RCC_Editor Profile Banner
RSNACaseCollection_Editor Profile
RSNACaseCollection_Editor

@RCC_Editor

Followers
3K
Following
557
Media
375
Statuses
433

Radiology education, insights and cases from the @RSNA Case Collection associate social media editors, in partnership with Mariam Moshiri, MD; Editor. #RSNACC

Joined January 2021
Don't wanna be here? Send us removal request.
@RCC_Editor
RSNACaseCollection_Editor
3 years
Check out our latest 🔬microlearning module on Youtube! 🔗 https://t.co/wvpIqU2PHl Tumefactive Demyelination presented by Christina Sumner, @BrentWeinberg, and @EmoryMedicine @TheASNR @RSNA #RadEd #MedEd
0
3
9
@RCC_Editor
RSNACaseCollection_Editor
3 years
Good work on this week's legacy Case of the Week! Thanks again to Deputy Editor Douglas Katz & authors @CreightonAZrads #RadEd #MedEd @RSNA
@RCC_Editor
RSNACaseCollection_Editor
3 years
Great work on the last Case of the Week! Answer: Small Bowel Carcinoid Tumor! 🔗 https://t.co/gTuBaH1bfe Thank you to Deputy Editor Douglas Katz & Authors @CreightonAZrads
0
0
3
@RCC_Editor
RSNACaseCollection_Editor
3 years
@RCC_Editor
RSNACaseCollection_Editor
3 years
Test your #Radiology Knowledge with the #RSNACC #BodyImaging Case of the Week! Diagnose this 80yo M w/ multiple comorbidities presenting with dysphagia causing severe protein malnutrition. 🔗 https://t.co/gTuBaH1bfe @AmCollegeGastro @AmerGastroAssn @SAGES_Updates @BritSocGastro
0
0
0
@RCC_Editor
RSNACaseCollection_Editor
3 years
It's throwback week! Check out this legacy #BodyImaging Case!
@RCC_Editor
RSNACaseCollection_Editor
3 years
Check out our 2nd #BodyImaging Case of the Week! What is the diagnosis in this 80 year old male presenting with dysphagia causing severe protein malnutrition? https://t.co/gTuBaH1bfe @SocietyAbdRad @EsgarSociety @myESR @CreightonAZrads
0
0
1
@RCC_Editor
RSNACaseCollection_Editor
3 years
The latest installment of the #RSNA Case Collection's 🔬Microlearning Series 🔬is live on YouTube! Check out TGCT/PVNS with @bkkfields &@MatcukMD 🔗 https://t.co/6aLPy92oZi! #RadEd #RadTwitter @SSRbone @intskeletal @BSSR_Site
0
2
11
@RCC_Editor
RSNACaseCollection_Editor
3 years
Test your #Radiology knowledge with this Case of the Week! #RadEd #MedEd @OrthoToday @MedscapeOrtho @AAMCtoday @AAMCPreMed
@RCC_Editor
RSNACaseCollection_Editor
3 years
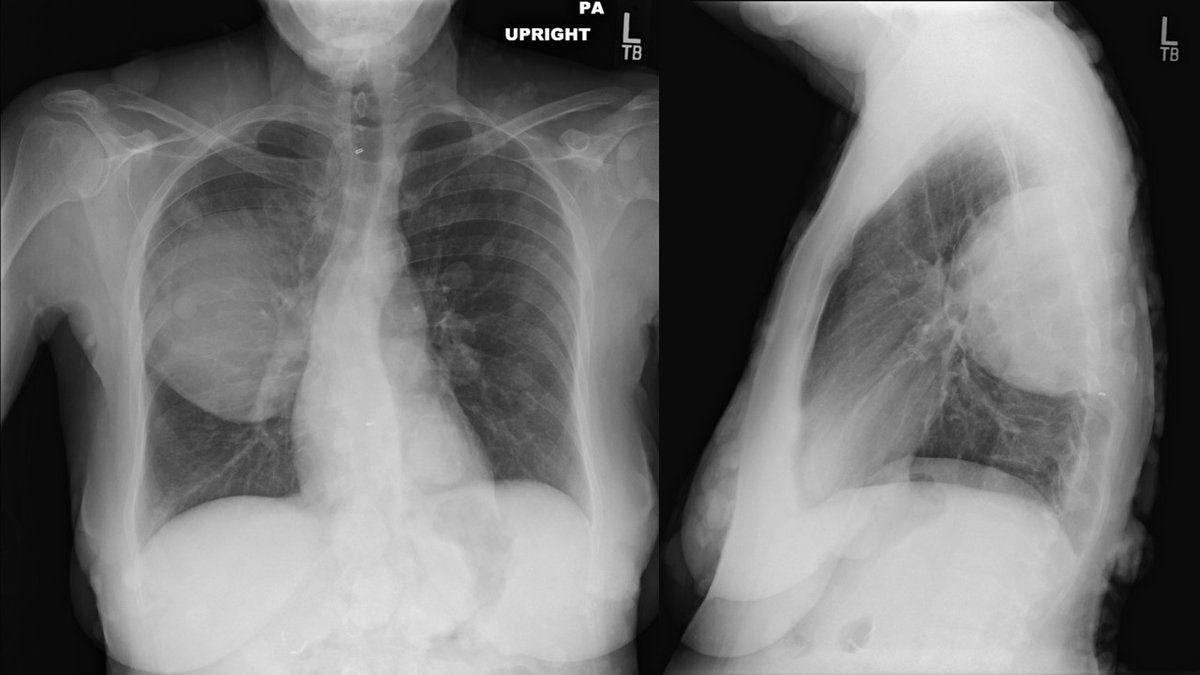
It's time for a new Case Collection Case of the Week! Chest day ever! What is the diagnosis in this 65-year-old female with mid to lower back pain and numbness? 🔗 https://t.co/eDtarW7pfD @thoracicrad @ThoracicImaging @ESTI_Society @RSNA #RSNACC #RadEd
