
Max Konig
@MaxKonigMD
Followers
3K
Following
8K
Media
310
Statuses
3K
Rheumatologist @JohnsHopkins | via Berlin & Boston | CAR-T cells & bispecific antibodies; Antigen-specific therapies for autoimmune diseases | https://t.co/qbYtSPzHpV
Baltimore, MD
Joined February 2016
2023: The rise of precision cellular therapies. In this Year in Review, I highlight 3 major advances set to transform the treatment of autoimmune and rheumatic diseases. From CAR-T cells to antigen-specific, precision immunotherapies. Link: https://t.co/6J6BOENyIv
5
28
120
Science cannot thrive without the next generation.
62
665
3K
Destroying leading scientific institutions one step at a time so we can funnel more billions to SpaceX?
Last year, $9B of the $35B that the National Institutes of Health (NIH) granted for research was used for administrative overhead, what is known as “indirect costs.” Today, NIH lowered the maximum indirect cost rate research institutions can charge the government to 15%, above
2
3
15
What are the implications for CAR-T cell therapy for autoimmune diseases? 1- we need safety switches 2- we need targeted editing approaches, not just random integration 3- we need to favor therapies that are rejected (e.g., most allogenic CAR-T cells get rejected) All exist.
A woman with multiply relapsed multiple myeloma had complete remission with cilta-cel, but a low-grade T-cell lymphoma soon developed in the GI tract that contained an insertion of the CAR construct disrupting expression of p53. Read the Brief Report: https://t.co/U8cGYPIvRG
3
6
17
The brain worms are now in charge of science and medicine in the United States. Forget curing cancer, we will bring back iron lungs and infant paralysis, suffocating children with diphtheria, and the snake oils against fully preventable diseases.
THE CDC HAS REMOVED ALL VACCINE INFORMATION SHEETS FROM ITS WEBSITE These are required to be given by pediatricians to families at time of vaccination. So - I guess that’s it!
1
1
12
I hope American voters realize how insane and dangerous it is for Trump to threaten another NATO ally to give up territory. Suppressing science, preventing communication about a looming pandemic, trying to overwrite constitutional rights. This is doing irreparable harm to the US.
Greenland is not for sale after all! FT: Trump had call with Danish PM Frederiksen about Greenland takeover. Five senior European officials describe call as "horrendous" with Trump being aggressive after Denmark refused sale. 1/
3
0
9
It's back! This year, #RheumMadness is releasing intro pods & "scouting reports" serially before March. Naturally starts with this great piece on CAR-T and BITEs which promise to revolutionize rheumatology care. Highly recommended for rheums & trainees 👇 https://t.co/axKIsnA4yY
pocketcasts.com
1
7
16
VIRTUAL-LIVE-FREE - featuring keynote by Georg Schett!! & @MaxKonigMD @ELittlejohnDO - join from anywhere & get our CAR-T newsletter for the yr! - REGISTER NOW @RNSociety @RheumAPP @AWIRGROUP @CreakyJoints @kprather88 @drdavidliew @DrPujaMehta1 @EBRheum
https://t.co/m74LuTL56s
0
7
9
Jan '25 #Advances in #Immunoengineering #Workshop! FREE Registration https://t.co/KjzJLdJOQO Exciting speakers include: @GarciaLabGT
@MJMitchell_Lab
@KaraSpillerLab
@MaxKonigMD
@May_Daher
@ProfGregSawyer & More! @NIBIBgov
@HopkinsMedicine
@HopkinsEngineer
@INBT_JHU
@JHUBME
0
3
4
Grateful for the incredible experience at #ACR2024! Honored to present my work! A huge thank you to my mentor, @MaxKonigMD for all your guidance and support, and to organizer @ACRheum for this amazing opportunity and recognition! Shout out to our collaborators@jhrheumatology
1
1
11
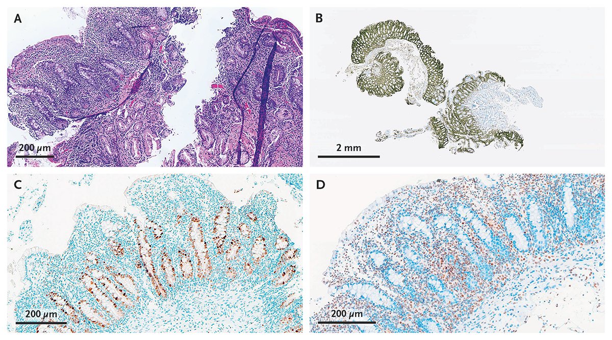
Targeting autoreactive T cells using TRBV9xCD3 bispecific T cell engaging antibodies. Controlling ankylosing spondylitis and celiac disease without increasing the risk of infection? Let's go. Join us in Room 150, at 3:00 PM. #precisionimmunotherapy #ACR24
Congrats to Steph Glavaris for being awarded the ACR Emerging Investigator Excellence Award for her work on T cell-engaging antibodies to deeply deplete TRBV9+, autoreactive T cells in ankylosing spondylitis and celiac disease. #ACR24 @jhrheumatology @CMM #ProundMentorMoment
1
1
7
While at it, if you are interested in learning more about off-the-shelf precision immunotherapies for the treatment of lupus, please join our talk on 9G4xCD3 T cell-engaging antibodies during the SLE - Cellular Therapy Session at 3 PM. #ACR24 @HopkinsMedicine @jhrheumatology
1
3
13
Congrats to Steph Glavaris for being awarded the ACR Emerging Investigator Excellence Award for her work on T cell-engaging antibodies to deeply deplete TRBV9+, autoreactive T cells in ankylosing spondylitis and celiac disease. #ACR24 @jhrheumatology @CMM #ProundMentorMoment
1
3
10
Congrats to Jin Liu for being awarded the ACR Emerging Investigator Excellence Award for her work on 9G4-targeted CAR/cTCR-T cells for the treatment of lupus. #ACR24 @jhrheumatology #ProundMentorMoment
0
2
17
Congrats Steph for this well-deserved recognition and for leading this important project! @ACRheum #ACR24 Abstract:
acrabstracts.org
Background/Purpose: Therapies that indiscriminately deplete all T cells carry a high risk of opportunistic infection, precluding their widespread use in T cell-mediated autoimmune diseases. Targeting...
Congrats to @CMM_JHU student Stephanie Glavaris for winning a prestigious Emerging Investigator Excellence Award from the American College of Rheumatology @ACRheum for her work on bispecific antibodies to target autoreactive T cells in ankylosing spondylitis & celiac disease! 🥳
0
1
11
1/Excited to share our latest research led by @ChesterKao1 & @SorenCharmsaz , published in @jclinicalinvest! ➡️We found that immune-related adverse events (irAEs) in patients receiving IO are linked to Th17 and Th2 signatures
2
5
37
All physicians should keep these images in mind next time you’re stuck with 87 clicks to release a MAR or input an ICD-10 code. When you can’t find a simple lab result or note… When you can’t access results from a hospital down the street… When your inbox and Epic chat is
47
104
493