JenyaMD Profile Banner
Jennifer Moreira-Dinzey Profile
Jennifer Moreira-Dinzey

@JenyaMD

Followers
3K
Following
3K
Media
235
Statuses
2K

AP/CP Board Certified. Surgical Pathologist at Pathology Associates of Alabama P.C. 100% PR 🇵🇷! ★Opinions are my own. T/RT NOT medical advice.★

Birmingham, AL
Joined November 2018
Don't wanna be here? Send us removal request.
@JenyaMD
Jennifer Moreira-Dinzey
6 years
The Whipple specimen, one that requires good knowledge of the pancreaticobiliary anatomy. Here we can see how the tumor is present at the head of the pancreas narrowing the main pancreatic duct and causing obstruction.I hope this is helpful. #GIpath #PancreaticCancer
19
149
409
@TrackYourHeart
CardiovascularCorner
1 month
Kidney tumors
2
97
432
@OncBrothers
Oncology Brothers
4 months
Current @NCCN guidelines for germline testing. This is one place where we collectively need to do better not only to ensure we have the discussion for Rx options but this has profound impact on pts family! #OncTwitter #MedTwitter #MedEd #bcsm #lcsm #gusm #gism
6
108
249
@FatimaShamsPath
Fatima Shamsuddin
1 year
@annsmiley78 Set 4 (final):- Detailed history revealed a radiological history (in 2022) of “large anorectal soft tissue mass” Following this the two most important IHCs to confirm the diagnosis was performed. Diagnosis? Learning point: - Never underestimate the importance of detailed
5
2
16
@RazaHoda
Raza Hoda MD
1 year
What is the diagnosis of this breast lesion? 🔬 Poll in the comments 👇 Answer to be posted on Monday #PathX #PathTwitter #breastpath
6
13
51
@JenyaMD
Jennifer Moreira-Dinzey
1 year
This is a MUST READ for every pathologist ❤️🫁
@smlungpathguy
Sanjay Mukhopadhyay
1 year
1. Introducing a new thread: super basic lung pathology for PGY1s, with arrows. If you are a PGY1, leave a comment and I will tag you in a future post. A hamartoma is a disorganized mix of overgrown normal tissues (in their normal location) that creates a mass. Good news: they
2
3
13
@JenyaMD
Jennifer Moreira-Dinzey
1 year
This is very important to remember!
@AlesawiHanadi
Hanadi Abdussalam
1 year
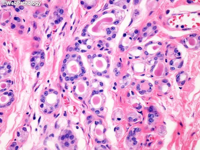
Microglandular adenosis "should be suspected if a lesion diagnosed as grade I IDC is ER(-)". #breastpath #pathx #webpathology
0
0
1
@thejourneymate
Felipe Templo Jr. ,MD, MBA 🕊
1 year
Histologic Grading of Hepatocellular Carcinoma 🔬 https://t.co/XM7fiMSavd
1
58
197
@XeniaParisi
Xenia Parisi, MD
1 year
Please join our Lymphoma Unknown Conference by Dr. Medeiros @4PM CT Fri 11/1 Cases in attached image Preview Link: https://t.co/pyvkh1YHpw Meeting Link: https://t.co/6J04u9Y9hN #hemepath #pathedu #pathtwitter @EShuyu @PaulYoungMD1 @sanamloghavi @sibaelhussein
1
9
23
@vagina_museum
Vagina Museum
1 year
Ever wondered what a menstrual cup is doing in there during use? Thanks to science, we now know where it sits: pretty close to the cervix, turns out. In this MRI scan, the cup is coloured in green, blue shows the vagina, the cervix is outlined in yellow and the uterus in orange.
