli, etc. #gupath
5
25
95
@gharik
Georges Harik
15 days
Awesome of @AcquiredFM to track down my 2001 thesis at @google that compression is understanding!
@AcquiredFM
Acquired Podcast
18 days
Live!
8
11
247
@rovingatuscap
Samson W. Fine, MD
1 month
Was great fun to educate with and learn from Drs. Lara Harik, Francesca Khani, & Jesse McKenney at the #CAP25 GU Pathology Long Course- thanks @KAMitchellR and @Pathologists Education Cmte for the opportunity!
6
7
69
@rovingatuscap
Samson W. Fine, MD
1 month
The #gupath Long Course launches 🚀 tomorrow, Tuesday 9/16 at #CAP25 - join us to learn about and how to address Diagnostic Challenges in Prostate, Bladder, & Kidney Cancer! @Pathologists @LaraHarikMD @FKhaniPath
@rovingatuscap
Samson W. Fine, MD
2 months
Thrilled to be joining Drs. Lara Harik, Francesca Khani, and Jesse McKenney for the #gupath Long Course at #cap25 in Orlando 9/16/2025 Join us to explore Practical Approaches to Contemporary Diagnostic Challenges in Kidney, Bladder, and Prostate Cancer @Pathologists
0
4
14
@PayalKapur5
Payal Kapur
2 months
