
Dr sthanu subramanian
@drsthanus
Followers
23K
Following
4K
Media
7K
Statuses
12K
Hi, This is Sthanu. My previous account was @Sthanu5 deactivated. Again here with this new one! *** Hypoglycemia. Diagnostic algorithm. https://t.co/xjGp3ejElg
11
71
362
Toxicities and management strategies of emerging antibody–drug conjugates in breast cancer. Antibody–drug conjugates (ADCs) offer a promising therapeutic approach for various cancers, enhancing the therapeutic window while mitigating systemic adverse effects on healthy tissues.
0
2
7
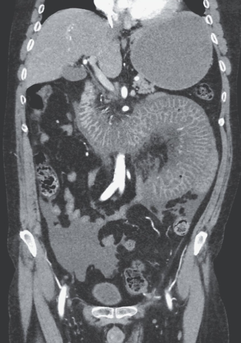
Typical involvement includes the ear, nose, and throat, lung, cutaneous organs, and the kidneys, with glomerulonephritis. Neurological manifestations such as neuropathy, cardiac involvement, and gastrointestinal issues can also occur, as is the case here with bowel ischemia,
1
0
1
Gastrointestinal Complication of Granulomatosis with Polyangiitis - CTA was highly suggestive of bowel ischemia with wall thickening of the distal duodenum and jejunal loops (white arrow) with adjacent fat stranding and mesenteric edema (orange arrow) and free fluid in the
1
0
5
Antineutrophil cytoplasmic autoantibody. Granulomatosis with polyangiitis (GPA) is one of the ANCA-associated vasculitides. Patients with GPA typically present with constitutional prodromal symptoms such as weight loss, malaise, and fever.
1
0
2
Which one is likely to be positive in a man with acute renal failure and these findings? *IgA anti-tissue transglutaminase *IgG antibodies against Lyme disease *Helicobacter pylori stool antigen *Antimitochondrial antibodies *Antineutrophil cytoplasmic autoantibody
2
0
15
Preferred anticoagulant medications for various clinical factors, along with important comments and considerations for each. https://t.co/EkJ3utbVLd
0
0
3
Clinical significance Usually benign: In most cases, AIVR is transient, asymptomatic, and does not require treatment. Potential for confusion: It is critical to differentiate AIVR from ventricular tachycardia, which has a rate of >110 bpm and can be dangerous.
0
0
3
Common causes Myocardial infarction: AIVR is often seen after a heart attack or during reperfusion therapy. Heart disease: Conditions like cardiomyopathy or myocarditis. Electrolyte imbalances: Imbalances in potassium, for example. Drug toxicity: Certain medications, like
1
0
3
Key characteristics of AIVR Rate: Between 50 and 110 beats per minute. Rhythm: Usually regular. QRS complex: Wide, indicating the signal is originating from the ventricles. P waves: Typically absent or dissociated from the QRS complex.
1
0
0
The correct option is (d) Accelerated idioventricular rhythm. *The ECG strip shows a wide QRS complex, a regular rhythm, and no discernible P waves. *The rate of the rhythm appears to be between 50 and 110 beats per minute, which falls within the range for accelerated
2
0
5
Anatomy of a Swan-Ganz catheter, also known as a pulmonary artery catheter. The catheter includes a continuous oximetry cable and thermistor connectors for measurements like cardiac output (CO) and cardiac index (CI). https://t.co/EDLtpbcaJD
1
53
200
Flowchart for the treatment of Non-tuberculous Mycobacteria Pulmonary Disease (NTM-PD). https://t.co/DzS8nCahZ4
0
7
20
Flowchart of recommended screening process for patients with suspected non-tuberculous mycobacterial pulmonary disease. https://t.co/olzr0zqH7b
0
2
3
Schematic representation of the most relevant nontuberculous mycobacteria (NTM) and fungal spp. participating in coinfection, and their relation to factors affecting host health status. https://t.co/GlZ0b0wcOv
0
0
1