9
78
462
@TristanRutland7
Tristan Rutland MBBS FRCPA IFCAP
1 year
6
43
160
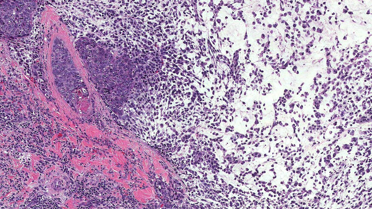
@JenyaMD
Jennifer Moreira-Dinzey
1 year
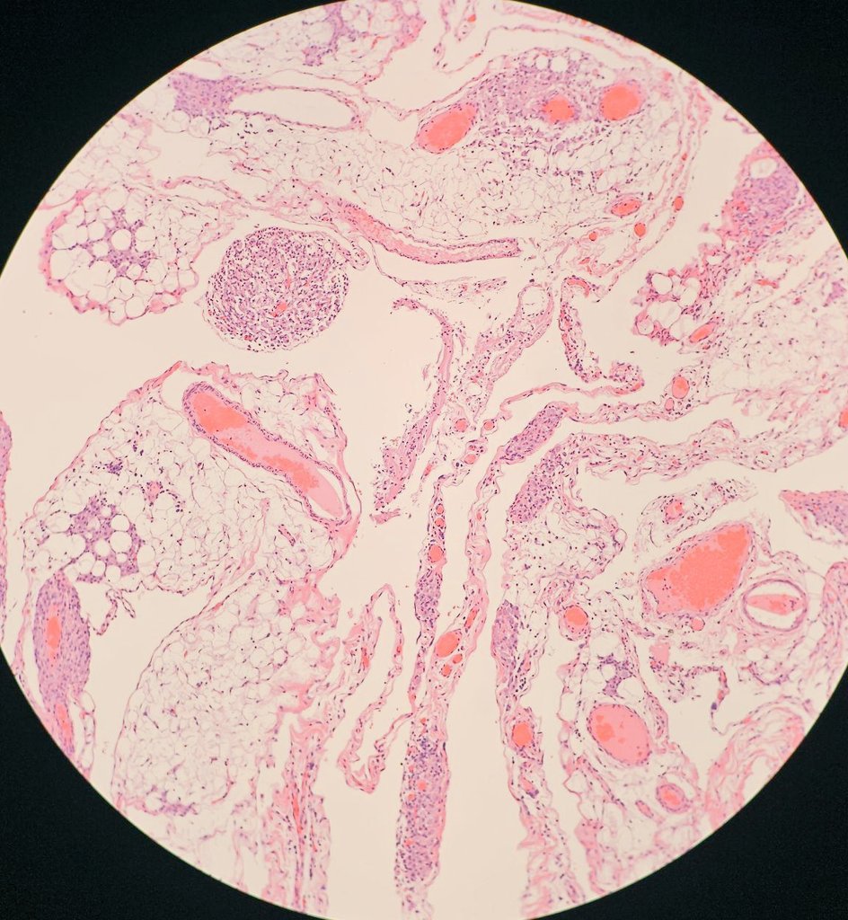
Young female with untreated HIV presents with GI bleeding and adenopathy. Which stain or