I'm excited to speak at the Kidney Cancer Association's upcoming Virtual Patient Symposium on September 6! Join other kidney cancer patients and caregivers for a day of learning. Register here: https://t.co/Jjt0Ljalmh. @KidneyCancer @KCPUTSW @utswcancer @UTSW_Pathology
Tweet card summary image
kidneycancer.org
The Kidney Cancer Association is proud to host the 2025 Virtual Patient Symposium (VPS). Join us virtually and learn about kidney cancer from top experts and join discussions with fellow […]
0
2
14
@rovingatuscap
Samson W. Fine, MD
2 months
Thrilled to be joining Drs. Lara Harik, Francesca Khani, and Jesse McKenney for the #gupath Long Course at #cap25 in Orlando 9/16/2025 Join us to explore Practical Approaches to Contemporary Diagnostic Challenges in Kidney, Bladder, and Prostate Cancer @Pathologists
2
15
54
@LaraHarikMD
Lara Harik MD
3 months
@Kiril_T_Can @GTumors @Williamson_SR @MichelleDunno17 Not sure how to edit this post: the name has recently changed to clear cell papillary renal cell tumor; a nod to its indolent behavior
0
0
0
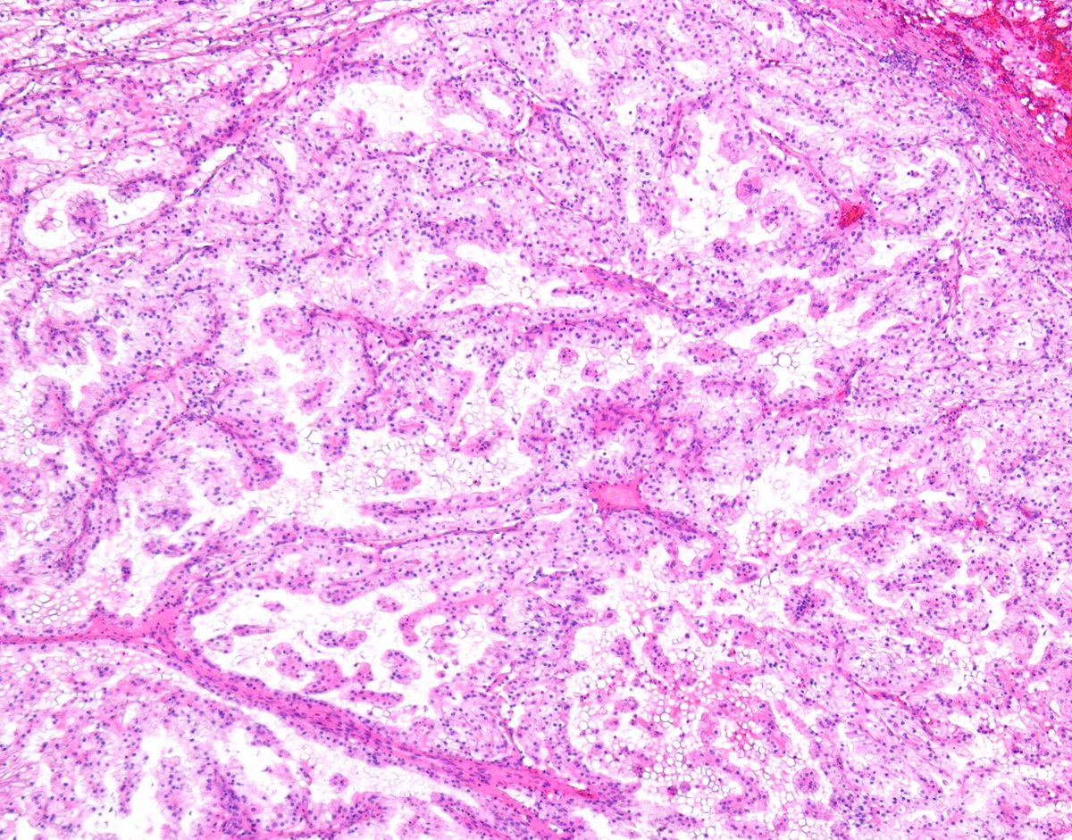
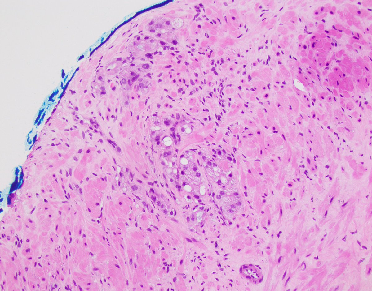
@rovingatuscap
Samson W. Fine, MD
5 months
