EToweryMD Profile Banner
Emily Towery, MD Profile
Emily Towery, MD

@EToweryMD

Followers
4K
Following
16K
Media
124
Statuses
12K

BST and gyn pathologist @BIDMCpath @harvardmed | ❤ 🔬 | path roots @BWHPath @UVA_Pathology | co-founder @Path_SIG | (formerly @pathnoob) she/her

Boston, MA
Joined October 2017
Don't wanna be here? Send us removal request.
@EToweryMD
Emily Towery, MD
2 years
Happy Halloween! 🎃 #GynPath
7
2
127
@ARP_Press
ARP Press
8 months
https://t.co/Ww4DWgQwKK: Angiomyolipomas (PEComa family) can affect the kidney, but are more likely to arise in the kidney and involve the adrenal gland secondarily. Classic angiomyolipomas are triphasic tumors consisting of perivascular epithelioid cells clustered around
1
15
46
@EToweryMD
Emily Towery, MD
1 year
Polarized suture would make a pretty good album cover #pathology
0
1
7
@ARP_Press
ARP Press
1 year
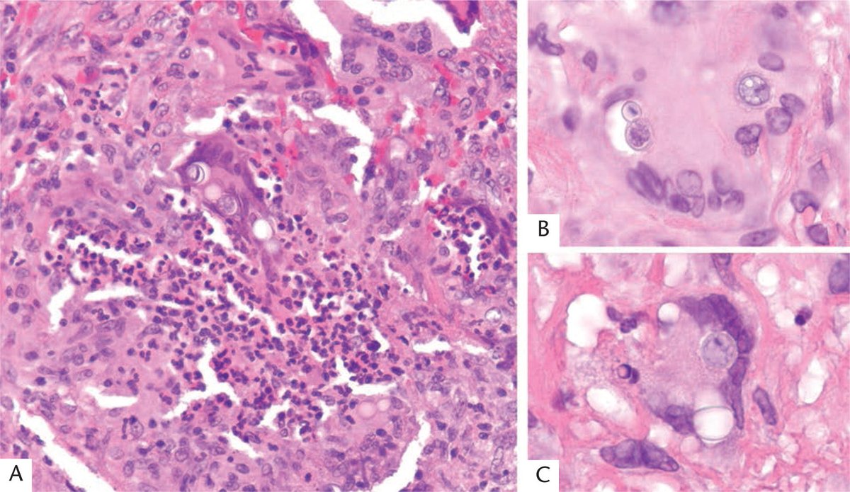
More on infectious disease pathology ( https://t.co/FcZSxlmu8o): Disseminated disease occurs in 25-40% of patients with pulmonary blastomycosis (buzz words: "broad-based budding"), with the most frequent sites being skin, bone, GU tract, and CNS. H&E, GMS, and PAS shown. #IDpath
1
7
20
@ARP_Press
ARP Press
1 year
From the infectious disease fascicle ( https://t.co/FcZSxllWiQ): Giardia duodenalis is one of the most common intestinal parasites. On biopsy, small bowel mucosa may appear entirely normal with trophozoites in the intervillous spaces in a “falling leaves” pattern. #IDpath
0
7
23
@EToweryMD
Emily Towery, MD
1 year
Just noticed my typo 😅 *tenosynovial
0
0
1
@EToweryMD
