Frederic Cailotto Profile
Frederic Cailotto

@FredCailotto

Followers
168
Following
764
Media
88
Statuses
3K

Chargé de Recherche @IMoPA_lab @CNRS @UnivLorraine. Studying signaling pathways in Osteoarthritis. Marie Curie IEF Alumnus. Moneta Supervacanea, Magister ?

Nancy, France
Joined October 2011
Don't wanna be here? Send us removal request.
@jmartinlab
Jim Martin
22 days
Please see our new study that was led by Chang-Ru and a great effort by the team: YAP-Induced Glycolysis Drives Fibroinflammation and Disrupts Fibroblast Fidelity | Circulation Research
Tweet card summary image
ahajournals.org
BACKGROUND: Separation of the pulmonic and systemic circulation is essential for terrestrial life, and mammals have evolved distinct cardiac chambers with specialized structures and functions....
2
2
19
@N_Rajewsky
Nikolaus Rajewsky
7 months
Combining spatial transcriptomics and ECM imaging in 3D for mapping cellular interactions in the tumor microenvironment: Cell Systems
Tweet card summary image
cell.com
Pentimalli et al. extend imaging-based spatial transcriptomics to 3D and combine it with ECM profiling. The multimodal analysis of cellular neighborhoods in a clinical lung adenocarcinoma sample...
1
33
124
@FredCailotto
Frederic Cailotto
9 months
Hi @Pheonixmaster1, I was wondering how would you improve the build of my b!chrom and Tsubasa ? Thanks for your time !
0
0
0
@appletonlab
Tom Appleton
1 year
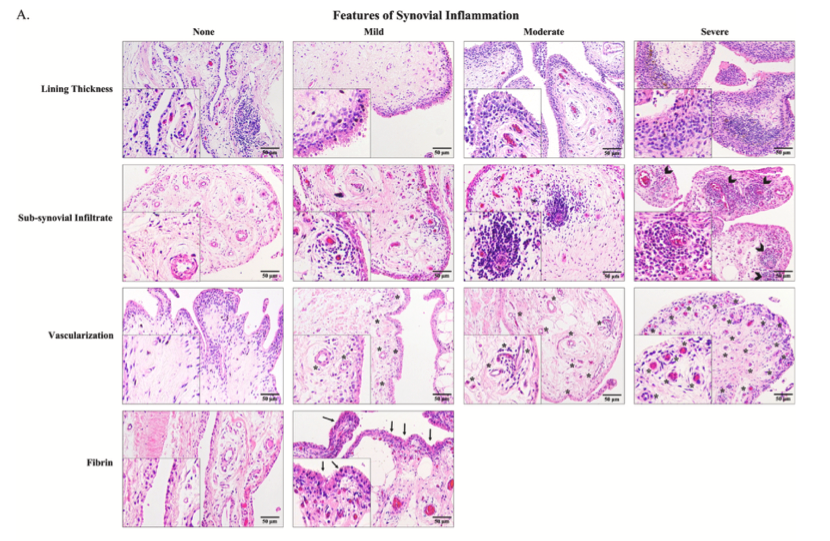
Should we be striving to prevent STD (synovial tissue damage) in #osteoarthritis trials? 📣
@OACJournal
Osteoarthritis and Cartilage Journals
1 year
Interesting findings in this month's @OACJournal 🚨 Worse histopathological scores for synovial tissue damage is associated with more pain in late-stage knee OA ➡️ Free to read https://t.co/pERWH1qV4k @HollyPhilpott14 @appletonlab @Path_Matt @WOBL_Western ⁩ ⁦
0
4
14
@AMAZlNGNATURE
Nature is Amazing ☘️
1 year
They both like "just a little too big for food"
839
8K
96K
@TissueHomandDis
Rik Lories
1 year
New @NatureComms Publication Alert! We uncover a Wnt/IGF1 link driving joint damage in #osteoarthritis. IGF1, induced by Wnt signaling, worsens the joint disease, but IGF1 targeting could open doors to new therapie. https://t.co/BRfLfV9KEE @SilviaMonteag @AnaEscribano7 1/14
2
6
37
@TissueHomandDis
Rik Lories
1 year
Finally, a big shout-out and thank you to everyone who worked on this project: @AnaEscribano7 Frederique Cornelis @AstridRoover An Sermon @FredCailotto @SilviaMonteag. Thank you @FWO & @KULeuven for supporting this study! @DevReg_KULeuven @UZLeuven. https://t.co/BRfLfV9KEE 14/14
0
1
6
@catshealdeprsn
cats with powerful impression 🐾
1 year
The peacemaker 🐈
359
5K
52K
@roberts_helen1
Dr Helen Roberts
1 year
📢 PhD Studentship Alert: Fantastic opportunity to research novel metastasis-mediating osteosarcoma drugs! This exciting new 4 year studentship is opening in my lab @MiddlesexUni soon, in collaboration with @RoyalVetCollege. Advert to follow. Generously funded by @chiefchemopony
0
7
13
@KWhiteLab
White Lab
1 year
