JRamirezMD Profile Banner
James A. Ramirez Profile
James A. Ramirez

@JRamirezMD

Followers
3K
Following
5K
Media
262
Statuses
4K

Dermatopathologist at CTAlab. Digital dermpath :) Tweets are my own and not medical advice.

Ann Arbor, MI
Joined September 2016
Don't wanna be here? Send us removal request.
@DrAldehyde
Woo Cheal Cho, MD
3 years
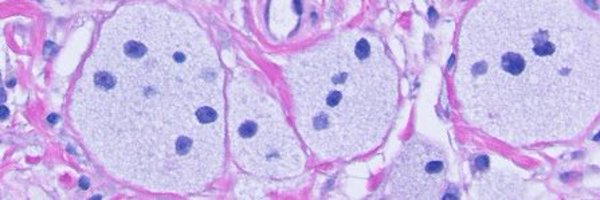
Thursday #dermpath special. 😆🔬 In my practice this kind of low-power look on H&E suggests BPDCN until proven otherwise (as it’s so common here), but this time it’s different and HP gives some morphologic clue! Cutaneous involvement by plasma cell myeloma See IHC/ISH below.
4
36
68
@SibaElHussein
Siba El Hussein, MD
2 years
Primary cutaneous acral CD8-positive T-cell lymphoproliferative disorder➡️ 🩸Solitary red nodule 🩸Dense dermal medium-sized lymphocytic proliferation 🩸Extends into subcutis 🩸Characteristic Golgi dot-like pattern of CD68, unique to this entity #Hemepath #dermpath #PathTwitter
1
49
93
@megothelioma
Megan Smith
2 years
So cool when you read about something and then it pops up under your scope. This is a good example of the blue keratinocytes seen in epidermodysplasia verruciformis. #dermpath #dermatology #Pathtwitter #medtwitter
2
32
72
@JMGardnerMD
Jerad Gardner, MD
3 years
4
11
44
@RashDecisionz
Eamonn Maher
3 years
Another Bluemor: Rapidly growing, ulcerated nodule on the chest of a 90 y/o #dermpath @HENRYY_MD @david_terrano @et565 @DiegoMoralesN @gonzadetoro @sgottesmanmd @redsnapperpath @alomaridermpath @vhnguyenmd
4
23
63
@NRiddleMD
Nicole D. Riddle, MD, MSHI, FCAP (she/her)
3 years
Epidermal inclusion cyst of the skull… might be a first for me. 🤷🏼‍♀️ #Neuropath
5
23
75
@AdvaniRashmiMD
Rashmi Advani, MD, ABOM
3 years
Young patient with history of recurrent GI bleeds presents with a small bowel obstruction and this finding ⬇️ What is the diagnosis? #GIBoards #GITwitter #MedTwitter #GIPearl
46
59
317
@david_terrano
David Terrano
3 years
<1 year old. Enlarge “bruise”-like plaque. Arm.
13
43
88
@BSchmidtDpath
Brie Schmidt
3 years
Always a beauty! #dermpath
8
32
163
@JMGardnerMD
Jerad Gardner, MD
3 years
Nasal mucosal mass. Your diagnosis? Answer & more pics here: https://t.co/1mrs23l3PX. Many thanks to @sadiqamer for these incredible images! #pathology #pathologists #pathTwitter #dermpath #dermatology #dermatologia #dermtwitter #ENTpath #microbiology
9
17
56
@DrGeeONE
Olaleke Folaranmi
3 years
20 YOF with symmetrical blue black patches on the face, shoulders, posterior trunk. Noticed in infancy. Dermal melanocytosis (Nevus of Ota and Ito) 🔬:Dendritic melanocytes and melanophages "flowing in a East-West" direction (found that description cool! #Dermpath #dermatology
9
33
90
@Dermpathl
Dermpath-L
9 years
My most favorite skin pathology quote is this. #dermpath #pathology #dermatology #dermatopathology
2
25
53
@AdvaniRashmiMD
Rashmi Advani, MD, ABOM
3 years
Middle aged man presents with progressive dysphagia, weight loss, cachexia and this finding on his feet. What is the diagnosis? #GIBoards #MedTwitter #GIPearl
70
187
1K
@GAGatesDO
Greg A Gates, DO
3 years
Cool soft tissue lesion from the leg! #dermpath #pathology
7
30
85
@TristanRutland7
Tristan Rutland MBBS FRCPA IFCAP
3 years
Skin, face of older patient. 2 levels #Dermpath #pathresidents #Pathtwitter
9
54
122
@JMGardnerMD
Jerad Gardner, MD
3 years
"Cyst" on the trunk of an adult. Your diagnosis? (Hint: it's not a cyst!) Answer: https://t.co/clsr5oMd9X Video: https://t.co/adrYg9WPEZ #pathology #pathologists #pathTwitter #dermpath #dermatology #dermatologia #dermtwitter #BSTpath
5
3
16
@JMGardnerMD
Jerad Gardner, MD
3 years
One of my all-time favorite cases!!! Deep nodule hand. Your diagnosis? Digital slide: https://t.co/n6UlAQfsro. PAS, GMS, Polarized pics: https://t.co/pVwOZAbx9v. Answer & video: https://t.co/yXyOxwvven #pathology #pathologists #pathTwitter #dermpath #dermatology #dermtwitter
2
20
46
@Janetbirdope
Janet Pope
3 years
#ClinicalPearl. Watch the red dot blanch. What is it and what #diagnoses are likely?
39
66
515
@redsnapperpath
Allison Osmond MD MSc FRCPC
3 years
65 YOF, shoulder - pretty bland on low power - some H&E shots with MelA #dermtwitter #dermpath #PathTwitter #dermatology
19
21
54