MhPathology Profile Banner
MetroHealth Pathology Profile
MetroHealth Pathology

@MhPathology

Followers
2K
Following
4K
Media
451
Statuses
3K

The official account for the Department of Pathology @metrohealthCLE @cwru I Tweets are not medical advice I RTs are not endorsements

Cleveland, Ohio
Joined October 2020
Don't wanna be here? Send us removal request.
@MhPathology
MetroHealth Pathology
14 days
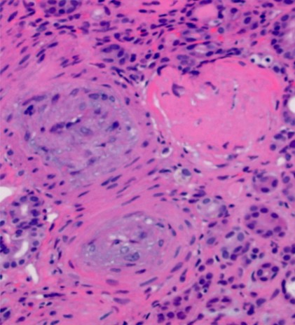
🫘Severe hypertension, Kidney: ⭐️Myxoid intimal hyperplasia of arteries (left, H&E), the lumens are reduced to pinpoint slits 💡Onion skin thickening of the arteriolar wall (right, PAS) 🔬Both images contain a sclerotic glomerulus – the end-effect of chronic ischemia #PathTwitter
0
7
28
@MhPathology
MetroHealth Pathology
14 days
🫘Severe hypertension, Kidney: ⭐️Myxoid intimal hyperplasia of arteries (left, H&E), the lumens are reduced to pinpoint slits 💡Onion skin thickening of the arteriolar wall (right, PAS) 🔬Both images contain a sclerotic glomerulus – the end-effect of chronic ischemia #PathTwitter
0
7
28
@BabanYaqot
Yaqot Baban, MD
19 days
Grateful for another opportunity to take part and present at #ASCP25Atlanta @MhPathology
0
2
5
@ziad_zaatari
Ziad El-Zaatari
17 days
🔬📷 "Papillary and Thyroidized" ~ At the edge of a papillary renal cell carcinoma (right half of image) next to background renal parenchyma (left half of image) in an end stage kidney ~ #GUpath #RenalPath #Kidney #Pathology #PathArt
1
19
85
@ziad_zaatari
Ziad El-Zaatari
14 days
🔬📸 Pulmonary Hamartoma ~ 3 in 1... Cartilage (left), fat (white), and myxoid spindled cells (light blue) ~ #PulmPath #Pathology #PathArt
2
25
87
@ziad_zaatari
Ziad El-Zaatari
10 months
🔬 Tubules Galore! ⭕️⏺️ 🍩 ~ Tubular Adenoma of the Breast ~ #BreastPath #Pathology #PathArt
4
40
141
@MhPathology
MetroHealth Pathology
24 days
✨We welcome two new faculty to the Pathology Department at MetroHealth. 🔬They both recently completed fellowship programs and are eager to teach our residents. #MHPathology #CWRU #PathTwitter
0
3
11
@MhPathology
MetroHealth Pathology
24 days
✨We welcome two new faculty to the Pathology Department at MetroHealth. 🔬They both recently completed fellowship programs and are eager to teach our residents. #MHPathology #CWRU #PathTwitter
0
3
11
@MhPathology
MetroHealth Pathology
1 month
🎯WELL DIFFERENTIATED NEUROENDOCRINE TUMOR (GRADE 1) OF COLON. - Monotonous cells in nested/ insular/organoid patterns with salt and pepper chromatin. - Synaptophysin+, Chromogranin +/-, INSM1+ - Mitosis or Ki-67 determines the grading. #MHPathology #cwru #PathTwitter
1
16
50
@smlungpathguy
Sanjay Mukhopadhyay
1 year