stains would be the most useful to determine the cause of her symptoms? Pictures: Colon Bx, Mesenteric lymph node, Omentum #GIpath #pathology
1
4
11
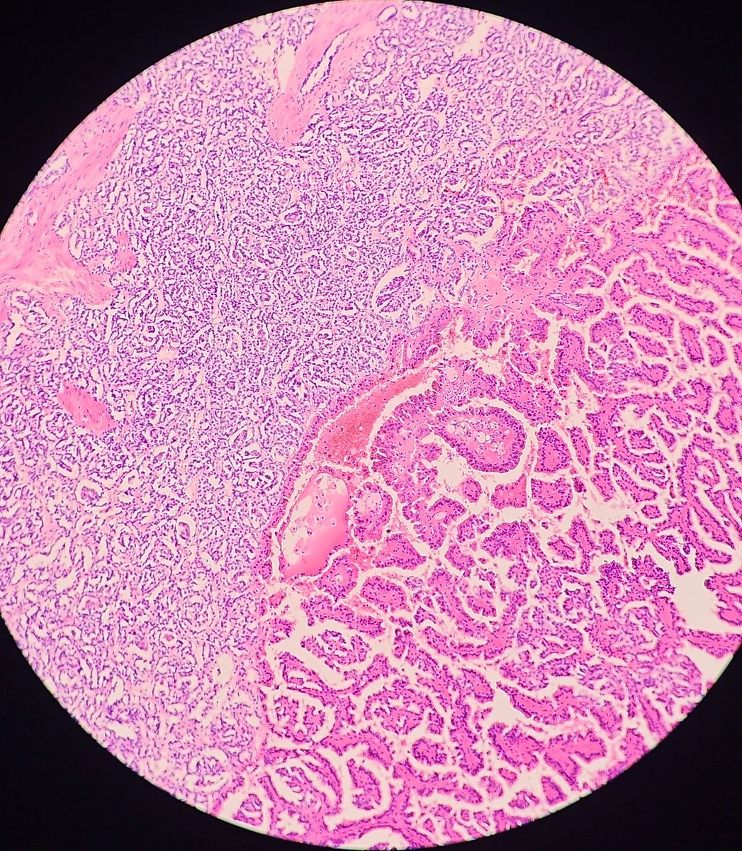
@JenyaMD
Jennifer Moreira-Dinzey
1 year
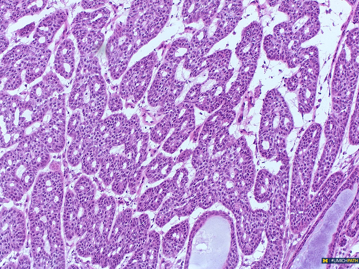