Our paper was recently accepted and is now available online at @jbiolchem! In this work, we identified the pH-dependent transcriptome in epithelial cells and characterized effects of intracellular pH (pHi) dynamics on metabolism and Notch signaling. https://t.co/mhpfueMTsu (1/9)
3
23
95
@Larhumato
francis berenbaum
1 year
Thanks to @APHP⁩ for highlighting our study just out in ⁦@PLOSMedicine⁩. Even if we hoped, as French investigators, to demonstrate that red wine could relieve #osteoarthritis pain, we must admit that it was not the case😪 https://t.co/xpSMNdC7Qj
Tweet card summary image
fr.linkedin.com
🔎 Une étude a été menée pour évaluer l’intérêt du resvératrol, un antioxydant naturel présent dans le raisin et les produits issus du raisin, dont le vin rouge, dans la douleur de l’arthrose du...
1
4
10
@AlertEtGo
Alert&Go
1 year
💙#Concours : Un collector Nintendo World Championships : NES Edition (version EU) à gagner ! 💛Pour participer : 🖤Suivre @AlertEtGo 💚RT ce tweet ❤️ Retrouvez la version physique en import ici ► https://t.co/tryKA0BMWj Fin le 31/08/2024
385
2K
1K
@JessicaSchiavi_
Jessica Schiavi-Tritz
1 year
I am delighted to announce 1 PhD position to work on the bioproduction of secretome by mesenchymal stromal cells. If you are interested in #mechanobiology, stem cells, #extracellularvesicles and #biotherapy, please apply to join our group.
2
3
10
@Sarah_JB_S
Sarah Snelling
1 year
Do you enjoy looking for your favourites genes or cells in data - then grab a coffee & explore our hamstring tendon dataset!
@DrCarlaCohen
Carla Cohen
1 year
What cells can we find in a human tendon? Explore our hamstring tendon dataset on the CZI CELLXGENE data portal @cziscience @cellxgene https://t.co/LZLA3Wz1ic @Sarah_JB_S @JoletMimpen @AdamCribbs @LRamosMucci @ClaudiaPaul3 @SnellingGroup @alina_kurjan @mathewbaldwin3
1
1
15
@AnimaAnandkumar
Prof. Anima Anandkumar
2 years
While AlphaFold3 improves upon the previous version, it still can't handle conformational changes during binding like our NeuralPlexer does. Paper: https://t.co/m4ljYErIE7 Summary: https://t.co/pwUjR0Hi4e "NeuralPLexer can predict both apo and bound forms of proteins and can
Tweet card summary image
nature.com
Nature Methods - Protein–ligand structure prediction
9
74
352
@slavov_n
Prof. Nikolai Slavov
2 years
The sequencing of the human genome changed little which genes are the focus of research attention. The 8 most studied genes are: TP53 TNF EGFR IL6 VEGFA АРОЕ TGFB1 MTHFR
12
65
318
@FredCailotto
Frederic Cailotto
2 years
Les résultats du concours d'admissibilité CR et DR sont disponibles pour la section 28 du CoNRS a cette adresse : https://t.co/lnuB6gXIPs.
c3n-cn.fr
Comme en 2021, en 2022, et en 2023 la C3N s’engage à rendre publiques les listes des candidates et des candidats admissibles classés par ordre de mérite.
1
0
9
@HaoYin20
Hao Yin
2 years
Cultured Cells in standard plastics can actually be Hypoxic & lactate-producing It matters how High the medium level is in your dish/well!🤯 The medium as liquid phase creates a steep oxygen gradient...... 33~50 µL per 96-well make your cells happily oxygenated (Have you added
5
98
413