Evelyn J. Song Profile
Evelyn J. Song

@EvelynSongMD

Followers
652
Following
361
Media
40
Statuses
188

Chief fellow @UCSFCardiology |๐Ÿ‘ฉโ€๐ŸŽ“ @OslerResidency @PennStHershey @MIT | Faculty @Cardionerds | #MedEd #HeartFailure #CardioOnc | views are my own | ๐Ÿ‡จ๐Ÿ‡ณ๐Ÿ‡ฑ๐Ÿ‡ท

San Francisco, CA
Joined March 2009
Don't wanna be here? Send us removal request.
@EvelynSongMD
Evelyn J. Song
1 year
Excited to continue my AHF training at UCSF!
@UCSFCardiology
UCSF Cardiology
1 year
Congrats to our next @UCSF AHF fellows! We look forward to working with you! @EvelynSongMD #fellowshipmatch @UCSFHospitals @MarcSimonMD @LiviuKlein
0
0
21
@CardioOncology
Javid Moslehi
2 years
What a way to get the @UCSF Section of #CardioOnc & Immunology conference started this academic year! @DrJESalem discussing a completely new topic! Welcome to SF, Joe-Elie! @AnjaKarlstaedt @EvelynSongMD @baik_alan @UCSFCardiology
1
8
37
@CardioOncology
Javid Moslehi
2 years
A new academic year for the @UCSF Section of #CardioOnc & Immunology. Our group is expanding! And we are looking for more talented individuals! Email me if interested! Positions available at all levels! @MandarArasMD @baik_alan @JayaMallidi @JuanQinMed @EvelynSongMD @AmirZMunir
2
6
63
@EvelynSongMD
Evelyn J. Song
3 years
Cardiology fellowship will be busy, but it will be a fun ride with this amazing group of co-fellows and supportive program leadership! @UCSF_CVfellows
@CaraPellegrini
Cara Pellegrini
3 years
Welcome new @UCSFCardiology fellows @arturo_gasga @ishannovation Nicky Herrick, Hope Caughron, Vivek Duran, Rajiv Nadadur, @EvelynSongMD! We are excited that youโ€™re here. @AtifQasim_UCSF @LucasZierMD @Hagrawal1982 and Aarthi Sabanayagam
0
2
81
@EvelynSongMD
Evelyn J. Song
4 years
Had a lot of fun writing this review under the mentorship of Dr. @baik_alan! Check it out to learn more about the common vascular toxicities of cancer therapies. โžก๏ธ https://t.co/Q7ihmNLgkN
Tweet card summary image
acc.org
@baik_alan
Alan Baik
4 years
0
0
1
@EvelynSongMD
Evelyn J. Song
4 years
What an honor to contribute to this review! Thank you Dr. Moslehi @CardioOncology for the mentorship. https://t.co/VZyZgowvgQ
Tweet card summary image
ahajournals.org
In both cardiovascular disease and cancer, there are established sex-based differences in prevalence and outcomes. Males and females may also differ in terms of risk of cardiotoxicity following...
@CardioOncology
Javid Moslehi
4 years
A+ figure by @EvelynSongMD for this collaborative effort on sex-differences in #CardioOnc for @CircRes! Female predilection in ICI-myocarditis? Mouse studies indicate this, less clear in patients. For rest of myocarditis, more common & severe in men. https://t.co/kZRGmlKMpb
0
0
4
@Gurleen_Kaur96
Gurleen Kaur, MD
4 years
Last week, I got to meet these @CardioNerds and @CPSolvers #bossladies in person! ๐Ÿคฉ๐Ÿคฉ
6
5
85
@EvelynSongMD
Evelyn J. Song
4 years
Great discussions. Learned so much! Looking forward to the next meeting!
@CardioOncology
Javid Moslehi
4 years
Excited about our first @UCSF #CardioOnc clinical conference w/ colleagues from @VUMChealth & @unico_greco! Look forward to expand future meetings to include other West/Best Coast experts! @datsunian @HanZhuMD @JuneWRhee @Ron_Witteles @KMAlexanderMD @SeanM_Wu @HeartUCSF
0
0
1
@CardioNerdsJC
CardioNerds Journal Club
4 years
A BTS pic of the @CardioNerds team behind the #CardsJC tonight! Everyone involved had a BLAST! Thank you to all our faculty members, #FITs and audience who enriched our discussion!
1
6
32
@EvelynSongMD
Evelyn J. Song
4 years
Great point by Dr. @Pooh_Velagapudi on the use of FFR in ACS. #CardsJC
@Pooh_Velagapudi
Poonam Velagapudi
4 years
There may be incomplete response to adenosine & submaximal hyperemia in ACS making FFR less reliable in this situation- perhaps underestimates severity of stenosis? (PMID: 33239995) #CardsJC
0
2
3
@Pooh_Velagapudi
Poonam Velagapudi