Papillary RCC showing type 1 and type 2 morphologies. #GUpath #pathology
0
2
5
@JenyaMD
Jennifer Moreira-Dinzey
2 years
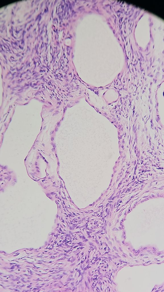
Another one from today 🩷
0
0
5
@JenyaMD
Jennifer Moreira-Dinzey
2 years
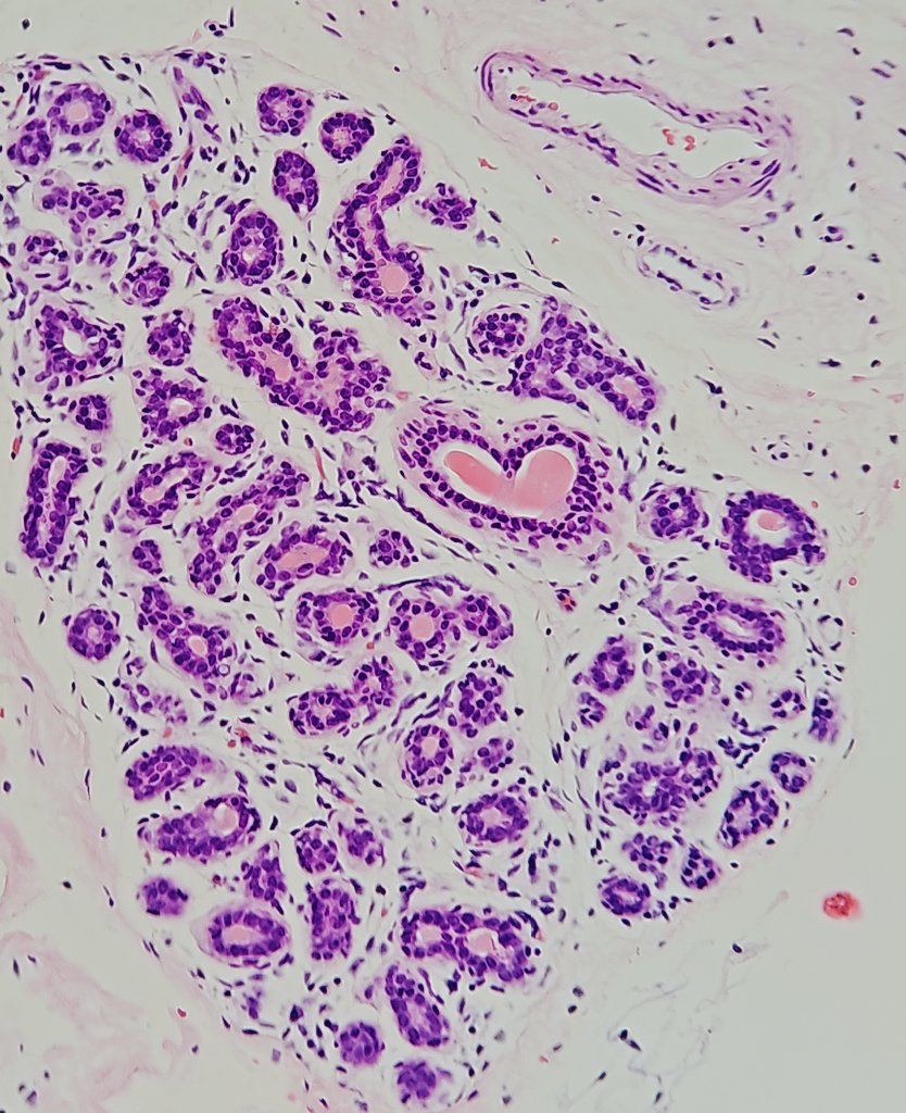
For all my #breast #pathology lovers 🩷
