ACOREdu Profile Banner
Academy of Online Radiology Education Profile
Academy of Online Radiology Education

@ACOREdu

Followers
11K
Following
1K
Media
469
Statuses
1K

Online Comprehensive #Radiology☢️Educational Resources To Everyone, Everywhere!🌏 #Peer_Reviewed International Collab😷 Editor-in-Chief, Prof. @ElsayesKhaled

Joined June 2020
Don't wanna be here? Send us removal request.
@MedBlendPub
MedBlend
5 days
#CaseOfTheDay 🩻 📌 54-year-old man presents with painless jaundice, dark urine, and epigastric discomfort. Describe the imaging findings and drop your diagnosis below! 👇 #LiverImaging #Radiology #MedEd #RadRes #medtwitter
1
2
19
@ACOREdu
Academy of Online Radiology Education
11 days
🔥 Don’t miss our next ACORE Webinar! Join us for “Shoulder MRI – Pre- and Post-operative Imaging” with the renowned Dr. Avneesh Chhabra, Professor & Chief of MSK Radiology at UTSW. 🗓 Friday, December 12th ⏰ 12:00 PM CST 🎓 A must-attend for radiologists, fellows, and MSK
0
1
3
@Floridianpress
The Floridian
1 day
David Beckham. Leo Messi. @InterMiamiCF @RonDeSantis: “That’s a winning formula — especially in Miami.” @JavManjarres asked “America’s Governor” about “THE REAL SPORT” — fútbol (aka soccer) @FIFAWorldCup, and more DeSantis sports takes? — Exclusive interview in comments
2
11
52
@MedBlendPub
MedBlend
12 days
✅ Post-cholecystectomy ischemic hepatic duct stricture 🧠 MRCP and T2WI show focal narrowing of the left hepatic duct, upstream intrahepatic duct dilatation w/o obstructing stones 💡 Absence of a mass/stone ➡️ benign ischemic stricture #Radiology #MedEd #RadRes #MedTwitter
0
4
12
@MedBlendPub
MedBlend
20 days
#CaseOfTheDay 🩻 📍 55-year-old woman with a history of laparoscopic cholecystectomy 6 months ago now presents with elevated alkaline phosphatase and intermittent right upper quadrant discomfort Drop your thoughts below! 👇 #Radiology #LiverImaging #MedEd #RadRes #MedTwitter
1
5
27
@ACOREdu
Academy of Online Radiology Education
22 days
🚨 ACORE Webinar Series – This Thursday! 🎙️ Topic: Skull Base Osteomyelitis 🗓️ Date: Thursday, November 20th ⏰ Time: 12:00 PM CST This session features two world-renowned experts in Head & Neck and Neuroimaging: 🔵 Nancy Fischbein, MD Professor of Radiology, Neurology,
1
4
12
@denofwolvesgame
Den of Wolves
2 days
The plan was clean. The escape? Not so much. Midway City doesn’t play fair. Wishlist this 4-player coop heist FPS on Steam today.
0
2
47
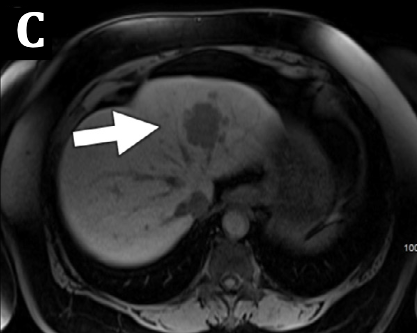
@MedBlendPub
MedBlend
25 days
✅ Answer: Hepatic Angiosarcoma 🧠 Key findings/phase: Arterial: Heterogeneous rim hyperenhancement Portal venous: Progressive centripetal enhancement Hepatobiliary: Hypointense + T2 signal hyperintity More info https://t.co/svs1qaqG2n #Radiology #MedEd #RadRes #MedTwitter
2
4
43
@MedBlendPub
MedBlend
29 days
#CaseOfTheDay 🧠 📍 58-year-old male presenting with fatigue and right upper quadrant discomfort. MRI shows a left hepatic lobe mass. 💭 Drop your diagnosis below! #LiverImaging #MRI #Radiology #MedEd #RadRes #HepaticTumor #CaseChallenge #MedTwitter
2
3
24
@ACOREdu
Academy of Online Radiology Education
1 month
📹 Now on ACORE! Explore “Imaging of the Petrous Apex”, a focused sessions on anatomy, variants, and key pathologies of this complex region. Led by experts Dr. Nancy Fischbein & Dr. Anna Patricia Riello, this lecture brings temporal bone and skull base imaging to life with