4 years
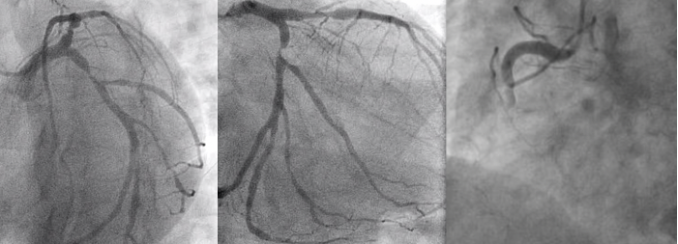
#RCA culprit; LCX- bifurc lesion w/ large OM just distal to the lesion & ostium appears to be involved, thus this may end up being a bifurcation PCI, prox OM3 appears significant, prox LAD stenosis could be calcified but need more views/IC imaging to determine! #CardsJC
@CardioNerdsJC
CardioNerds Journal Club
4 years
The patient is rushed to the cath lab. You get access and quickly engage the coronaries to see what you are dealing with. #CardsJC โ“What do you see in the angiogram? What is the culprit vessel? What do you think about the complexity of the lesions seen?
0
6
16
@EvelynSongMD
Evelyn J. Song
4 years
Looks like an inferior STEMI. Assess patient, get vitals, activate cath lab. #CardsJC
@CardioNerdsJC
CardioNerds Journal Club
4 years
It is 2 am. In the midst of your sleep, the pager beeps. ๐Ÿ˜ด๐Ÿ“Ÿ โ€“ โ€œED page โ€“ STEMIโ€ You are sent the EKG. How would you like to proceed? #CardsJC - Call & get the hx, vitals, & ptโ€™s current status - Admit to CCU for monitoring/med mgmt - Go back to sleep, likely false activation
0
0
2
@EvelynSongMD
Evelyn J. Song
4 years
Check out the amazing visual abstract and article summary by Team House Einthoven @dinubalanescu @OAmidiMD @najahakhan @Gurleen_Kaur96 #CardsJC
@CardioNerdsJC
CardioNerds Journal Club
4 years
If you didnโ€™t get a chance to read the original COMPLETE Trial article, please check out our ๐ŸŽจvisual abstract and ๐Ÿ“œarticle summary! #CardsJC Link:
0
2
4
@EvelynSongMD
Evelyn J. Song
4 years
Excited for another #CardsJC! Join the discussion in 30 minutes!
@CardioNerdsJC
CardioNerds Journal Club
4 years
โค๏ธ๐Ÿค“@CardioNerds everywhere, another @CardioNerdsJC is about to start in 30 minutes ๐Ÿคฉ Scrub in for a discussion of the COMPLETE trial #CardsJC #HouseEinthoven https://t.co/LKChhqMPsF
0
1
1
@CardioNerds
CardioNerds
4 years
Tonight's @CardioNerdsJC is going to be a GREAT nightโ€ผ๏ธ EARLY-AF & STOP-AF #CardsJC ๐Ÿ•—8 PM EST: on #Twitter ๐Ÿ•˜9 PM EST: on @Clubhouse https://t.co/z7Zl87C6sj Trials Summary ๐Ÿ‘‰ https://t.co/4wFDXptH9b Kudos @dinubalanescu @Gurleen_Kaur96 @OAmidiMD @najahakhan @EvelynSongMD
1
11
36
@EvelynSongMD
Evelyn J. Song
5 years
Tremendous work by the #HouseEinthoven team for a successful journal club tonight! Def was nervous at first to moderate a #clubhouse talk with all the ๐ŸŒŸ leaders in the field but learned so much hearing perspectives from trialists, clinicians, scientists, etc. What a night!
@CardioNerdsJC
CardioNerds Journal Club
5 years
What a phenomenal Clubhouse talk moderated by @EvelynSongMD and driven by guest faculty and FIT. @CardioNerds #HouseEinthoven thank you for not only preserving the discussion, but turning it into high output! Looking forward to our next @CardioNerdsJC #CardsJC discussion!
1
1
7
@EvelynSongMD
Evelyn J. Song
5 years
#HFpEF is very phenotypically heterogeneous. Thanks to Dr. @KSharmaMD 's great tips on when to screen for amyloid in HFpEF. #CardsJC
@KSharmaMD
Kavita Sharma
5 years
@RichardAFerraro @EdKasper3 @MarkBelkinMD @gcfmd @apipilasMD First evaluate for co-morbidities associated with #HFpEF. Suspect amyloid when: BMI is low, BNP is high, trop elevated, echo signs of infiltrative disease. We get serum light chains, nuclear scan for ATTR disease in select patients @hopkinsheart HFpEF Clinic. #CardsJC
0
1
10
@EvelynSongMD
Evelyn J. Song
5 years
I typically start with ACEI/ARB and diuretics. Would love to hear input from other experts #CardsJC
@CardioNerdsJC
CardioNerds Journal Club
5 years
Patients were randomly assigned to receive sacubitril-valsartan (target dose 97-103 mg twice daily) or valsartan (target dose 160 mg twice daily) #CardsJC โ“What is your approach to HTN in patients with HFpEF? How often are you using valsartan?
1
1
1
@EvelynSongMD
Evelyn J. Song
5 years
Great point Dr. @EdKasper3. HFpEF is so phenotypically diversity and trajectory is important.
0
0
0