1
0
11
@JenyaMD
Jennifer Moreira-Dinzey
2 years
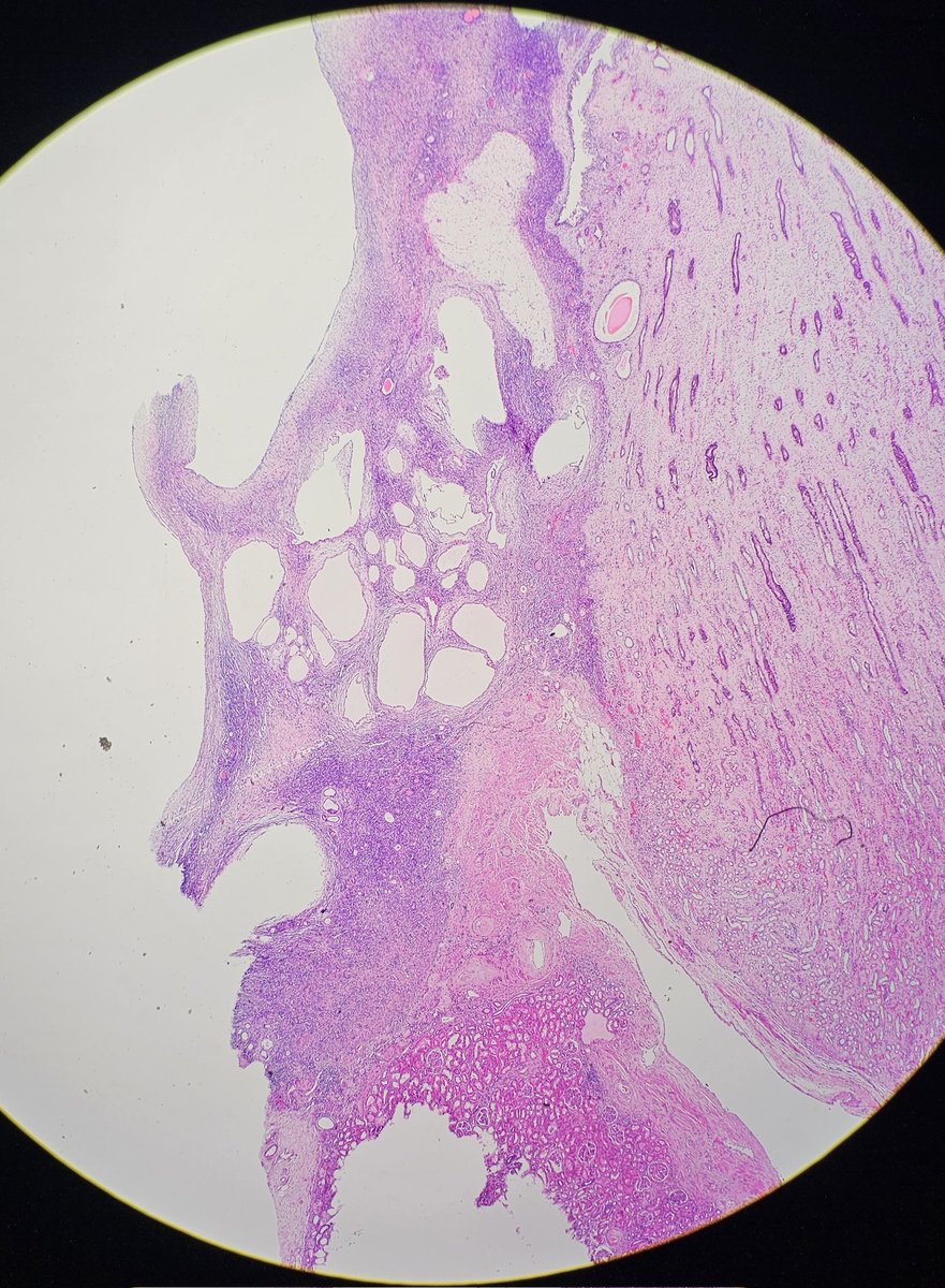
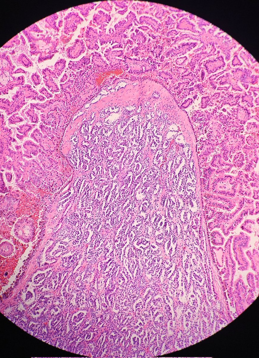
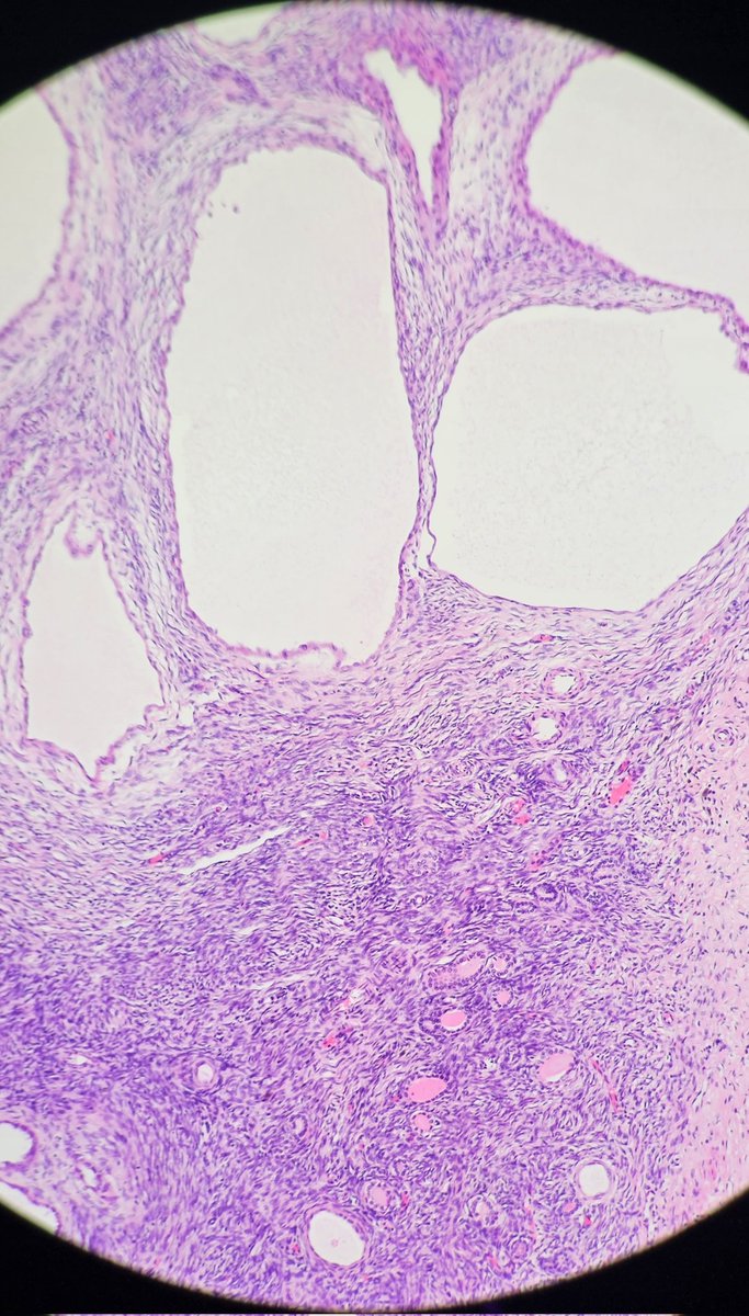
75 yo F, underwent a nephrectomy for urothelial carcinoma. Incidentally found a 2.3cm cyst. What do y'all think?
