
Jamal Musayev, MD, MIAC
@JM_CytoBox
Followers
236
Following
2K
Media
44
Statuses
236
Cytopathologist
Baku / Azerbaijan 🇦🇿
Joined September 2012
Next #IACwebinar. Don't miss it.
Dear #IACmembers, preregister for this #IACwebinar by Prof. Niels J. Rupp on 16 October 14:00 CET (08:00 EDT): Salivary Gland Cytopathology. Note: Due to automated online abuse, we restrict this live webinar to IAC members only. https://t.co/ZzXtHU6dFP
1
0
4
Flame cells in papillary thyroid carcinoma. #FNA #thyroid #Diff_Quik #cytopath #cytology #cytopathology @turkishcytopath
1
6
25
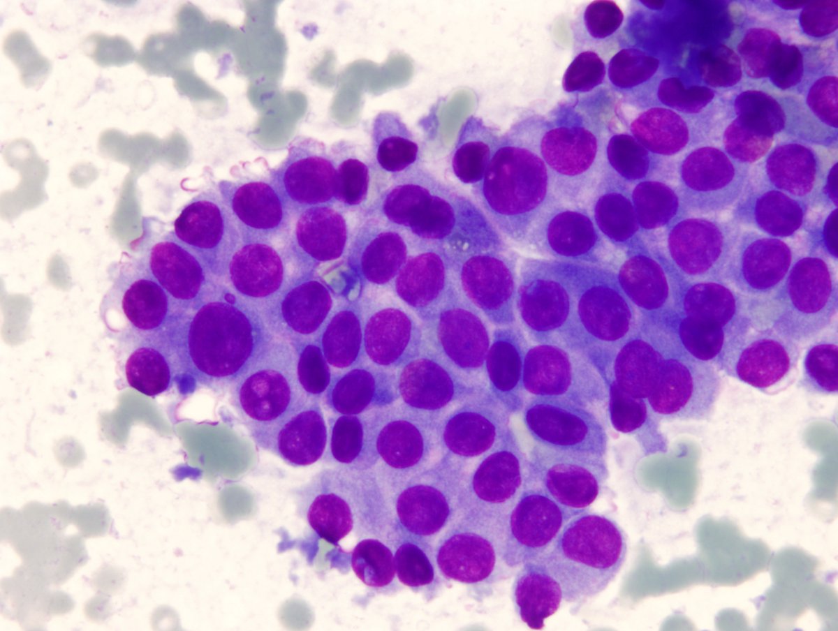
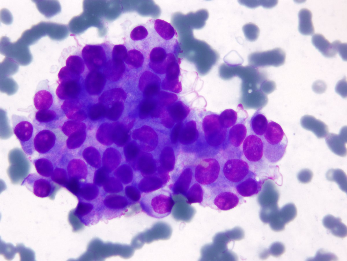
It feels like looking down at a billiard table 🧐 🎱. Submandibular mass, FNA: Malignant (The Milan System); adenoid cystic carcinoma. Don’t miss @MarcPusztaszeri’s webinar tomorrow: https://t.co/dz0prkL2gF
#IACwebinar
@IACytology
@CytologyEFCS
@DianaEstherossi
@bfaquin
2
17
66
Next #IACwebinar
As our next #IACwebinar is approaching, we urge you to preregister for Marc Pusztaszeri's webinar on 25 September 14:00 CET (08:00 AM EDT) about Optimising Salivary Gland FNA Diagnosis on our website: https://t.co/7pN3B7899O
0
3
8
Вы помните, когда зарегистрировались в X? Я — да. #МояГодовщинаВX
0
0
1
Did you know that there are free #ActaCytologica articles, e.g. "The Prognostic Significance of Ki-67 Expression in Breast Cancers Developing Malignant Effusions"? Read the article: https://t.co/qx0ILJATbM
0
15
30
Don't miss your next opportunity to take the #IACexam, such as on Nov 6, 2025, in St. Louis, Missouri, USA #ASCyto25. Apply now for the exam by Oct 6. Check the IAC exams next to you. https://t.co/FVCN0OGL47
0
3
9
EFCS team at UTAK2025 congress in Samarkand, Uzbekistan. Fantastic hosts, great experience. Thank you Binnur for connecting us!
5
2
21
Register now for this #IACtutorial in Singapore: 19. - 20th September 2025, co-organised with the Society of Cytology, Singapore. Don't miss these lectures : @sza_jhcyto @DianaEstherossi @PVielh and many others https://t.co/OoLcptLjM6
1
9
21
Happy to share it with all of you ! @CancerCytopath
@IACytology @CytologyEFCS @YaleCytology @cytopathology @SEAP_IAP @SECitologia @ESP_Pathology @pepeheffernan @duckhuca @edusqo @tlabiano @MansoAso @RRobledano @glinglerimek @CiolyRiveroC @DianaEstherossi @FridaRosenblum
17
30
90
My wish for a peaceful and successful September 🌍🌎🌏 @IACytology @CiolyRiveroC @tlabiano @DianaEstherossi @FridaRosenblum @AshishC97225686 @mtsiddi @PVielh @sza_jhcyto @gcai1978 @IvanaKholova @MozeticV
2
6
63
As part of the membership committee, I invite you to join us, as @IACytology 📚Gives you access to cutting-edge education 🎓 Connects you to top cytopath minds 🌐 Shares projects & creates a global network 💫 Unifies efforts to advance stronger & further
Why should you join the IAC? Let's read Dr. @CiolyRiveroC's reason why she became an #IACmember – join the IAC now here: https://t.co/yUkQGxU1SI
0
9
15
Who of you is from Portugal and wants to sit the #IACexam in Porto on 10th October 2025? Then, please apply promptly by September 10th https://t.co/FVCN0OGdez
0
3
6
Why are you an #IACmember? Tell us! @lara_pijuan: Being part of the IAC allows me to grow alongside a community of cytopathologists committed to diagnostic excellence & knowledge sharing. Cytology is key to guiding the best treatment for patients... https://t.co/yUkQGxUzIg
0
16
27
@irem_onur_ and me waiting for all of you that love Cytopath in Istanbul @IACytology @CancerCytopath @CytologyEFCS @CiolyRiveroC @turkishcytopath @ZMaleki_cyto @sza_jhcyto @JM_CytoBox @cytopathology @DianaEstherossi @mdlozanoe
4
4
16
Next #IACwebinar from @IACytology
Our next #IACwebinar is fast approaching. Don't forget to preregister for @MauroSaieg's webinar on the WHO System for Reporting Pancreaticobiliary #Cytopath on 21 August at 14 CEST (08:00 AM EDT) https://t.co/yrwBCzjssG
1
2
10