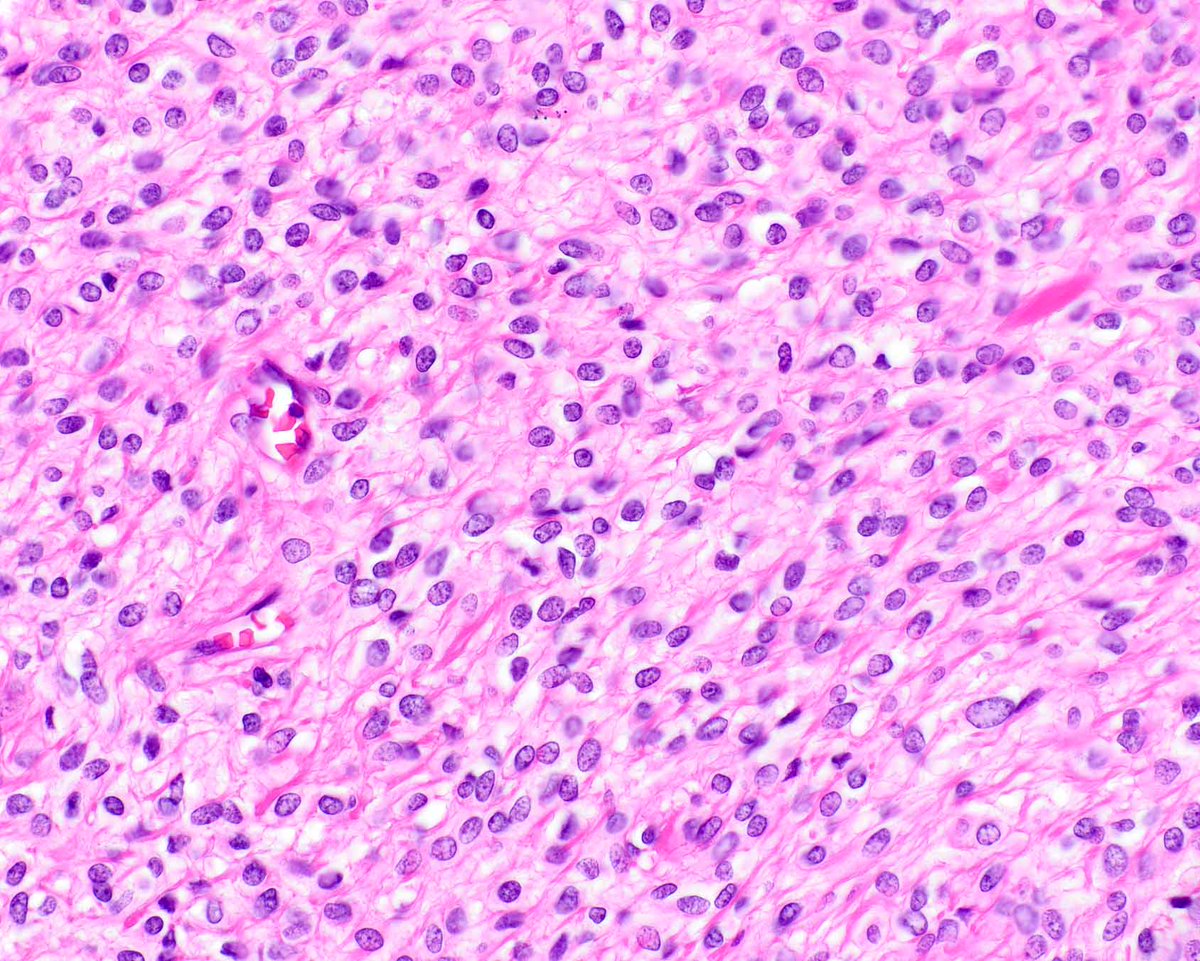
Emily Towery, MD
1 year
One of my favorite 40x fields I've ever seen! Beautiful ladybird cells (neoplastic cells with a cytoplasmic rim of hemosiderin) in a tenosyonvial giant cell tumor. #BSTpath
2
28
123
@EToweryMD
Emily Towery, MD
1 year
My first tattoo (stabbed myself with a dotting pen) #littlepathologythings
3
0
15
@ARP_Press
ARP Press
1 year
More from the non-helminth infectious diseases fascicle ( https://t.co/FcZSxllWiQ): Leprosy, caused by Mycobacterium leprae/Mycobacterium lepromatosis, has diverse histologic findings; tuberculoid leprosy has perineural lymphocyte and epithelioid histiocyte infiltrates. #IDpath
1
6
22
@ARP_Press
ARP Press
1 year
More from the infectious disease fascicle ( https://t.co/FcZSxllWiQ): Rabies virus is a neurotropic, enveloped, nonsegmented, single-stranded RNA virus, and is uniformly fatal in humans once clinical symptoms start. In infected brain tissue, Negri bodies can be seen. #IDpath
2
9
15
@JClinPath_BMJ
JClinPath_BMJ
1 year
⭐ MACROSCOPIC PATHOLOGY⭐ If you haven't read our March 2024 issue on Macroscopic Pathology https://t.co/gMEt7GAOde, here's another opportunity. Two-day seminar organized by Dr. Murali Varma. And it's free! Register now! @MuraliV72899596
0
16
28
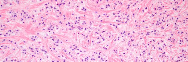
@LizMontgomeryMD
Elizabeth Montgomery, MD
1 year
This classic example of ossifying fibromyxoid tumor displays a shell of bone and uniform cytologic features; it's an H&E diagnosis. Without classic features, detecting PFH1 rearrangements (several partner genes reported) is useful. #UMiamiPath PMIDs: PMID: 2476942, 23887158.