0
0
1
@ACOREdu
Academy of Online Radiology Education
1 month
🚨 Happening Tomorrow! 🚨 Don’t miss our ACORE Webinar with Dr. Kate Hanneman from the University of Toronto — a global leader in cardiac imaging and Dr. Daniella Parenate form University of Rio de Janeioro. 🩺 Topic: Non-Ischemic Cardiomyopathy 🗓 Tomorrow, Thursday – November
1
3
11
@MedBlendPub
MedBlend
1 month
✅ All-in-one guide to recognize early vascular and biliary complications to late graft changes post liver transplant 🧠 Chapter 19 walks you through how to confidently interpret findings and pitfalls Available at https://t.co/svs1qaqG2n #LiverImaging #Radiology #MedEd #RadRes
0
1
2
@ACOREdu
Academy of Online Radiology Education
1 month
Lots of correct answers on this one 🤩👏🏼
@MedBlendPub
MedBlend
1 month
✅ Caroli Disease 🧠 congenital disorder characterized by segmental saccular dilatation of the intrahepatic bile ducts 🩻 MRI: Multiple bilobar cysts communicating with bile ducts + central enhancing dots > portal radicles “central dot sign” #MedTwitter #Radiology #RadRes
0
0
3
@MedBlendPub
MedBlend
1 month
#CaseOfTheDay 🩻 📍 MRI abdomen of a patient with recurrent cholangitis and RUQ pain Describe the imaging findings and drop your diagnosis below! 👇 #LiverImaging #Radiology #MedEd #RadRes #medtwitter
4
3
52
@MedBlendPub
MedBlend
2 months
✅ Answer: Hepatic Candidiasis 🧠 Classic “wheel-within-wheel” appearance in immunocompromised patients US: fibrotic rim, hyperechoic inflammatory ring, hyopechoic necrotic core CT: Rim-enhancing lesions with central non-enhancing necrosis #Radiology #MedEd #RadRes #MedTwitter
1
11
75
@ACOREdu
Academy of Online Radiology Education
2 months
🚨 Last Call to Register — Webinar is TOMORROW! 🚨 Join us for an exciting ACORE Webinar: 🎯 Topic: MR of Sports Related Peripheral Nerve Injury 🗣 Speaker: John A. Carrino, MD, MPH Vice Chairman, Department of Radiology and Imaging, Hospital for Special Surgery Moderator:
0
2
6
@ACOREdu
Academy of Online Radiology Education
2 months
🎥 Imaging of Cholangiocarcinoma – An Update Now on ACORE: Comprehensive review discussing intrahepatic & perihilar cholangiocarcinoma, molecular insights, and the newly vetted lexicon: https://t.co/EXFISziIVM Contributors: Maria El Homsi, MD · Tetiana Glushko, MD · Andrea
0
0
3
@MedBlendPub
MedBlend
2 months
#CaseOfTheDay 🦠 📍 44F with breast cancer on chemotherapy. Multiple hepatic lesions seen on US and CT. Describe the imaging findings and drop your diagnosis below! 👇 Also, can you name the classic pattern seen here 👀 #LiverImaging #Radiology #MedEd #RadRes #medtwitter
5
4
57
@ACOREdu
Academy of Online Radiology Education
2 months
MRI after chemoimmunotherapy can reliably predict pCR in TNBC. 🎯 rCR → PPV 90% 📈 +Ki-67 >30% & node-negativity → AUC 0.88 🧠 Radiomics ↓ false-omission rate from 37% → 20% Praveen T. S. Balamuralikrishna, MBBS, reviews the data: https://t.co/FX9uRqCZgH #BreastImaging
0
1
3
@ACOREdu
Academy of Online Radiology Education
2 months
AI is reshaping nuclear medicine. 🦴 Novel BPrDr index improves PJI assessment (Se 88%, NPV 93%) 🤖 Deep learning models reach expert-level accuracy (AUC up to 0.99) Muhayman Sadiq, MD, reviews how AI adds consistency and speed to bone scintigraphy interpretation. 🔗
0
1
3