0
0
3
@RCC_Editor
RSNACaseCollection_Editor
3 years
The latest installment of the #RSNA Case Collection's 🔬Microlearning Series 🔬is live on YouTube! Check out TGCT/PVNS with @bkkfields &@MatcukMD 🔗 https://t.co/6aLPy92oZi! #RadEd #RadTwitter @SSRbone @intskeletal @BSSR_Site
0
2
11
@RCC_Editor
RSNACaseCollection_Editor
3 years
It's time for a new Case Collection Case of the Week! Chest day ever! What is the diagnosis in this 65-year-old female with mid to lower back pain and numbness? 🔗 https://t.co/eDtarW7pfD @thoracicrad @ThoracicImaging @ESTI_Society @RSNA #RSNACC #RadEd
10
3
32
@RCC_Editor
RSNACaseCollection_Editor
3 years
Boost your #Radiology knowledge with the RSNA's latest Microlearning Module on YouTube. @AcadRadiol @ACOREdu @OrthoToday @MedscapeOrtho @AAMCtoday @AAMCPreMed #MedEd #RadEd #WomenInRadiology
@RCC_Editor
RSNACaseCollection_Editor
3 years
IT'S ALIVE! Another exciting microlearning module is has gone live! Learn all abut Ulnar Abutment Syndrome with @Radscmr from @UWRadiology! 🔗 https://t.co/ozhGn5dBB0 @SSRbone @intskeletal @BSSR_Site #RadRes #RadEd #WomenInRadiology
0
2
7
@RCC_Editor
RSNACaseCollection_Editor
3 years
IT'S ALIVE! Another exciting microlearning module is has gone live! Learn all abut Ulnar Abutment Syndrome with @Radscmr from @UWRadiology! 🔗 https://t.co/ozhGn5dBB0 @SSRbone @intskeletal @BSSR_Site #RadRes #RadEd #WomenInRadiology
1
11
21
@RCC_Editor
RSNACaseCollection_Editor
3 years
Good work on this #BodyImaging Case of the Week! Answer: ✅IgG4 Pancreatitis! To learn more, check out the Case and Youtube Video: 🔗 https://t.co/FmgJG9yicN - Case 🔗 https://t.co/GuIwlusHJf - Video @Mutua_Terrassa @SocietyAbdRad @EsgarSociety @myESR
1
3
26
@RCC_Editor
RSNACaseCollection_Editor
3 years
Our second @RSNA Microlearning Module is Live! Check out our PVNS Module at https://t.co/WDB81kLiKi ! Thanks to @bkkfields, @MatcukMD, @UCSFimaging and @CedarsSinai for your awesome work! #RadEd #RadTwitter @SSRbone
0
5
23
@RCC_Editor
RSNACaseCollection_Editor
3 years
The Case of the Week is back with another #BodyImaging Case! What is the diagnosis in this 77 year old type 2 diabetic with 10kg weight loss in 2 months? 🔗 https://t.co/lx3NG2XHOB - Case 🔗 https://t.co/GdwIEY58SA - Video @Mutua_Terrassa @SocietyAbdRad @EsgarSociety @myESR
0
3
21
@RCC_Editor
RSNACaseCollection_Editor
3 years