Abrupt transition from low to high nuclear grade in this Clear Cell Renal Cell Carcinoma #gupath #kidneycancer - highlighting the importance of sampling
0
19
54
@MuraliV72899596
Murali Varma
6 months
Enjoy 2 excellent webinars discussing histological staging of bladder cancer with this link: https://t.co/xhtJQtK28E Eminent uropathologists Eva Comperat, Antonio Lopez-Beltran, Priya Kunju and Lara Harik outline their approach to resolving thorny staging issues.
Tweet card summary image
dropbox.com
Shared with Dropbox
3
20
44
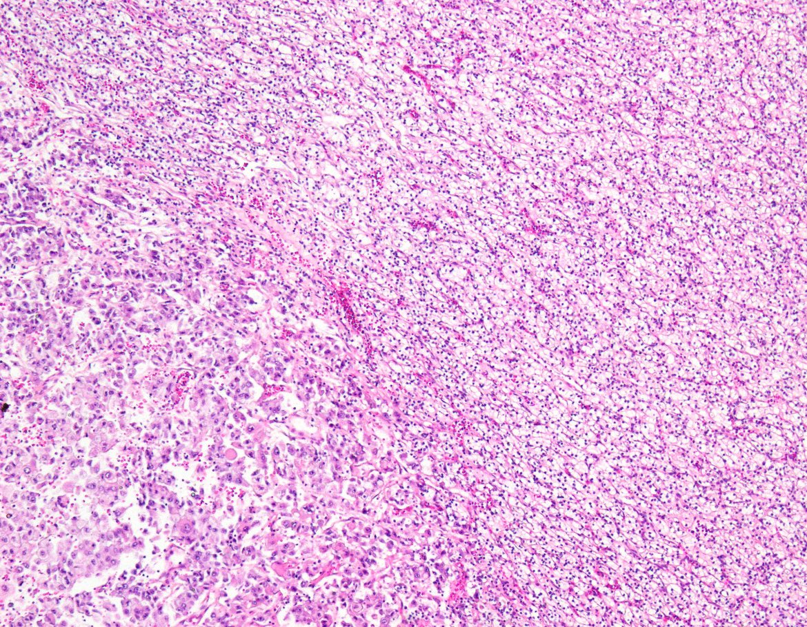
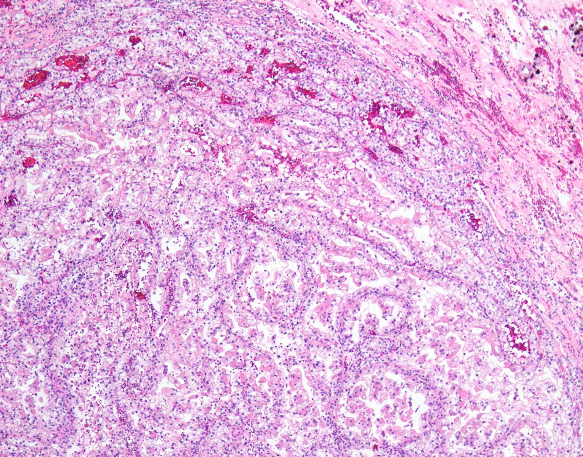
@rovingatuscap
Samson W. Fine, MD
6 months
In some Clear Cell RCC, when tumor becomes higher grade, cells become discohesive➡️'pseudo-papillary' appearance #kidneycancer #gupath In biopsies, this feature and variable clear to eosinophilic cytoplasm may raise a differential diagnosis which includes MiTF -family RCC
1
29
89
@rovingatuscap
Samson W. Fine, MD
6 months
Coarse eosinophilic granules (so-called 'Paneth-like') can be seen in all grades of #prostatecancer #gupath Unlike true Paneth cells [GI tract], these cells are neuroendocrine marker (+), do NOT contain lysozyme
1
23
72
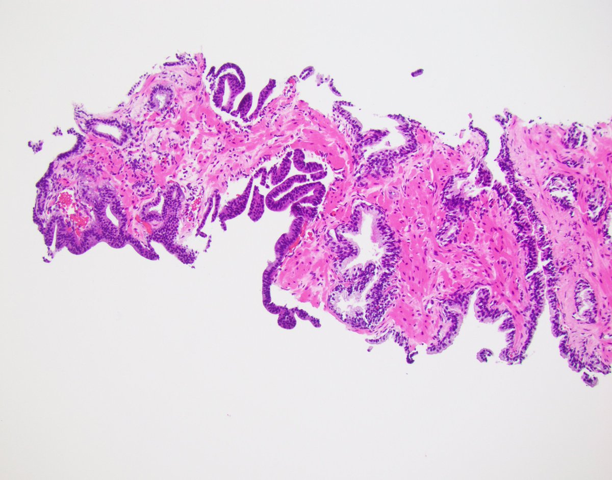