3
31
93
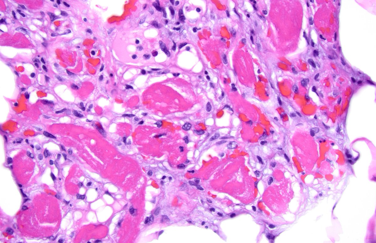
@dgbrackett
Diane Brackett, MD
1 year
When the thrombi REALLY want to be found! Angiolipoma #bstpath #dermpath
2
8
46
@EToweryMD
Emily Towery, MD
1 year
Returning home from #ECP24 (which was fantastic) I hit the lottery: a row of 3 seats to myself on a transatlantic flight!
1
0
23
@LizMontgomeryMD
Elizabeth Montgomery, MD
1 year
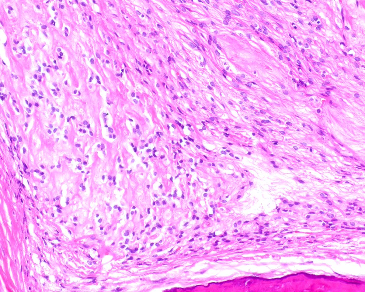
This image of esophageal varices is courtesy of Dr. Dale Snover. #UMiamiPath
0
26
91
@JMGardnerMD
Jerad Gardner, MD
1 year
1
9
23
@TheJPCNCR
The Joint Pathology Center (JPC)
1 year
Carotid body paraganglioma with aberrant SDHB immunostaining. Patient with bilateral carotid body paragangliomas. SDHB immunostain shows significantly decreased expression in the lesional cells. Genetic testing revealed a pathogenic mutation in the SDHD gene. #pathtwitter
1
8
26
@SpringerPath
Springer Pathology
1 year
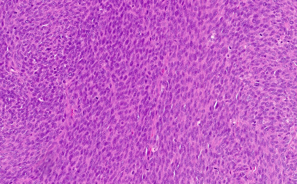