2
2
10
@JenyaMD
Jennifer Moreira-Dinzey
2 years
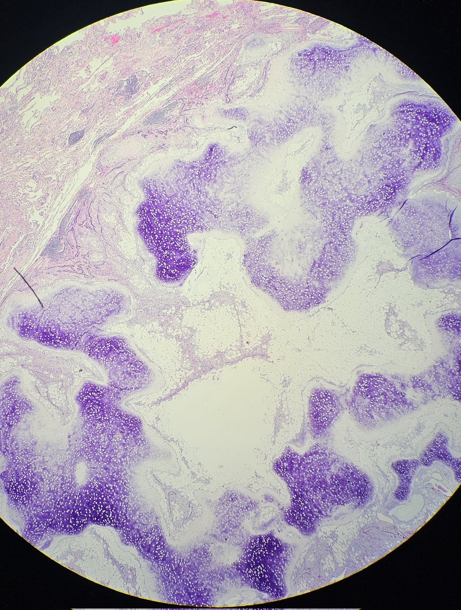
I had only seen this in books, and today, I saw one in person. Nice to meet you, pulmonary hamartoma 😊 #lung #pathology
1
0
9
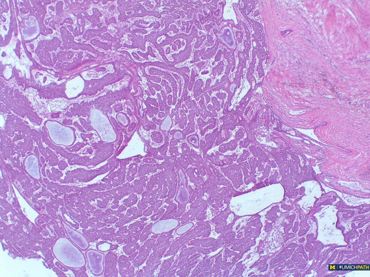
@UMichPath
Michigan Pathology
2 years
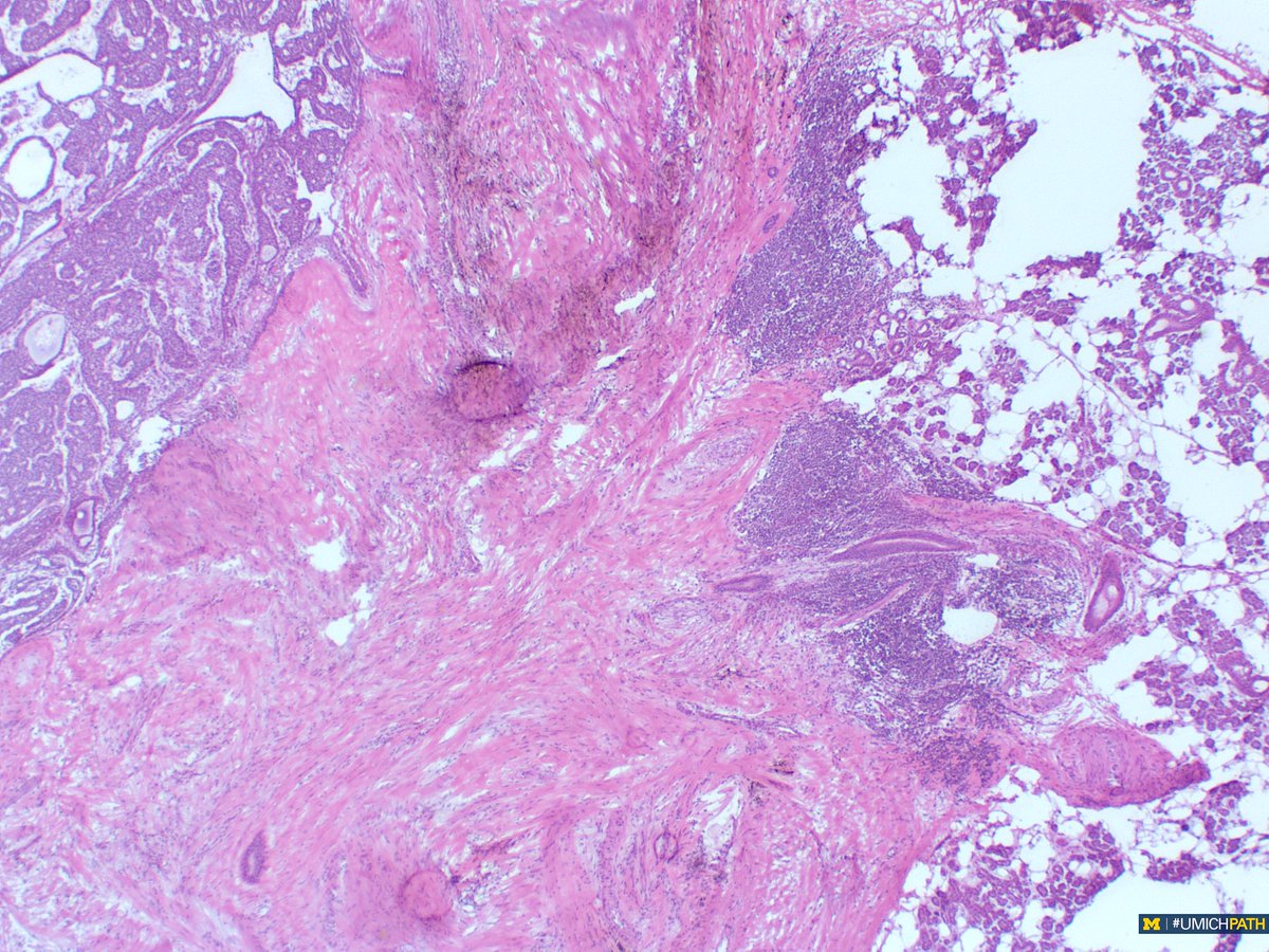
🔬: #COTW from @MeredithKHerman! Intraoperative Frozen Consult of a parotid mass from a 60yo F. What is your differential diagnosis? #UMichPath #Pathology
16
22
64
@AShmooklerMD
Aaron D. Shmookler, MD, QIA^CM (he/him/his)
2 years