@rovingatuscap
Samson W. Fine, MD
6 months
Invasive adenocarcinoma (bladder) in a background of adenomatous change with dysplasia 🚫evidence of urothelial carcinoma (in situ/invasive) Reporting Comment: "We would accept this tumor as primary to this site in direct extension or metastasis from other sites can be excluded"
0
15
50
@Pathologists
CAPathologists
6 months
Can you spot the subtle differences in urinary bladder pathology? Put your skills to the test during this case-based CME webinar on flat and papillary bladder lesions. Don't miss out, register now! https://t.co/dzovlrz9y5
0
10
14
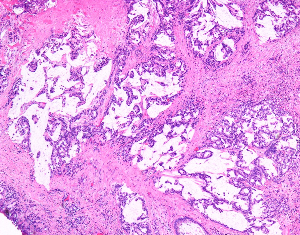
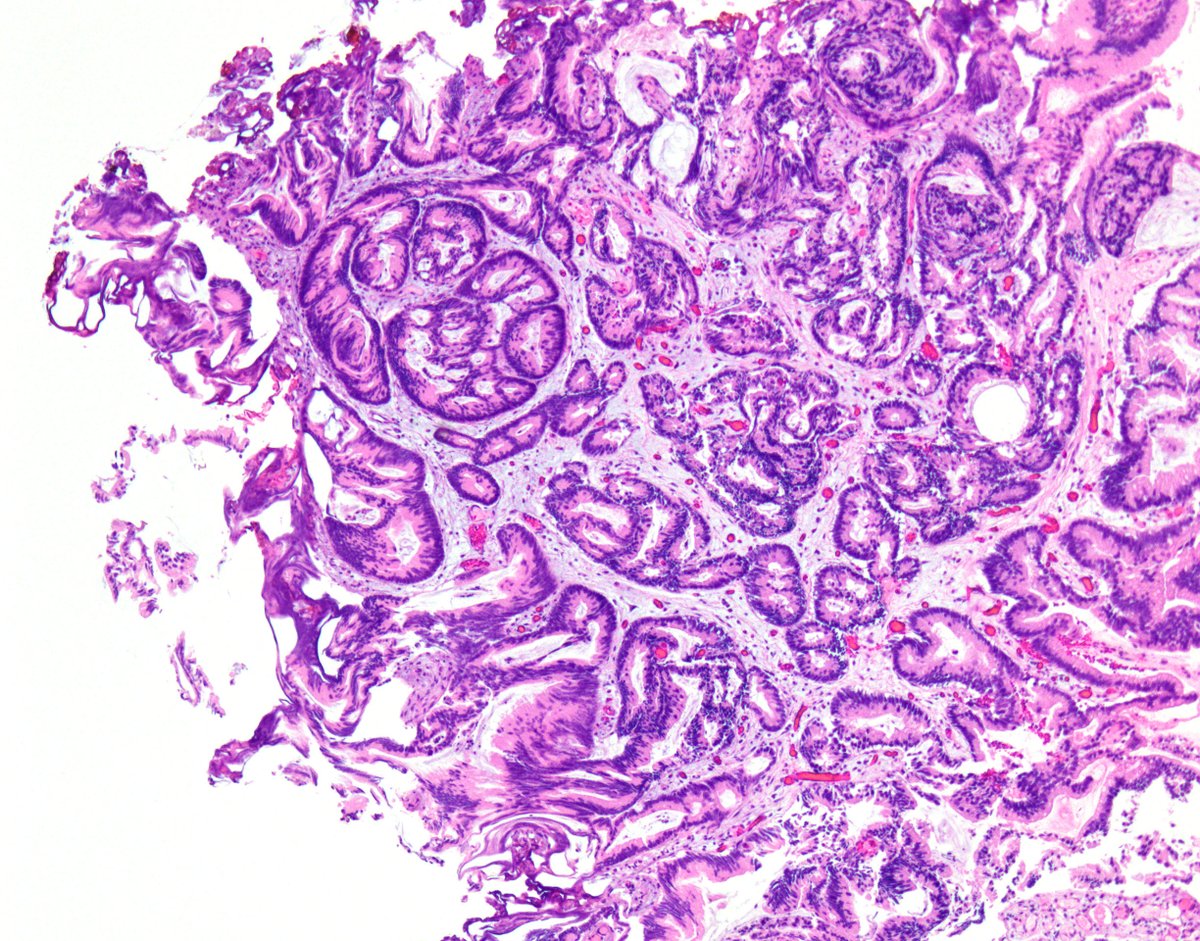
@GladellPaner
Gladell Paner, MD
6 months
Tubulocystic renal tumor with a twist. 👀 What’s your top diagnosis #GUPath tweeps? #OnePicDx Answer in comment. 👇🏻👇🏻👇🏻
3
28
118
@rovingatuscap
Samson W. Fine, MD
7 months
The Genitourinary Pathology Society @GU_Path_Society Companion Society Meeting at #USCAP2025 is kicking off in just over one hour!! #gupath Talk 1: Dr. Matthew Hanna @UPMCPath “Intelligent Handling of #prostatecancer” Digital Pathology/ML/AI
0
7
20