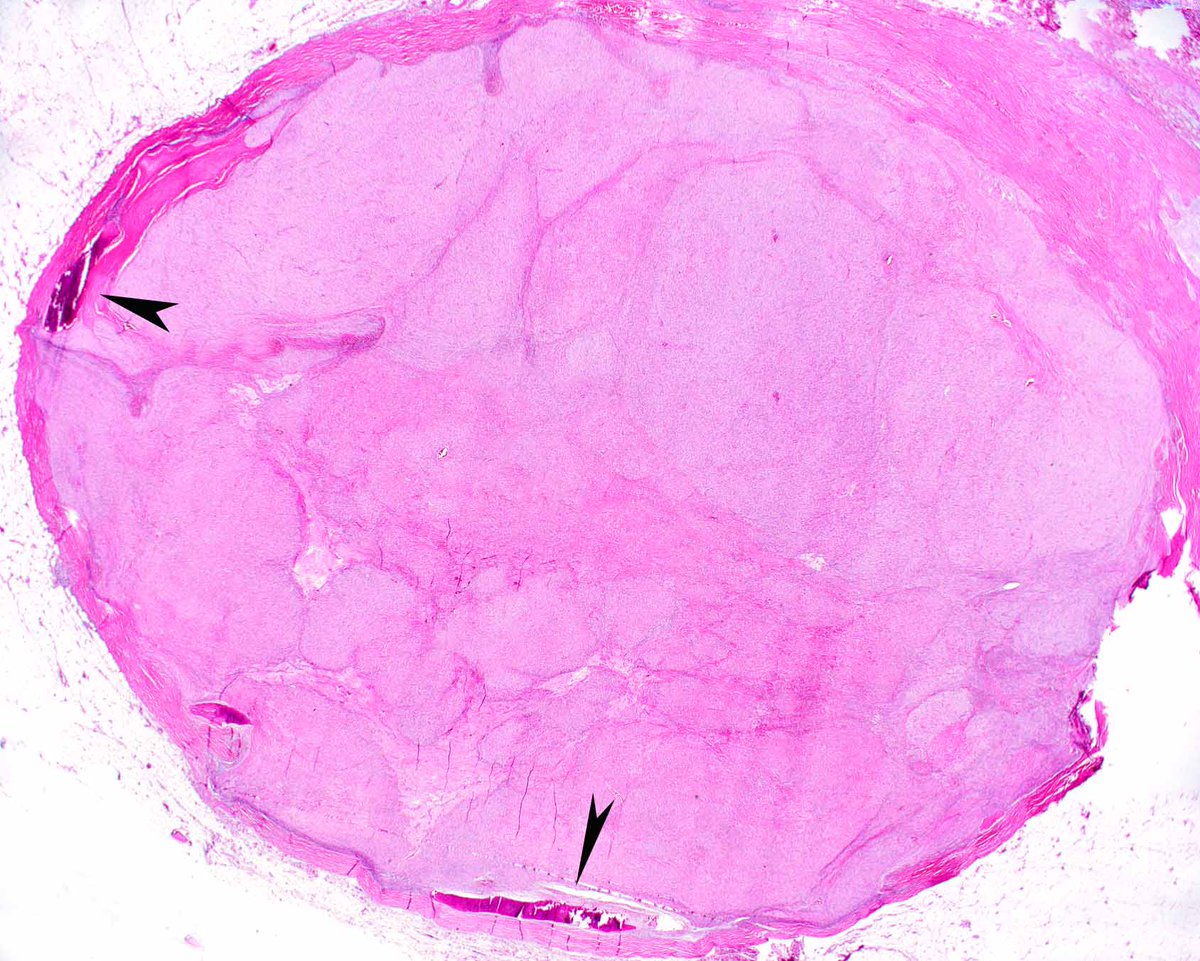
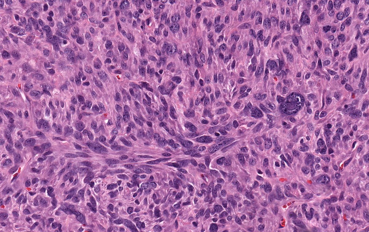
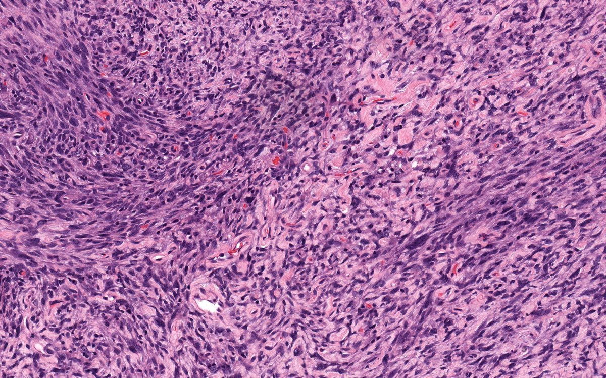
ERBB2/ ERBB3-mutated S100/ SOX10-positive unclassified high-grade uterine sarcoma: first detailed description of a novel entity
Tweet card summary image
link.springer.com
Virchows Archiv - With the increasing use of innovative next generation sequencing (NGS) platforms in routine diagnostic and research settings, the genetic landscape of uterine sarcomas has been...
0
18
31
@ARP_Press
ARP Press
1 year
Tumors in the skin with the morphology of leiomyosarcoma (B-D) but that are confined to the dermis (no subcutis infiltration) are termed atypical intradermal smooth muscle tumors (AISMT). This distinction is made as AISMT can recur, but has no metastatic potential. #DermPath
2
19
57
@JMGardnerMD
Jerad Gardner, MD
1 year
3
5
31
@TheUSCAP
USCAP
1 year
Case from Dr. Ivy John - 63 M with a right wrist mass https://t.co/qzyYWFcdhl
4
25
54