Never order a lab test if you don’t know what you will do with the result. The test is guiding your management because it will help you better understand a patient’s condition. Similarly with most any clinical intervention, don’t do it if you have no plan afterward. You gotta
10
26
83
@HeartPathology
I Heart Pathology
7 years
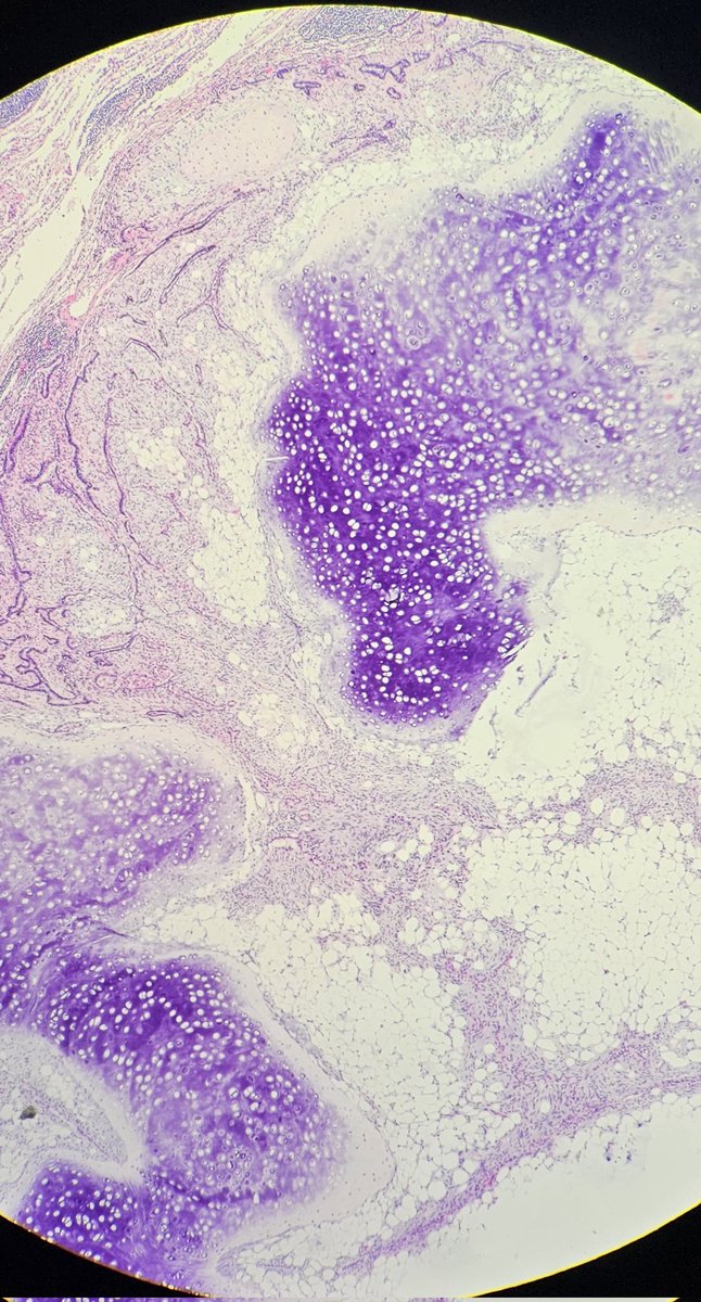
PATH TWEETORIAL 1/6: To continue on with cartilaginous tumors of the bone- CHONDROSARCOMA (CS). 2nd most common malignant bone tumor. Large, infiltrative tumors in the central skeleton/pelvis/shoulder girdle/prox long bones of older pts. #PathTweetAward #HYPath #IHeartPathology
3
92
164
@JenyaMD
Jennifer Moreira-Dinzey
2 years
I'm a monocyte 😁
0
0
2