@SansanoValero @raghupillappa @yro854 @MelissaUpton7 2. As a PGY1, you will start to learn what mitotic figures look like. You should suspect something is a mitosis if the normal nuclear structure (with nice membrane) is lost and replaced by something fuzzy. Here are some examples: #sblppgy1
1
19
124
@RazaHoda
Raza Hoda MD
2 months
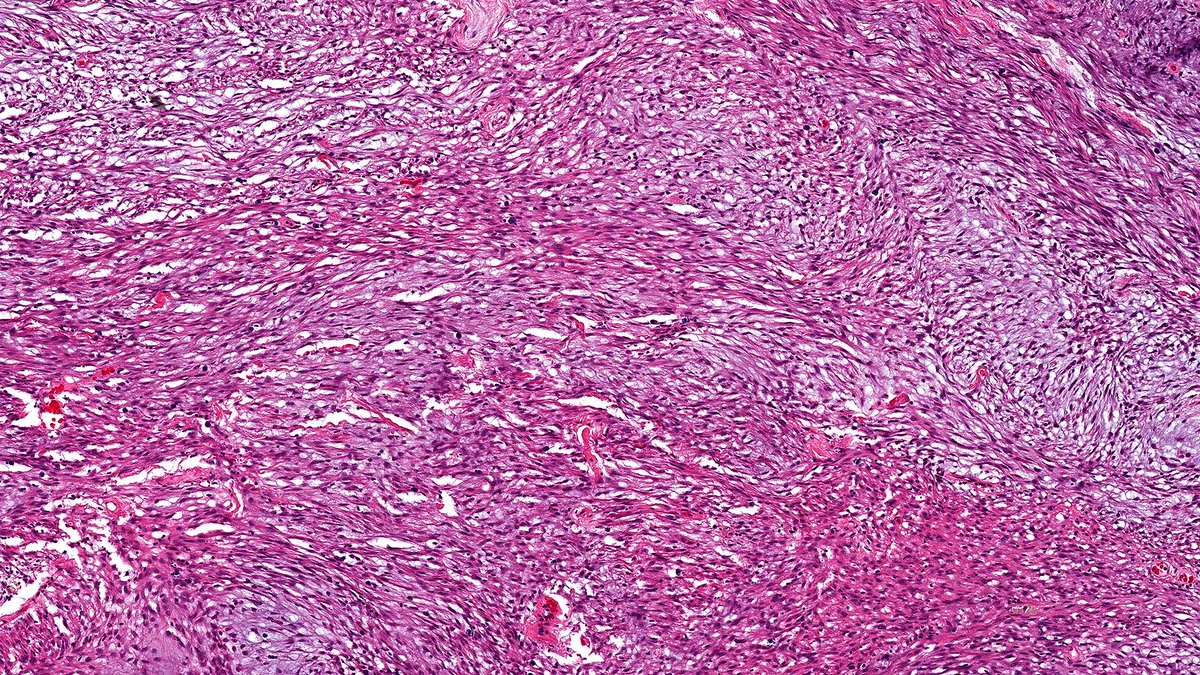
Case of Myxoid Myofibroblastoma 🪼🔬 Spindly bland cells adrift amidst a myxoid sea 🌊—a mimic of more omnious entities until stains (CD34, desmin, ER, and Rb1) set the record straight. #PathX #PathTwitter #breastpath
1
16
64
@ziad_zaatari
Ziad El-Zaatari
27 days
🔬📷 A big plump raisin! 🍇 ~ Nucleus with "raisinoid" features in a Chromophobe RCC ~ #GUpath #Pathology #PathArt
2
10
55
@ESP_Pathology
European Society of Pathology (ESP)
26 days
Today we celebrate #InternationalPathologyDay! #pathology is key for screening, diagnosis, and management of disease! Pathologists are in the heart of #Medicine! We celebrate #pathology, along with ESP affiliated national societies: https://t.co/fDljtHBDXB #PathTwitter #PathX
0
21
45
@ESP_Pathology
European Society of Pathology (ESP)
1 year
🎉🪅🥳ESP is celebrating #InternationalPathologyDay! #pathology is the foundation of modern #Medicine, and #pathologists play a crucial role for diagnosis, screening and management of many diseases! We are joined in this glorious day by our affiliated national societies! #PathX
0
29
71
@ziad_zaatari
Ziad El-Zaatari
26 days
🔬📸 Clear Cell Renal Cell Carcinoma ~ #GUpath #Pathology #PathArt
0
12
43
@metrohealthCLE
MetroHealth
28 days
We are thrilled to share that The MetroHealth System has been recognized by the College of Healthcare Information Management Executives (CHIME) as one of the most digitally advanced health systems in the nation. Read more: https://t.co/3wpYgMGVcU
0
1
2
@MhPathology
MetroHealth Pathology
1 month
🎯WELL DIFFERENTIATED NEUROENDOCRINE TUMOR (GRADE 1) OF COLON. - Monotonous cells in nested/ insular/organoid patterns with salt and pepper chromatin. - Synaptophysin+, Chromogranin +/-, INSM1+ - Mitosis or Ki-67 determines the grading. #MHPathology #cwru #PathTwitter
1
16
50
@CraigHorbinski
Craig Horbinski
1 month
Some pituitary adenomas show quite a bit of glandular rosette-type structures, like this one. #pathology #neuropath #PathTwitter
2
14
60
@slusagar
Ankur Sangoi
1 month
“and only on rare cases with ambiguous morphology should immunohistochemistry be utilized” #surgpath 🔬💪🏽
2
7
30
@MhPathology
MetroHealth Pathology
1 month
USCAP abstracts: 5 submissions and 4 accepted. That‘s 1/2 of our residents. 😃Not bad for our „little“ program. #pathx #PathTwitter #Pathology #USCAP2026
2
4
24