Our second @RSNA Microlearning Module is Live! Check out our PVNS Module at https://t.co/WDB81kLiKi ! Thanks to @bkkfields, @MatcukMD, @UCSFimaging and @CedarsSinai for your awesome work! #RadEd #RadTwitter @SSRbone
0
5
23
@RCC_Editor
RSNACaseCollection_Editor
3 years
Our first microlearning 🔬module is live featuring CNS Lymphoma with @BrianBurkettMD from @MayoRadiology! Check it out on YouTube: 🔗 https://t.co/qNbu1DZU1d @RSNA @radiology_rsna @TheAJNR @RSNATrainees @AANmember @TheNewANA1 #RadEd #RadTwitter
0
5
14
@RCC_Editor
RSNACaseCollection_Editor
3 years
Test your #Radiology knowledge with our Virtual 🔥Hot Seat 🔥 Session on Youtube! 🔗 https://t.co/5ANCKMfwXF @ERadSociety @thoracicrad @AmerMedicalAssn @AmCollegeGastro @RadiologyACR #RadEd #MedEd @SNMA
@RCC_Editor
RSNACaseCollection_Editor
3 years
If you missed the @RSNA Case Collection's 🔥Hot Seat🔥 on 2/16, fear not! We're bringing back the 🔥 on YouTube. See Part 2 🔗 https://t.co/5ANCKMfwXF @radiology_rsna @SocPedRad @acog @RadITrainEditor @ACRRFS @SNM_MI @SocietyAbdRad @TheASNR #RadEd #RadTwitter #RSNACC
0
1
3
@RCC_Editor
RSNACaseCollection_Editor
3 years
If you missed the @RSNA Case Collection's 🔥Hot Seat🔥 on 2/16, fear not! We're bringing back the 🔥 on YouTube. See Part 2 🔗 https://t.co/5ANCKMfwXF @radiology_rsna @SocPedRad @acog @RadITrainEditor @ACRRFS @SNM_MI @SocietyAbdRad @TheASNR #RadEd #RadTwitter #RSNACC
1
5
18
@RCC_Editor
RSNACaseCollection_Editor
3 years
If you missed the @RSNA Case Collection's 🔥Hot Seat🔥 on 2/16, fear not! We're bringing back the 🔥 on YouTube. See Part 2 🔗 https://t.co/5ANCKMfwXF @radiology_rsna @SocPedRad @acog @RadITrainEditor @ACRRFS @SNM_MI @SocietyAbdRad @TheASNR #RadEd #RadTwitter #RSNACC
1
5
18
@RCC_Editor
RSNACaseCollection_Editor
3 years
Test your #Radiology knowledge and check out @RSNA Case Collection's 🔥Hot Seat🔥 Session from 2/16! Part 1 features MSK, IR, Breast, and GI! @ERadSociety @SocietyAbdRad @SSRbone @intskeletal @SIRRFS @BreastImaging #MedEd
@RCC_Editor
RSNACaseCollection_Editor
3 years
If you missed the @RSNA Case Collection's 🔥Hot Seat🔥 on 2/16, fear not! We're bringing back the 🔥 on YouTube. See Part 1 🔗 https://t.co/npV9qt6QGJ Stay tuned for Part 2 coming soon! @radiology_rsna @SSRbone @thoracicrad @RadITrainEditor @ACRRFS #RadEd #RadTwitter #RSNACC
0
1
7
@RCC_Editor
RSNACaseCollection_Editor
3 years
If you missed the @RSNA Case Collection's 🔥Hot Seat🔥 on 2/16, fear not! We're bringing back the 🔥 on YouTube. See Part 1 🔗 https://t.co/npV9qt6QGJ Stay tuned for Part 2 coming soon! @radiology_rsna @SSRbone @thoracicrad @RadITrainEditor @ACRRFS #RadEd #RadTwitter #RSNACC
0
3
8