RuminOmics Profile Banner
RuminOmics Profile
RuminOmics

@RuminOmics

Followers
526
Following
90
Media
90
Statuses
1K

Joined June 2013
Don't wanna be here? Send us removal request.
@RuminOmics
RuminOmics
3 days
Improved prediction by enteric methane emission models in ruminant pro...
0
0
0
@CGIAR_Data
CGIAR Digital Transformation
13 days
🚜✨ Missed our #COP30 session? Watch it now! We unveiled AgriLLM, an AI-powered agricultural advisory service built for the Global South. Highlights: why it matters, who it serves, key goals, partnerships, progress, and live demos. 🎥 Watch: https://t.co/OkFzBJD7EO
1
8
13
@RuminOmics
RuminOmics
11 days
The interaction of microplastics with the ruminal ecosystem in vitro
0
0
0
@FAO
Food and Agriculture Organization
11 days
Globally Important #AgriculturalHeritage Sites offer time-tested knowledge and practices that help us tackle global challenges. Listen to some of the people that keep this knolwedge alive to understand why agrifood systems solutions are climate solutions.⤵️ #COP30
5
32
59
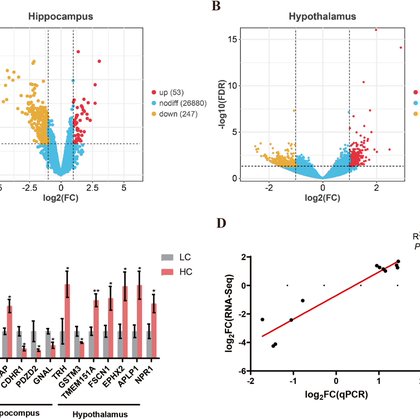
@RuminOmics
RuminOmics
13 days
Transcriptional profiling of the hippocampus and hypothalamus reveals a potential role of thyroid hormone in gamma-aminobutyric acid (GABA) synthesis in dairy cows fed a high-concentrate diet https://t.co/OGz9R5MC7m
Tweet card summary image
bmcvetres.biomedcentral.com
Subacute rumen acidosis (SARA) is a common metabolic disorder in dairy cows fed high-concentrate (HC) diets in intensive farming systems. No typical clinical sign of illness but some common signs...
0
0
0
@NatureBiotech
Nature Biotechnology
1 month
Ad hoc, post hoc and intrinsic-hoc in bioinformatics https://t.co/udTeZCCLmt
0
44
200
@benagen3571
Benagen-ONT
1 month
Exploring colostrum microbiota and its influence on early calf gut microbiota development using full-length 16S rRNA gene metabarcoding. #nanopore #full-length #16S https://t.co/5DUuxtHNfM
0
9
25
@ASMicrobiology
ASM
1 month
In a study involving 23 labs, researchers tested various sequencing/bioinformatic approaches for taxonomic profiling of DNA reference reagents consisting of 20 common gut bacteria, revealing the reality of technical bias in the microbiome field. #mSystems: https://t.co/W6zFtW9b3S
1
56
159
@ScienceMagazine
Science Magazine
1 month
Most researchers have nothing on Larry Richardson. Racking up more than 130 citations in 4 years, he seemed like a scientific superstar in the making. Except the studies were gibberish—and Larry is a cat. This “exercise in absurdity” is an eye-opening look at byzantine world of
45
238
846
@MicrobioSoc
Microbiology Society
1 month
Annual Conference 2026 registration is open! Join us at the UK’s largest annual gathering of microbiologists. Stay tuned for Conference updates by following our social media channels and visiting the events page: https://t.co/OnCBNarW1N #Microbio26
0
8
16
@MicrobiomeVIF
Microbiome Virtual International Forum
1 month
Join us on October 27 for the @illumina and MVIF webinar!
@MicrobiomeVIF
Microbiome Virtual International Forum
2 months
SAVE THE DATE: 27 October, 2025 and join speakers from both @illumina and #MVIF! Registration for the webinar is free: https://t.co/zSlNdwmBvs
0
5
9
@EricTopol
Eric Topol
1 month
Gut bacteria can produce serotonin which may be the underpinning of intestinal dysfunctional motility such as irritable bowel syndrome https://t.co/pS0ygX065y
15
242
923
@uniprot
UniProt
1 month
There’s still time to register for our webinar on the upcoming changes to the UniProt Proteomes database. Learn how Proteomes and UniProtKB will change and how this might affect you. Thursday 23rd October 15.00 (BST) Registration is free but essential; https://t.co/eMb7BTOZ0N
1
3
8
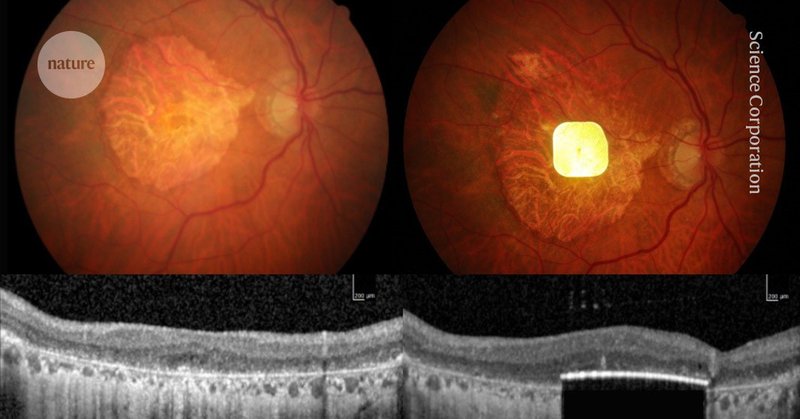
@Nature
nature
1 month
An electronic eye implant has restored vision in people with blindness caused by age-related macular degeneration https://t.co/aCIVG021Lh
Tweet card summary image
nature.com
Nature - An electronic eye implant has restored vision in people with blindness caused by age-related macular degeneration.
8
163
537
@Pharmabiotic
APC Microbiome Ireland
1 month
APC is recruiting a Post-Doctoral Researcher to work w/ @ProfPaulRoss1 @UCC on a project exploring antimicrobial peptides as viable alternatives to current food preservation methods. #jobfairy #researchobs #irishjobs Full Details: https://t.co/8i9B21ptSM
1
3
1
@ADSAorg
ADSA
1 month
What are the interactions between methane inhibitors and methane-emitting phenotype in Holstein cows? Find out in a #JournalofDairyScience #EditorsChoice article from a @agsciences and @pennvet team led by Alexander Hristov ➡️ https://t.co/NB0utHxJdD #DairyScience #SocietyPubs
0
1
0